Cookie Consent byPrivacyPolicies.comQue peut-on faire dans ce cas ? - Eugenol

Que peut-on faire dans ce cas ?

Pa050055 igyagy - Eugenol
mark

10/12/2006 à 12h18

à trois, je crois
Elle s'appelle Monique.


1 eugenol dmj5np - Eugenol
Dancha

11/12/2006 à 12h14

-- moved topic --


Utilisateur anonyme

11/12/2006 à 19h11

Dancha Ecrivait:
-------------------------------------------------------
> Voici une jeune femme de 53 ans qui aimerait bien
> garder ses dents.
>
> Que lui proposer ?
>
> Toutes les idées seront les bienvenues...


Aimer ou Pouvoir ?


1 eugenol dmj5np - Eugenol
Dancha

11/12/2006 à 19h33

ELN Ecrivait:
-------------------------------------------------------
> Un moine tibetain , un superboy et un clop sur le
> traineau du pere noel; et zou dans un monastere
> pour se recuellir devant saint daniel...
> Mort de rire....

Moi aussi ELN tu m'a fais rire de bon coeur.

A propos, c'est la fête de qui, aujourd'hui 11 décembre ?


1 eugenol dmj5np - Eugenol
Dancha

11/12/2006 à 19h50

C’est vraiment amusant et instructif pour moi de lire toutes vos réactions. Elles révèlent souvent la vraie personnalité cachée sous le pseudo..
Je vais essayer de répondre à toutes les interrogations posées.

Lorsque cette personne est arrivée au cabinet, après l’avoir saluée poliment et noté intérieurement qu’elle avait un léger problème dentaire, je lui ai posé cette simple question « que puis-je faire pour vous ? », puis je l’ai écoutée.
Cette personne est cadre dans une grande organisation. Elle participe à de nombreuses réunions professionnelles. Elle ne supporte plus son état et en a les larmes aux yeux.
Bien sûr, vous, les Al, les Ploc etc.., vous êtes très bons, supérieurement bons. Mais son praticien traitant, lui, ne l’est pas autant que vous. Il ne sait pas, lui, comment gérer le problème de la supraclusie. Il aimerait bien remplacer les incisives supérieures, mais il ne sait pas comment faire, car les incisives du bas gênent.
Évidemment, il serait toujours possible de tous casser et de tout remplacer, c’est à la mode et ça remplit les tiroirs-caisses de certains dont c’est devenu le sport favori... Mais ce n’est pas cela qui est demandé.
Essayez une minute seulement de vous mettre à la place de cette brave dame. Elle le sait bien que ses incisives sont très mal en point et très vraisemblablement perdues..
Elle ne vient pas me voir pour que je fasse des miracles, elle espère seulement que j’améliore la situation afin que son praticien puisse enfin faire quelque chose.
Maintenant, si j’arrive à conserver l’une ou l’autre incisive un peu plus longtemps, elle n’en sera que plus contente.
Elle était venue totalement découragée, elle vient maintenant guillerette. Je pense lui avoir rendu service..
Et puis même, si ses dents sont avulsées par la suite, elles pourront être remplacées par d’autres quasiment à la même place ou presque. Psychologiquement, c’est très important. Elle ne sera pas changée au niveau du visage..

tonio demande « quid des dernières molaires inférieures égressées ? »
En fait, j’avais prévu de proposer après quelques mois de traitement à cette gentille dame une chirurgie d’avancée mandibulaire. Lorsque je l’ai fait, elle a mûrement réfléchi, a pesé le pour et le contre et a fini par décliner cette proposition, satisfaite de la situation esthétique obtenue. Elle ne voulait pas être trop changée au niveau du visage.
Sans chirurgie orthognathique, ces molaires sans antagoniste seront avulsées. Je m’en doutais un peu, c’est pour cela que je n’y avais pas touché. S’il y avait eu avancée (Obwegeser ou autre), je les aurais alors mises dans le rang.

A suivre..

Daniel


ELN

11/12/2006 à 20h00

Merci,j'attendrai patiemment la suite.


