Cookie Consent byPrivacyPolicies.comcontre-angle de rotation continue VS contre-angle vert - Eugenol

contre-angle de rotation continue VS contre-angle vert

Bjorn

10/03/2007 à 22h09

tonio Ecrivait:
-
>
> >
> pas d'accord. Je répète qu'en diminuant le
> diamètre de la lime, on la rend moins rigide, donc
> plus flexible, donc moins fragile.

Ca signifie quoi fragile pour toi?


Images eb1m5g - Eugenol
tonio

10/03/2007 à 23h34

Le Choixpeau magique Ecrivait:
-------------------------------------------------------
> tonio Ecrivait:
> --------------------------------------------------
> -----
> > > en transferant les contraintes au niveau de
> la
> > > partie la plus fragile de la lime.
> > >
> > pas d'accord. Je répète qu'en diminuant le
> > diamètre de la lime, on la rend moins rigide,
> donc
> > plus flexible, donc moins fragile.
>
> Tu contestes que la conicité variable inversée
> transfère les contraintes sur la partie la plus
> fragile de la lime ?


elle se situe où pour toi cette partie la plus fragile???


Grueavatar nptrc9 - Eugenol
Le Choixpeau magique

11/03/2007 à 13h40

tonio Ecrivait:
-------------------------------------------------------
> elle se situe où pour toi cette partie la plus
> fragile???

Mon utilisation du terme fragile est impropre.

Disons que la zone de la lime où la limite d'élasticité est la plus faible est nécessairement celle où le diamètre est le plus étroit, donc le tiers apical, qui se trouve être sur un finisher la zone où les contraintes sont maximales.


Marque a3 orange fyvhyq - Eugenol
Marc Apap

11/03/2007 à 22h11

Pour reprendre le mot de choixpeau :
"je reste persuadé que l'instrument parfait de finition apicale reste à inventer !",
Au vu de ce qui se fait partout, il me semble aujourd'hui que les différentes solutions mécaniques donnent des résultats globalement voisins si on les utilisent à bon escient.
Le vrai défit des prochaines années est de trouver une méthode qui nettoie encore mieux cette partie du canal, avec le maximum de certitude. Il s'agit là de procédés chimio-mécaniques, voire physiques (irrigation aux ultrasons, aux vibrations soniques, laser...).


024 vownvo - Eugenol
annie

11/03/2007 à 22h35

Marc Apap écrivait

Le vrai défit des prochaines années est de trouver une méthode qui nettoie encore mieux cette partie du canal, avec le maximum de certitude. Il s'agit là de procédés chimio-mécaniques, voire physiques (irrigation aux ultrasons, aux vibrations soniques, laser...).


quoi ? ça n'existe pas encore,on m'aurait menti?


Stéphane

12/03/2007 à 00h29

Marc Apap Wrote:
-------------------------------------------------------
> Pour reprendre le mot de choixpeau :
> "je reste persuadé que l'instrument parfait de
> finition apicale reste à inventer !",
> Au vu de ce qui se fait partout, il me semble
> aujourd'hui que les différentes solutions
> mécaniques donnent des résultats globalement
> voisins si on les utilisent à bon escient.
> Le vrai défit des prochaines années est de trouver
> une méthode qui nettoie encore mieux cette partie
> du canal, avec le maximum de certitude. Il s'agit
> là de procédés chimio-mécaniques, voire physiques
> (irrigation aux ultrasons, aux vibrations
> soniques, laser...).


Merci Monsieur Lapalisse !


200106 10150128247663588 709988587 6466236 5598391 n d7mksb - Eugenol
hallboy

12/03/2007 à 01h01

Le defi sera donc de diviser le prix du laser par 4.

Ou de multiplier le prix des endos par 4;)


Marque a3 orange fyvhyq - Eugenol
Marc Apap

12/03/2007 à 11h10

Stéphane a écrit :
"Merci Monsieur Lapalisse !"
Et oui, je suis comme Chirac, j'essaye d'être consensuel et au dessus des partis. Mais je ne quitte pas la scène pour autant !


