Cookie Consent byPrivacyPolicies.comSupraclusion incisive, vraie ou fausse? - Eugenol

Supraclusion incisive, vraie ou fausse?

1 eugenol dmj5np - Eugenol
Dancha

06/12/2006 à 11h01

Heureux de constater que tu as fini ta sieste, mon cher Saïd.

Aurais-tu la gentillesse de jeter un coup d’œil au cas intitulé « Que peut-on faire dans ce cas » que je viens de poster dans le forum « cas cliniques », me dire s’il s’agit d’une supraclusie vraie ou fausse et ce que tu proposes comme traitement ?

Merci d'avance.

Daniel


Picture1111 zburnd - Eugenol
saidkholoki

06/12/2006 à 11h28

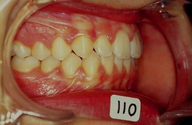
cas n 2
classe II 1 avec pouce

1 doebd3 - Eugenol
2 vfx5mw - Eugenol

Picture1111 zburnd - Eugenol
saidkholoki

06/12/2006 à 11h30

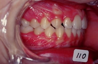
cas n 2
QH + Ecran cuccal pendant 4 mois seulement separent les photos

3 m9jr51 - Eugenol
4 k09hqa - Eugenol
5 g5zcqq - Eugenol
6 tzjznw - Eugenol

Picture1111 zburnd - Eugenol
saidkholoki

06/12/2006 à 11h34

can 2 suite arc de base pour parfaire le torque des incisives puis surveillance. Aucune mecanique de classe II

7 pckcyp - Eugenol
8 r3n7vs - Eugenol
9 e93zsi - Eugenol

Picture1111 zburnd - Eugenol
saidkholoki

06/12/2006 à 11h36

cas n 2 suite et fin.
Conseil: pour transmettre un message il faut en etre completement convaincu d'abord. C'est le cas des ecrans buccaux.
Bon vent a tous

10 k25iaz - Eugenol
11 mcc9d6 - Eugenol

hordeotech

15/12/2006 à 15h58

N´aurait une plaque à vérin pas fonctionnée dans ces 2 cas? Bien sûr les amovibles travaillent plus lentement, si portés 14/24h. Mais

est-on vraiement tellement pressé d´achever les traitements précoces?

sont les enfants de 7, ou même de 5 ans dans un autre thème, capables de brosser sous les installations fixes assez parfaitement pour éviter de la carie?

Avec une plaque bien contruite, on pourrait effectuer plusieurs tâches simultanement. Comme dans le 2ème cas l´expansion (1 mm par mois - ou 2 mm par mois séraient aussi possible, si besoin, avec un port de 20/24 h) et la rétraction des incisives avec le ressort frontal en même temps. Pour permettre ce trajet, le bord de la plaque doit être rodé.

L´écran buccal sérait en plus compatible avec la plaque, pour entraîner le système buccal.

Au contraire d´un entraînement agrèable, le QH écorche la langue, surtout pendant des repas. Avant chaque des douzaines de fois de mordre chaque seule bouchée, la langue et les joues la remettent entre les dents. En cette voie la langue racle toujours sur le squelette en fer du quadhelix, qui retient toujours quelques parties des bouchées en plus. Goûter et mâcher des petites bouchées est presque impossible, car elles sont capturées là-dedans.


