Cookie Consent byPrivacyPolicies.comvos traitements - Eugenol

vos traitements

Squash u44zd8 - Eugenol
steph

03/05/2007 à 01h08

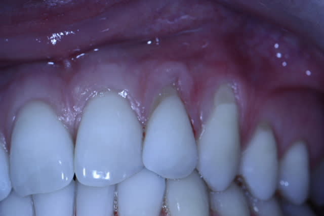
J'hésite sur le choix de la technique.
La patiente est jeune, non fumeuse, aucun problème de santé et très préoccupée par son problème de gencive.
En clair très motivée.
Les récessions sont des Cl I de Miller, donc bon pronostic.
Le plus efficace pour vous?

Récessions1 xjjigz - Eugenol
Récessions2 eh7yd7 - Eugenol

Squash u44zd8 - Eugenol
steph

03/05/2007 à 01h11

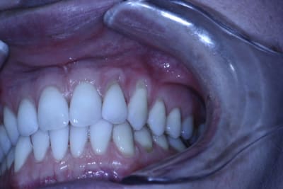
Bon le redimensionnement de la 1è photo est nul, mais ça reste visible, même pour les cancres au fond là-bas.


Squash u44zd8 - Eugenol
steph

03/05/2007 à 01h22

Voilà.

 mg 5289 1 gst6rb - Eugenol

phil

03/05/2007 à 02h49

conjonctif ....tunellisé ....


Amibien

03/05/2007 à 10h51

pas d'os, pas de gencive...


phil

03/05/2007 à 13h35

Amibien Ecrivait:
-------------------------------------------------------
> pas d'os, pas de gencive...

donc pas de chirurgie plastique paro selon ton principe alors ?


Amibien

03/05/2007 à 13h37

Si tu aimes travailler dans le court terme ne te gêne pas pour moi... et si j'imagine, tu vas proposer de lui faire deux belle poches vestibulaires ? maquille-lui plutôt les collets dans une teinte émail et ça passera... je réponds au cas proposé, mon gars !


Logo vuaztn - Eugenol
mac

03/05/2007 à 14h01

Amibien Ecrivait:
-------------------------------------------------------
> Si tu aimes travailler dans le court terme ne te
> gêne pas pour moi... et si j'imagine, tu vas
> proposer de lui faire deux belle poches
> vestibulaires ? maquille-lui plutôt les collets
> dans une teinte émail et ça passera...


sûr ça va faire joli!

sinon pareil que phil.


phil

03/05/2007 à 15h17

Amibien Ecrivait:
-------------------------------------------------------
> Si tu aimes travailler dans le court terme ne te
> gêne pas pour moi... et si j'imagine, tu vas
> proposer de lui faire deux belle poches
> vestibulaires ? maquille-lui plutôt les collets
> dans une teinte émail et ça passera... je réponds
> au cas proposé, mon gars !


n'importe quoi .......!!!!!! tu ne fais pas de chir muco gingivale alors ?.....

tu connais vraiment la paro ?

j'ai des greffes qui ont 20 ans et sans poche ....

va falloir que tu revois tes cours de cicatrisation ......


Amibien

03/05/2007 à 20h14

phil Ecrivait:
-------------------------------------------------------
>
> j'ai des greffes qui ont 20 ans et sans poche
> ....
>
> va falloir que tu revois tes cours de
> cicatrisation ......


ah wouais ??? sans poche ... et il colle à quoi ton conjonctif ? à la dentine ?

tu ne peux obtenir autre chose qu'un épihélium long mon ami


phil

03/05/2007 à 20h41


>
> ah wouais ??? sans poche ... et il colle à quoi
> ton conjonctif ? à la dentine ?
>
> tu ne peux obtenir autre chose qu'un épihélium
> long mon ami

un EJL c'est une poche...... de mieux en mieux !!!!!!!!





Squash u44zd8 - Eugenol
steph

03/05/2007 à 22h44

Je penchais pour un conjonctif sur 23 et un lambeau semi-lunaire positionné coronairement sur la 22.
Mais dans une même séance ça paraît difficile.


phil

03/05/2007 à 23h02

steph Ecrivait:
-------------------------------------------------------
> Je penchais pour un conjonctif sur 23 et un
> lambeau semi-lunaire positionné coronairement sur
> la 22.
> Mais dans une même séance ça paraît difficile.

tu peux aussi peut être effectivemment


Amibien

04/05/2007 à 01h04

phil Ecrivait:
-------------------------------------------------------
> > >
> > ah wouais ??? sans poche ... et il colle à quoi
> > ton conjonctif ? à la dentine ?
> >
> > tu ne peux obtenir autre chose qu'un épihélium
> > long mon ami
>
> un EJL c'est une poche...... de mieux en mieux
> !!!!!!!!
>
>
> une poche fermée mais une poche... les paros exclusifs, de doux rêveurs...
>
>



phil

04/05/2007 à 01h20

une cicatrice c'est different mais tu peux avoir de façon aléatoire une attachement conjonctif voire une petite régénération au niveau apical.......
ce qui compte c'est que ce soit stable dans le temps et cela l'est ...


Amibien

04/05/2007 à 09h57

phil Ecrivait:
-------------------------------------------------------

> ce qui compte c'est que ce soit stable dans le
> temps et cela l'est ...
>


as-tu des études valables sur le sujet ? Où sont tes preuves scientifiques ? Phil tu dois comprendre qu'on ne peut se satisfaire de phrases dans le genre "c'est stable dans le temps" , tu dois bien comprendre que nous traitons des patients et pas des têtes de porcs comme Pluton...

bref, tu auras compris que nous attendons plus de toi sur le sujet, un petit résumé suffira, cela ne doit pas être difficile à faire si tu maîtrise bien ton sujet !