Pa050055 igyagy - Eugenol
mark

12/03/2007 à 11h12

Déjà si c'est par 2, je signe!

... c'est vrai, je n'ai pas de gros moyens... ni de gros besoins...


Marque a3 orange fyvhyq - Eugenol
Marc Apap

12/03/2007 à 11h33

Moi, je signerais si le laser n'était pas plus gros qu'un stylo ou une lampe à polymériser (en plus d'être efficace, bien sûr). Avoir encore une usine à gaz au cabinet, je ne suis pas d'accord.


Pa050055 igyagy - Eugenol
mark

12/03/2007 à 11h47

Voilà qui ressemble à un plaidoyer pour l'évolution du laser-diode, qui pourrait bien faire l'affaire dans ce strict domaine!

Je ne voudrais pas recommencer une recherche de publications, mais, pour en revenir à cette foutue zone apicale, ici également légèrement hors sujet, je me rappelle très bien que les S-Apex étaient supérieurs du point de vue mécanique, sans qu'aucun moyen mécanique ne s'avère en lui seul suffisant au regard de la prépondérance du chimique, semble-t-il boosté par l'énergie corpusculaire.

Mais, bon... on va pas refaire le match! ;)


cinnamon

12/03/2007 à 12h44

Revenons a nos moutons ou plutôt au moteur car il est marrant de voir que seuls les instruments comptent pour vous, Machtou et Pertot comblent les lacunes de leurs instruments c'est a dire la fracture de SX et S1, grace au réglage de torque et au devissage.


Stéphane

12/03/2007 à 12h47

cinnamon Wrote:
-------------------------------------------------------
Machtou et Pertot comblent les
> lacunes de leurs instruments c'est a dire la
> fracture de SX et S1,

pertot va etre content de savoir qu'il a un instrument ...

La lacune, ce n'est pas l'instrument, c'est la facon de s'en servir.




Grueavatar nptrc9 - Eugenol
Le Choixpeau magique

12/03/2007 à 12h49

cinnamon Ecrivait:
-------------------------------------------------------
> Revenons a nos moutons ou plutôt au moteur car il
> est marrant de voir que seuls les instruments
> comptent pour vous, Machtou et Pertot comblent les
> lacunes de leurs instruments c'est a dire la
> fracture de SX et S1, grace au réglage de torque
> et au devissage.


Alors là pour le coup, c'est assez injuste de leur faire ce procès... autant je ne sais pas ce que pense Pertot, autant pour Machtou et Stéphane, il ne me semble jamais les avoir entendu s'esbaudir sur le contrôle du couple, mais plutôt bien rappeler que l'utilisation doit se faire en retrait/brossage dans des canaux préalablement explorés, et avec un moteur délivrant la bonne vitesse.

Edit: oups grillé par Stéphane


cinnamon

12/03/2007 à 13h12

Machtou sait que le Sx fracture et donc il utilise un X-gates pour redresser l'orifice canalaire parce que le Sx nest pas fait pour ça.

Pertot fait des conf sur le X-smart et vante les mérites du débraillage et du torque modifiable et même plus que modifiable puisqu'il nous l'oblige pour eviter les fratures des protaper.

Voilà comment moi je voit le truc : un systeme a été inventé dans la théorie c'est la conicité variable, magnifique philosophie, dont il ete demontrer l'utilité.Le problème est que plus la surface de contact entre l'instrument et les parois augmente plus il y a frottements et donc fracture ; la conséquence vu que le système est produit en grande série et est tres bien vendu, il faut modifier non pas l'instrument mais la manière de l'utiliser.
Malheureusement il faut se rendre compte que si beucoup de praticiens fracturent c'est que l'utilisation préconisée n'est pas applicable facilement.