1 eugenol dmj5np - Eugenol
Dancha

11/12/2006 à 20h47

Merci LaDouée.


Image odged8 - Eugenol
ploc

11/12/2006 à 20h48

> Et puis même, si ses dents sont avulsées par la
> suite, elles pourront être remplacées par d’autres> quasiment à la même place ou presque.
> Psychologiquement, c’est très important. Elle ne
> sera pas changée au niveau du visage..

c'est là où cela m'interpelle:par la suite...
quel bénéfice de temps en tire t'elle avant le remplacement?
parceque le traitement global critiqué va qd mme avoir lieu + le traitement odf
>
> .
> Sans chirurgie orthognathique, ces molaires sans
> antagoniste seront avulsées.

donc il faudra bien les remplacer
en résumé, tout ça c'est pour remise en place des antérieures pour??? mois ou ??? années?
ce qui n'empeche pas implants post
pr revenir à implants ant dans? + greffe j'imagine
avantage :se fera en 2 temps mais est ce un avantage?(à vous les implanto)





blonco

12/12/2006 à 00h17

bonsoir
daniel .je te dis bravo pour ce resultat .et je me demande si le patient se fait traiter en parallele chez un paro?.
j'ai assiste recement a un siminaire de marc danan( parodontologue).qui preconisait que le traitement dans ses cas doit se faire en parallele entre ortho et paro. ainsi que les forces d'ingression doivent etre legeres et durables (sinon risque de ryshalises).


200106 10150128247663588 709988587 6466236 5598391 n d7mksb - Eugenol
hallboy

12/12/2006 à 00h21

C'est tout le probleme de ce post: d'une part une performance epoustouflante, mais dont on ne peut encore juger les resultats et donc pour laquelle il est - suivant le point de vue - difficile de s'enthousiasmer ou impensable de ne pas le faire; d'autre part la quasi certitude que pour en maintenir les resultats ( qui restent encore à voir; mais sur du court terme je n'ai pas d'inquietude; tout cela est mené de main de maitre.) il va falloir sortir l'artillerie lourde, en laissant pourtant probablement des points de faiblesse dans la structure d'ensemble. Donc la question peut (pourra) se poser de savoir si cela était pour la patiente, la meilleure façon de gerer tout cela. Même si semble t il c'etait ce qu'elle demandait.

Maintenant, tout cela étant revenu en ODF, le cadre de la réflexion change une fois de plus. Et je suis toujours aussi curieux de voir la suite. Mais à Rome, je ferrais comme les romains: j'attendrais .



blonco

12/12/2006 à 00h42

rebonsoir
j'ai oublie d'ajouter; qu'on doit faire une attele de de contention coulee( preparee au labo) et collee sur toute la face palatine des incisives sup.


1 eugenol dmj5np - Eugenol
Dancha

12/12/2006 à 09h43

blonco Ecrivait:
-------------------------------------------------------
..
> me demande si le patient se fait traiter en
> parallele chez un paro?.
>.. ainsi que les forces
> d'ingression doivent etre legeres et durables
> (sinon risque de ryshalises).

Il est absolument évident que c'est un traitement multidisciplinaire, le parodontiste est obligatoire.

Forces d'ingression légères et constantes, évidemment aussi.


Image odged8 - Eugenol
ploc

12/12/2006 à 15h30

lapadoué Ecrivait:
-------------------------------------------------------
>
> Non ploc, je ne me mets pas à genoux, je remets
> les choses à leur place, et ce n'est pas inutile
> de rappeler qu'on bosse sur des patients, pas des> frasaco ou tout autre fantôme.


bien sur que la prise en charge psy est importante;ce n'est pas une question de specialité mais d'empathie,c'est tout!

quele que soit la personne qui aurait traité ce cas mes questions restent les memes:

plan de traitement et bénéfice temps-conservation des dents
-odf(là on sait)
-paro: chir ou uniqt médicale?
- endo:lesquelles(seulement 21 à 6 mois, pourquoi?)
-extrac et rempla d'attente :lesquelles ,comment?
-implanto:où;qd? prévu et accepté ou pas? avec ,sans greffes?
-prothèses :fixes,mobile?

