Cookie Consent byPrivacyPolicies.comcomment ça se fait que j'ai les dents en si mauvais état? - Eugenol

comment ça se fait que j'ai les dents en si mauvais état?

Logo vuaztn - Eugenol
mac

11/04/2007 à 20h44

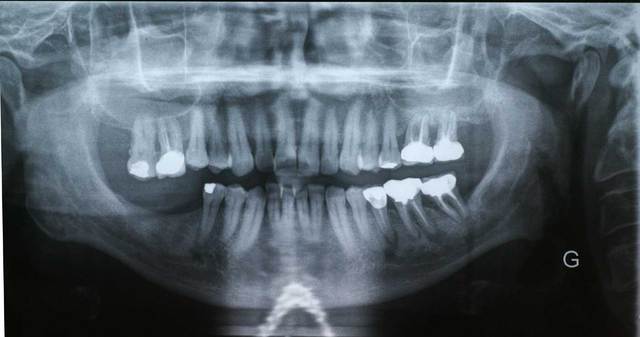
patient qui vient pour un détartrage et un contrôle.

hygiène correcte, va voir un dentiste de façon régulière.

moi j'annonce les mauvaises nouvelles.

je comprends pas, pourtant j'ai été souvent chez mon dentiste, j'ai toujours fait tout ce qu'il m'a dit de faire.
comment ça se fait que j'ai les dents en si mauvais état?

P img 4172 vqeq69 - Eugenol

Image odged8 - Eugenol
ploc

11/04/2007 à 20h58

selon l'âge du patient:
-pas assez de vitamines et de calcium petit
-trop ou pas assez de fluor
-la pollution
-les ogn
-la "pyorrhée"
-c'est de famille
-les dents ne sont plus ce qu'elle étaient
-etc...

tu vas trouver:)



024 vownvo - Eugenol
annie

11/04/2007 à 21h16

il serait interessant,mac que tu nous décrives ton plan de traitement,avant, pendant ,après, afin que cela serve à la gente eugénolienne et que de telles erreurs ne se reproduisent plus!


Logo vuaztn - Eugenol
mac

11/04/2007 à 21h16

c'est génétique.


Logo vuaztn - Eugenol
mac

11/04/2007 à 21h20

annie Ecrivait:
-------------------------------------------------------
> il serait interessant,mac que tu nous décrives ton
> plan de traitement,avant, pendant ,après, afin que
> cela serve à la gente eugénolienne et que de
> telles erreurs ne se reproduisent plus!


avant, pendant, après quoi annie?


quelles erreurs?


ben

11/04/2007 à 22h02

Que vas tu faire des molaires, et que ferait Phil,s'il me lit. Pour alhoun, c'est bon, je sais.


Logo vuaztn - Eugenol
mac

11/04/2007 à 22h04

36 tentative de retraitement, les autres vont gicler je pense.


024 vownvo - Eugenol
annie

11/04/2007 à 22h35

mac Ecrivait:
-------------------------------------------------------
> annie Ecrivait:
> --------------------------------------------------
> -----
> > il serait interessant,mac que tu nous décrives
> ton
> > plan de traitement,avant, pendant ,après, afin
> que
> > cela serve à la gente eugénolienne et que de
> > telles erreurs ne se reproduisent plus!
>
>
> avant, pendant, après quoi annie?
>
>
> quelles erreurs?

et bien que l'on bénéficie en direct d'un cas bien traité,et voir les différentes propositions de traitement,et les résultats
les erreurs des dentistes précèdents



Logo vuaztn - Eugenol
mac

11/04/2007 à 23h59

annie Ecrivait:
------------------------------------------------------
> et bien que l'on bénéficie en direct d'un cas bien
> traité,et voir les différentes propositions de
> traitement,et les résultats
> les erreurs des dentistes précèdents
>
>
>


annie quelles erreurs?


Squash u44zd8 - Eugenol
steph

12/04/2007 à 00h40

Annie, l'erreur c'est de le laisser en arriver là.
Pas besoin d'épiloguer.


Image odged8 - Eugenol
ploc

12/04/2007 à 01h09

et les possibilités de choix restreintes,non?

ou 3 devis:

court terme
moyen terme
long terme

qui ose proposer en ces termes?


