Cookie Consent byPrivacyPolicies.comvotre avis svp sur le tri auto zx de morita - Eugenol

votre avis svp sur le tri auto zx de morita

PopHip

21/12/2006 à 10h57

mark Ecrivait:
-------------------------------------------------------
> Ce que je veux dire, c'est que l'argument qui
> consiste à dire que les meilleurs lâchent une
> méthode parce qu'elle est trop facile et trop
> rapide, me paraît pour le moins spécieux...
> Quant à la raison d'une possible discordance entre
> le temps perçu par le "client" et le caractère
> proportionnellement "exorbitant" des honorairess,
> si on compare au temps total de la séance, là on
> frise l'agression verbale... Et là, je m'y connais
> ;)

J'ai entendu aussi un cours d'implanto: "ne posez pas vos implants trop vite, 20mn de chirurgie ont du mal à faire accepter 1000 euros d'honoraires". Triste mais raisonnable ?


ben

21/12/2006 à 11h24

Eux ils donnent des rdv de 1h, 1h15 pour un retraitement molaire. Ils sont donc biens plus forts que moi qui donne un rdv de 2 heures (bien que j'obture au thermafil quasi systématiquement) mais bien moins que mon ancien associé qui savait le faire en 5 minutes montre en main.


al

21/12/2006 à 11h27

pourquoi un caillou en carbonne pur, de quelques milligrammes, personne ne s'étonne qu'il coûte une fortune ?

je crois surtout que nous sommes pollués par une vision normée par notre acceptation de la convention. une endo bien faite ça coûte de l'argent, beaucoup d'argent. Parce qu'au delà du plateau technique, il y a aussi le technicien, et l'investissement temps qu'il est obligé de faire pour avoir des résultats valables proches de 100%, la ou la statistique générale n'en n'accorde que 20%.

je connais les endodontistes sus-suggérés, et le plateau technique qu'ils mettent en oeuvre. je ne sais pas s'il est le meilleur d'europe, mais il est à tomber parreterre. et comme les mecs qui s'en servent sont loin d'être des manches, je pense que le procès qui leur est fait, est un mauvais procès.

au lieu de tirer à vue sur des praticiens qui se défoncent vraiment pour ce qu'ils font, et s'il est vrai qu'il le font payer, ce n'est pas volé.

pour ma part, je préfère définitivement cette manière de faire, plutôt que de savoir qu'en france l'endo est cotée SC34 au maximum, et qu'à ce tarif on paye aussi bien l'obturation au lentulo garantie pêche dans les 3 mois, que celle en condensation gutta chaude, fut-elle au thermafill, après une préparation nikel(titane). et que le payeur qu'est l'état ne se soucie absolument pas de savoir ce que coûte réellement cette situation, sur le plan de la santé publique. je veux parler des conséquences cardiaques diverses et variées par exemple.

mais ce n'est que mon avis...


PopHip

21/12/2006 à 11h56

al Ecrivait:
---------

> mais ce n'est que mon avis...

On est ici juste en train de tirer sur le snobisme du "moi môsssieur je ne me rabaisse pas au thermafill", on sait sinon que les tarifs spécialistes sont justifiés...


ben

21/12/2006 à 12h05

Tout à fait, nul procès n'est fait à ces messieurs.
Ils considèrent simplement que l'obturation au thermafil n'est pas "une obturation de "spécialiste"".
Je voulais simplement avoir l'avis d'exclusifs sur cette affirmation. Rien de plus.


al

21/12/2006 à 12h11

connaissant les intéréssés, je ne pense pas que les choses soient aussi simple que ça.

mais là aussi ce n'est que mon avis...


ben

21/12/2006 à 12h31

Je ne fais que répéter ce qui m'a été dit aussi simplement que ça.


PopHip

21/12/2006 à 12h39

"C'est celui qui l'dit qui y est."


Stéphane

21/12/2006 à 12h43

Oui l'obturation au thermafil est une obturation de specialiste. Ella a l'avantage de pouvoir etre utilisee par toute le monde specialiste ou non. En quoi elle ne le serqit pqs d'ailleurs ?
Cependqnt, elle presente une difficulte pour les praticiens qui ne travaillent qu'avec des correspondants; beaucoup de praticiens ne sont pas a l'aise pour la desobturation partielle au moment de la reconstitution corono radiculaire. C'est pour cela que personnellement j'avais arreté d'utiliser ce ssysteme; mais cette decision n'a rien de reeleement evidence based...
De toute façon, le probleme n'est pas dans l'obturation, mais dans la preparation.

Au fait, c'est quoi un specialiste ?


ben

21/12/2006 à 13h25

100% d'accord avec toi.
Et pour cette histoire de tuteur, effectivement très emmerdant pour les correspondants, je les coupe jusqu'à 4 ou 5 mm de l'apex puis je remonte en gutta chaude injectée.
ça fait plus de boulot, mais si ce tuteur intellectuellement gêne nos trois confrères, perso, intellectuellement toujours, il me rassure, car lui au moins ne se rétracte pas.
Et le terme de "spécialiste" était un raccourci pour désigner ceux qui ont limité leur pratique à l'endodontie, sans prétention aucune, on en apprend tous les jours.
Je suis content de pouvoir conserver mes cuves, et une technique que je maitrise bien, merci.


Images eb1m5g - Eugenol
tonio

21/12/2006 à 13h49

wahou ben! mais ça paraît un peu compliqué ton affaire, non?

pourquoi ne pas obturer les deux racines M au thermafill et la racine D au gutta condensor ou au system B?