Picture1111 zburnd - Eugenol
saidkholoki

16/12/2006 à 05h18

Bonjour hordeotech,
Merci d'avoir pris le temps pour regarder ces 2 cas et pour tes commentaires. Je suis a 100% pour les traitements precoce et j'estime que l'orthodontie n'a rien de different comparee a d'autres problemes medicaux ou dentaires. Quant on a une carie on ne va pas attendre que cela arrive la chambre pulpaire pour intervenir, quant ton enfant a une fievre tu ne vas pas attendre que cela devient tres grave et necessite une hospitalisation pour intervenir, alors pourquoi doit on attendre quand il s'agit de l'orthodontie??? Concernant tes notes et tes questions:
1- Le quadhelix, j'en ai deja pose des milliers depuis 17 ans de pratique, quand il est bien fait il n'y a pas de probleme avec la langue au dela de qqs jours apres la pose, j'ai deja pose un pour mon fils age de 8 ans il y a un mois, 3 jours dificils et apres tout va bien. Donc le probleme ce n'est pas dans le quadhelix mais comment il est fait. Comme tu l'as remarque je le fait en amovible et non pas soude et a main levee sans aucun probleme, et en un seul RDV.
2- Le quad helix a des possibilites bien plus larges que la plaque, il peut tourner les molaires, il peut les redresser, il peut les symetriser, il peut faire l'expansion symetrique et asymetrique, il peut faire le reformage du maxillaire a la demande quand il est active sure la forme d'arcade, il peut renforcer l'ancrage... Je te conseille de jeter un coup d'oeuil sur la revue de l'ODF 1995 (deja!) sur le sens transversal ou j'explique pour la premiere fois comment activer le quadhelix sur forme d'arcade
3- La plaque ne permet en aucun cas de faire la reeducation linguale a cause de son eppaisseur surtout avec un verrin. Il faut que la langue touche la papille retro incisive pour faire sa reeducation et tu peux remarquer que mon quadhelix est tres large au milieu et la partie anterieur arrive juste sur la limite de la papille pour permettre a la langue d'avoir un point de repere pendant sa reeducation
4- L'ecran buccal n'est pas incompatible avec une plaque mais le mouvement spontanne des incisives sera limite, freine ou masque par la resine et par l'arc vestibulalaire actif ou passif
5- Si le probleme est du un une matrice fonctionnelle perturbee donc il faut s'attaquer la ou il faut, un quadhelix avec un ecran buccal et avec un bonne reeducation cela fait un tres bon trio pour repondre a la majorite des problemes orthodontiques.
6- Le quadhelix reste un appareil fixe, meme sous sa forme amovible, donc il est actif en permanent et ne depend pas de la coopertion du patient qui est aussi discutable a cet age
7- Pour moi tout mouvement fonctionnel et physiologique est stable, ce n'est pas toujours le cas pour les mouvements obtenus mecaniquement. Donc je prefere que la grande partie de mon travail soit faite par la matrice fonctionnelle optimisee et je serai plus tranquil.
8- Pour finir le brossage avec un quadhelix seulement a l'age de 5 ou 7 ans n'est pas plus dificile que le brossage sans. Et si vous avez un mainteneur d'espace avec une bague ou couronne cela ne pose pas vraiment les meme problemes?
Je suis desole d'etre si long mais je pense que le concept de l'orthodontie precoce,tres meconnu, merite bien sa place dans la pratique orthodontique et je suis vraiment tres satisfait des servises rendus a mes patients tres jeunes.
Mon slogan:Je finis quand les autres commencent. Et si ca etait ton enfant que choisirais-tu?


bjc

16/12/2006 à 06h24

Bonsoir,

Mon slogan:Je finis quand les autres commencent.
Et si c’était ton enfant que choisirais-tu?

Merveilleux, j’aurais pas dit mieux.
C’est mon leit motiv.
Mille fois bravo !

@+ Bjc.


bjc

16/12/2006 à 14h44

Comme certains ont mal interprété mon compliment,
Sache que je suis sincère.


Images eb1m5g - Eugenol
tonio

16/12/2006 à 14h47

clap, clap, clap!

j'adhére aussi, bien que n'étant pas ortho, simple omnipraticien.

J'avoue avoir du mal à trouver un ortho qui veuille faire du traitement précoce. La plupart préfère attendre que toutes les dents temporaires soient tombées. Enfin, je viens de changer de ville, j'aspire à trouver un confrère ou une consoeur qui partagera cette vision du traitement précoce.

Pour en revenir au QH, on m'a appris à la fac qu'il était plus difficile de contrôler l'expansion avec un QH par rapport à une plaque à vérin. Quel est votre avis?
Cette question, c'est juste pour ma culture générale...
merci!


1 eugenol dmj5np - Eugenol
Dancha

16/12/2006 à 19h13

Puisque vous parlez de traitement précoces, pourquoi attendre 8 ans ?

Le quad’hélix est extrêmement bien toléré en denture temporaire… A 4 ans, sa mise en place ne présente généralement aucune difficulté, les enfants sont très coopérants… (idéal : entre 4 et 5 ans). Personnellement, je ne fais pas d’empreintes (traumatisantes pour les petits), je le réalise moi-même directement au fauteuil avec du fil 0,9mm...

A utiliser dans les occlusions croisées et les cas de déficients respiratoires avec manque de développement maxillaire supérieur (avec étroitesse de l’orifice piriforme comme on en rencontre, entre autres, chez ceux qui ont un « faciès adénoïdiens »).

L’effet est radicalement différent d’un simple meulage, puisqu’on agit alors sur les sutures intermaxillaire et interincisive. De ce fait, l’amélioration de la ventilation est très souvent spectaculaire.

Planche photo jointe : un enfant de 4 ans, 6 mois de quad’hélix et le suivi photographique au cours des années suivantes, sans traitement supplémentaire.


Daniel

Qua helix 4 ans  kvudvh - Eugenol

hordeotech

16/12/2006 à 19h44

Bonjour à tous lecteurs,

alors, si un quadhelix est bien adapté individuellement, il impose seulement environ 3 jours difficils à l´enfant, mais s´il est installé comme il sort de l´emballage, la souffrance prendra un multiple de cette durée.
D´ailleurs les appareils amovibles, dont j´ai mentionné seulement une plaque primitive ci-dessus, sont en général fabriqués individuellement - en dehors des activateurs souples (SB) préfabriques, qui necessitent pas d´empreintes, s´ils séraient difficiles à faire chez les jeunes enfants.

