Cookie Consent byPrivacyPolicies.comvos traitements - Eugenol

vos traitements

Squash u44zd8 - Eugenol
steph

25/07/2007 à 15h34

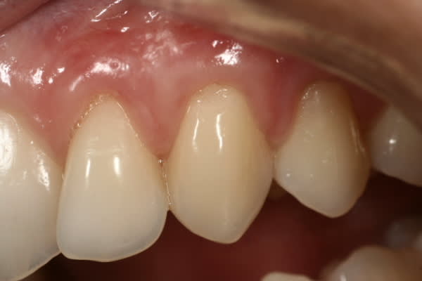
J'ai gardé de l'épith car les tissus en vestibulaire étaient fins, et retirer l'épith sur le greffon aurait laissé un conj difficilement manipulable.
Parce qu'il s'agit bien d'une enveloppe, les sutures servant à éviter la mobilisation, mais tu as raison les noeuds sont très mal placés je m'en rends compte maintenant.
On verra pour les photos à J+8.


Squash u44zd8 - Eugenol
steph

03/08/2008 à 01h06

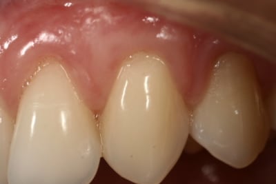
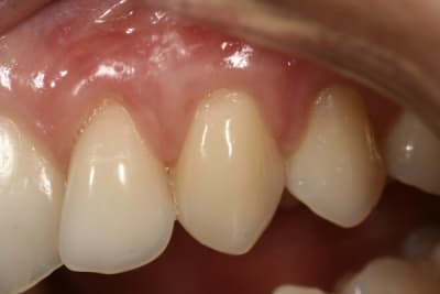
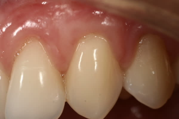
Bon c'est pas à J+8 mais j'ai du faire un lambeau semi-lunaire pour repositionner la gencive un peu plus coronairement.

 mg 7581 eyguoo - Eugenol
 mg 7582 fxvixc - Eugenol

Img 8465 fqhxid - Eugenol
noahaxeltiger

03/08/2008 à 01h45

Superbe !!!