Cookie Consent byPrivacyPolicies.comgutta-percha médicamentée - Eugenol

gutta-percha médicamentée

Voltaire dali btdyqx - Eugenol
Independentiste

12/12/2006 à 16h09

"La destruction des pathogènes microbiens est essentielle au succès des traitements endodontiques. La gutta-percha médicamentée (GPM), qui contient 10 % d'iodoforme, a été conçue pour inhiber la croissance microbienne. Il a été démontré que cette nouvelle forme de gutta-percha a des effets antimicrobiens contre les Streptococcus viridans, Staphylococcus aureus et Bacteroides fragilis."
JADC Oct 2006

Qu'en pensent les "boss"?


Images eb1m5g - Eugenol
tonio

12/12/2006 à 16h37

ben j'aurai tendance à penser que l'on "transfère" les données. On déplace l'antiseptique du ciment de scellement vers la gutta.
why not? puisqu'on sait que la gutta n'a pas l'inconvénient de la résorbabilité du ciment. Le produit pourait rester plus facilement en place. Encore faut-il utiliser une technique de gutta réchauffée pour que l'antiseptique soit au contact des parois canalaires.

Reste à savoir la durée d'efficacité de cet antiseptique.

quid aussi de sa toxicité??? Cela va à l'encontre d'une certaine biocompatibilité, non? L'idéal étant d'être le plus neutre possible, non?


al

12/12/2006 à 17h45

Independentiste Ecrivait:
-------------------------------------------------------
> La gutta-percha médicamentée (GPM),
> qui contient 10 % d'iodoforme, a été conçue pour
> inhiber la croissance microbienne. Il a été
> démontré que cette nouvelle forme de gutta-percha
> a des effets antimicrobiens contre les
> Streptococcus viridans, Staphylococcus aureus et
> Bacteroides fragilis."
> JADC Oct 2006
>
> Qu'en pensent les "boss"?

je suis pas un boss, mais j'en pense que c'est une grosse connerie. la destruction des pathogènes, elle s'obtient lors de la préparation canalaire, l'obturation ne servant qu'à étanchéifier la préparation.

s'il subsiste des bactéries, c'est ni la pâte, ni la gutta qui va les empêcher de croitre. y a qu'à voir le nombre de pêches alors que les dents ont été obturées avec toutes sortes de pâtes supposées plus bactéricides les unes que les autres.

Machtou a même démontré qu'il était possible de guérir une pêche seulement avec une préparation impeccable et évidemment l'irrigation qui va de pair, sans même avoir obturé.

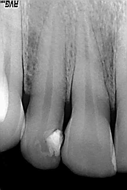
tiens, pour obtenir ce genre d'image, y a pas besoin de gutta tueuse de microbe. conclusion faut plus se préoccuper de la préparation que de l'obturation.

c'est aussi pour ça que ça me fait marrer le débat de certains autour du collage dans le canal de je ne sais quel produit...


R1 ebdpcm - Eugenol
R2 npiy3o - Eugenol
R4 swwl2a - Eugenol

Gonzo k0qhwz - Eugenol
matten

13/12/2006 à 14h22

Resilon ou Epiphany, si ça peut permettre de renforcer la structure radiculaire par collage, pourquoi pas.
Si ca peut permettre de limiter la recontamination bacterienne entre l'empreinte et la pose de l'IOTR why not.

Maintenant c'est vrai que coller dans un canal reste un challenge...Enfin c'est ce que je me dit mais je n'en ai encore jamais fait.
Alors...


