Cookie Consent byPrivacyPolicies.comvotre avis svp sur le tri auto zx de morita - Eugenol

votre avis svp sur le tri auto zx de morita

al

21/12/2006 à 18h50

tonio Ecrivait:
-------------------------------------------------------

> bon, alhoun! honnêtement! Y a t'il une discipline
> de la dentisterie ou tu n'es pas excellent???


les plombages ?


Images eb1m5g - Eugenol
tonio

21/12/2006 à 18h53

heureusement qu'annie est là pour te remettre dans le droit chemin!!! hein, alhoun???

Encore une argument à mettre au profit du localisateur: déterminer la LT des racines hypominéralisées.
Encore un argument pour démonter que l'apex radiologique ne correspond pas à l'apex anatomique.

j'te jure...


Images eb1m5g - Eugenol
tonio

21/12/2006 à 18h54

al Ecrivait:
-------------------------------------------------------
> tonio Ecrivait:
> --------------------------------------------------
> -----
>
> > bon, alhoun! honnêtement! Y a t'il une
> discipline
> > de la dentisterie ou tu n'es pas excellent???
>
>
> les plombages ?
>
>


MDR!!!

Et encore, le bougre, je suis sûr qu'il maîtrise encore le choixpeau chinois et la spatule hollenbach à merveille!


024 vownvo - Eugenol
annie

21/12/2006 à 18h55

tonio Ecrivait:
-------------------------------------------------------
> heureusement qu'annie est là pour te remettre dans
> le droit chemin!!! hein, alhoun???
>
> Encore une argument à mettre au profit du
> localisateur: déterminer la LT des racines
> hypominéralisées.
> Encore un argument pour démonter que l'apex
> radiologique ne correspond pas à l'apex
> anatomique.
>
> j'te jure...

j'attends d'autres avis que ceux de débutants!!!



al

21/12/2006 à 19h04

tonio Ecrivait:
-------------------------------------------------------

> Et encore, le bougre, je suis sûr qu'il maîtrise
> encore le choixpeau chinois et la spatule
> hollenbach à merveille!


l'orthodoxie alors. pardon, l'orthodontie...


024 vownvo - Eugenol
annie

21/12/2006 à 19h08

alhoun Ecrivait:
-------------------------------------------------------
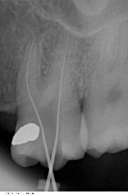
> c'est un faux canal? bin zut alors!!
>
> y avait un trou, y avait une butée apicale.
> aucune dispersion de gutta et de ciment.
> aucune suite post-op.
> ça doit être un faux canal.

Comment expliquer dans ce cas que l'on ne voit aucune trace,mais aucune, de la racine qui devrait
contenir ce canal?



WillyPertot

21/12/2006 à 19h08

al Ecrivait:
-------------------------------------------------------
> l'obturation n'est qu'une toute petite partie du
> traitement endodontique.
>
> machtou a qui j'ai montré quelques unes de mes
> endos, et qui ici ont provoqué quelques remarques
> sur le manque de densité, m'a dit texto, "moi je
> m'en fous de l'obturation, c'est la préparation
> qui m'intéresse".
>
> donc, quelle que soit la technique d'oburation,
> pour ce qui me concerne, si derrière la
> préparation n'a pas suivi les cinq principes de
> base de la préparation schilderienne, on a pas mis
> toutes les chances de son côté, ou tout au moins
> du côté du patient.
>
> mais ce n'est que mon avis de simple omnipraticien
> de banlieue...

Il a bien raison que c'est la préparation qui est la plus importante. Et aussi, quand on dit préparation ça inclu le temps d'irrigation.
On peut aujourd'hui faire une très belle préparation en 5 min sur un canal. Et obturer après avec tout ce que vous voulez et que ce soit très beau et très dense. Mais quid du nettoyage ?
Cela dit, il ne s'en fout pas complètement de l'obturation, puisqu'il a passé quand même pas mal de temps à faire des conférences sur la gutta chaude et que c'est certainement lui qui a fait connaitre et défendu en France la technique de Schilder. Qu'est ce que ça aurait été s'il ne s'en foutait pas :-)



Images eb1m5g - Eugenol
tonio

21/12/2006 à 19h11

merci al. j'en ai un autre. la dentisterie holistique?