>>un quadhelix avec un ecran buccal et avec un bonne reeducation cela fait un tres bon trio pour repondre a la majorite des problemes orthodontiques.
6- Le quadhelix reste un appareil fixe, meme sous sa forme amovible, ... et ne depend pas de la coopertion du patient qui est aussi discutable a cet age <<
++ Et quant aux autres deux membres du trio?

Il existait une choix des appareils amovibles bien construits.

>>2- Le quad helix a des possibilites bien plus larges que la plaque, il peut tourner les molaires,
++ Comme
http://www.zahnklammern.eu/eug_5a8/derota_molaire.jpg
(regardez le petit vis dans le plastique disto-lingual), ou
http://www.zahnklammern.eu/eug_5a8/derot_mol_silic.jpg
sans vis, mais avec de la matière silicone de deux côtés?

>>il peut les symetriser,
++ Comme
http://www.zahnklammern.eu/eug_5a8/symet_e_derot.jpg
qui aussi derote et aligne les incisives et expand la transversale en même temps? Malheureusement il est peu visible en rosé sur rosé que cette plaque est segmentée en 4 parts et travaille dans 3 directions.

>>il peut faire l'expansion symetrique
++ Autant léger en amovible:
http://www.zahnklammern.eu/eug_5a8/expand_leger.jpg

>>et asymetrique,
++ comme cette plaque segmentée asymetrique, et en plus muni du silicone
http://www.zahnklammern.eu/eug_5a8/pl_unilaterale.jpg

>>il peut faire le reformage du maxillaire a la demande
++ Comme le symet_e_derot ci-dessus, ou cette cas de déjà 19 ans au debut, avant
http://www.zahnklammern.eu/fallbeisp/erw/svollolm.jpg
et après 2 ans de plaques 16/24h:
http://www.zahnklammern.eu/fallbeisp/erw/svollolo.jpg

>>il peut renforcer l'ancrage
++ Pas besoin pour les appareils amovibles qui ont un corps rigide.

3- La plaque ne permet en aucun cas de faire la reeducation linguale a cause de son eppaisseur surtout avec un verrin.
++ En aucun cas?? Voici deux plaques aptes à la réeducation linguale, l´une equipée pour faire l´expansion transversale ET sagittale, et l´autre pour laisser toute la tâche à la langue:
http://www.zahnklammern.eu/eug_5a8/reeduc_avec.jpg
http://www.zahnklammern.eu/eug_5a8/reeduc_sans.jpg

4- L'ecran buccal n'est pas incompatible avec une plaque mais le mouvement spontanne des incisives sera limite, freine ou masque par la resine et par l'arc vestibulalaire actif ou passif
++ Pas besoin de laisser la plaque tellement primitive. J´ai déjà dit qu´il faut roder le bord, si besoin (bien visible au segment antérieur de symet_e_derot.jpg ci-dessus).
Ou on peut omettre l´arc vestibulaire, ou le remplacer par un élastique étendu entre deux crochets, ou pour l´expansion simple, utiliser cet mobile ci-dessus expand_leger.jpg qui est aussi léger qu´un quadhelix.

7- Pour moi tout mouvement fonctionnel et physiologique est stable, ce n'est pas toujours le cas pour les mouvements obtenus mecaniquement. Donc je prefere que la grande partie de mon travail soit faite par la matrice fonctionnelle optimisee
++ C´est la prétention d´une multitude des techniques fonctionelles, qui travaillent sans forces actives. Ces appareils transforment seulement les forces de la musculature orale de son porteur. Comme les activateurs SB de plusieurs sources (en silicone, caoutchouc, polyuréthane, ...), les Fränkel
(voir quelques détails dans
http://www.eugenol.com/eugenol/read.php?4,200750,page=2
et ici une vue de l´intérieur, bien ouvert pour la réeducation
http://www.zahnklammern.eu/eug_5a8/fraenkel_interieur.jpg

ou les Bimler qui sont plus compliqués, mais pour cela, peuvent aussi effectuer les corrections dentaires (même quelques dérotations sont possibles),
voir quelques détails dans
http://www.eugenol.com/eugenol/read.php?4,200750,page=2
et ici une belle photo d´un bimler C (pour la classe III)
http://www.zahnklammern.eu/eug_5a8/bimler_c.jpg
et d´un cas correspondant:
http://www.zahnklammern.eu/eug_5a8/bimler_cas_cl3.jpg
Entre autres, il existe aussi un modèle de Bimler contre la biproalveolie.

Tous ces 3 exemples des techniques fonctionelles rétablissent un developpement physiologique. Si elles sont utilisées precocement, souvent assez de l´espace pour les dents de sagesse se developpe après.

Par contre, un vérin, ou un ressort (comme aussi un quadhelix) contient un danger de surdosage – comme pareilment le plupart des médicaments.

