Tous les forums
A votre avis ?
06/12/2004 à 01h23
vous allez pas bien dormir les gars . A cette heure ci c'est les calins ..........et pas de cigarettes ..........après ........
06/12/2004 à 01h54
Cela ne me gêne pas que tu rapportes ce que j'ai écrit en privé mais cela donne la mesure de la confiance qu'on peut mettre en toi...
déontologiquement c'est discutable, sur un plan humain je trouve cela minable...
tu peux décerner les prix que tu veux mais un miroir à côté de l'ordinateur ne serait pas de trop chez toi...
bonne nuit...
06/12/2004 à 08h29
amibien and Co
vous etes tous des pseudo cliniciens a 2 balles et de jeunes débutants minables encore plein la tronche des enseignements paro irréalistes
zorba a raison au niveau de la clinique
au fait amibien n'a pas proposé une greffe et des implants
06/12/2004 à 08h33
et toi un mouton de Panurge qui manque cruellement d'imagination au point de devoir singer les pseudos...je te laisse, trop de travail...vtff
06/12/2004 à 20h32
C'est bien ce que je disais, le microscope est bien un vaccin contre les crétins et c'est AUSSI encore mieux pour les réveler....
Vous voulez pas cesser vos attaques minables hein dites? Ca use de devoir lire 25 posts pour trouver une intervention interressante....
06/12/2004 à 22h26
Algi, s'il n'y avait que des posts techniques ( j'avais parlé d'élitisme) depuis longtemps, j'aurais "plié mes gaules" et n'aurait pas connu le microscope, la paro, vu des cas d'implants etc....
Ces querelles sont sympathiques et créent l'amitié entre les protagonistes.
Amicalement.
06/12/2004 à 23h10
Bjc, sais-tu qu'en France, ce que tu viens de faire, outre le fait que ce soit contraire à la netiquette et à la correction, est contraire à la loi? Je t'encourage vivement à lire les textes sur le secret de la correspondance.
Cordialement
07/12/2004 à 12h42
Correspondance!
Je dirais, plutot, messages anonymes, sous le couvert de plusieurs pseudos. C'est pourquoi, certains qui l'ont soupçonné, ont demandé un enregistrement des intervenants.
Il y en a qui veulent jouer sur Eugénol au corbeau. Mais comme aux échecs avec plusieurs pièces. Sous le couvert du secret de la correspondance anonyme multiple que permet le Forum.
07/12/2004 à 14h49
bjc, tu mens...
le message n'était pas anonyme et par contre signé du nom repris à l'état civil...
continuer c'est s'enfoncer...
les pseudo multiples c'est toi, Rapha, bjc, Zorba, Pircamibien, etc ...
je me suis renseigné...
saluuuuut !
07/12/2004 à 14h57
Attention, attention ...
On en revient au cas cliniques, ou alors le Modérateur tapi dans sa grotte numérique, va devoir sévir...
Le Modérateur il adore faire prendre l'air à sa zapette.
Et quand elle passe, la zappette, les post trépassent...
07/12/2004 à 16h57
je te tiens tu me tiens par la barbichette, le premier qui mal dira aura une zapette !
bien reçu monsieur le modérateur !
08/12/2004 à 02h56
"les pseudo multiples c'est toi, Rapha, bjc, Zorba, Pircamibien, etc ...
je me suis renseigné..."
Elle est Mégalo-mytho, et très mal renseignée.
08/12/2004 à 14h46
Excusez moi de revenir dans ce débat à fleurets non mouchetés, mais guttaman, qu'est ce en fait. Il y avait une patiente au début de ce post, non ?