Tic Tac Toc


phil

04/05/2007 à 10h18

alors la mon gars tu relis toute la litterature du journal de paro depuis 20 à 30 ans sur tout ce qui concerne la chirurgie plastique paro , tu lis tous les articles du Journal of clinical periodontology depuis la même epoque.....tu relis les articles du journal of periodontology , tu relis les excellents articles de P. BOUCHARD sur la cicatrisation parodontale et tu auras des résultats ......sur la cicatrisation et la stabilité de cette cicatrisation dans le temps .....des etudes comparatives entre les differentes techniques avec pourcentage de recouvrement et stabilité

des tonnes d'articles .....tu vas pas dormir ........

mon expérience et je ne suis qu'un modeste praticien me montre que des greffes restent stables au dela de 15 20 ans dans bien des cas......

crois-tu que ces techniques se soient développées dans le monde sans un minimum de recul scientifique .....je te rappelles que la première greffe epithélioconjonctive date de 1964 .....


phil

04/05/2007 à 10h35

gingival graft

erreur de direction de mon post alors je le redis

pubmed 744 references déjà à lire ......tu feras le tri l'amibe

relis aussi les articlesde Langer et de Raeztke.

relis l'excellent livre de BORGHETTI et MONNET CORTI collection JPIO.....de très nombreuses references scientifiques sur ces questions dedans ..........


phil

04/05/2007 à 10h50

amibien disait a propos de traitement des recessions parodontales "Si tu aimes travailler dans le court terme ne te gêne pas pour moi... et si j'imagine, tu vas proposer de lui faire deux belle poches vestibulaires ? "

tu as des references scierntifiques toi la dessus car après tout pourquoi pas ......restons objectif !


Amibien

04/05/2007 à 13h23

Qoui, tu n'as pas la possibilité de ous faire un petit résumé en quelques phrases, bin mon colon...


phil

04/05/2007 à 14h57

Amibien Ecrivait:
-------------------------------------------------------
> Qoui, tu n'as pas la possibilité de ous faire un
> petit résumé en quelques phrases, bin mon colon...


qu'est ce que tu veux ? sur la cicatrisation ....sur autre chose

je te signale egalement que tu balances des choses parfois de façon provocatrice jusqu'à dire des betises et des grosses ( car que je sache après greffe il n'y a pas de poches vestibvulaires ou c'est exceptionnel......ou tous ceux qui en font sont des idiots car s'il y a poche il y aura problème ) mais que tu apportes tres rarement des explications simples et en quelques mots toi........

tu veux un cours sur la cicatrisation ? tu connais pas ? et tu fais de la paro pourtant ......

j'ai peu de temps mais OK si tu veux je te resume ce que dis la litterature dès que je le peux

commence par relire les travaux de Karring.....bon départ


phil

04/05/2007 à 15h31

tiens et puis non je ne ferais pas de resumé sur la cicatrisation .....j'ai suffisamment prouvé que j'étais capable de faire ce genre de choses sans problème .......le dernier sur stress et cortisol.......j'en ai assez de faire le bon gars qui donne facilement ce qu'il sait ! toi tu ne le fais jamais ce genre d'exercice alors tu peux peut être le faire pour nous tous ...toujours la pirouette..... .trop facile .

tu diras moins de conneries après !

ce que je peux dire mon amibe c'est qu'il y a 40 ans de litterature sur les greffes de tous les styles et de toutes les couleurs ....que cela fonctionne ( mais pas à 100 % bien sûr ) car autrement personne n'en ferait .......Il y a des ameliotation et des progres a faire bien sur .......

le resume de litterature tu peux le faire tout seul donc avec jPIO JCP JP et autres .....et nous en faire part mon ami .......j'attend et si tu ne sais pas et ben tant pis !

j'ai une belle blonde avec beaucoup de charme qui m'attend


Amibien

04/05/2007 à 15h49

Mon cher Phil,

je t'ai rendu la monnaie de ta pièce, tu te rappelles comment tu m'avais accroché quand je t'ai parlé des filtres colorés ?

Isaïe t'a bien parlé aussi aujourd'hui...

Je fais des greffes de toutes sortes, des muqueuses, des osseuses, en apposition, en coffrage, je connais l'essentiel de ce qu'il est communément admis, bref je voulais juste te taquiner mon ami et tu as foncé tête baissée dans la porte ouverte hi hi hi


phil

04/05/2007 à 16h47

je ne vois pas l'interet d'aller dire alors que lorsque l'on fait des greffes il y a des poches vestibulaires après ! franchement c'est quoi ton truc !!!!!!!
se moquer du monde chercher a pieger faire l'interessant ou dire des bétises .....c'est peu interessant pour le forum excuses moi !

en + steph cherchait une info pour un cas moi j'ai donné mon avis ( moi ce n'est que le mien et il est discutable ) ....toi tu n'as rien proposé et pourtant tu dis savoir faire plein de choses !!!

franchement ......

décidemment un belge est un belge !

ceci dit j'ai autre chose a faire de plus interessant !




Amibien

04/05/2007 à 18h51

Je n'avais pas non plus compris l'intérêt de discuter contre une nouvelle technique que tu ne connaissais ni d'Eve ni d'Adam, mais que veux-tu les pires aveugles sont bien les bretons qui ne veulent pas voir...