024 vownvo - Eugenol
annie

12/04/2007 à 01h15

mac Ecrivait:
-

>
>
> annie quelles erreurs?

tu veux les points sur les i,mac,l'erreur des traitements canalaires ,ayant provoqué,des pêches,je ne pense pas que celles ci soient antérieures au traitement
erreur de ne pas avoir reconstuitué une occlusion acceptable,ce qui a accéléré l'egression des molaires supérieures droites,et surement d'autres
problèmes coté gauche
erreur de ne pas avoir traité le problème paro,mais que vas tu faire à ce stade pour le corriger?
c'est ce que je vois en première lecture sur cette pano,assez explicite,mais pas suffisante



024 vownvo - Eugenol
annie

12/04/2007 à 01h17

steph Ecrivait:
-------------------------------------------------------
> Annie, l'erreur c'est de le laisser en arriver
> là.
> Pas besoin d'épiloguer.

si mac à mis ce post,je suppose que c'est pour épiloguer,mais tu n'es pas obligé de le lire!



Images eb1m5g - Eugenol
tonio

12/04/2007 à 01h56

mac Ecrivait:
-------------------------------------------------------
> 36 tentative de retraitement, les autres vont
> gicler je pense.


avec une bonne RTE, tu devrais pouvoir nous sauver la 35. Avec un peu de paro, peut être la 26.
Difficile de se prononcer pour le reste rien qu'avec une pano.
Par chance, il n'y a pas d'IC à démonter...


Logo vuaztn - Eugenol
mac

12/04/2007 à 09h21

la 35 bien sûr on va essayer, mais la question était pour le molaires.

pour annie le plan de traitement il y en a qu'un, à part ne rien faire,
c'est
-extraction 16, 17, 26, 27, et 37.
-rtt 35 et 36.
-sinus gauche et droit, implants 16, 17, 26, 27 et 37.

mais le but du post c'est pas le plan de traitement, mais comment on peut laisser les patients en arriver là, et comment après trouver les mots pour leur annoncer les mauvaises nouvelles.


Marque a3 orange fyvhyq - Eugenol
Marc Apap

12/04/2007 à 10h38

Pour moi, la difficulté, c'est de faire accepter le plan de traitement. Je veux dire, pas sur le plan intellectuel, mais financier.
Mais je suis sans doute un mauvais vendeur. Tiens nous au courant des décisions de ton patient.


200106 10150128247663588 709988587 6466236 5598391 n d7mksb - Eugenol
hallboy

12/04/2007 à 10h58

Meme pas une petite 46?


Logo vuaztn - Eugenol
mac

12/04/2007 à 11h30

Marc Apap Ecrivait:
-------------------------------------------------------
> Pour moi, la difficulté, c'est de faire accepter
> le plan de traitement. Je veux dire, pas sur le
> plan intellectuel, mais financier.
> Mais je suis sans doute un mauvais vendeur. Tiens
> nous au courant des décisions de ton patient.


le problème est toujours financier marco.


olivier

12/04/2007 à 12h12

mac Ecrivait:
-------------------------------------------------------
> la 35 bien sûr on va essayer, mais la question
> était pour le molaires.
>
> pour annie le plan de traitement il y en a qu'un,
> à part ne rien faire,
> c'est
> -extraction 16, 17, 26, 27, et 37.
> -rtt 35 et 36.
> -sinus gauche et droit, implants 16, 17, 26, 27 et
> 37.
>
> mais le but du post c'est pas le plan de
> traitement, mais comment on peut laisser les
> patients en arriver là, et comment après trouver
> les mots pour leur annoncer les mauvaises
> nouvelles.

Selon les endroits de ce pays , les quartiers de certaines villes ce n'est pas le pano le plus choquant qu'il y ai lieu de voir. Quel type de patient est ce, son allure genral ,sa façon de s'exprimer etc....Vous allez pensez que je fais du Sarkozysme mais non. Il y a donc un probleme initial du à l'éducation du patient dans son jeune age (et oui la France et sa politique de prevention qui fait que tous les français de 18 à 99 ans ont au moins un 6 pourrie!!!) et ensuite les chir dent entre lesquels il est passé.
J'ai peur que si tu remet tout à plat pour un trt global le patient prenne peur (non pas seulement au niveau fiancier) mais pense que ce qu'il a soit grave et là il fera un deni ....et te plantera...

