Cookie Consent byPrivacyPolicies.comAppareil photo - Eugenol
Father ted 280 422484a zg0rur - Eugenol
Oméga

12/12/2006 à 18h03

Je suis sur le point de faire l'acquisition d'un appareil photo et je note sur le site de la miroiterie petitjean qu'il existe à la fois des reflex et des compacts.
Je connais la qualité des reflex mais en ayant déjà un à la maison, celui ci serait exclusivement réservé au cabinet.
Est ce qu'un compact serait suffisant, et est ce que le prix annoncé par la miroiterie miroitante (canon 400 avec flash et objectif à 2000 roros) n'est pas exagéré.
Merci à tous les photographes.


cyberquenottes

12/12/2006 à 18h38

c'est exagéré


Father ted 280 422484a zg0rur - Eugenol
Oméga

12/12/2006 à 19h29

Merci cyber, je m'en doutais un peu après avoir vu le prix de l'appareil nu et du flash annulaire.
Par contre, une expérience au niveau des compacts ?


cyberquenottes

12/12/2006 à 19h45

écoutes , moi je devrais re choisir un APN , j'irais sur le forum hardware.fr et je demanderais a des gars calés de m'aider a choisir en fonction de ce que tu recherches comme qualité d'image , zones a photographier ( devant , ou dans le fond avec miroir ) , comme maniabilité

etc...

en faisant eventuellement une préselection


c'est comme ca que j'ai choisi mon bridge PRO et mes ultra compacts home


Father ted 280 422484a zg0rur - Eugenol
Oméga

12/12/2006 à 20h35

C'est fait, en espérant que mon post ne disparaisse pas trop vite à la 25 eme page.
Merci du conseil.


phil

12/12/2006 à 21h19

moi au cabinet j'ai un Nikon coolpix 4500 + bague annulaire très simple et largement suffisant dans la plupart des cas......la gamme ayant évoluée peut être quelquechose de proche chez NIKON......
site http://www.nikonpassion.com/ ( indépendant de la société Nikon ) si tu veux des infos ( forum ) et il y a même du matos d'occas


003 penrd2 - Eugenol
Cingulum

12/12/2006 à 21h33

Compte tenu de la baisse des tarifs, et compte tenu de l'usage pro, un reflex me parait un bon investissement.

Seul la taille du capteur (en dimension, pas nombre de pixel..) permet d'avoir une bonne image en dentaire pour 2 raisons...


1 .En macro sur un Compact type Coolpix, on est trés proche du sujet à photographier...environ 2 cm au mini...cela pose d'enorme probleme pour l'eclairage. Et si eclairage difficile : teinte hasardeuse, prise lente et donc flou de bougé etc...Or impossible d'eclairer convenablement à moins de 7-5 cm du sujet, on est vite soit dans les blancs brulés ou dans le sous ex...

2 .Sur un compact, on va etre trés proche encore une fois et cela se retrouve au niveau de la géometrie des perspectives... on se retrouve avec des arcades qui semblent trés ronde...


Aujourd'hui aprés des années de photo dentaire, je pense de bonnes connaissances dans la technique et le materiel, je conseillerais:

EOS 350D + 60mm macro canon + Flash annulaire canon


Eviter les objectifs sigma bcp plus lent à la mise au point et qui ont tendance à patiner...


cout global environ 1500E ttc :
un bon site, serieux avec des tarifs sympa :

http://minilien.fr/a0jxkv


Blason dql7mj - Eugenol
growler

12/12/2006 à 21h57

hello toutes et tous,

comme j'étais à New York City la semaine dernière et que le dollar ne se porte pas bien du tout, je me suis rendu dans la célèbre boutique B&H, j'ai craqué pour un Nikon D80 (mon premier reflex numerique) et le flash annulaire Sigma compatible avec le i-ttl Nikon (objectif 105 mm Sigma macro que je possédais déjà)
les premiers clichés sont parfaits (le i-ttl tient toutes ses promesses)

La raison pour laquelle je n'ai pas pris un canon eos vient uniquement du fait que je possédais déjà l'objectif macro que j'utilisais auparavant sur un nikon f90x ainsi que d'autres objectifs nikon.

le seul "petit" problème que je rencontre avec le 105 mm c'est qu'avec le boitier numérique la focale est presque un peu longue (c'est sûr la buée émise par le patient ne va pas me gêner)
je conseillerais donc, comme le souligne cingulum, de prendre un 60 mm ou encore chez sigma le tout nouveau 70mm F2,8 DG EX MACRO.