Dis, tu veux pas convaincre annie pour moi. Elle fait une fixation sur les dires des débutants et ne croit que les praticiens expériementés.


WillyPertot

21/12/2006 à 19h12

annie Ecrivait:
> Si une technique devait être qualifée de
> meilleure,elle devrait être validée par 100% des
> tests,s'il y a autant de pourcentages différents,a
> quoi sont ils dus,à la technique,à d'autres
> facteurs ?
>
>
Y a rien qui est à 100% jamais. Si tu en trouves en biologie, quelque soit la technique, je suis preneur.
Les études doivent être interprétée avec précaution mais elles donnent un faisceau d'indices qui au final, avec l'accumulation, montrent une tendance. Et nous nous devons d'appliquer les matériaux et les techniques dont la tendance montre qu'ils nous permettent d'augmenter le pourcentage de succès.


alhoun

21/12/2006 à 19h14

tonio, holistique, ça veut dire globale, non?


annie, encore un indice: zéro saignement du faux canal, étrange ,non?

je peux?




(annie, pour elle même: je l'aurai un jour, je l'aurai!!!)


024 vownvo - Eugenol
annie

21/12/2006 à 19h16

Dr willy
pourriez vous interpreter la radio d'alhoun et répondre à ma question sur l'absence de l'image de la racine?
merci


Marque a3 orange fyvhyq - Eugenol
Marc Apap

21/12/2006 à 19h16

Pour Tonio : la gutta du Thermafil est, je crois, en phase alpha.
Les études (pas les références, il faut aller les chercher sur pubmed) montrent que cette gutta est moins radio opaque que la gutta classique.
C'est une question de feeling (et non de filling). En faisant jouer le contraste sur la radio numérique, on doit pouvoir trouver son bonheur.


024 vownvo - Eugenol
annie

21/12/2006 à 19h18

alhoun Ecrivait:
-------------------------------------------------------
> tonio, holistique, ça veut dire globale, non?
>
>
> annie, encore un indice: zéro saignement du faux
> canal, étrange ,non?
>
> je peux?
>
>
>
>
> (annie, pour elle même: je l'aurai un jour, je
> l'aurai!!!)

Le bol ça existe,ou alors anesthésie trop adrenalinée qui a empêché le saignement


al

21/12/2006 à 19h20

WillyPertot Ecrivait:
-------------------------------------------------------

> Il a bien raison que c'est la préparation qui est
> la plus importante. Et aussi, quand on dit
> préparation ça inclu le temps d'irrigation.(...)
> Cela dit, il ne s'en fout pas complètement de
> l'obturation (...)

bien évidemment mon cher Willy...


Images eb1m5g - Eugenol
tonio

21/12/2006 à 19h25

Marc Apap Ecrivait:
-------------------------------------------------------
> Pour Tonio : la gutta du Thermafil est, je crois,
> en phase alpha.
> Les études (pas les références, il faut aller les
> chercher sur pubmed) montrent que cette gutta est
> moins radio opaque que la gutta classique.
>

Faux. Le thermafill n'est pas qu'en phase alpha, c'est une gutta synthétique. C'est une erreur de language car elle devrait être considérée comme un composé hybride car elle dispose de trois phases: alpha, béta et amorphe. Ok, on pinaille.

Pour moi, ce qui donne la radio opacité de la gutta, c'est la proportion en agents radio opaques comme le sulfate de baryium et dans une moindre mesure l'oxyde de zinc.

pour alhoun: efficace et pas chére... ;-)


024 vownvo - Eugenol
annie

21/12/2006 à 19h26

al Ecrivait:
-------------------------------------------------------
> tonio Ecrivait:
> --------------------------------------------------
> -----
>
> > bon, alhoun! honnêtement! Y a t'il une
> discipline
> > de la dentisterie ou tu n'es pas excellent???

Même les faux canaux!! il arrive à ne pas les faire saigner,faut le faire!!


