Cookie Consent byPrivacyPolicies.comQue peut-on faire dans ce cas ? - Eugenol

Que peut-on faire dans ce cas ?

1 eugenol dmj5np - Eugenol
Dancha

07/12/2006 à 19h10

gai-luron Ecrivait:
-------------------------------------------------------
..
> Moi je voudrais savoir aussi, puisque apparament
> tu as mené ce traitement à bien, ce qui t'a poussé
> à le faire? Je veux dire: étais-tu sûr de sa
> réussite? "expérimentais-tu"? (rien de péjoratif
> là-dedans)

Gai-luron, ce cas-ci, est effectivement une « expérimentation ». Je n’avais jamais vu de dent « rentrer » dans l’os après en être sortie.
Mais quelqu’un a-t-il essayé dans des conditions adéquates ?
Cela fait 30 ans que je suis orthodontiste (qualifié), j’ai aussi quelques notions de paro (CES) et de chirurgie (je fais, entre autres, tous mes dégagements de canines incluses moi-même).
Je commence à avoir un certain « nez creux ». Quand je fais quelque chose de nouveau, j’ai la conviction que cela va marcher. Et généralement cela marche.
C’est comme cela que j’ai développé depuis quelques années les ancrages enfouis à base de vis de chirurgie maxillo-faciale et quelques autres bricoles.

Répondu à ta question ?

Daniel


S8ysxdzhdqgw00w4q6m07a5d47q2 - Eugenol
gai-luron

07/12/2006 à 19h16


oui, tout à fait.

al va-t-il éviter de léviter?


ELN

08/12/2006 à 10h54

Bjr,
Daniel, concernant l'ancrage des mini vis maxillaire; perso, j'en aurait place quatre( deux de chaque cote).Une en distal de 7 et une seconde en distal de 5, afin de realiser un systeme 3D, qui nous aurait permis d'avoir un controle dans le sens sagital et dans le sens vertical( un peu comme ton systeme canne à peche).


Image odged8 - Eugenol
ploc

08/12/2006 à 12h12

d'accord,elles bougent ces antérieures!
mais mobiliser et déplacer des dents flottantes,pour certaines sans suport osseux,ça marche tjours quel que soit le système
la question:
l'interêt: cela va t'il augmenter la durée de conservation de ces dents sur l'arcade?(sceptique!)

quelle contention ensuite?(bridge 13-23:)?)

avance daniel
suite à 3 mois par ex!


200106 10150128247663588 709988587 6466236 5598391 n d7mksb - Eugenol
hallboy

08/12/2006 à 13h17

L'interet en cas clinique, c'est surtout de pouvoir comparer et evaluer par rapport a un protocle classique avec implants par ex. Que ce soit bien clair: je suis bluffé que tu ais attaqué ce cas par cette voie. Ta réussite problable merite toute mon admiration.

mainteant si on aborde ça sous la forme d'un cas clinique , ce n'est pas tatn la methode qui m'interesse hors ses grandes lignes; mais le resultat. et encore!
quid des possibilités d'echecs en cours de traitement ( car là recul 0 )
quid d'une eventuelle recidive ( recul 0 )
quid du cout comparé en real life?

Je sais bien que tu as le nez creux ( moi aussi: ça m'a permit de voir en photo des choses qui'n'y étaient pas tellement j'etais sur que le cas était terminé ) mais c'est pas des masses evidence based!!

Autant je pense que si tu avais posté uniquement en Ortho, il n'y aurait rien à redire y compris sur l'info distillée au goutte à goutte; autant dans cette rubrique c'est bcp plus discutable. Et pour bien en discuter, est ce que tu pourrais nous epargner les 130 episodes des Roi Maudits ? ( désolé, mais c'est le sourire de départ de la jeune femme qui me fait penser à ça et je m'en debarasse pas + que Haddock - l'autre - de son sparadrap.)


al

08/12/2006 à 13h24

le cas présenté est à mettre au rayon des acrobaties en tout genre.

pourquoi pas ? si le patient et le praticien s'éclatent à deux, y pas de mal à se faire du bien...