29/12/2004 à 19h53
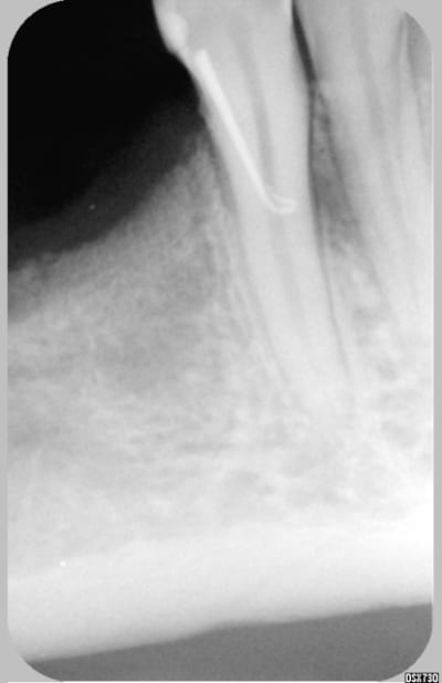
Alors voilà la "soluce"....enfin soluce, soluce, c'est vite dit ! Disons que certains vont pouvoir se mettre une étoile de champion du monde sur leur casaque...
Et la soluce est.......poche en linguale...la preuve sur la RX. Comme quoi, même en cherchant une fois, ça suffit pas toujours. Dans le cas présent, la sonde m'a induit en erreur...mais pas le cône de gutta !! (encore une raison d'adorer ce matériau ! ;-) )
Pour le traitement : pour l'instant, abstention thérapeutique car il y a d'autres soucis (cf 2° radio jointe, qui n'est qu'un exemple). Et en plus je sais pas trop quoi lui proposer pour une poche comme ça.
29/12/2004 à 21h19
Guttaman a écrit:
-------------------------------------------------------
> Alors voilà la "soluce"....enfin soluce, soluce,
> c'est vite dit ! Disons que certains vont pouvoir
> se mettre une étoile de champion du monde sur leur
> casaque...
>
> Et la soluce est.......poche en linguale...la
> preuve sur la RX. Comme quoi, même en cherchant
> une fois, ça suffit pas toujours. Dans le cas
> présent, la sonde m'a induit en erreur...mais pas
> le cône de gutta !! (encore une raison d'adorer ce
> matériau ! ;-) )
>
le 1er decembre 2004 je l'avais soutenu mordicus et bjc me traitait de castafiore ...
cela dit en passant...
29/12/2004 à 23h53
Amibien a écrit:
>
> le 1er decembre 2004 je l'avais soutenu mordicus
> et bjc me traitait de castafiore ...
>
> cela dit en passant...
Oui...mais ça n'empêche que j'attend toujours ton coup perdant dans notre partie ! ;-)
30/12/2004 à 00h23
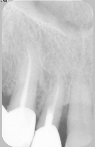
Difficile d'être catégorique...
La patiente à une hygiène très correcte, d'autres problèmes paro localisés et c'est une dent support de crochet...
Donc soit purement parodontal sans que la dent y soit pour quelque chose, soit fêlure longitudino-transversale qui crée une sorte de fistule desmodontale en regard.
Même si la dent n'est pas sensible aux variations thermiques, je penche pour cette deuxième possibilité (d'où abstention thérapeutique pour l'instant).
30/12/2004 à 16h49
Je l'attendais celle-là....
tu te trompe dix fois, on recommence onze fois tes coups et puis tu t'impatientes...
je n'ai pas d'échiquier avec moi...
le 2/1 tu seras crédité de mon coup gagnant...
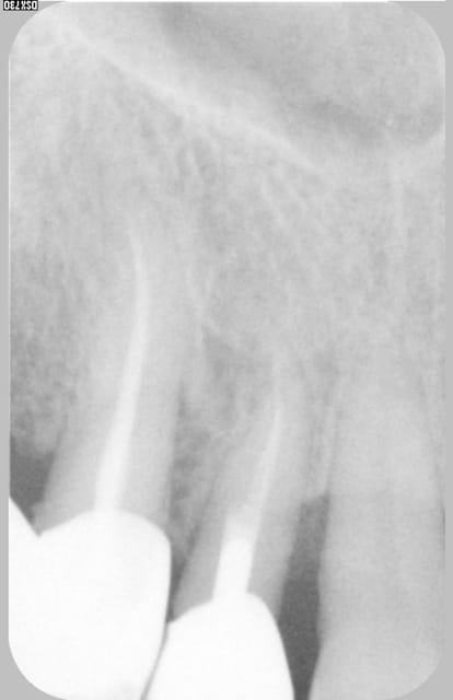
pour ta patiente, effet de pompe du bras de crochet sur la muqueuse linguale et poche serpengineuse en plus du problème de la charge puisque la dent supporte un crochet pour une selle distale...
je l'avais dit, je l'avais dit...
au fait bjc ne s'est pas excusé...