Tu préféres une étanchéité apicale de thermafill??? pourtant elle est équivalente à celle d'un systéme B.


Pa050055 igyagy - Eugenol
mark

21/12/2006 à 13h59

Décidément Stéphane, c'est un plaisir de te lire! Tant de réalisme et d'humilité t'honorent.

Se baser sur le terme de "Spécialiste" pour décréter le niveau d'une endo sans distinction du cas, pour accréditer une méthode ou l'abandonner, pour justifier des honoraires en terme de temps et de moyens, a quelque chose de surréaliste!

Alors un non spécialiste, par extension du raisonnement, devrait abandonner une méthode plus rigoureuse et se contenter d'une méthode pour "dentiste de base" en recourant au thermafill ou herofil ou autre?

Et un prétendu, ou nourissant l'ambition d'un "spécialiste" se déprécierait à continuer de pratiquer une méthode ici vantée par les héraults de l'évidence scientifique?

Ils se la pètent pas un peu nos confères émérites?

Envoyer les arguments messieurs les spécialistes!

J'en entrevois bien la trame, mais laissons parler les tops of the top:


ben

21/12/2006 à 15h15

Pour tonio: je ne traite pas de la sorte tous les canaux, ça dépend des cas bien entendu.


ben

21/12/2006 à 15h17

Et si je me souviens bien, la consoeur que tu as remplacée (A.C.) procède de la sorte également.
Et annie, elle en pense koi ???


al

21/12/2006 à 15h20

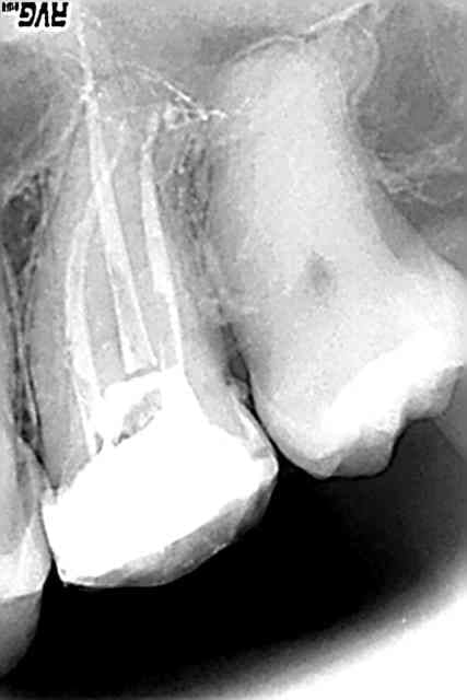
il est pas beau mon sapin ? allez qui m'enguirlande ?

Gueri suhtdz - Eugenol

ben

21/12/2006 à 15h22

Je me suis fait planter, sans prévenir, du rdv de 10h30 à 12h30 et là je me fait chier à attendre celui de 14h00 qui est injoignable. Je finis bien l'année.


Images eb1m5g - Eugenol
tonio

21/12/2006 à 15h24

mac spadden ou microseal dans une grande majorité des cas.


200106 10150128247663588 709988587 6466236 5598391 n d7mksb - Eugenol
hallboy

21/12/2006 à 15h28

BEn; tu t'es installé en douce à Marseille?? C'est con, il etait super sympa ton ancien cab!!


Images eb1m5g - Eugenol
tonio

21/12/2006 à 15h32

al Ecrivait:
-------------------------------------------------------
> il est pas beau mon sapin ? allez qui
> m'enguirlande ?


MOI! lol

joli joli, surtout pour les canaux latéraux.

Le seul truc qui me chiffonne un petit peu, c'est le manque de densité de l'obtu sur certaines portions du canal, comme au milieu de ta racine MV. On y voit encore la trace du plugger du systéme B. difficulté pour remplir la moitié coronaire du canal? why? la gutta en cartouche du sybron n'est pas bien?

Très joli tout de même!


al

21/12/2006 à 16h27

rien à voir tonio. il va y avoir un IC, alors à quoi ça sert d'obturer jusqu'en haut pour désobturer quelques minutes après...


200106 10150128247663588 709988587 6466236 5598391 n d7mksb - Eugenol
hallboy

21/12/2006 à 16h29

Et puis c'est de ta faute auusi, si on devient difficiles : les coup francs pleine lucarne faut qu'ils soient poteau rentrant, et qu'il y en ait 2 de suite comme contre l'italie!!

Donc comme dirait Alain: le sapin ET les boules!!


024 vownvo - Eugenol
annie

21/12/2006 à 16h40

ben Ecrivait:
-------------------------------------------------------
> Et si je me souviens bien, la consoeur que tu as
> remplacée (A.C.) procède de la sorte également.
> Et annie, elle en pense koi ???

Si ça continue,annie va penser que pour tous ceux qui posent cette question, comme ils sont de plus en plus nombreux,elle va être obligée de créer un site spécial,réservé aux réponses,moyennant finances évidemment
préparez vos cartes bleues!


024 vownvo - Eugenol
annie

21/12/2006 à 16h59

ben Ecrivait:
-------------------------------------------------------
> Je me suis fait planter, sans prévenir, du rdv de
> 10h30 à 12h30 et là je me fait chier à attendre
> celui de 14h00 qui est injoignable. Je finis bien
> l'année.

Pouquoi tous tes patients te laissent tomber ? Tu devrais plancher un peu sur le coté relationnel entre les individus,et peut-être changer ton comportement!


ben

21/12/2006 à 17h26

Tu vois que j'ai bien fait de te demander conseil !


ben

21/12/2006 à 17h32

Je te clos direct.


12345...