Voltaire dali btdyqx - Eugenol
Independentiste

13/12/2006 à 14h40

"Dans les conditions de la présente étude, l'activité antibactérienne du scellant canalaire Epiphany a été inférieure à celle de 4 des 5 autres scellants testés et son activité antimicrobienne a été égale ou légèrement supérieure à celle du AH 26. Le scellant Epiphany n'a donc offert aucun avantage antibactérien par rapport aux autres produits testés.(Endomethasone, Sultan, Sealapex, Diaket, et AH 26)
JADC septembre 2006


WillyPertot

13/12/2006 à 19h03

Effectivement.
Pour le renforcement de la structure radiculaire,les quelques études publiées ont montré qu'il n'y en avait pas.
Pour l'étanchéité, A MISE EN FORME ET DESINFECTION EGALE, ce serait probablement une amélioration, si tant est que l'on puisse maitriser tous les paramètres du collage avec les produits actuellement disponibles.
Pour le fait de mettre des antiseptiques dans l'obturation, il y a le pour et le contre (pour ne pas être dogmatique, même si je n'utilise que des ciments de scellement sans antiseptiques ou antiinflammatoires) :
- Pour : ce que toutes les études montrent c'est qu'il est impossible d'éliminer toutes les bactéries du canal lorsque ce dernier est déjà infecté. A mise en forme et nettoyage égaux, avec une technique de gutta compactée qui permet d'avoir une obturation la plus trimensionnelle et étanche possible (je ne parle pas des canaux mal préparés et remplis avec unepâte antiseptique), cette activité antiseptique peut contribuer à éliminer certaines bactéries résiduelles (qui, pour certains, s'élimineront de toute façon si l'obturation est étanche dans la mesure où elles sont "emmurées" dans le système canalaire). De toute façon, il est clair que l'eugénol contenu dans un sealer type Pulp Canal Sealer a une activité antiseptique, dont on ne parle pas... mais contribue-t-elle au succès d'une compaction verticale de gutta chaude ou pas ?
- Contre : tout produit antiseptique est aussi toxique (avez vous déjà vu la tête que font des cellules quand on met del'eugénoil dessus?) et ne fera qu'augmenter une inflammation périapicale... d'ou l'adjonction dans certaines pâtes de corticoïdes, qui sont censés calmer l'inflammation qu'on a contribué à créer avec les antiseptiques, et qui aboutissent à un retard de cicatrisation.


Marque a3 orange fyvhyq - Eugenol
Marc Apap

14/12/2006 à 11h26

Le paradoxe avec les matériaux d'obturation canalaire, c'est qu'ils doivent être à la fois étanches et pas trop durs pour pouvoir être éliminés si nécessaire.
Pourquoi ête éliminés ? Parce que l'on n'est jamais sûr, ni de la parfaite désinfection, ni de la qualité du travail effectué par le précédent praticien (ou soi-même d'ailleurs). Et bien évidemment parce qu'il faut désobturer partiellement si l'on veut placer un tenon dans la racine. Mais cela, seulement sur un peu plus d'un centimètre, et pas les derniers millimètres apicaux.
Si l'on était sûr de pouvoir désinfecter complètement le canal, je pense que les produits comme le MTA, qui induisent une barrière minéralisée à l'apex, mais sont assez difficiles à déposer, seraient plus intéressants que les matériaux semi-solides que l'on colle.
Les études montrent que le MTA n'est pas aussi étanche que la gutta bien scellée. Mais les modèles expérimentaux sont-ils convenables : l'étanchéité in vitro est une chose. Le potentiel bio-actif de ce produit n'est pas mis en évidence par ces méthodes d'évaluation.
La consistance du MTA lui permet difficilement de s'insinuer partout, y compris dans les canaux latéraux. Mais cela n'interdit pas de s'interroger sur l'intérêt de son principe actif.
Qu'en pensez-vous ?


LdL

14/12/2006 à 12h05

al Ecrivait:
-------------------------------------------------------

> Machtou a même démontré qu'il était possible de
> guérir une pêche seulement avec une préparation
> impeccable et évidemment l'irrigation qui va de
> pair, sans même avoir obturé.

.... sans avoir obturé le canal !

Mais l'obturation coronaire elle, doit être parfaite dans un cas comme ça, non ?


al

14/12/2006 à 12h44

oui, obturation étanche provisoire. au cavit tout simplement...