30/12/2004 à 23h19
Amibien, apotre de la science infuse et de la satisfaction de soi, tu confonds les causes et les effets, comme d'habitude!
A propos d'éxcuses, c'est toi qui devrait en faire pour les photos que tu as osé présenter.
- Cantilever sur implants!!!
- Non respect de la distance osseuse entre 2 implants! Proximité défavorable!!!
- Couronnes soudées sans embrasures, avec qui plus est, fausse gencive (pour couronner le tout et cacher tes erreurs). Bonjour le piége à plaque!!!
- Implant sur 14,15; erreur d'axe sur la 15. . Mais celà te permet d'en facturer deux!!!
- Scellement de couronnes défitives sur des dents présentant des fissures de Stilmann et des festons de Mac Call!!!
Et j'en oublie, citant de mémoire! De toute manière comme tu n'as montré que ce dont tu es fier, je suis incapable, je l'avoue, d'imaginer le reste.
Si tu avais en compétence le centième de ce que tu as en bagout!
Neanmoins, je te présente mes meilleurs veux, et te souhaite moins de 50 proçès pour 2005. De toute manière, je suis sur que tu ne les perdras pas.
Pauvres patients!
31/12/2004 à 14h48
Bjc. a écrit:
-------------------------------------------------------
> Amibien, apotre de la science infuse et de la
> satisfaction de soi, tu confonds les causes et les
> effets, comme d'habitude!
>
> A propos d'éxcuses, c'est toi qui devrait en faire
> pour les photos que tu as osé présenter.
>
> - Cantilever sur implants!!!
> - Non respect de la distance osseuse entre 2
> implants! Proximité défavorable!!!
> - Couronnes soudées sans embrasures, avec qui plus
> est, fausse gencive (pour couronner le tout et
> cacher tes erreurs). Bonjour le piége à plaque!!!
> - Implant sur 14,15; erreur d'axe sur la 15. .
> Mais celà te permet d'en facturer deux!!!
> - Scellement de couronnes défitives sur des dents
> présentant des fissures de Stilmann et des festons
> de Mac Call!!!
>
> Et j'en oublie, citant de mémoire! De toute
> manière comme tu n'as montré que ce dont tu es
> fier, je suis incapable, je l'avoue, d'imaginer le
> reste.
>
> Si tu avais en compétence le centième de ce que tu
> as en bagout!
>
> Neanmoins, je te présente mes meilleurs veux, et
> te souhaite moins de 50 proçès pour 2005. De toute
> manière, je suis sur que tu ne les perdras pas.
> Pauvres patients!
tout ce que tu dis là est de la pure invention et tu dénigres sans cesse tes confrères de la plus vile des façons sans nous montrer ce que tu fais...
ma faible compétence dépasse de loin la tienne que nous ne pourrons jamais apprécier de visu puisqu'elle reste imaginaire...
en fait tu n'es pas dentiste, juste un petit étudiant qui a pris trop l'habitude des bistrots près de la faculté pour parvenir à réussir ses exams...
quant à tes procès, pas l'amorce d'un seul en vingt ans, mossieu le beau jeune con incapable de reconnaître ses erreurs ni de s'excuser quand il devrait le faire...
que le prochain Tsunami t'emporte...
02/01/2005 à 23h11
Guttaman a écrit dans son premier post:
"Bonjour,
Patiente la cinquantaine, venue avec abcès en vestibulaire entre 33 et 32.
j'ai plusieurs idées, mais j'aimerai votre (vos) avis. Merci"
Si un absces est associé à une poche ou mème à une cellulite, ceux ci ne sont pas des causes.
Ce ne sont que des manifestations d'une infection, avec ou sans drainage; des éffets.
J'ai émis, parmis d'autres CAUSES possibles, l'idée d'une fracture non visible à la Rx. Ce qui a été confirmé par la suite.
Le sujet pour moi, est clos.