024 vownvo - Eugenol
annie

21/12/2006 à 19h32

-----
> alhoun Ecrivait:
>
> >
> > je peux?
> >
> >
> >
> >
> > (annie, pour elle même: je l'aurai un jour, je
> > l'aurai!!!)


Je suis sûre que même Emma sera de mon avis


PopHip

22/12/2006 à 01h40

al Ecrivait:
---------

> yep, même que l'empreinte a été prise dans la
> foulée, de la gutta...

Et tu refais une 2e empreinte pour la couronne ?

Moi je suis plutôt adepte de faire la taille et de poser une provisoire dans la foulée (si patient courageux), puis faire le logement pour l'inlay core + empreinte à la séance suivante tandis que l'obturation canalaire et les limites gingivales auront bien mûri.


Squash u44zd8 - Eugenol
steph

22/12/2006 à 23h06

Si je peux aider ;

http://www.ncbi.nlm.nih.gov/entrez/query.fcgi?db=pubmed&cmd=Retrieve&dopt=AbstractPlus&list_uids=16427464&query_hl=2&itool=pubmed_docsum


ariel

18/03/2007 à 17h55

tu crois vraiment qu'il y a à débattre ?


alhoun

18/03/2007 à 18h11

j'espère surtout que cela ne soit pas le cas.
il est évident sur ta radio que ton plancher fait un peu la tête, et qu'on pourrait sans doute trouver d'autres passages encore.
voilà une radio limes en places, de cette dent, avec une incidence différente.
personnellement, j'y vois ce qui ressemble fort à deux furcations et à deux racines mésiales. mais après tout, ce n'est qu'une rvg... je vois aussi le bout du deuxième canal, et je vois que sur le traitement terminé, je ne suis pas tout à fait au bout.
tout ça sur une dent au plancher intact...
aurais-tu une radio de ton traitement terminé?

Limes  dsprsa - Eugenol

Image odged8 - Eugenol
ploc

18/03/2007 à 18h59

au vu des radios,je dirais qu'à 3 mois l'image de la lésion apicale distale ne s'est pas améliorée... et que le MTA n'a pas tout comblé de la perfo

mais on ne voit pas si bien...

c'est du monobain ton dev ou révélateur-fixateur?


Baggins

18/03/2007 à 20h14

lapadoué Ecrivait:
-------------------------------------------------------
>
> en fait l'image apicale distale n'était pas mon pb
> du jour, d'autant que la dent était vivante.


??????
avec cette image?
moribonde plutôt!
>
> On verra dans un an...je lui ai dit que je voulais
> pas la retoucher avant!


MTA = 150 euro du gr
l'obturation est ....
tu as de l'argent à perdre!!!!



024 vownvo - Eugenol
annie

18/03/2007 à 23h19

Lapadoué c'est courageux,qui n'a pas fait une perfo au moins une fois dans sa vie,c'est vrai que dans ton cas elle est flagrante et tu as mis les moyens pour essayer de récupérer,comme tu dis wait and see,la nature fait parfois bien les choses. par contre il y a un petit problème d'alvéolyse surajouté surtout en distal,qu'il serait preférable de traiter afin d'améliorer la situation,et une furcation parodontale n'est pas exclue et visible sur ta première radio
Pour le cas d 'alhoun,deja c'est alhoun,et je n'ai pas de réponse,je ne comprends pas comment un canal pourrait être traité sans l'image d'une racine autour,ce cas reste une énigme non résolue pour moi!


200106 10150128247663588 709988587 6466236 5598391 n d7mksb - Eugenol
hallboy

18/03/2007 à 23h44

C'est tres simple: prend une feuille de papier et dessine une patate. dans 90% de cette patate, Alhoun fait des endos sur cadavres, dans les 10% restant il fait des implants. Sachant qu'il ressuscite un nombre x de ses patients, dans combien de cas, le zombie n'aura ni douleurs ni saignements?

Ps soyons sport: si le patient ne ressucite pas , alhoun n'a pas droit aux honoraires.
Juste à un petit café. Et encore si il a bien dessiné.


1...5678