la patiente aura été haubannée 12(18, plus?)mois:
ensuite qu'est il prévu?
la perte annoncée des antérieures peut elle être à peu près pronostiquée ds le temps?
ne perdra t'on pas 13 et 23(surtout 23 par la suite) alors qu'en enlevant 22 chance de conservation était augmentée
de plus si contention 13 23(est cela qui est prévu?),ttt odf terminé,
le jour où cela lache,exit les 2 canines ou je me trompes?

autant d'interrogations pro(et j'ai du en oublier) sans aucun jugement sur l'odf comme tu sembles le croire(très bel exercice)mais sur le devenir de ce cas qui va retomber ds réhabilitaion globale...
et cela m'interessait comme d'autres j'imagine,de savoir comment traiter ce cas le plus idéalement possible,avec le plus de durée pr la patiente(ça aussi c'est de l'empathie:))

il est vrai que le fil étant revenu en odf,mes questions n'étaient appropriées qu'en cas clinique...
mais le débat sur le choix thérapeutique pouvait être interessant si débat il y avait eu
>
>
>
>



1 eugenol dmj5np - Eugenol
Dancha

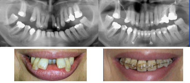
13/12/2006 à 12h36

Cette gentille dame est donc venue hier après-midi comme je le lui avais demandé m’apporter les rétroalvéolaires (en argentique) qui venaient d’être réalisée par le confrère parodontiste. J’en ai profité pour lui faire avec un mois d’avance sur la date prévue une radio panoramique numérique. Comme je n’ai vraiment pas le temps de les numériser maintenant, j’ai téléphoné au parodontiste pour lui demander ce qu’il en pensait. Sa réponse m’a réjouit.

Il est très satisfait de l’état actuel, tout est stabilisé, sous contrôle, la mobilité des dents s’est considérablement réduite. Il y a de l’os. Il n’y a pas de signe prévisible de dégradation de la situation dans les prochains temps et une attelle linguale étendue de contention pourra durer relativement longtemps.

La patiente a rejeté l’option chirurgicale, nous allons donc nous en tenir là pour les déplacements dentaires et tout déposer en début d’année prochaine. Le traitement orthodontique aura duré un an. Comme d’habitude, mon confrère supprimera la mécanique lui-même le jour où il aura collé les attelles étendue en palatin. Je déposerai ensuite moi-même les ancrages osseux que j’ai mis en place.

C’est un praticien exceptionnel, perfectionniste. Ce qu’il réalise est remarquable, je travaille avec lui depuis fort longtemps et le considère comme parfaitement fiable.

Et comme c’était moi qui lui avais adressé ce cas alors que d’habitude c’est lui qui m’adresse ses patients, je lui ai demandé ce qu’il pensait de ce traitement, en lui demandant de me répondre en toute franchise :
Il m’a répondu que si je n’avais pas déplacé ces incisives, ce cas aurait été ingérable prothétiquement.
Son raisonnement (qui a aussi été le mien) est le suivant : on met d’abord à niveau, ensuite on voit ce qu’on peut faire. La mise à niveau a été faite, on bloque dans cette situation. Et si dans les mois ou les années qui viennent une dent pose problème, on pourra facilement la remplacer. Maintenant, c’est gérable.

Lorsque je lui ai cité certaines réflexions faites ici mêmes, il m’a répondu textuellement « il y a toujours des gros malins qui savent mieux faire.. » et lorsque j’ai insisté, il a employé des termes beaucoup plus triviaux que la bienséance m’interdit de répéter… Pour moi, cela veut dire que je refuserai désormais toute polémique stérile à ce sujet.

Les secondes molaires inférieures que j’ai négligé d’intégrer au dispositif, seront laissées en place pour le moment. Si elles gênent, soit j’interviens orthodontiquement, soit on les enlève et on les remplace.

Photos jointes, le cas actuellement et la panoramique prise hier soir. Dans quelques temps, lorsque tout sera déposé, je montrerai les photos finales.

Merci d’avoir eu la patience de me lire.

