Cookie Consent byPrivacyPolicies.comQue peut-on faire dans ce cas ? - Eugenol

Que peut-on faire dans ce cas ?

1 eugenol dmj5np - Eugenol
Dancha

05/12/2006 à 19h29

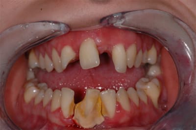
Voici une jeune femme de 53 ans qui aimerait bien garder ses dents.

Que lui proposer ?

Toutes les idées seront les bienvenues...

10343 a ssrepd - Eugenol

S8ysxdzhdqgw00w4q6m07a5d47q2 - Eugenol
gai-luron

05/12/2006 à 19h34

ouh la...

Ce qui me plait, c'est le "jeune femme" de 53 ans.
Je me sens moins vieux tout d'un coup.


Dos02 qpcfgi - Eugenol
Rick

05/12/2006 à 19h36

Annie?


Tilc

05/12/2006 à 21h48

Comme disait Gandhi quand il etait bourré
Trop de fellation tue l occlusion


squirax

05/12/2006 à 21h51

elle a perdu de la dv ?


1 eugenol dmj5np - Eugenol
Dancha

06/12/2006 à 10h26

Rick Ecrivait:
-------------------------------------------------------
> Annie?

Non Rick, ce n'est pas Annie, c'est quelqu'un d'autre.

Voici un complément d'information.

Daniel



1 eugenol dmj5np - Eugenol
Dancha

06/12/2006 à 10h59

.. la photo n'était pas passée..

10343 b hccy4e - Eugenol

canin2

06/12/2006 à 13h32

il faut prier


Image odged8 - Eugenol
ploc

06/12/2006 à 13h39

tss,tss!! rétention d'info....

derniére photo:merci de montrer les collets comme sur les autres et une vue palatine...
délai entre les photos?important:
si une semaine=PAP
qqes mois=implants
plus= odf(comme c'est toi qui postes,faut bien que tu sois concerné...) et solution mixte





al

06/12/2006 à 13h59

je vois pas vraiment ou est le problème. les 4 incisives supérieures sont condamnées. même au laser, tu récupères pas un truc pareil.

ensuite cas multidisciplinaire classique, endo/paro/prothèse. rien de transcendant, ni d'impossible.

mais ce n'est que mon avis...


200106 10150128247663588 709988587 6466236 5598391 n d7mksb - Eugenol
hallboy

06/12/2006 à 14h23

Que je partage. C'est une question de taille de cheque, de temps et de motivation a l'hygiene pour la suite.

imagine de reflechir à ce cas en ayant viré ce qui ne peut rester. ça devient bcp plus simple.

La seule zone de flou , c'est si ta jeune femme qui veut garder ses dents, veut garder celles qui sont fichues. là, je me retire.


Images eb1m5g - Eugenol
tonio

06/12/2006 à 14h29

bouh diou! c'est ce qui s'appelle avoir les dents qui courent après le beefsteack...


al

06/12/2006 à 14h30

y a aucune zone de flou, là dedans, si elle veut les garder, et bien y a qu'à attendre qu'elles tombent. en étant optimiste dans 6 mois, et pessimiste, y en a déjà une qui s'est barrée depuis le premier post...


al

06/12/2006 à 14h38

tiens et t'ant qu'à faire y personne qui veut essayer de sauver ce bloc de tartre ?

Dsc 4852 yumddg - Eugenol

Img 1744 z0evts - Eugenol
dumaille

06/12/2006 à 14h54

dites donc, mais vous en voyez de drole par chez vous.


1 eugenol dmj5np - Eugenol
Dancha

06/12/2006 à 15h02

al Ecrivait:
-------------------------------------------------------
> y a aucune zone de flou, là dedans, si elle veut
> les garder, et bien y a qu'à attendre qu'elles
> tombent. en étant optimiste dans 6 mois, et
> pessimiste, y en a déjà une qui s'est barrée
> depuis le premier post...

Laquelle ?


bjc

06/12/2006 à 15h03

Cher al,

Faut mettre un compo pour rattraper les points de contact,
ou réparer la fracture du tartre ?


Image odged8 - Eugenol
ploc

06/12/2006 à 15h14

alors daniel,ta solution?
qu'as tu fait puisqu'au vu de ta photo tu as fait qqe chose.
faut que tu t'adaptes:en cas cliniques,ce n'est pas l'odf:
pas un mois pr réfléchir au plan de traitement entre la demande SS et le début du ttt
24h me semble un délai correct et suffisant pour thèse,antithèse,synthèse
tjours pressés ces omni?
bin oui,on travaille nous!


1 eugenol dmj5np - Eugenol
Dancha

06/12/2006 à 15h15

ploc Ecrivait:
-------------------------------------------------------
> tss,tss!! rétention d'info....

Qu’entends-tu par là ?


> derniére photo:merci de montrer les collets comme
> sur les autres et une vue palatine...
> délai entre les photos?important:

Les photos et les radios ont été faites le même jour.
Photos : orthogonales centrée sur la canine droite, puis de face, sur la canine gauche, plus deux photos occlusales au miroir, arcade du haut et arcade du bas.
Tu trouves que l’orthogonalité de la dernière n’est pas bonne, qu’elle est de travers ?


Daniel


Image odged8 - Eugenol
ploc

06/12/2006 à 15h28

Dancha Ecrivait:
-------------------------------------------------------

> Photos : orthogonales centrée sur la canine
> droite, puis de face, sur la canine gauche, plus
> deux photos occlusales au miroir, arcade du haut
> et arcade du bas.

merci j'avais vu
dois je répéter:blonde mais pas...:)

> Tu trouves que l’orthogonalité de la dernière
> n’est pas bonne, qu’elle est de travers ?

je trouve qu' on peut penser qu'un acte d'urgence a été effectué
mais une rétro m'irait.....plus fiable que des photos avec angulation ...orientée




>
>
>


1 eugenol dmj5np - Eugenol
Dancha

06/12/2006 à 15h39

Chère Ploc,

Il n’y a strictement rien de caché.
J'ai fait toutes ces photos et ces radios au premier RV, la première fois que je voyais cette patiente.

Daniel


Image odged8 - Eugenol
ploc

06/12/2006 à 15h54

si,rien de caché
je rejoins al:
antérieures sup à jeter
paro(bc de PDI), endo,occluso,implanto ,prothèse
ds l'idéal + un chèque d'accompte sur le devis préalable signé,en ayant laissé un délai avant d'ouvrir le chantier global

si pb financier,demander à améli l'adresse du centre où elle va pouvoir faire tout ça au tarif SS


1 eugenol dmj5np - Eugenol
Dancha

06/12/2006 à 16h31

Voyons, Al, Hallboy, Ploc !

Vous ne voudriez quand même pas virer ces belles incisives sous prétexte qu’elles sont un peu déplacées...

Quel est votre problème ?


Image odged8 - Eugenol
ploc

06/12/2006 à 16h36

Dancha Ecrivait:
-------------------------------------------------------
> Voyons, Al, Hallboy, Ploc !
>
> Vous ne voudriez quand même pas virer ces belles
> incisives sous prétexte qu’elles sont un peu
> déplacées...
>
> Quel est votre problème ?

trop de majuscules?



al

06/12/2006 à 16h38

pour ce qui me concerne aucun problème. moi aussi je conserverai ces incisives ... dans de l'hypochlorite. elles serviront bien à un étudiant.


12...