1 eugenol dmj5np - Eugenol
Dancha

08/12/2006 à 13h33

Mon cher alhoun, je ne pense pas que ce que tu dis soit entièrement exact, car je crois que la dent est sortie de l’os, poussée par les incisives inférieures et que le parodonte initial n’a pas complètement disparu. A distinguer d’une perte osseuse totale liée à un problème bactérien. On peut d’ailleurs voir sur la pano l’empreinte de l’apex sur l’os.

Allboy, navré pour tes neurones que je vais fatiguer (mais je ne force absolument pas à me lire) mais il y a une remarque technique importante à faire avant de continuer : faisons l’analogie avec un piquet qui aurait été couché par le vent. Avant de le renfoncer dans le sol, il faut le redresser. Ici, avant d’exercer une force pour ingresser, il fallait d’abord remettre les dents dans leur axe naturel, en faisant attention de ne pas avoir d’effet, en particulier latéral, sur les apex. L’utilisation ici d’un braquet classique en collage direct eut été risquée, à cause des deux ailettes qui créent automatiquement un déplacement latéral de l’apex.
D’où la nécessité de trouver un système qui permette à la fois de resserrer les dents en laissant les apex se « poser » naturellement à leur place avant d’exercer une force ingressive. C’est la raison pour laquelle j’ai utilisé des systèmes collés non habituels.
allboy, si tu as un cas comme cela et que tu demandes à l’orthodontiste du coin de le traiter, il faudra que tu le mettes en garde sur ce point.

Daniel


P.S. ELN, je réponds dès que possible à ta pertinente proposition, en même temps que je montrerai la suite à ceux que cela intéresse. Les autres peuvent très bien se passer d'intervenir dans cette discussion.


200106 10150128247663588 709988587 6466236 5598391 n d7mksb - Eugenol
hallboy

08/12/2006 à 15h30

je te renouvelle mon admiration pour ce que tu oses, et evidement ce que tu resalises; mais tu as fait le choix de poster un cas clinique dans la partie generaliste, et ne doutant pas que tes neurones ne seront pas fatiguées par ma prose; si tu veux etre didactique , soit le en ortho. içi ça n'a pas grand sens. D'ailleurs fournir l'integralité du scenario quand on a deja la fin n'empeche pas de l'être.
Et je compte bien te lire, mais je prefere lire en une fois d'autant que je viens de me rendre compte que tu as un probleme de memoire immediate heureusement liée aux pseudos uniquement semble-t-il. On pourrait ainsi se faire une idée de ce cas traité selon ton point de vue et en discuter avec tous pour voir quels autres abords auraient été possibles.
Entre temps tu aurais amicalement demandé au paro et à l'endo de fournir les docummetns qui sont pour nous interessants; et au lieu d'y passer cent ans , on aurait pu vraiment discuter du cas. Sous tous ses aspects et avec differnts angles.

Sinon, il fallait ne poster qu'en ortho; puisqu'içi blablabla....

Dontcha think so?


1 eugenol dmj5np - Eugenol
Dancha

08/12/2006 à 16h58

Le nom du thème sur lequel nous sommes ici est "Cas cliniques"
Ceci n’en est-il pas un ?
Ne suis-je pas sur un forum où tout le monde peut s’exprimer ?
J’ignorais qu’il fallait ta permission pour sortir de mon ghetto et présenter ici un cas. Je te le redis aimablement, si mon blabla t’emm… et ce que je dis ne t'intéresse pas, je ne te force absolument pas à me lire.

Daniel


Image odged8 - Eugenol
ploc

08/12/2006 à 17h19

changer de cour,changer d'admirateurs ,changer de règles de jeu....

et effectivt la plupart des intervenants ne voulant pas faire d'odf,les moyens ns importent moins que les résultats:sont ils suffisamment probants pr adresser et proposer cette solution?
that's the question!
prouve le nous

le reste est ta cuisine orthodontique qui peut satisfaire notre curiosité mais plus en anecdocte qu'en développé

oublie Albert Ellis

"IV Vous devez être aimé et approuvé"



200106 10150128247663588 709988587 6466236 5598391 n d7mksb - Eugenol
hallboy

08/12/2006 à 17h20

A qui je renouvelle pour la 3° fois toute mon admiration pour ce cas. Jusque là je pense qu'on peu être d'accord?