@+


phil

12/12/2006 à 23h15

Cingulum Ecrivait:
-------------------------------------------------------
> Compte tenu de la baisse des tarifs, et compte
> tenu de l'usage pro, un reflex me parait un bon
> investissement.
>
> Seul la taille du capteur (en dimension, pas
> nombre de pixel..) permet d'avoir une bonne image
> en dentaire pour 2 raisons...
>
>
> 1 .En macro sur un Compact type Coolpix, on est
> trés proche du sujet à photographier...environ 2
> cm au mini...cela pose d'enorme probleme pour
> l'eclairage. Et si eclairage difficile : teinte
> hasardeuse, prise lente et donc flou de bougé
> etc...Or impossible d'eclairer convenablement à
> moins de 7-5 cm du sujet, on est vite soit dans
> les blancs brulés ou dans le sous ex...

-FAUX tout dépend du rapport de grossissement ! pour une demie arcade je suis à 7 10 cms ......ma lampe annulaire eclaire le champ comme un flash et c'est lumière du jour....

Ceci dit un reflex c'est sur c'est mieux ....( mon perso est le fabuleux Nikon D200 que j'utilise avec le tout aussi fabuleux 60 mm macro......mais pas en bouche !!! )

Tout dépend de ce que l'on veut faire !
>
> 2 .Sur un compact, on va etre trés proche encore
> une fois et cela se retrouve au niveau de la
> géometrie des perspectives... on se retrouve avec
> des arcades qui semblent trés ronde...
>
>
> Aujourd'hui aprés des années de photo dentaire, je
> pense de bonnes connaissances dans la technique et
> le materiel, je conseillerais:
>
> EOS 350D + 60mm macro canon + Flash annulaire
> canon
>
>
> Eviter les objectifs sigma bcp plus lent à la mise
> au point et qui ont tendance à patiner...
>
>
> cout global environ 1500E ttc :
> un bon site, serieux avec des tarifs sympa :
>
> http://minilien.fr/a0jxkv

digibao est très interessant aussi pour tout le matos et quelle que soit la marque



phil

12/12/2006 à 23h17

tamron a aussi un très bon objectif macro compatible Nikon canon et beaucoup moins cher !


003 penrd2 - Eugenol
Cingulum

12/12/2006 à 23h47

>
> -FAUX tout dépend du rapport de grossissement !
> pour une demie arcade je suis à 7 10 cms ......ma
> lampe annulaire eclaire le champ comme un flash et
> c'est lumière du jour....
>

Tu aurais des exemples en photo...
Je persiste...a meme grossisement tu sera bcp plus pret avec un compact qu'avec un 100mm...
de plus tu deformes les images...



003 penrd2 - Eugenol
Cingulum

12/12/2006 à 23h47

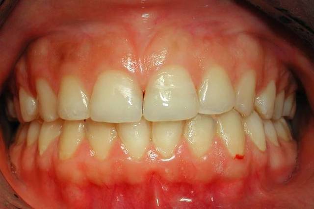
exemple photo au reflex :

Image4 nedp3c - Eugenol
Image5 joj2md - Eugenol

003 penrd2 - Eugenol
Cingulum

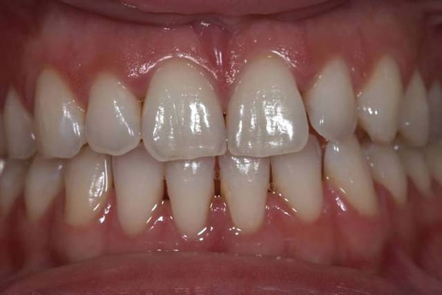
12/12/2006 à 23h48

photo au coolpix... :

Image2 wwloeg - Eugenol
Image3 qxg1nh - Eugenol

003 penrd2 - Eugenol
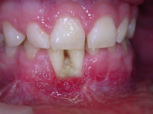
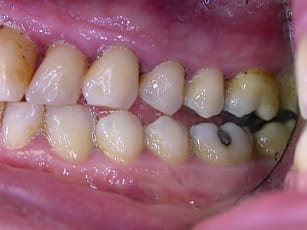
Cingulum

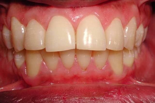
12/12/2006 à 23h49

et pour le plaisir au 300D...100mm MAcro

Image1 vkkbyu - Eugenol
Image7 ubxycc - Eugenol
Image6 niblf5 - Eugenol

003 penrd2 - Eugenol
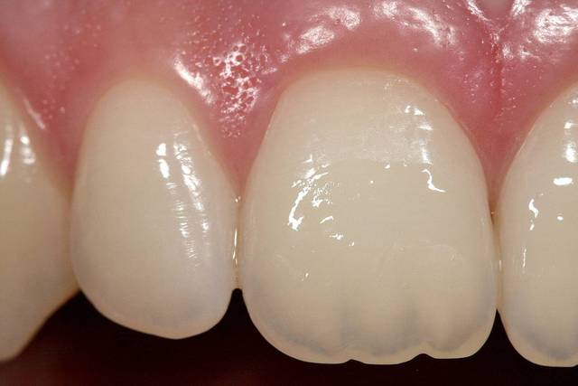
Cingulum

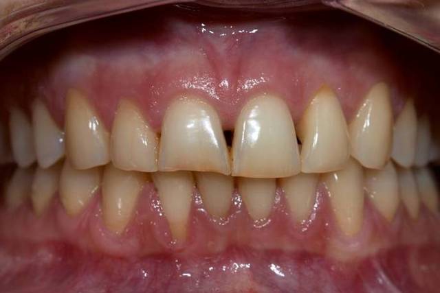
12/12/2006 à 23h50

le probleme de géométrie lié a la petite taille du capteur sur les compacts... :

