Cookie Consent byPrivacyPolicies.comDiagnostique flou - Eugenol

Diagnostique flou

IDALIA SANDRA

17/02/2007 à 14h58

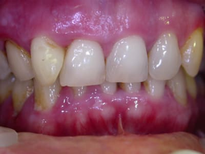
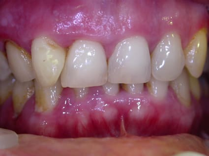
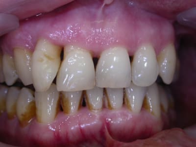
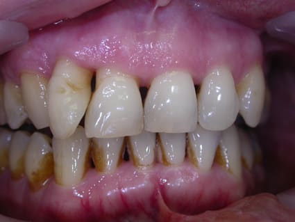
Bonjour tout le monde,j'ai une amie qui souffre apparemment d'un problème parodontal,elle a consulté un parodontiste qui lui a fait un curetage+une irrigation sous gingivale à la chlorhexidine et lui a recommandé la pate de keyes pour utilisation à domicil,en sachant que cliniquement la gencive est saine et cette amie est parfaitement motivée à l'hygiène de plus il existe une légère lyse osseuse qui est marginale mais depuis qu'elle a commencé le traitement(2ans) aucune amélioration n'est perçue,sachant aussi q'elle n'a rien d'ordre général,alors qu'es-ce que ça pourait être?

Merci d'avance pour vos idées.


Tilc

18/02/2007 à 12h56

tout os perdu ne sera jamais recuperé c est la regle


chab

20/02/2007 à 19h23

Pas de saignement au sondage ?
Pas de signes manifestes d'inflammation ??
Pas de poches parodontales ?
Un défaut osseuse que la maintenance paro maintient dans un état stable?


Donc pas de problème ! où est l'inquiétude de ton amie ou la tienne ?


163 uopeey - Eugenol
pierres

20/02/2007 à 20h28

quel âge?
quel facteur derisque? diabète antécédents familiaux, tabac
IDALIA SANDRA Ecrivait:
-------------------------------------------------------
> Bonjour tout le monde,j'ai une amie qui souffre
> apparemment d'un problème parodontal,elle a
> consulté un parodontiste qui lui a fait un
> curetage+une irrigation sous gingivale à la
> chlorhexidine et lui a recommandé la pate de keyes
> pour utilisation à domicil,en sachant que
> cliniquement la gencive est saine et cette amie
> est parfaitement motivée à l'hygiène de plus il
> existe une légère lyse osseuse qui est marginale
> mais depuis qu'elle a commencé le traitement(2ans)
> aucune amélioration n'est perçue,sachant aussi
> q'elle n'a rien d'ordre général,alors qu'es-ce
> que ça pourait être?
>
> Merci d'avance pour vos idées.



IDALIA SANDRA

21/02/2007 à 11h31

D'abord je tient à vous remercier de m'avoir répondu.
Mon amie s 'inquiette de son état qui va tout en s'aggravant et aussi de l'absence d'une réponse aux traitements qu'elle a subit et elle a peur de la perte de ses dents à son jeune âge.
Tant qu'il ya une lyse osseuse ça veut dire une cause générale est derière c'est ce que je lui ai dit.


IDALIA SANDRA

21/02/2007 à 11h42

Et qu'en dites-vous de la "RTG"?Moi je pense que c'est une technique qui a résolu le problème de la perte osseuse et tissulaire en général.Or quand on a une lyse osseuse on doit la stabiliser par tous les moyens qu'on dispose.


Squash u44zd8 - Eugenol
steph

21/02/2007 à 12h36

Si la lyse osseuse est généralisée, t'as pas fini de mettre des membranes.
Certainement cause générale, donc examens complémentaires, à commencer par une prise de sang et un PST.