Bien sur que c'est un cas clinique, et c'est même pour ça qu'il faut en discuter comme d'un cas clinique. Pas comme un cas d'ortho. Cela me semble une evidence, mais apparement pas de celles qui t'aveugle.
Et je te renouvelle toutes mes felicitations pour la 4° fois - bien que je ne sache toujours pas ce que je voudrais savoir du cas - avant de te rappeller que c'est un forum et que là c'est un solliloque. un long solliloque. Mais c'est ton fil, tu es chez toi et ce que je dis n'avance à rien, même si le fil n'avance pas.

J'attend donc avec impatience la cloture du cas - justement parcequ'il est interessant - que tu as selon toute vraisemblance magnifiquement maitrisé.

A + . dans l'intervalle je ne manquerai pas de te lire. Mais l'intervalle est du temps de perdu.

PS a la cloture tu pourra donner tous les documents rx etcetc y compris ceux des praticiens associés qu'on puisse vraiment se faire une idée?


1 eugenol dmj5np - Eugenol
Dancha

08/12/2006 à 17h22


ELN, tu me demandes pourquoi pas une canne à pêche sue deux vis à travers la gencive.

Il y a en fait plusieurs raisons :
Si on trace mentalement sur le téléprofil une ligne représentant le mouvement global espéré en direction haute et distale, on constate qu’elle passe par la crête infra-zygomatique (voir la radio que je te mets sur la planche photo).
On peut imaginer alors effectuer une simple traction à partir d’un ancrage unique plutôt qu’installer un système « canne à pêche » sur deux vis, plus délicat à manœuvrer.
Une autre raison est la fiabilité. Une vis sous-muqueuse est extrêmement fiable, alors qu’en trans-muqueux il y a toujours un petit risque inflammatoire direct sur la vis, donc de perte.
Une autre encore est la facilité. Au niveau de la crête, il y a toujours de l’os, il n’y a pas de risque d’interférence avec les racines, ce qui fait qu’on peut se passer de faire une localisation précise avec radio rétro-alvéolaire (description de la localisation avec rétroalvéolaire in Rev Orthop Dento Faciale 2006 n°40, page 83).
A la facilité s’ajoute la rapidité, puisqu’il n’y a qu’une petite incision à réaliser en fond de vestibule et un petit décollement périosté à faire avant de visser « en aveugle ».
La système de traction enfin est directement contre l’os, il n’y a donc moins de « moment de force » latéral risquant de mobiliser la vis.
Pour tout te dire, j’ai abandonné les vis trans-muqueuses et ne mets plus que des vis enfouies. Pour les « cannes à pêche », c’est sur deux vis « en tandem » dans la crête ou ailleurs. Efficacité redoutable et simplicité visuelle exceptionnelle.

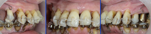
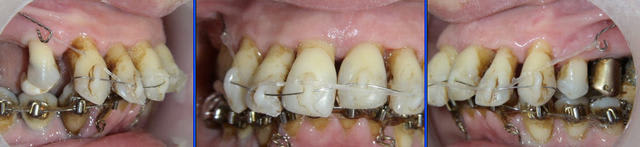
Voici le cas à 3 semaines. Les diastèmes sont complètement fermés.
J’ai rajouté une traction au niveau des incisives centrales. Il y a donc pour le même groupe de dents deux tractions, une au niveau des canines et une autre au niveau des centrales.
Voyez la qualité de la cicatrisation au niveau de l’émergence de la ligature de la muqueuse inférieure.

A suivre.

