Cookie Consent byPrivacyPolicies.comvotre avis svp sur le tri auto zx de morita - Eugenol

votre avis svp sur le tri auto zx de morita

Image 4 lrchtq - Eugenol
Alain

21/12/2006 à 17h34

héhé!

Moi auss,i pas mal de lapin au menu. Ils sont déjà tous à côté du sapin.


024 vownvo - Eugenol
annie

21/12/2006 à 17h34

ben Ecrivait:
-------------------------------------------------------
> Tu voies que j'ai bien fait de te demander conseil
> !

je verrais mieux sans ton E qui me bouche l'horizon,mais je suis ravie que tu prennes conscience que mes conseils sont précieux
Mieux vaut tard que jamais!



ben

21/12/2006 à 17h37

Parles pas de sapin, Alain, y'a annie qui rode.


WillyPertot

21/12/2006 à 17h41

Je prends la discussion en cours.
Je ne veux pas rentrer dans la discussion sur les spécialistes et leurs avis ou le fait d'être plus à l'aise pour eux avec une technique ou une autre, mais plus parler de fait :
Si on fait la littérature (la dernière fois que j'en ai fait une exhaustive sur le sujet est il ya à peu près 6 mois et depuis d'autres arcticles sont surement parus) on trouve que :


024 vownvo - Eugenol
annie

21/12/2006 à 17h41

ben Ecrivait:
-------------------------------------------------------
> Parles pas de sapin, Alain, y'a annie qui rode.

non,il parle de lapin,Alain,ça ne t'évoque rien?


024 vownvo - Eugenol
annie

21/12/2006 à 17h43

Willy Pertot écrivait

on trouve que?


ben

21/12/2006 à 17h43

T'as coupé Willy, ça sent le sapin.


024 vownvo - Eugenol
annie

21/12/2006 à 17h44

ben Ecrivait:
-------------------------------------------------------
> T'as coupé Willy, ça sent le sapin.

Non,il cherche encore,il n'a pas trouvé


ben

21/12/2006 à 17h46

Tu crois qu'on trouve rien ????
Le club des 3 m'aurait donc menti à l'insu de mon plein gré !!!!


024 vownvo - Eugenol
annie

21/12/2006 à 17h49

ben Ecrivait:
-------------------------------------------------------
> Tu crois qu'on trouve rien ????
> Le club des 3 m'aurait donc menti à l'insu de mon
> plein gré !!!!


c'est qui le club des 3,je te croyais le seul capable de trouver quelque chose,d'après toi,bien sûr!


024 vownvo - Eugenol
annie

21/12/2006 à 17h50

Willy? doit on s'inquieter,appeller le samu,ou il a eu une urgence?


Images eb1m5g - Eugenol
tonio

21/12/2006 à 17h53

al Ecrivait:
-------------------------------------------------------
> rien à voir tonio. il va y avoir un IC, alors à
> quoi ça sert d'obturer jusqu'en haut pour
> désobturer quelques minutes après...


bé oui, j'ai bien compris ta manoeuvre pour le canal P, je te parle du canal MV un peu avant la courbure.

Tu penses faire un ICC car tu as aussi laissé un vide en coronaire dans la racine DV???


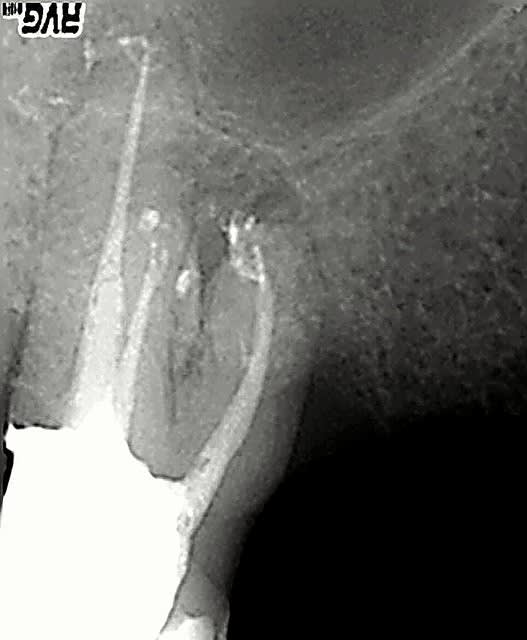
Image odged8 - Eugenol
ploc

21/12/2006 à 17h53

la gine(s)te l'a achevé


WillyPertot

21/12/2006 à 17h59

Fausse manip désolé : on continue.

En ce qui concerne l'étanchéité apicale :
- il y avait 28 études qui comparaient le Thermafil à la latérale : 10 ne montraient pas de différence, 14 montraient que le Themafil était meilleur, 3 que la latérale était meilleure.
- Il y avait 5 études qui comparaient la technique de Schilder au Thermafil : 1 ne montrait pas de différence entre les 2 techniques, 2 études que le Thermafil était meilleur, et 2 études que la verticale était meilleure.
- Il y avait 5 études qui comparaient le Thermafil au System B - 3 pas de différence - 1 Thermafil meilleur - 1 System B meilleur.

Par rapport à l'obturation des espaces latéraux, grosso modo les études montrent des résultats identiques.
Par rapport à la courbe d'apprentissage et à la maitrise de la technique, le Thermafil est plus simple que toutes les autres techniques.

Pourquoi est ce que les spécialistes ne l'utilisent pas ?
Lesquels ? Moi j'en connais, et pas des plus manches et qui l'utilisent (par exemple JY Cochet, Giuseppe Cantatore, ...). Et j'en connais d'autres qui ne se sentent ps à l'aise avec. C'est leur droit.
Personnellement, je fais les deux (System B modifié, et Thermafil).