Stéphane

14/12/2006 à 13h03

al Wrote:
-------------------------------------------------------
> oui, obturation étanche provisoire. au cavit tout
> simplement...

al,

C'est ps P Machtou qui l'a montre, mais sundqvist je crois; et c'etait sur des cleps ...

juste au cas ou ca donnerait des idees a certains !


al

14/12/2006 à 13h25

désolé de te contredire, il nous a montré un cas il y a quelques années, d'une pêche qu'il avait commencé à traiter sur une de ses patientes, et alors qu'il devait obturer la semaine d'après, la madame elle ne s'est pointé que quelques mois plus tard, et oh stupeur, la pêche avait disparu.

mais t'étais encore un adolescent boutonneux, quand il nous avait présenté ce cas...


Pa050055 igyagy - Eugenol
mark

14/12/2006 à 14h07

C'est bien, mais de là à en tirer un règle...
Si je retire la quintescence de plus éminents et expérimentés:
- le désinfection totale de l'intégralité du système canalaire est illusoire , ce qui ne dispense nullement d'un protocole le plus rigoureux ni le plus complet possible (le laser peut tout au plus dynamiser topographiquement et chimiquement ce temps opératoire, et semble une précaution supplémentaire tout à fait considérable)
- la qualité du scellement canalaire est le seul garant de l'étanchéité périphérique de l'obturation afin d'emmurer ("entomber" dirait Lambrechts) les kryptes clafies de germes non atteints par l'intrumentation, et résistants par leur amas aux désinfectants utilisés). Ici encore le laser peut prétendre à une propulsion plus profonde du ciment, rendant plus étanches les réseaux annexes
- le maître matériau d'obturation paraît devoir surtout se mouler dans l'anatomie très variable du système canalaire. Ce qui est la qualité de la gutta injectée à chaud, ou sous forme injectable à froid dans une forme réduisant le phénomème de rétraction de la gutta, qui oblige à un foulage prolongé (mais vraimment contrôlé?) durant la phase de refroidissement.
- dans la mesure où la présence de kryptes ne peut être exclues, et dans le cas de racine infectée, il me paraît prudent de soigner le compactage ou le parfait remplissage du matériau d'obturation, sans se contenter de l'idée d'avoir parfaitement assainit le système canalaire
- la compatibilité du ciment et du matériau d'obturation en volume me paraît devoir être améliorée, de même que la suppression des variations de volume à la prise, au séchange ou au refroidissement. Une légère expansion paraît préférable. Ces qualités dispenseraient de l'opération de foulage, somme toute un peu "artisanale"
- enfin, imaginons un collage de tenon coronoradiculaire, de l'apex à la couronne, dont la charge fibrée irait en augmentant pour atteindre la rigidité nécessaire dès la partie rectiligne de la racine...
- pour ce qui est de l'antiseptique inclus dans les tenons, je rejoins al, sans intérêt. Par contre, en matière de ciment, il y a lieu d'imaginer un ciment de collage endocanalaire antiseptique. Kuraray l'a fait en restauratrice.
- se méfier de trop d'assurance en certaines techniques et matériaux, qui nous ferait négliger les phénomènes biologiques, à commencer par une simple percolation bactérienne dans un ciment insuffisamment collé donc peu étanche, et le long d'un matériau d'obturation mou et non adhérent par lui-même.
Je préfère rester septique, prudent, et dans l'attente de progès.


LdL

14/12/2006 à 14h10

On voit un tel cas dans une revue scientifique de référence, je me souviens plus trop le nom... un truc comme "indépendance de la terre" ou quelque chose comme ça, dans leur numéro "spécial Ha Des êphe".
Un article sur "pourquoi donc se crever le derche à obturer le canal ?"