>>Mon slogan:Je finis quand les autres commencent.
++ Bien d´accord, avec les protagonistes de tous ces méthodes et appareils que j´ai rassemblé ci-dessus. Jadis, le traitement precoce avec des appareils individuels était standard chez nous.
>> Et si ca etait ton enfant que choisirais-tu?
++ Rien de fixe.

3 des 12 photos données viennent d´un oeuvre de Tränkmann sur la technique des plaques, datant de 1985. Cet livre montre aussi
- 3 cas dans la dentition de lait (expansion; classe 3)
- 5 cas au debut de la dentition mixte (parmi autres, agénesie des incisives lat. sup.)
- 10 cas vers la fin de la dentition mixte (parmi autres, articulé croisée des canines)
- et quelques cas de palais fendu, de réeducation fonctionnelle, et quelques cas adultes.

Dans un petit guide sur l´ODF générale, qui date de 1997, 1/4 était consacré aux amovibles.
Dans le grand catalogue actuel d´un producteur orthodontique avec bien des spécialités pour les appareils amovibles (vérins doubles, triples, miniaturisés, pour fermer des lacunes, avec un ressort là-dedans, ou qui ouvrent en éventail ..), néanmoins seulement 1/6 des pages sont consacrés à eux, et dans les formations qu´il organise (pour mieux utiliser ses produits), par conséquence pas plus.


bjc

16/12/2006 à 20h04

"Pour en revenir au QH, on m'a appris à la fac qu'il était plus difficile de contrôler l'expansion avec un QH par rapport à une plaque à vérin."

L’action la plus rapide et la plus facile du Q.H. est l’expansion.
Il faut donc se méfier, et agir sur d’autres facteurs en même temps, tout en activant l’expansion très progressivement.
L’action la plus remarquable du Q.H. est :
1°) La dérotation molaire (canine postérieure)
2°) le redressement d’axe de la 6 (torque)
3°) associée à l’offset de Talmant, le guidage des germes des permanentes par l’expansion des dents lactéales. (encore la croissance)
Avec un Q.H. amovible, l’action est progressive et contrôlée.
(c’est un des sujets préférés de Saïd)

La plaque à vérin fonctionne selon le principe d’activation violente, suivie de périodes de repos et de récupération.
J’aime pas, c’est trop brutal.

Voilà à brûle-pourpoint.


Picture1111 zburnd - Eugenol
saidkholoki

17/12/2006 à 07h41

Bonjour a vous tous, Bonjour hordeotech,
Tout d'abord merci bjc pour tes sinceres compliments, cela me flatte beaucoup. Quant au sujet principal, je trouve que tous ces photos sont jolies pour les plaques mais cela reste un livre et je voudrais bien savoire si tu les as personnellement utilise pour tes patients? et ton labo est-il au point pour faire un travail aussi beau? Et les resultats tu veux bien nous montrer et dans combien de temps? Moi je parle d'une vraie experience personnelle et je montre mes cas. Donc nous parlons pas la choses, si tu veux je peux montrer des photos des QH faits par certains auteurs qui peuvent tout faire ou presque avec un QH. Donc moi je parle des choses reelles, appliquees et qui marchent.
Nous avons tous vu des plaques et il est claire, plus on met des gadgets dedans plus elle est eppaisse en encombrante, donc ou et comment une reeducation linguale peut se faire, et le comfort du patient??? shauf shi parler comme cha cha ne fous derranche pash.
Je suis d'accord avec Danche pour dire pourquoi attendre 8 ans, je n'ai jamais dit cela, au contraire j'ai deja signale, dans d'autre message, que j'ai des cas de 5 ans avec un QH en bouche sans probleme.
Quant au concept fonctionnel je pense que nous confondons toujours le travail fonctionnel de toute l'enveloppe musculaire, de la langue et surtout la respiration avec l'idee des appareils fonctionnels ou les propulseurs type Balters, Franckel et .... Si j'ai un probleme orthodontique c'est parce que la matrice fonctionnelle est perturbee. L'heredite a sa place mais pour moi c'est tres limitee et il ne faut pas tout mettre sur le dos des genes. Donc si la machine fonctionnelle est deroutee moi je peux en la remettant dans le bon sens corriger les problemes. Un simple ecran buccal peut etre un appareil fonctionnel de propulsion.
Un dernier point, il est admis et connu que les mouvements de translation, le controle du torque et les grande rotation ne peuvent pas se faire en amovible, et si ca marche c'est l'exception, et j'aimerai bien voir des cas avec des preuves. Donc il ne faut pas negliger les interets du fixe.
Pour en finir, pourquoi faire cette discussion perpetuelle: Fixe v amovible, je pense que chaque systeme a ses indications majeures et ses contre-indications, ses avantages et ses defauts. Quand on me pose une question: quel est le meilleur systeme pour faire un tel truc? Je dirai le meilleur c'est celui que tu metrise le mieux. Si les deux donnent les objectifs fixes des le depart, ca reste a prouver par des radio avant et apres, si les objectifs sont respectes alors faisons le travail par n'importe quelle methode et bon vent a tous.
Mais quand il s'agit de mon enfant je metterais pas de l'amovible sauf une plaque de maintien, et encore je prefere de loin un Multi-P en attente si je n'ai pas de contre indication.