IDALIA SANDRA

21/02/2007 à 13h26

Elle n'est pas généralisée mais elle tend à l'être


phil

21/02/2007 à 14h28

d'abord faudrait des photos ou des radios ..
la persistance de problèmes s'accompagne de quels signes ?
car il ne faut pas confondre la cause du problème qui est essentielllement à base infectieuse sur un terrain peut être prédisposé et la consequence du problème qui est la perte osseuse la presence de poches etc ... .....

si tu traites la cause tu gueriras l'infection mais il te restera peut être des sequelles ( pertes osseuses par exemple )

ensuite une fois seulement que l'infection sera maitrisée et seulement alors et si possible guérie alors seulement tu pourras penser à corriger les sequelles si une technique te le permet ce qui n'est pas toujours le cas ( alveolyse horizontale c'est pas evident ) ...
la correction si elle est possible pourra comporter des techniques de reparation ( allant du petit lambeau ) aux techniques de régénération ( par utilisation par ex des proteine dérivées de l'email ou autres membranes ..)

d'emblée si elle a eu curetage c'est une technique un peu dépassée et il est donc probable que l'on ne l'a pris en charge sur le plan de son infection au départ et des facteurs de risques evoqués par pierres....et que l'on a agit sur un terrain encore inflammatoire donc actif donc sans etre assuré d'une reponse naturelle initiale par traitements locaux peu invasifs et adaptés car lorsque l'on agit ainsi les curetages ne sont quasiment pas necessaires ( ce qui ne veut pas dire qu'une petite chirurgie ponctuelle n'est pas necessaire )






Tilc

21/02/2007 à 22h40

le curetage non necessaire ? Tu peux me citer des publications internationales/nationales qui dit que le curetage est "dépassé" ??
Une étude randomisée de comparaison sur les patients curetés Vs patients non curetés avec un traitement medicamenteux ?
Je suis vraiment interessé parce que j en ai pas encore lut


phil

22/02/2007 à 00h13

non je n'ai pas d'études mais vois c'est la simple experience clinique et le bon sens ......tu prends en charge un patient de façon maintenant assez classique type paromed et tu verras qu'a partir du moment ou tu traites les causes et ou tu laisses le temps au temps et bien très très souvent tu n'as pas besoin de ces curetages.....je n'en fait plus depuis 1993 ( comme je n'utilise plus de curettes quasiment ).....en paro faut pas confondre causes et conséquences .......tant que tu ne maitrises pas l'infection l'inflammation et le terrain a quoi cela sert -il d'aller plus loin .par contre quand tout est reunit alors la reponse se fait sans curetage ......ou si tu dois intervenir tu le feras pour une zone très precise .......et non par quadrant au passage ( quel horreur sur le plan du concept comme si les bacteries et l'inflammation se développaient par quadrant et disparaissaient aussi par quadrant )

je pense que tu as constaté que lorsque le controle de plaque ( par le patient et par le praticien ) etait vraiment bon des parodontes très enflammés cicatrisaient de façon spectaculaire sans curetage tout seuls......a ton avis pourquoi cela ne serait -il pas reproductible ......

j'ai même tendance à penser que lorsque le parodonte ne revient pas spontanement malgré un bon controle de plaque et une thérapeutique douce et bien conduite il y a des bacteries dans les tissus ...et bien souvent après tests microbio je constate des pathogènes ( pg td bf sont souvent associés d'ailleurs ) et l'antibiotherapie alors amène la cicatrisation .....si je curette d'emblée sans recul et sans analyse je perds cette sensation ......
et je risque peut être plus ensuite une récidive ...




phil

22/02/2007 à 00h31

tiens un cas typique .....paro de l'adulte active ......les premières seances prise en charge du patient et litho ......au bout de 3 mois pas de franche amélioration ....persistance d'une inflammation .....bien que la patiente soit efficace.......tests microbio .....reponse + pour PG sur 3 secteurs à des taux de 10 puissance 7 + du BF 10 puissance 6 + des treponèmes 10puissance 6 .......ordonnance de flagyl pendant 14 jours ......tout s'est alors arrangé très simplement .....j'ai fini mes litho ( j'ai retrouvé plein e tartre et de petits surfacages ponctuels ( ultrason satelec) et c'est tout ......lors du dernier contrôle de maintenance 2 ans après il y a de petits defauts de brossage en interdent mais c'est stable et le sondage est maxi à 3 mm partout......si j'avais d'emblée fait un curetage certes avec un bon contrôle de plaque j'aurais pu avoir une belle amelioration mais je pense pas totale et une recidive ensuite ....
au passage le fluorure d'etain tache .......