WillyPertot

14/12/2006 à 14h14

Al, effectivement, Pierre et d'autres personnes ont montré des exemples de cicatrisation sans obturation sur des patients qui ont disparus longtemps entre 2 rv... c'est uniquement pour souligner l'importance du nettoyage? Mais une cavité laissée vide peut :
- D'abord se réinfecté par les bactéries laissées en place dans le canal et on sait qu'aucune technique ne peut les éliminer complètement.
-¨Etre réinfectée par voie coronaire, et les matériaux étanches coronaires n'existent pas. Bien sur qu'on a de étanchéités immédiates, mais qu'en est il après containtes mécaniques et thermocyclage..

Marc, je n'ai jamais vu une étude qui montrait que la gutta était plus étanche que le MTA. Le problème du MTA c'est qu'il est difficilement "plastifiable" et compactable pour assurer une obturation tridimensionnelle. A part evidemment le problème de son élimination si jamais il y a échec et aussi son problème de prise lorsque tu remplis tout le canal avec...
Et la problèmatique ce n'est pas que les matériaux doivent être étanche et dur... ce n'est pas prece que c'est dur que c'est nécessairement étanche...


al

14/12/2006 à 14h15

machtou, bien évidemment ne prône absolument pas de ne pas obturer. mais il insiste, et on en a encore discuté pas plus tard que lundi dernier, sur la préparation canalaire, qui est fondamentale. bien plus que l'obturation qui n'est là que comme moyen d'étanchéité à long terme.

quant à la stérilisation du système canalaire, ce n'est pas qu'une vue de l'esprit, une préparation faite dans les règle, peut y amener.

mais penser que les carences d'une préparation peuvent être comblées par une quelconque potion magique, fut elle de la gutta survitaminée à l'antibactérien, est extrêmement dangereux...

mais ce n'est que mon avis, et peut être margot est d'accord avec moi...


Marque a3 orange fyvhyq - Eugenol
Marc Apap

14/12/2006 à 14h44

Evidemment d'accord avec Willy et al.
Willy, je n'ai pas les réf en tête, mais je peux essayer de les retrouver. Il m'a bien semblé lire que le MTA était moins étanche selon certaines études in vitro.
Pour le reste, nous sommes sur la même longueur d'onde.
Pour al : je ne partage pas exactement ton point de vue concernant la stérilisation canalaire.
Mais il est bien évident que vouloir utiliser un matériau antibactérien pour compenser une préparatoin insuffisante est une dérive à éviter.


Grueavatar nptrc9 - Eugenol
Le Choixpeau magique

14/12/2006 à 14h55

Il me semble avoir entendu dire récemment que la stérilisation canalaire n'existait pas. La réussite du traitement endo serait un équilibre entre diminution de la charge bactérienne (préparation/irrigation), embargo sur les bactéries restantes (vivres coupés dans l'immédiat et à long terme avec l'obturation), et potentiel de défense de l'organisme. Qui peut m'en dire un peu plus, confirmer ou infirmer ?


Marque a3 orange fyvhyq - Eugenol
Marc Apap

14/12/2006 à 14h57

Choixpeau, je pense que c'est tout à fait ça. La loi du tout ou rien n'existe pas en endo.


Voltaire dali btdyqx - Eugenol
Independentiste

14/12/2006 à 15h33

"Mais il est bien évident que vouloir utiliser un matériau antibactérien pour compenser une préparatoin insuffisante est une dérive à éviter."

Sans défendre d'aucune manière ce type de produit ,
je ne pense pas que les auteurs de cette étude visaient ce but .

Il y a consensus sur mise en forme et nettoyage canalaire;c'est une évidence.


Marque a3 orange fyvhyq - Eugenol
Marc Apap

14/12/2006 à 15h35

Moi non plus, je ne pense pas . C'était juste pour répondre à al, qui s'inquiétait.


WillyPertot

14/12/2006 à 15h44

Al, la stérilité d'un système canalaire peut être maintenue tant qu'il n'y a pas de bactéries au départ.
En revanche, il n'y a quasiment (je dis quasiment des fois que j'en ai raté) une seule étude dans la littérature qui montre que des canaux DEJA infectés peuvent être rendus stériles à 100%, marlgé une super préparation et la meilleure irrigation possible.
Et effectivement, le problème c'est l'équilibre entre les bactéries et les défenses de l'organisme. C'est par exemple le cas des reprises de traitement sur une dent avec lésion et qui cicatrise aprés retraitement alors qu'on a pas pu dépasser le niveau de l'ancienne préparation.