Picture1111 zburnd - Eugenol
saidkholoki

17/12/2006 à 07h54

Bonjour tonio,
Pour repondre a ton message et a ce qu'on t'a dit a la fac, cela est du a deux choses:
1- celui qui te l'a dit ne connait pas le QH et ne le maitrise pas donc il va immediatement le critiquer. C'est vrai pour beaucoup de choses dans la vie, on critique sans avoir le moindre experience ni les connaissances necessaires pour donner un jugement, c'est injuste, stupide et frustrant en meme temps, mais c'est la vie il faut en avoir de toutes sortes.
2- Il l'a dit car l'activation du QH avant 1995, quand j'ai ecrit mon article dans la revu de l'ODF, l'activation du QH se faisait en bouche et sans des regles precises. Donc on pouvait facilement depasser les limites et exagerer les activations.
Depuis que cette nouvelle methode d'activation est presentee je peux dire que les defauts d'activation de quad sont minimises. Je parle pour moi et pour tous les confreres que j'ai forme, enseigne ou a qui tout simplement passer le message. Dans le livre d'Antonio Patti sur le traitement precoce il revient la dessus encore une fois avec des shemas et des exemples pratiques et reels. Pour moi le QH, bient fait, bien indique, bien active et bien controle n'a que des avantages. Reste a apprendre ces points la et tout ira bien.


1 eugenol dmj5np - Eugenol
Dancha

17/12/2006 à 11h31

hordeotech Ecrivait:
-------------------------------------------------------
> Bonjour à tous lecteurs,
>
> alors, si un quadhelix est bien adapté
> individuellement, il impose seulement environ 3
> jours difficils à l´enfant, mais s´il est installé
> comme il sort de l´emballage, la souffrance
> prendra un multiple de cette durée.
> D´ailleurs les appareils amovibles, dont j´ai
> mentionné seulement une plaque primitive
> ci-dessus, sont en général fabriqués
> individuellement - en dehors des activateurs
> souples (SB) préfabriques, qui necessitent pas
> d´empreintes, s´ils séraient difficiles à faire
> chez les jeunes enfants.
>

Tu n’as pas lu ce que j’ai écrit ?

Je réalise les quad’hélix directement au fauteuil, sans empreinte, à partir d’un fil droit de 0,9mm.

Quand à la gêne, à 4ans l’adaptation est tellement rapide qu’il n’est pas rare que l’enfant l’oublie rapidement qu’il n’en parle même plus dans la journée.

Daniel


hordeotech

17/12/2006 à 16h26

>La plaque à vérin fonctionne selon le principe d’activation violente, suivie de périodes de repos et de récupération. J’aime pas, c’est trop brutal.<
Est une activation par 0.2 mm, ou même par 0.1 mm violente? On peut réactiver doucement et éviter toute sur-activation. La sur-activation menace pareilment, si les QH ou les écarteurs légers (à ressort) sont mal reglès. Mais pas avec des Fränkel, des Bimler ou des SB – sauf qu´on choisit la fausse taille de ces derniers.

Dans le vieux thème >Supraocclusion<
http://www.eugenol.com/eugenol/read.php?4,92646
qui montre déjà trois cas précoces, des activateurs souples (SB) différents étaient utilisés pour stimuler et guider la croissance.
En détail, des activateurs souples de 3 sources différentes sont présentés. Mais pas encore LA DIFFERENCE des TAILLES qui sont disponibles.
Quant à la Gouttière d´Harmonisation Fonctionelle (= activateur silicone channet, de Jeff, 29.Sep.2005), elle existe en
4 formes avec jusqu`a 8 tailles (enfants et adultes), pour le
Cl. 1 (manque d´espace en général),
Cl. 2 (supraocclusion),
Cl. 3, ou
maxillaire étroite
Cette dernière est pour remplacer le QH, ou le vérin ou l´écarteur léger, qui séraient à fabriquer individuellement sur moulage. Un port nocturne et quelques jours pendant la journée, à la maison, suffirait.
Les tailles commencent, sélon modèle, à 42, 44 ou 50 mm de diamètre vestibulaire de la fin de l´arcade sup. Par cela, elles sont aptés pour la dentition de lait, pour traiter encore plus précocement que dans les cas montrés là.
Pendant qu´un autre tel produit en polyuréthane (je ne sais pas si montré là) est seulement disponible en 2 ou 3 tailles d´un seul modèle, et sa gamme est, par suite, assez limité.


hordeotech

17/12/2006 à 16h28

>les plaques mais cela reste un livre et je voudrais bien savoire si tu les as personnellement utilise pour tes patients?
++ Nous sommes des millions des patients, qui étaient jadis traités comme exemplifié dans ce livre. C´était la méthode standard chez nous pour plus d´un demi-siècle.
>et ton labo est-il au point pour faire un travail aussi beau?
++ Pas si facile à trouver aujourd´hui, pour les raisons qui suivent.
Parmi les 9 appareils que j´ai déjà montré, 3 viennent d´un labo très créative, 3 d´un vieux maître qui donne toujours des cours sur demande, et le expand_leger, je l´ai fait moi-même.