Daniel

10343 i beyczm - Eugenol
10343 j jikwpr - Eugenol

limlim

13/12/2006 à 19h02

Encore du grand Dancha, tu as tres bien fait monter la pression.La prochaine fois post en endodontie,ça risque de pas etre mal non plus.


200106 10150128247663588 709988587 6466236 5598391 n d7mksb - Eugenol
hallboy

14/12/2006 à 01h07

C'est vraiment un cas interessant.
Pourras tu joindre des maquettes en occlusion D, G en plus d'un status en retros s'il te plait.


kri

14/12/2006 à 09h36

tu as deja la tele de profil page 3


catrose

14/12/2006 à 10h03


tres belle demonstration dancha
la patiente doit revivre une deuxieme jeunesse:esthetique decente(enfin!),tissus mous ameliores,assainissement paro,mobilites diminuees

a suivre quand meme par retroalveolaires les rhizalyses en sup anterieures(surtout la 22),les inf aussi?

et qu'appelles tu contention linguale etendue?de ? a ?




mail-annie

14/12/2006 à 20h20

je suis annie,sous un autre pseudo par la force des choses,j'étais dans l'impossibilité d'intervenir dans ce fil,et je partage à 150% l'admiration qu'a Lapdoué pour Dancha,pas 75% chacune,non,150% chacune
Il est légitime de satisfaire la demande d'une patiente qui tient à garder ses dents,dans la mesure ou toutes les données lui ont été transmises,ce qu'a dû faire assurément Dancha
Sa faculté a se jouer de tous les problèmes et à assurer des traitements pour le moins acrobatiques,avec le succès que l'on connait me laisse admirative
Les questions,combien de temps cela va t-il durer etc..,n'ont pas de sens ici,la priorité étant de garder ses dents,et la satisfaction qu'a du avoir cette patiente de pouvoir le faire
la suite,comme tout traitement dentaire implanto,prothètique etc.. au prochain numéro
bravo Dancha


200106 10150128247663588 709988587 6466236 5598391 n d7mksb - Eugenol
hallboy

14/12/2006 à 21h51

kri Ecrivait:
-------------------------------------------------------
> tu as deja la tele de profil page 3

C'est celle au depart du cas. DOnc il y a 14 mois je crois .


1 eugenol dmj5np - Eugenol
Dancha

16/12/2006 à 19h36

Je m’aperçois que je n’ai pas répondu à hallboy ni à Catrose. Mille excuses.

Je n’ai jamais fait d’empreintes chez cette patiente, les incisives seraient venues avec.. Je ferai des photos latérales postérieures en occlusion à la fin.

Contention étendue = sans doute plaque fixée/collée en lingual la plus étendue possible (de simple attaches transfixées palatines de dent à dent ne me paraissent pas suffisantes). Nous en discuterons mon confrère paro/implantologiste et moi en janvier, au cours de notre prochain petit déjeuner de travail.

Daniel


200106 10150128247663588 709988587 6466236 5598391 n d7mksb - Eugenol
hallboy

16/12/2006 à 20h46

Penses aux retros si tu as un peu de temps. Tu as attisé notre curiosité; maintenant, il faut bien l'assouvir ;)


1 eugenol dmj5np - Eugenol
Dancha

16/12/2006 à 22h10

Dès que peux, je les numérise.

Daniel


024 vownvo - Eugenol
annie

16/12/2006 à 23h24

hallboy Ecrivait:
-------------------------------------------------------
> Penses aux retros si tu as un peu de temps. Tu as
> attisé notre curiosité; maintenant, il faut bien
> l'assouvir ;)

T'as deja la pano,ou l'on voit qu'il n'y a pas de perte osseuse,au contraire,que veux tu voir de plus?


200106 10150128247663588 709988587 6466236 5598391 n d7mksb - Eugenol
hallboy

16/12/2006 à 23h50

il y a une enorme tache au dessus de 12 bon ,probablement un artefact; la rhizalyse de la 22 et l'os entre 22 23 c'est un element clef et là on voit pas trop bien une ou 2 autres petites chose. Je sais je suis un benet ;) faut m'aider.