Stéphane

14/12/2006 à 16h27

Marc Apap Wrote:
-------------------------------------------------------

> Willy, je n'ai pas les réf en tête, mais je peux
> essayer de les retrouver. Il m'a bien semblé lire
> que le MTA était moins étanche selon certaines
> études in vitro.

Jaimerais bien l'avoir.
Car a ma connaissance, si l'on peut reconnaitre quelque chose a ce materiau, c'est bien son etancheite et sa biocompatibilite.


Pa050055 igyagy - Eugenol
mark

14/12/2006 à 17h26

Pardon d'y revenir, je crois qu'il y a beaucoup de suffisance à prétendre qu'un dent précédemment infectée peut être complètement désinfectée, voire "stérilisée", quelque soit la méthode.
Et cette vision d'une insuffisance de résultat ne doit pas être interptérée comme une insuffisance de moyens (champ opératoire, solutions, dosage, temps de travail, manipulations, actions croisée, travail mécanique etc.), ni de technique opératoire.
Donc, l'étanchéité périphérique, et le remplissage complet par un matériau ne se rétractant pas et si possible intimement adhérent au ciment lui-même adhérent aux parois dentinaires et prolusé dans le réseau secondaire et en tags intra tubuliares, me semble un objectif essentiel à atteindre.
Quand bien même nous pouvons nous auto-satisfaire des méthodes actuelles les plus répandues et les plus re productibles...
Quant à la possible reprise de traitement, sur la base de ce que je viens d'énoncer, il n'y pas plus de raison de devoir reprendre un traitement réalisé avec le maximum de précaution la première fois et coiffé par une rcosntitution étanche, que de constater simplement l'échec ... et passer à autre chose...
Donc, un MTA qui aurait des qualités de prise contrôlée et de consistance plus favorable au compactage voire à l'extrusion (on connaît déjà ces qualités d'expansion et d'étanchéité outre son potentiel biologique réparateur, serait une altérnative intéressante aux ciments résines, en dépit de son incompatibilité chimique avec les composites de recosntitution.
Et quid des CVI?


al

14/12/2006 à 18h03

mark Ecrivait:
-------------------------------------------------------
> je crois qu'il y a beaucoup de
> suffisance à prétendre qu'un dent précédemment
> infectée peut être complètement désinfectée, voire
> "stérilisée"

moi je prétends simplement, que si j'arrive à guérir une pêche après avoir préparé mon canal et l'avoir obturé, je peux considérer qu'il est complètement désinfecté. et j'y arrive maintenant quasiment systématiquement, simplement en mettant l'accent sur la préparation canalaire et l'irrigation qui va avec.

et j'ai pas eu besoin pour ça de colle et autre gutta bactéricide ou que sais-je encore. simplement des produits et techniques éprouvées. le reste n'est que littérature.

mais à mon humble avis, placer le débat sur ce terrain quand on sait qu'aujourd'hui 80% des endos sont incorrectes, tient de la sodomisation de coléoptère.

mais c'est vrai que ça fait chic et riche d'argumenter sur l'éventuelle perte d'étanchéité.

mais ce n'est que mon avis...


Pa050055 igyagy - Eugenol
mark

14/12/2006 à 18h27

Il va falloir perdre ce mode de communication sur le thème "moi je", al.

T'es pas seul à procéder ainsi, ni à avoir les résultats que tu dis.

L'absolutisme qui consiste à prétendre que tout est pour le mieux dans le meilleur des mondes (possible) dénote surtout un refus de changement, ou au minimum un manque de vision sur l'avenir.

Mais si tu as décidé d'attendre l'aboutissement d'études pour réflêchir, c'est ton avis, et je le respecte.


12