>Et les resultats tu veux bien nous montrer et dans combien de temps?
++ Pour accomplir des résultats à bon temps avant le prochain congrès, il faudrait y commencer un peu plus tôt, si les méthodes sont un peu plus lentes. Est-il tellement grave si un traitement, qui peut être plus confortable pour ceux enfants qui sont sensibles, prend quelques mois de plus?
Nèanmois, gagner 2 ou 3mm de largeur dans la dentition de lait dans
http://www.zahnklammern.eu/fallbeisp/platz/svoh5ohh.jpg
à été achevé en seulement 2 mois.
Heureusement, nous ne sommes pas dans la sylviculture, qui nécessite des périodes de 40 ans...

>si tu veux je peux montrer des photos des QH faits par certains auteurs qui peuvent tout faire ou presque avec un QH.
++ Mais non. Je sais que bcp des entreprises orthodontiques donnent des formations comment étendre l´utilisation de ces élements fixes, qu´ils produisent, sur les enfants toujours plus jeunes.

>Nous avons tous vu des plaques et il est claire, plus on met des gadgets dedans plus elle est eppaisse en encombrante, donc ou et comment une reeducation linguale peut se faire, et le comfort du patient???
++ Ne faut pas acheter tous les gadgets, et pas fabriquer des choses sans y penser. Comme les QH, les plaques peuvent être bien ou mal faites.
Re-examinez
http://www.zahnklammern.eu/eug_5a8/reeduc_avec.jpg
qui vient de John Mew de www.orthotropics.com, est épreuvé dans centaines de cas, travaille à travers et en avant, permet même des dérotations des incisives, et néanmoins laisse l´espace pour la langue et ne gêne plus à la parole qu´un QH qui est bien fait.
>shauf shi parler comme cha cha ne fous derranche pash...
++ .. comme cet enfant de 4 ans était forcé de bredouiller 24/24h, par le vieux modèle (+de 20 ans) de QH de Dancha? On ne va pas encore à l´école à l´âge de 4, mais néanmoins ...
Le modèle actuel laisse le front du palais libre, ce qui est essentiel pour une prononciation claire, et est regardé aussi par cet modèle de plaque.

QUANT AUX FONCTIONNELS, il faut distinguer 2 catégories:
Les uns sont ces propulseurs qui donnent appui. Comme l´activateur rigide que j´avais porté moi-même 14/24 h (pas précocement), et qui à néanmoins guéri 10 mm de décalage, sans forces extra-orales en addition, et qui en même temps a laissé monter mes prémolaires inf. jusqu´à la plan occlusal. Résultat stable, mais pas d´espace pour les dents de sagesse gagné.
Les autres appuyent rien, mais entraînent une meilleire tenue et fonction musculaire, qui remet la machine fonctionnelle en route. Comme les écrans buccaux, les SB, les Fränkel ou les Bimler. Tous peuvent, avec un peu de la chance, gagner l´espace pour toutes les dents.
Et le premier entraînement de propulsion est l´allaitement.

>Un dernier point, il est admis et connu que les mouvements de translation, le controle du torque et les grande rotation ne peuvent pas se faire en amovible, et si ca marche c'est l'exception, et j'aimerai bien voir des cas avec des preuves. Donc il ne faut pas negliger les interets du fixe.
++ Pas negliger pour les cas tardifs. Mais en vos propres mots, seulement très peu modifié:
>a ce qu'on t'a dit a la fac ou aux formations, cela est du a deux choses:
1- celui qui te l'a dit ne connait pas les possiblités des amovibles et ne les maitrise pas donc il va immediatement les critiquer. <
Des millions des patients qui étaient traités en amovible, sont ils alors des cas ratés - sauf ceux qui étaient légers ou des rares exceptions?
Cas précoce avec 4 agénesies (2 étaient fermés, et 2 dents de lait gardées à bon état)
http://www.zahnklammern.eu/fallbeisp/nichtanl/nichtanl.html

Cas adulte, traité avec le vieux machin de Crozat
http://www.zahnklammern.eu/fallbeisp/svm9im9o.jpg
ou pour l´histoire entier
http://www.zahnklammern.eu/fallbeisp/croz/croz.html
Pour les tardifs, il est essentiel de pousser avec le ressort, ou visser le segment très lentement. Et si le dent s´incline néanmoins, ralentir encore, ou faire une pause.