Daniel

10343 e kt2yck - Eugenol

catrose

08/12/2006 à 17h47

casque bleu,drapeau blanc

pour les impatients du happy end je vous rappelle que les traitements orthos sont longs,lents et que la vitesse moyenne d'un deplacement dentaire est d'1 mm par mois
ce qui donne aux orthodontistes une vision patiente et une retenue certaine
la progression de dancha en est plus que representative
maintenant Daniel,mets toi a la place de ceux pour qui la rehabilitation d'une bouche pareille prendrait tout au plus quelques semaines(sans satisfaire evidemment aux exigences conservatrices de la patiente)


et evidemment quelques questions:
-comment evalues tu l'intensite de la force du fil elastomerique que ces dents sans soutien osseux pourraient supporter?
sachant que le fil elastomerique exerce une tension importante au depart(qui decroit rapidement)
donc quels sont tes criteres de choix par rapport a un autre materiau ?
-pourquoi pas une seule vis dans la suture mediane du maxillaire qui releverait le secteur anterieur( de 13 a 23)?
-pourquoi (et avec quoi?)as tu releve la dimension verticale?blocage en palatin des sup?ingression plus rapide en sup qu'en inferieur?





1 eugenol dmj5np - Eugenol
Dancha

08/12/2006 à 19h46

catrose Ecrivait:
-------------------------------------------------------
..
> ..quelques questions:

> -comment evalues tu l'intensite de la force du fil
> elastomerique que ces dents sans soutien osseux
> pourraient supporter?

Au « NNS » (« Nose Navigation System ») !
En fait, force très légère, de quelques grammes. Comme j’étire bien le fil élastomérique avant et que je le laisse léger, je pense que sa détente au fil du temps sera acceptable. En tous cas, ça marche !

> sachant que le fil elastomerique exerce une
> tension importante au depart(qui decroit
> rapidement)
> donc quels sont tes criteres de choix par rapport
> a un autre materiau ?

La facilité d’emploi. Je ne sais pas comment j’aurais pu mettre un ressort NiTi dans ce cas.

> -pourquoi pas une seule vis dans la suture mediane
> du maxillaire qui releverait le secteur anterieur(
> de 13 a 23)?

Parce que je ne vois pas comment j’aurais alors fait mécaniquement pour le recul et l’ingression.


> -pourquoi (et avec quoi?)as tu releve la
> dimension verticale?

La traction s’effectue en direction de la crête infra-zygomatique, donc vers le haut, donc réalise à la fois un recul et une ingression (voir le téléprofil de contrôle sur la dernière planche photos).

> ..blocage en palatin des sup?ingression
> plus rapide en sup qu'en inferieur?
>

Je ne comprends pas ta dernière question. Qu’entends-tu par « blocage en palatin » ?

Daniel

P.S. : je montre très prochainement une panoramique à 6 mois.
J'ai demandé expressément au parodontiste de me fournir des rétroalvéolaires. Comme il voit cette patiente mardi après-midi, il va en faire des toutes fraîches (vous aurez comme moi la surprise) et moi j'ai demandé à la voir juste après pour une nouvelle pano.. (je pensais ne la faire qu'en janvier, 1 an après le début, mais comme vous êtes pressés...).


1 eugenol dmj5np - Eugenol
Dancha

09/12/2006 à 13h28


Je continue..

C’est précisément pour le rendre moins ésotérique que j’explique le système et que maintenant je vais m’arrêter un peu sur la traction élastique utilisée.
J’ai collé au composite sur l’émail un fil « élastomèrique » vendu en bobine (photo jointe). Une fois collé, je t’ai tendu doucement pour qu’il réduise son diamètre et puisse ainsi s’étendre en glissant dans le composite. J’ai ensuite réduit et limité cette tension à quelques grammes et j’ai attaché ce fil par un nœud aux ligatures fixées aux vis.
Au bout de quelques temps, j’en ai rajouté un autre de même nature mais qui passe en pont au niveau des incisives centrales. C’est sur les photos que vous avez déjà vues.

A trois mois (photos f0), remplacement du fil élastique par un fil NiTi enfilé dans les lumières de composite. Un chaînette élastomérique continue la traction.

A six mois (photos f1, f2 et f3), résultats à ce stade et panoramique de contrôle.

A suivre..

Daniel

10343 fil elastomerique mng7ln - Eugenol
10343 f0 tcspl4 - Eugenol
10343 f1 egdlyf - Eugenol
10343 f2 imfozm - Eugenol

1 eugenol dmj5np - Eugenol
Dancha

09/12/2006 à 13h31

photos non passées..