Sans titre 1 ezqfm4 - Eugenol

Father ted 280 422484a zg0rur - Eugenol
Oméga

13/12/2006 à 00h33

Bon, à faire des frais je vais prendre le canon histoire de conserver une compatibilité avec le 300 de ma copine.
Par contre elle possède un zoom sigma et on n'a jamais noté de "patinage dans la choucroute" et la qualité est plus que correcte.
Je ne suis pas sur que la différence de prix entre sigma et canon (300 euros à la louche) soit vraiment justifiée.


003 penrd2 - Eugenol
Cingulum

13/12/2006 à 00h49

j'ai pu testé les deux...100mm, ce n'est que mon avis...
maintenant le 70mm sigma j'ai pas testé...
mais les canons sont trés rapide (usm)


phil

13/12/2006 à 09h15

Cingulum Ecrivait:
-------------------------------------------------------
> >
> > -FAUX tout dépend du rapport de grossissement !
> > pour une demie arcade je suis à 7 10 cms
> ......ma
> > lampe annulaire eclaire le champ comme un flash
> et
> > c'est lumière du jour....
> >
>
> Tu aurais des exemples en photo...
> Je persiste...a meme grossisement tu sera bcp plus
> pret avec un compact qu'avec un 100mm...

> de plus tu deformes les images...

je ne dis pas le contraire mais de la à dire que l'on travaille à 2 cm excuses moi c'est pas vrai ( tu déformes aussi la )......tu sais je connais la photographie ( si tu veux je te donnerai le nom de mon site ! ) ....tout de que tu dis sur les compacts c'est évident je suis d'accord avec toi ......avec un reflex c'est 100 fois mieux mais à la base tout dépend de ce que tu fais et de l'investissement que tu veux y mettre .......moi en paro j'ai pas les mêmes besoins qu'en prothèse.tout depend du cahier des charges que tu te donnes........
dans le même ordre d'idée et je l'ai dit il n'est pas forcemment besoin d'avoir l'objectif de la marque même si ceux ci sont supérieurs la plupart du temps mais 3 à 4 fois plus chers parfois ..
de même il y a des sites vendeurs sur internet qui permettent de faire de vraies economies.......par rapport à des enseignes beaucoup plus connues.......



cyberquenottes

13/12/2006 à 11h03

sur abcdent il y a qqun qui vend "la rolls de la macro dentaire" ...


alhoun

13/12/2006 à 11h06

> cout global environ 1500E ttc :


je dirais même 1000 € environ...


alhoun

13/12/2006 à 11h14

voilà la bête...

Test t 20061213 269 vb6hoc - Eugenol

bjc

13/12/2006 à 11h16

Bonjour,

J’ai essayé 3 appareils compacts, pour des questions d’économies.
Je n’en ai pas fait.
Le Pb. c’est que les compacts ferment à 8. Il parait que c’est voulu.
Or, il nous faut de la profondeur de champs, et il faut fermer à 20 ou 25, au de las, on a du vignettage.
Ces réglages n’existent que sur les réflexes.
D’autre part, un flash annulaire est nécessaire, Quand on rate une photo, c’est toujours celle qui était importante.
Et si on veut des photos comparables, il faut un objectif macro.


Amitié à growler.


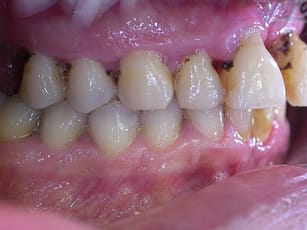
phil

13/12/2006 à 11h21

voila avec coolpix 4500 ....correspond à mes besoins ( moins de 1000 euros )

Dscn3426a wrtxqx - Eugenol
Dscn3427a xux9vs - Eugenol
Dscn3428a aylk3b - Eugenol
Dscn3405a cjuhqo - Eugenol

Logo vuaztn - Eugenol
mac

13/12/2006 à 12h13

je confirme reflex, avec un compact tu vas faire des économies mais tu vas pas t'en servir.


phil

13/12/2006 à 12h36

mac Ecrivait:
-------------------------------------------------------
> je confirme reflex, avec un compact tu vas faire
> des économies mais tu vas pas t'en servir.


je m'en sert pourtant souvent....... en 2 ans 3400 photos environ voir compteur des pièces jointes.


12...