Cookie Consent byPrivacyPolicies.comje le sens pas - Eugenol

je le sens pas

azerty

06/01/2007 à 10h42

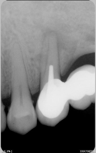
elle vient me voir pour peche sous bridge de 2 ans. section, depose fm re ttmt endo. je la revois dans 3 mois.
jene fais pas confiance a cette dent.
ken pensez vous

002 v6h0k6 - Eugenol

olivier

06/01/2007 à 10h54

Elle est sensible à la percu?
Sinon l'image peut etre due à une racine en forme de 8.


Squash u44zd8 - Eugenol
steph

06/01/2007 à 13h42

Peut-être tes déboires récents qui te font flipper.
La racine semble effectivement en 8, mais pas de lumière canalaire visible, c'est pour moi le point le plus délicat mais pas infaisable.
Sinon tu l'adresses à Stéphane au pire.


Pa050055 igyagy - Eugenol
mark

06/01/2007 à 20h38

Je n'ai pas compris.
Tu ne la revois que dans trois mois et en attendant tu réflechis à ce que tu vas faire?


Marque a3 orange fyvhyq - Eugenol
Marc Apap

06/01/2007 à 21h35

On ne voit aucune trace de canal, ni surtout d'obturation. De quoi se demander pourquoi le praticien a fait ça. Je commencerais par le chercher (la racine a la forme d'un cacahuète en section, mais bon, ça arrive). Puisqu'il y a une lésion, il doit exister. Reste à savoir s'il est assez perméable, si pas de fausse route, etc...
Sinon, cette dent est bien implantée. Evidemment, la solution de facilité c'est l'extraction et les implants. Parfait pour les bons vendeurs qui ne veulent pas s'emmerder


azerty

07/01/2007 à 11h27

et m... j' ai pas mis la radio post endo.
j'attend 3 mois pour la cicatrisation. et je me dis que si durant 3 mois il n'ya pas repepin, c'est qu'il y a peu de chaces que cela recommence. promis, lundi je file la radio.


Image odged8 - Eugenol
ploc

07/01/2007 à 12h26

it's a good idea la radio(je tente de conserver le vague anglais des vacances ste luciennes:))

as tu sondé?
plus qu'une simple pêche apicale,il me semble qu'en distal la paro rejoint l'endo...
à suivre comme tu dis...
et plus de commentaires lundi


azerty

08/01/2007 à 11h13

la radio.pas de poche paro

002 apzwnv - Eugenol

Images eb1m5g - Eugenol
tonio

08/01/2007 à 14h03

heu... tu nous a remis la même radio...

Tu peux nous donner la radio post endo?

Tu as bien du avoir au moins deux canaux, non?


azerty

08/01/2007 à 14h14

radio


azerty

08/01/2007 à 14h15

reradio

006 iyjlpz - Eugenol

Grueavatar nptrc9 - Eugenol
Le Choixpeau magique

08/01/2007 à 14h47

Ouh là, je sens qu'il va y en avoir qui ne vont pas être d'accord ;)


Grueavatar nptrc9 - Eugenol
Le Choixpeau magique

08/01/2007 à 14h48

Ca n'a pas saigné ?


al

08/01/2007 à 14h49

oh la jolie perf. et tu comptes vraiment garder cette dent ?


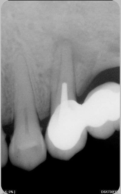
Images eb1m5g - Eugenol
tonio

08/01/2007 à 14h49

gloups! apparemment tu n'as pu trouver qu'un seul canal.

Pas de possibilité de trouver le deuxième? Pas de lumière canalaire visible à la radio en tout cas.

Bon, sincèrement, suis pessimiste, ton cône dépasse pas mal de l'apex apparemment ou est-ce un artefact de la radio?


azerty

09/01/2007 à 11h38

ce n'est pas un artefact et a mon sens, il n'y a pas de perf


Coeur n9py1g - Eugenol
patvat

09/01/2007 à 12h02

ET le patient il le sent ??? LUI


Image odged8 - Eugenol
ploc

09/01/2007 à 13h32

apex ouvert
un seul canal arrivé à etre traité
dépassement apparent de cöne
je ne conserverai pas surtout en repilier de bridge
et donc implants à envisager

voilàààààà:formulation plus correcte mrs les modos?


azerty

09/01/2007 à 13h54

t'aurais été zappé?
on est du meme avis


Pa050055 igyagy - Eugenol
mark

09/01/2007 à 13h55

Azerty, je suis très pessimiste!

Le tenon originel était déjà dévié en direction de la furcation.

Il semble que lors de la reprise tu as poursuivi dans cette direction jusqu'à effraction dans le furcation.

Vu le rôle de pilier qui devrait échoir à cette dent, l'ensemble d'opérations qui consisterait à:

- reprendre le traitement au delà de la fausse route
- combler celle-ci au MTA
- cureter la furcation
- reconstituer le moignon par collage

me paraît un peu gonflé et le pronostic pour le moins réservé.


azerty

09/01/2007 à 18h05

donc c'est mal barré. je suis de votre avis .
mais comme j'ai eu pas mal de merde, c'etait pour savoir si il n'y avait que moi de pessimiste


turpin

09/01/2007 à 18h28

il n'y a qu'une seule solution_-l 'extraction.
bon courage


024 vownvo - Eugenol
annie

09/01/2007 à 19h31

mark Ecrivait:
-------------------------------------------------------
> Azerty, je suis très pessimiste!
>
> Le tenon originel était déjà dévié en direction de
> la furcation.
>
Pour le pessimisme,je suis d'accord avec toi Mark,mais pour l'axe du tenon ,j'ai l'impression
qu'il etait dans l'axe du canal,il me semble par contre que le trajet pris par Azerty,est différent

question,vais je être à nouveau zappée? l'avenir nous le dira!



Utilisateur anonyme

10/01/2007 à 08h15

un patient azerty en vaut-il deux ? pour qu'il le soit ainsi, il eut fallu d'abord qu'il le fuit.


azerty

10/01/2007 à 10h19

c'est fin comme du gros sel.


12