Un dent qui pousse a normalement la tendance de se mettre debout. Même si les dents marchent en avant en cas d´une perte précoce d´une molaire de lait, elles restent debout pendant cette translation indésirée. Par contre, les dents des adultes peuvent s´incliner dans une lacune.

Il ne faut pas negliger non plus, quel intêret tiennent des entreprises de vendre leurs brackets et les produits y reliés, comme les QH et FEO. Et ceux qui fabriquent les produits additifs pour améliorer l´hygiene pénible...
Ils le vendent pas seulement par catalogue, mais en plus par les formations.
Par ces circonstances, l´ancienne maîtrise des appareils amovibles va à vau-l´eau, comme on voit ici, ou au moins, elle se rétrécit dans le secteur de la médécine alternative.

Pour apprendre comment laisser une choix aux petits patients, on peut trouver des formations chez
http://www.i-ortho.net (Ne jamais attendre...ils montrent des cas intéressants)


Picture1111 zburnd - Eugenol
saidkholoki

19/12/2006 à 05h42

Bonjour hordeotech,
Merci encore une fois pour les images envoyees toujours du meme site et meme livre, Je crois bien que pour sortir de cette discussion avec un interet pratique et constructif il faut dire:
1- le systeme amovible etait bien avant le fixe et il est toujours la, tant mieux pour ceux qui ne savent pas faire autre chose.
2- L'evolution des connaissances, des materiaux, da la mentalite des patients, des attitudes des praticiens et du phenomene de societe, tous cela nous obligent a evoluer aussi et nous poussent a changer notre facon de voir et de faire les choses.
3- En parlant du marketing et des interets financiers des boites pour vendre des brackets je vous signale que ce sont les memes boites qui fabriquent les produits pour amovible donc sur les deux cotes elles gagnent. Vos propos peuvent etre interpretes de la meme maniere en ce qui concerne les appareils amovibles.
4- Si l'orthodontiste arrive a faire sa formation, on dirait qu'on est en train de faire la pub pour certains cours en amovible!, il faut maintenant imposer a son labo de faire sa formation aussi ou faut travailler avec certains labos et cela fait progresser les affaires aussi !!
5- Le temps est primordial dans tout ce qu'on fait donc il ne faut pas dire qui si le traitement dure un peu plus longtems cela sera sans importance!! Il faut faire les choses bien et vite car on est sous pression en permanence de la part des patients et des parents.
6- Je maintients mon idee en ce qui concerne les incapacites de l'amovible pour faire un mouvenment de translation pure, pour deroter les molaires, pour changer le torque radiculaire, pour ingresser les incisives selon leurs axes quand on en a besoin et pour la reeducation fonctionnelle pendant le traitement.
7- Il y a une difference entre appareil fonctionnel, souple ou rigide qqsoit son nom, et le concept fonctionnel qui utilise la matrice fonctionnelle blobale dans le traitement grace a une reeducation auto consciente et active ou le patient est l'acteur principal dans ce senario, ce qu'on appelle l'Awareness Training.
8- Pour finir, si j'arrive a faire du beau travail, ma conscience professionnelle est tres tranquile et que mon patient et ses parents sont contents de ce que je fais, qqsoit la methode c'est le but de notre metier. Le meilleur system c'est celui que maitrise le mieux.


Picture1111 zburnd - Eugenol
saidkholoki

19/12/2006 à 05h46

Re-Bonjour hordeotech,
Puorriez vous me dire depuis cobmien de temps vous travailler en amovible? Est-ce que vous avez essaye le fixe? Votre choix est fait a cause de votre formation de depart ou c'est un choix personnel clinique et pratique?
merci


hordeotech

19/12/2006 à 19h52

Encore un fois bonjour Kholoki,
quant à moi, je travaille dans la recherche.

>5- ... on est sous pression en permanence de la part des patients et des parents.
++ De façon, >quand vas-tu enlever cette chose gênante de ma bouche?<
Si le traitement est plus agrèable, pourquoi ne doit-it pas prendre un mois de plus, ou deux? En plus, j´ai déjà donné un exemple qui n´a pris que 2 mois avec une plaque dans dentition de lait, au contraire à ces 6 mois qui semblent d´être d´usage avec les QH?
Au surplus, les résultats de la réeducation fonctionnelle prennent aussi leur temps, et en plus, démandent la cóopération de l´enfant. Alors on ne peut pas raisonner ici contre les appareils amovibles par un manque global de cóopération parmi des enfants d´aujourd´hui.

Et quant à la vitesse en général, la vitesse de transformation du tissu est limité. Si on la dépasse, surtout avec des forces ininterrompues et trop grandes, le tissu est endommagé. Je doute que les patients ou parents veulent ça.