C dscn2375 zf96oz - Eugenol
Dscn3572 ki9ppu - Eugenol

200106 10150128247663588 709988587 6466236 5598391 n d7mksb - Eugenol
hallboy

22/02/2007 à 01h07

Dans ce genre de cas, comment gere tu l'esthetique?

Et dans quel cas ( et conditions ) donne tu du flurur d'etain?


024 vownvo - Eugenol
annie

22/02/2007 à 01h34

puique c'est un questionnaire,j'y ajoute la mienne Phil,dans certains de tes anciens posts j'ai cru lire (je me méfie maintenant)qu'il y avait un certain risque à prescrire bicarbonate+H2O2,chez les patients fumeurs
Etait ce juste une crainte chez un de tes patients
qui avait développé un carcinome,ou le fait est-il établi?


phil

22/02/2007 à 09h48

pour hallboy

Ce cas sera vu par un orthodontiste je pense ...mais c'est toujours selon la demande du patient qui souvent après un traitement de paro a un peu envie de souffler et perso quand je peux j'attend pour etre sur que tout reste stable surtout si des implants sont prévus ......lorsqu'une patho existe depuis 20 ans et que l'on espère qu'il gardera ses dents ensuite très longtemps moi je ne me precipite pas ...parce que c'est ce que je choisirais pour moi ( mais suis-je un bon juge ? )

le fluorure d'étain en maintenance surtout ou si j'ai une paro type adulte peu active avec un bon brosseur....le microscvope + l'absence de signes cliniques evoquant une activite + les facteurs de risque me font moduler mon approche

pour Annie ......oui je me mefie chez le fumeur pour l'eau oxygénée ( gros fumeurs )
.....oui j'ai eu un doute un jour après utilisation d'eau oxygénée chez un patient qui avait eu plusieurs années avant un traitement de paro et qui avait developpé un carcinome mais ce patient ne fumait pas !


024 vownvo - Eugenol
annie

22/02/2007 à 14h12

Donc si danger il y a , ce qui n'est pas prouvé,ton patient ne fumant pas,est valable aussi bien chez les fumeurs que chez les non-fumeurs?


phil

22/02/2007 à 14h39

il y a toujours un risque en toute chose ......ce patient a développe un carcinome ......ce qui m'a interpellé c'est que ce patient ne fumait pas et ne buvait pas ( les K buccaux sont souvent associés avec tabac et alcool ) .....mais y a t il pour autant un lien avec ce que j'ai prescrit .....c'est autre chose
je ne pense pas non plus que le paroex qui a ete utilisé puisse avoir une influence mais après tout .....

j'ai diagnostiqué une autre fois un carcinome chez une vieille dame qui n'a jamais utilisé ce type de produits et qui ne fumait pas et ne buvait pas .

il n'en demeure pas moins que dans toute situation potentiellement plus a risque ( buveur gros fumeur mais aussi toute lesion type lichen ou leucoplasie ) j'évite......


024 vownvo - Eugenol
annie

22/02/2007 à 14h51

alors quelle solution de rechange dans ces cas?


phil

22/02/2007 à 16h22

dentifrices chlorhexidine sans alcool + Bdb ou fluorure d'etain dent + BdB
insister sur l'action mecanique ......


024 vownvo - Eugenol
annie

22/02/2007 à 16h41

merci Dr Phil!