Stéphane

12/03/2007 à 14h13

cinnamon Wrote:
-------------------------------------------------------
> Machtou sait que le Sx fracture et donc il utilise
> un X-gates pour redresser l'orifice canalaire
> parce que le Sx nest pas fait pour ça.
>
> Pertot fait des conf sur le X-smart et vante les
> mérites du débraillage et du torque modifiable et
> même plus que modifiable puisqu'il nous l'oblige
> pour eviter les fratures des protaper.
>

Pertot n'oblige rien du tout; il conseille l'utilisation du X smart ou d'un autre moteur debrayable.

> Voilà comment moi je voit le truc : un systeme a
> été inventé dans la théorie c'est la conicité
> variable, magnifique philosophie, dont il ete
> demontrer l'utilité.Le problème est que plus la
> surface de contact entre l'instrument et les
> parois augmente plus il y a frottements et donc
> fracture ;

Vous avez tout a fait compris le probleme de l'instrumentation; plus la surface de contact augmente, plus les risques de vissage sont important, et le risque de fracture augmente. C'est bien pour cela que les instruments a conicite variable ont ete developpes pour li;iter le nombre de lames en contat avec la dentine

la conséquence vu que le système est
> produit en grande série et est tres bien vendu, il
> faut modifier non pas l'instrument mais la manière
> de l'utiliser.

La facon de l'utiliser n'a jamais ete modifiee (ou tres peu). La technique du brossage est preconisee depuis 6 mois apres la sortie de l'instrument. Les modifications apportees aus instruments dans la version "univerel" sont une evolution inherentes a cette utilisation en brossage/retrait.

> Malheureusement il faut se rendre compte que si
> beucoup de praticiens fracturent c'est que
> l'utilisation préconisée n'est pas applicable
> facilement.

On (en fin du moins, "je") n'ai jamais dit que c'etait simple. J'insiste surtout sur le fait qu'il ne faut pas chercher a utiliser une autre technique que celle precnonises; personnellement je ne me prends pas pour un gourou ni un donneur de lecon; au contraire; simplement j'enseigne quelque chose qui a fait et continue a faire ses preuves; force est de constater qu'a la suite d'un cours, les gens comprennent pourquoi ils avaient des problemes et les solutions proposees.

A mon avis, ce n'est pas le moteur qui vous previendra de toute fracture, car s'il debraye constamment, c'est que l'utilisation est mauvaise; donc instictivement, les gens mettent le torque au maimum et continuent a utiliser l'instrument avec une mauvaise technique, et fracturent les instruments.

Quant a l'utilisation du X gates preconisee par Pierre Machtou, elle sert a relocaliser l'entree canalaire, pas le canal lui meme> Apres le X gates, en presence d'une forte courbure, vous pouvez utiliser le SX pour relocaliser le tiers coronaire, ;ais uniquement APRES une exploration manuelle.


Maintenant, comme je l'ai deja dit, ce n'est pas l'instrument qui fait le traitement. Le meilleur instrument est celui qui VOUS donne entiere satisfaction, quelqu'il soit.


200106 10150128247663588 709988587 6466236 5598391 n d7mksb - Eugenol
hallboy

12/03/2007 à 15h00

J'veux celui d'Pertot!


Images eb1m5g - Eugenol
tonio

13/03/2007 à 01h40

Stéphane Ecrivait:
-------------------------------------------------------

> La lacune, ce n'est pas l'instrument, c'est la
> facon de s'en servir.
>
>
10000% d'accord avec toi.



Il ne viendrait à l'idée de personne d'entre nous (enfin j'espère...) d'acheter un système d'implanto sans avoir suivi un petit cycyle de formation pour décodr le système et en retirer les trucs et astucs tout en gardant à l'esprit les bases fondamentales qui entoure l'acte thérapeutique.

Pourquoi en serait-il autrement pour l'endo et les systèmes de rotation continue?

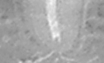
En suivant des formations d'endo (et ce n'est pas fini), j'ai appris à maitriser le système protaper qui me convient parfaitement et qui me donne des résultats satisfaisants.