1 eugenol dmj5np - Eugenol
Dancha

09/12/2006 à 13h31

re..

10343 fil elastomerique xs0bzs - Eugenol
10343 f0 amv9yj - Eugenol
10343 f1 irdlbn - Eugenol

1 eugenol dmj5np - Eugenol
Dancha

09/12/2006 à 13h35

Photos passent mal "une erreur etc..".

10343 f0 wnibo5 - Eugenol
10343 fil elastomerique bxn9sp - Eugenol
10343 f1 ra1s59 - Eugenol
10343 f2 wtcpvm - Eugenol

1 eugenol dmj5np - Eugenol
Dancha

09/12/2006 à 13h37

la dernière, comparaison à 6 mois.

10343 f3 ouocqd - Eugenol

kri

09/12/2006 à 17h28

Malgre toutes les protestations je dis bravo
C'est courageux d'entreprendre un cas comme celui la.
Pour ceux qui aurait extrait le bloc incisifs, he m'onterroge juste sur la methode de rehabilitation apres.
Je n'aurais pas eut le courage de tenter, mais quelques fois il faut savoir passer la main lorsque que la demande du patient ne correspond pas a NOS competence professionnelle, encore faut il l'admettre.


Pa050055 igyagy - Eugenol
mark

09/12/2006 à 17h30



Bravo Dancha, original et gonflé!


ELN

09/12/2006 à 17h37

Un moine tibetain , un superboy et un clop sur le traineau du pere noel; et zou dans un monastere pour se recuellir devant saint daniel...
Mort de rire....


200106 10150128247663588 709988587 6466236 5598391 n d7mksb - Eugenol
hallboy

09/12/2006 à 18h01

St jean bouche d'or!!
a/ même le principal interessé ne l'avais jamais fait ( et de 5 fois toute mon admiration pour avoir tenté ça et les premiers resultats, encore que en attendant les retro je n'ai aucun avis sur la regeneration osseuse sur zone et donc je n'ai d'avis sur rien )
b/ le traitement est en cours, donc bravo quant a savoir comment ça il se termine
c/ recidive? là on attaque le marc de café
d/ tenue dasn le temps? c'est le tarot ou les visceres de poulet?

Donc mon doux ULM si toi tu vois les resultats de ce cas à 2 ans c'est que tu fumes tellement la moquette que c'est normal de voir le Pere noel, le Dalaï lama et la grande citrouille d'Hallowen.

Le plus rigolo, c'est que peut-etre tu as raison ( mais tu n y auras pas été pour grand chose ) le proclamer à ce stade c'est .... je te laisse choisir le terme.

Effectivement, Daniel je me demande comment tu les supporte!!!


Tiens; puisque juqu'a mercredi ya rien de neuf à se mettre sous la dent; LNAADI:

http://www.sendspace.com/file/ysviam


Images eb1m5g - Eugenol
tonio

09/12/2006 à 19h33

très intéressant ce fil. Comme quoi, on peut repousser les limites de l'impossible.

La question que je me pose concerne les molaires mandibulaires: 37-46-48, qui ne sont pas intégrées dans ta manoeuvre orthodontique. Pourquoi? Est-ce prévu dans un deuxième temps?
Parce que tu auras besoin de ces dents pour stabiliser la situation en antérieur.

Sera t'il possible de réingresser 48 et 37 pour les remettre dans un plan d'occlusion correct??? J'avoue douter de la faisabilité. Mais apparemment, rien n'est impossible avec Daniel.

Dernière question plus paro. Comment as-tu géré les pertes osseuses, en particulier sur 46 et 27?

On attend la suite...


Image odged8 - Eugenol
ploc

09/12/2006 à 20h33

c'est aligné,ce dt personne n'a jamais douté...
et une fois les haubans enlevés,quel est ton pronostic ds le temps?
la gestion des poches ds le secteur antérieur et 26? comment?
traitements endo et reprise de traitement:lesquels?
d'ailleurs question pratique:cas géré à 3 praticiens ou 2?