La préparation du tenon peut être un problème quand on fait l'endo et qu'on renvoie au praticien qui a référé le cas. S'il n'est pas équipé avec la Post Space Bur et qu'il ne connait pas la technique, il aura du mal.
Cela dit, la Post Space Bur marche super bien dans les canaux ronds, mais dans les canaux plats, elle a tendance à repousser le Tuteur sur le coté. Donc, en fonction, je lui prépare le logment du tenon moi même (après lu avoir posé la question et beaucoup en sont très content), alors que je suis sous digue et que je connais les repères coronaires et les angulations des canaux.

Pour un généraliste qui fait ses propres endos, avec de l'habitude, il n'a pas de problèmes particuliers.

Le Thermafil est une bonne technique, qui a fait ses preuves, qui est largement étudiée dans la littérature. Dire le contraire est un avis personnel, non fondé sur quelque argument scientifique que ce soit. On peut dire qu'on ne se sent pas à l'aise pour différentes raison et qu'on lui préfrère une autre technique comme la verticale et le System B qui ont aussi fait leurs preuves et qui sont aussi bonnes, mais dire que c'est un ersatz de gutta chaude n'est pas fondé.



Image odged8 - Eugenol
ploc

21/12/2006 à 18h11

WillyPertot Ecrivait:
-------------------------------------------------------
>
>
> La préparation du tenon peut être un problème
> quand on fait l'endo et qu'on renvoie au praticien> qui a référé le cas. S'il n'est pas équipé avec la> Post Space Bur et qu'il ne connait pas la> technique, il aura du mal.
>

à vous spécialiste de nous indiquer eventuellement la marche à suivre....

le praticien qui adresse est déjà interessé par de bonnes endo sur ses patients,donc devrait être receptif

dommage de ne pas utiliser le thermafill si la raison n'est QUE celle là:pas besoin d'etre très cortiqué ni mme très adroit pr savoir utiliser la post space bur(au besoin lui offrir la première plaquette avec le mode d'emploi:))



>
>
>



al

21/12/2006 à 18h13

tonio Ecrivait:
-------------------------------------------------------

> Tu penses faire un ICC car tu as aussi laissé un
> vide en coronaire dans la racine DV???


yep, même que l'empreinte a été prise dans la foulée, de la gutta...


Images eb1m5g - Eugenol
tonio

21/12/2006 à 18h14

CQFD

mais comment est définie cette notion "meilleure"?

par la radio opacité? par des tests d'infiltration par des bactéries ou leurs endotoxines?

Pour ce qui concerne le thermafill, j'aimerai qu'il soit un poil plus radio opaque.

Même si cela n'a pas de valeur scientifique, je trouve que les obtu à la gutta classique (chaude ou réchauffée) sont plus "esthétiques". Enfin, j'dis ça, c'est juste pour le plaisir des yeux... ;-)


024 vownvo - Eugenol
annie

21/12/2006 à 18h21

tonio Ecrivait:
-------------------------------------------------------
> CQFD
>
> mais comment est définie cette notion
> "meilleure"?
>
> par la radio opacité? par des tests d'infiltration
> par des bactéries ou leurs endotoxines?
>
Si une technique devait être qualifée de meilleure,elle devrait être validée par 100% des tests,s'il y a autant de pourcentages différents,a quoi sont ils dus,à la technique,à d'autres facteurs ?



alhoun

21/12/2006 à 18h22

moi je le trouve joli, le termafil.


bon, pas autant qu'un implant, mais quand même.

Meuh non s3fupx - Eugenol

024 vownvo - Eugenol
annie

21/12/2006 à 18h28

oh,le beau faux canal ! c'est pas grave si on en trouve que trois quelquefois!


al

21/12/2006 à 18h32

l'obturation n'est qu'une toute petite partie du traitement endodontique.

machtou a qui j'ai montré quelques unes de mes endos, et qui ici ont provoqué quelques remarques sur le manque de densité, m'a dit texto, "moi je m'en fous de l'obturation, c'est la préparation qui m'intéresse".

donc, quelle que soit la technique d'oburation, pour ce qui me concerne, si derrière la préparation n'a pas suivi les cinq principes de base de la préparation schilderienne, on a pas mis toutes les chances de son côté, ou tout au moins du côté du patient.

mais ce n'est que mon avis de simple omnipraticien de banlieue...


024 vownvo - Eugenol
annie

21/12/2006 à 18h35

Oui,mais dans ce cas à quoi servent les photos? et
comment peut on prouver la bonne désinfection,ça passe pas à l'image,mise à part le tracé de la préparation


alhoun

21/12/2006 à 18h39

c'est un faux canal? bin zut alors!!

y avait un trou, y avait une butée apicale.
aucune dispersion de gutta et de ciment.
aucune suite post-op.
ça doit être un faux canal.


Images eb1m5g - Eugenol
tonio

21/12/2006 à 18h40

alhoun Ecrivait:
-------------------------------------------------------
> moi je le trouve joli, le termafil.
>
>
> bon, pas autant qu'un implant, mais quand même.


pffff... voilà, mon argument esthétique n'a pas tenu 5 minutes à cause de toi. quoique... moi aussi je sais m'amuser avec les thermafill!!!

bon, alhoun! honnêtement! Y a t'il une discipline de la dentisterie ou tu n'es pas excellent???

R4 j2ihky - Eugenol

024 vownvo - Eugenol
annie

21/12/2006 à 18h43

Autour d'un canal,ne doit on pas voir l'image de la racine? c'est la moindre des choses quand même


1...456...