Mais aussi faire des concessions n'est pas lui rendre service (à toi non plus car tu assumes derriere)



Marque a3 orange fyvhyq - Eugenol
Marc Apap

12/04/2007 à 13h25

olivier Ecrivait:

Il y a donc un probleme
> initial du à l'éducation du patient dans son jeune
> age (et oui la France et sa politique de
> prevention qui fait que tous les français de 18 à
> 99 ans ont au moins un 6 pourrie!!!) et ensuite
> les chir dent entre lesquels il est passé.

Pacte odontologique du Dentoscope !!


Pa050055 igyagy - Eugenol
mark

12/04/2007 à 14h46

mac Ecrivait:
-------------------------------------------------------
> la 35 bien sûr on va essayer,

ben tu vois, quand tu veux! (j'ai sans doute raté ta réponse et un multi-zap... :) )

> mais la question
> était pour le molaires.

perso je motiverais le patient en paro et le ménagerais en lui proposant d'assainir des 37, 26, 27, afin d'obtenir son accord sur la réhabilitation implantaire des secteurs 1 et 2.

d'abord cela aurait pour effet de récuperer un peu de volume osseux pour un éventuel deuxième temps de réhabilitation implantaire sur les secteurs 2 et 3, pour lequel le patient sera d'autant plus motivé lorsqu'il aura mesuré le bénéfice de la méthode sur la "permière tranche"

ensuite j'imagine que le patient me saurait gré de lui avoir permis de temporiser sur la moitié du chantier, et de la confiance que je lui aurais ainsi témoigné dans sa capacité à mieux gérer sa santé par une maintenance appropriée, ce qui par ailleurs le motiverait tout autant pour la maintenance de ses réhabilitations ultérieures...

>
> mais le but du post c'est pas le plan de
> traitement, mais comment on peut laisser les
> patients en arriver là, et comment après trouver
> les mots pour leur annoncer les mauvaises
> nouvelles.


voilà qui est plus clair que ton premier post!

Au-delà du procès en négligence mensongère de ton confrère, la réponse est une "lapalissade":
- le praticien précédent ne maîtrise pas la prothèse sur implant et n'a pas osé passer la main
- il a peut-être sous-estimé les capacités de compréhension, d'adhésion et financière du patient
- il n'a aucune envie ni aucun talent pour amener le patient du constat de son état à la signature d'un plan de réhabilitation global...

... tiens nous au courant :)


024 vownvo - Eugenol
annie

12/04/2007 à 16h57

mac écrivait

mais le but du post c'est pas le plan de
> traitement, mais .....

et bien,si l'on ne peut se projeter dans 4ou 5 ans pour voir le résultat final et l'évolution de ce cas,je trouverais interessant que nos implantologues nous montrent des cas anciens,identiques,avec une paro aussi avancée,et la réussite implantaire,pas trois jours après ,avec la gencive bien rose et bien ficelée,mais quelques années après,panos à l'appui
cela convaincrait peut -être les plus réticents


alhoun

12/04/2007 à 17h10

il faudrait commencer par en avoir quelque chose à cirer, du fait que tu sois convaincue ou pas.
personnellement, je n'en ai rien à cirer.


olivier

12/04/2007 à 17h11

Bon, tirés de ma collection perso quelques petites panos avec des cas où vous pourrez vous en donner à coeur joie sur savoir ce qu'il faut faire (les deux patients sont un chauffeur de bus et l'autre retraité de la mairie)

Esq uznylg - Eugenol

alhoun

12/04/2007 à 17h21

mais bon, dans un but strictement humanitaire, tien amuse-toi.
j'espère que ça nous permettra d'avoir la paix pendant quelques mois..
je te conseille les articles en chinois.
en espérant que les auteurs ne connaissent pas ton beau frère.
http://www.ncbi.nlm.nih.gov/entrez/query.fcgi?DB=pubmed