> 6- Je maintients mon idee en ce qui concerne les incapacites de l'amovible pour faire un mouvenment de translation pure, pour deroter les molaires, pour changer le torque radiculaire, pour ingresser les incisives selon leurs axes quand on en a besoin et pour la reeducation fonctionnelle pendant le traitement.

++ Laissons les rares cas extrèmes à côté, mais quant aux cas moins extrèmes, il me semble que vous n´avez pas regardé, ou pas compris les photos que j´ai fourni à vos questions. D´ailleurs, ces appareils en gris, en rosé, en bleu et en jaune ne viennent pas d´un seul livre, mais de 5 sources différentes au moins!
>translation pure
++ Encore une fois en bref, une ferméture des agénesies des 2 avec une plaque, précocement:
http://www.zahnklammern.eu/fallbeisp/nichtanl/svm7pm85.jpg
(pour toute la histoire, cherchez ci-dessus)
Ou ce cas d´un adolescent d´une autre source
http://www.zahnklammern.eu/fallbeisp/parallel/svbbnbbo.jpg
(pour en savoir plus, voir)
http://www.zahnklammern.eu/fallbeisp/parallel/parallel.html
Ou ce cas adulte dont manquait une prémolaire, et la lacune était fermée avec les gouttières d´Invisa...

>deroter les molaires
++ Déjà donné 2 possibilites différentes, de 2 sources.
>ingresser les incisives
++ Neuf ... et je ne vais pas fouiller dans mes archives pour que vous l´ignorez, car c´est simple à décrire:
comme chez la réeduc fonctionnelle que nous favorisons, la force pour la transformation saine peut venir de la bouche du patient même. On utilise la force de la morsure.
Les cas légers tardifs et même les cas severes précoces marchent bien avec les SB. Voir dans mes données „Sans contrainte et sans empreinte“ d´avant-hier, le lien >Supraocclusion< aux résultats pratiques qui viennent bien d´ici. Vous pouvez vous renseigner auprès des auteurs. Il existe même une modèle des SB contre la supraocclusion, dont la partie antérieure est renforcée.
Un même modèle est conçu dans le système Bimler, mais c´est plus compliqué et faudrait un bon labo... Il sérait plus facile de réaliser un surhaussement en silicone (matériau pour remplir des prothéses branlantes) sur un activateur rigide – qui peut aussi laisser le palais antérieur libre,
>pour la reeducation fonctionnelle pendant le traitement!
++ Aussi libre comme ces 4 types des amovibles que j´ai déjà montré ici, pour que vous les ignoriez: les Bimler, la plaque bleue (maintenant, pour le TROISIEME fois!)
http://www.zahnklammern.eu/eug_5a8/reeduc_avec.jpg
qui est conçu pour convenir à la reeducation fonctionnelle (!!!) par John Mew
http://www.orthotropics.com
et est épreuvé dans des centaines de cas.
Puis encore une fois mon petit bricolage
http://www.zahnklammern.eu/eug_5a8/expand_leger.jpg
qui dérange moins qu´un QH, et enfin les correcteurs de fonction sélon Fränkel, qui ne sont pas des activateurs, mais figurent dans la même catégorie que vos écrans buccaux!

>le concept fonctionnel qui utilise la matrice fonctionnelle blobale dans le traitement grace a une reeducation auto consciente et active ou le patient est l'acteur principal dans ce senario, ce qu'on appelle l'Awareness Training.

++ AWARENESS TRAINING - c´est ça le truc?!
Au pays où on connait guère des amovibles, ils re-inventent la roue, et en plus, pour la vendre à nous, nous faisent d´abord oublier que nous avons inventé des roues nous-mêmes.
A l´époque des fonctionnels, les maîtres de nos techniques indigènes reconnaissent l´importance de maintenir la bouché fermée, et des autres fonctions saines.
Par ex.
http://www.dentosophie.com
pense toute similaire.

Ne personne peut savoir et faire tout.
Il est bien de perfectionner une ou plusieurs méthodes qu´on préfère.
Et il est généreux de réspecter et apprécier aussi des autres méthodes, et par suite, de laisser aller ceux parents ou enfants qui veulent pas la méthode de la maison, au lieu de les y forcer.


Picture1111 zburnd - Eugenol
saidkholoki

20/12/2006 à 05h03

Re-bonjour Hordeotech,
Vous dites que vous travailler dans la recherche, mais dans quel domaine? Pratique, theorique, materiaux, resultats des traitement ou autres...
Est-ce que a cote de votre travail comme chercheur, vous avez votre cabinet ou vous excercer l'orthodontie? et commenet vous faites pour faire les deux en meme temps? c'est dure n'est-ce pas!


christophe

20/12/2006 à 12h23

bonjour en france aussi on sait fabriquer c est differents appareils


christophe

20/12/2006 à 12h32

les photos


christophe

20/12/2006 à 12h37

re