Ci-joint une endo de ces derniers jours qui, je pense, l'atteste.


Pict0005 omxuqc - Eugenol
Pict0006 upccbg - Eugenol
Pict0003 w3shjn - Eugenol

024 vownvo - Eugenol
annie

13/03/2007 à 01h51

radiologiquement,rien à dire! à part quelques éclaboussures!


Logo vuaztn - Eugenol
mac

13/03/2007 à 08h51

tonio Ecrivait:
------------------------------------------------------
>
> Il ne viendrait à l'idée de personne d'entre nous
> (enfin j'espère...) d'acheter un système
> d'implanto sans avoir suivi un petit cycyle de
> formation pour décodr le système et en retirer les
> trucs et astucs tout en gardant à l'esprit les
> bases fondamentales qui entoure l'acte
> thérapeutique.
>

heu t'es sûr?


060108 005 nrfjgc - Eugenol
Francis Nalepa

13/03/2007 à 14h35

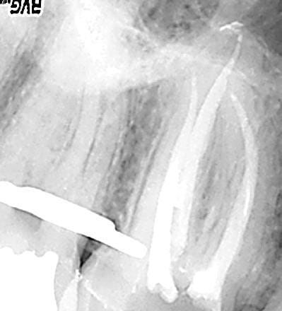
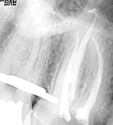
Bonjour, petite contribution d'un nouveau sur Eugenol.

J'ai vu en 2005 Barnett(Philadelphie) et Bounce (Portland) qui disaient que l'on pouvait se passer de CA réducteurs. Barnett disant même préférer untiliser les NiTi autour de 800 t/mn car l'effet anti-couple disparaitrait à cette vitesse, et l'energie cinétique engendrerait une meilleure coupe de l'instrument.

En décembre 2006 j'ai vu S.Kratchmann qui dans une "séance-bar" m'a dit faire souvent la même chose.

J'avoue m'y mettre doucement (pour tester) et y trouve un certain confort de travail. En plus je peux disposer d'irrigation continue grace au spray que je n'ai pas sur mes CA d'endo. Ayant aussi un dispositif d'adjonction de Clabenium, il y a un petit effet chélateur qui se rajoute.

Vala vala......une endo sur 16 réalisée comme cela en PJ

16 vdehvj - Eugenol
16 gzf1cb - Eugenol

Marque a3 orange fyvhyq - Eugenol
Marc Apap

13/03/2007 à 17h03

Etant donné le résultat au dessus de tout soupçon, tu as acquis ton droit d'entrée sur le site. Je pense donc qu'on ne va pas te tirer dessus à boulet rouge malgré tes propos iconoclastes (en tous cas protaperoclastes).
Quels sont les instruments ni ti que tu utilises ? Et à quels instruments faisaient allusion tes américains ?


ben

13/03/2007 à 17h08

800 tours minute, c'est pas ce qui s'appelle se passer de ca réducteur.
Voila, t'es bizuté.


alhoun

13/03/2007 à 17h10

scratché au bar...


060108 005 nrfjgc - Eugenol
Francis Nalepa

13/03/2007 à 17h20

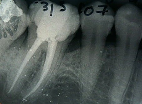
Je pense que l'instrument importe peu dès qu'on le maitrise. Actuellement je travaille avec les K3.

Alésage large (entre 40 et 60 6%) + Lacroix à 5%,

US, obturation AH+ et gutta injectée (Obtura III)

ci-joint urgence de 14h, réalisée selon cette technique en 1/4 d'heure. Certe petit dépassement de AH+, le RayPex bipait à une petite distance de l'apex radio, mais le rinçage à l'hypo + US a permis de bien nettoyer les deux orifices apicaux objectivés par la percolation de l'AH+.

35 07 03 13 lcrmeq - Eugenol
35 apex 07 03 13 dqsjlm - Eugenol

123...