Squash u44zd8 - Eugenol
steph

22/02/2007 à 22h20

Pour Tilc

Greenstein G
Periodontal response to mechanical non-surgical therapy : a review.
J Periodontol 1992; 63 : 118-30

Badersten A, Nilveus R, Egelberg J.
Effect of non-surgical periodontal therapy. I. Moderatly advanced periodontitis.
J Clin Periodontol 1981; 8 : 57-72

Badersten A, Nilveus R, Egelberg J.
Effect of non-surgical periodontal therapy. II.
Severely advanced periodontitis.
J Clin Periodontol 1984a; 11 : 63-76

Badersten A, Nilveus R, Egelberg J.
Effect of non-surgical periodontal therapy. III.
Single versus repeated instrumentation.
J Clin Periodontol 1984b; 11 : 114-24

Badersten A, Nilveus R, Egelberg J.
Effect of non-surgical periodontal therapy. IV.
Operator variability.
J Clin Periodontol 1985a; 12 : 190-200



phil

22/02/2007 à 22h50


Merci Steph ......

le curetage si je me rappelle concerne les tissus mous de toute façon essentiellement .Cureter ces tissus me parait abherant sachant tout ce que l'on sait sur les patho parodontales .en + un tissu inflammatoire est un tissu qui potentiellement favorisera la cicatrisation ....l'enlever c'est peut être se priver de certaines choses ..

je ne curette plus depuis 15 ans au moins et pourtant cela cicatrise dans bien des cas ......etonnant non ?
et si il m'arrive de faire une petite chir et qu'il y en a un peu je le laisse a partir du moment ou il ne gene pas la coaptation des berges de la plaie . je touche pas aux parties molles

ce que je condamne moi surtout dans ceux qui curetent les tissus c'est que manifestement ils ne laissent pas le temps ni au patient d'être efficace ni à l'organisme de repondre ......c'est un peu genant tout de même ......


Squash u44zd8 - Eugenol
steph

22/02/2007 à 23h00

Oui, on peut trouver des études sur la sensibilité dentinaire après curetage, on a tous vu des photos de curetages agressifs ou répétés qui laissent les dents fragilisées.
Et les concepts évoluent, on ne cherche plus à éliminer les toxines imprégnées dans le cément mais à éradiquer la cause ; du coup les méthodes changent, on garde le cément pour la réattache et on cible les bactéries responsables.


024 vownvo - Eugenol
annie

25/02/2007 à 00h13

Je ne change pas de post pour poser une autre question
vu en urgence ce soir un nouveau patient ,la cinquantaine présentant des douleurs 47,48, devitalisées,mais Ag tres débordant,poche énorme entre 47 et 48,
j'ai tout d'abord essayé de meuler cet Ag,et procédé à des applications d'Isobétadine,réglé occlusion,façon Isaie
Un plan de traitement doit être établi,mais questions,sachant en plus qu'il a eu une hépatite C
J'ai prescrit brossettes,bicarbonate + H2O2+ ChLOREX

Quel critère pour choisir,metronitazole,isobétadine ou bic H2O2 ?
je pense extraire la 48,est il recommandé de combler l'alvéole afin de limiter la resorption
osseuse,recommandé d'attendre une amélioration paro avant d"extraire?
quelles contre-indications éventuelles liées à l'hépatite C?


Tilc

25/02/2007 à 01h43

steph j ai été lire tous les articles que tu as cité :
Tous les articles de egelberg parlent de curetage ( non surgical therapy , instrumentation etc.... )
Par contre pour l article de greenberg j ai pas acces au journal of perio depuis chez moi je vais tacher d aller le lire .
Donc oui 3 curetages en 1 an , un curetage sans maintenance ni control professionel ne servent a rien .
Mais 1 curetage fait au moment adequate fait partis de intégrante et surtout est indispensable du TT paro .
Si quelqu un a une étude traitement avec curetage et traitement purement médoc je veux bien le lire


12