Cookie Consent byPrivacyPolicies.comça tourne mal - Eugenol

ça tourne mal

Zorto

03/06/2007 à 11h49

ben Ecrivait:
-------------------------------------------------------
> Science sans conscience n'est que ruine de l'âme,
> conscience sans science ne vaut pas grand chose
> non plus.
> Improvise sur tes gosses si tu veux, mais laisse
> ceux des autres tranquilles si tu ne sais pas
> faire.

Ben, phare de la Pensée, lumière de la Science, je suggère que tu indiques ici clairement tes coordonnées afin que tous les praticiens puissent te soumettre leurs questions avant de les poser sur eugenol. Cela leur permettrait d’être moins gênées après coup d’avoir posé des questions stupides et de paraître moins ridicules avec leurs incompétences.


modérateur eugenol

03/06/2007 à 13h53

ben Ecrivait:
-------------------------------------------------------
>
> Improvise sur tes gosses si tu veux, mais laisse
> ceux des autres tranquilles si tu ne sais pas
> faire.


C'est bien pour ne plus avoir a improviser que ce fil se retrouve sur eugenol. Il serait, et plus confraternel, mais surtout plus efficace d'apporter des réponses plutôt que des commentaires. C'est comme ça que tu servira le mieux les gosses que tu ne soignes pas.

L'improvisation pour ce qui est de la coagulation semble t'avoir réussi et en tous cas vaut le coup d'être partagée comme tu l'as fait sur un autre fil, où personne n'a bondit avec un " biblio SVP", déjà prêt à en découdre. .

Puisque l'on est dans les commentaires: cela vaut désormais pour tout le monde.


ben

03/06/2007 à 19h49

Cut/ Cut-coag/ Coag, telles sont les trois fonctions de mon bistouri THF, je suis content de ne rien improviser en coagulant.
Qu'aurait'on donc du faire à cette pauvre gamine si on l'avait prise en charge correctement en temps et heure, la question reste ouverte......pour une prochaine fois.


024 vownvo - Eugenol
annie

04/06/2007 à 01h45

ben Ecrivait:
-------------------------------------------------------
> Cut/ Cut-coag/ Coag, telles sont les trois
> fonctions de mon bistouri THF, je suis content de
> ne rien improviser en coagulant.
> Qu'aurait'on donc du faire à cette pauvre gamine
> si on l'avait prise en charge correctement en
> temps et heure, la question reste
> ouverte......pour une prochaine fois.

t'es trop sensible en fait!



Zorto

04/06/2007 à 18h47

ben Ecrivait:
-------------------------------------------------------
répond à la > question stp


Zorto Ecrivait:
-------------------------------------------------------
> pourquoi pas fermer l'espace 21 orthodontiquement?


rose

05/06/2007 à 04h28

coté ABCDENT vous pouvez trouver un document dont le titre est"les accidents bucco-dentaires chez l'enfant"il faut cliquer sur articles dans les cahiers d'ABCDENT(colonne de gauche). ensuite sur sop.asso.fr tu peux aussi poser des questions...bonne chance.


ariel

05/06/2007 à 21h11

modérateur eugenol Ecrivait:
-------------------------------------------------------
> cela vaut
> désormais pour tout le monde.

quelle autorité !



vernal

27/06/2007 à 17h31

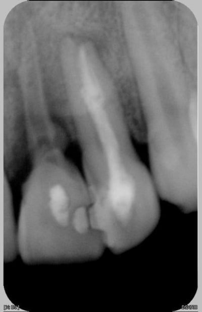
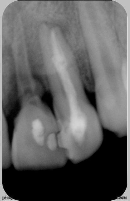
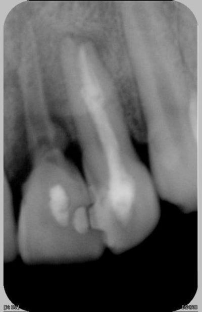
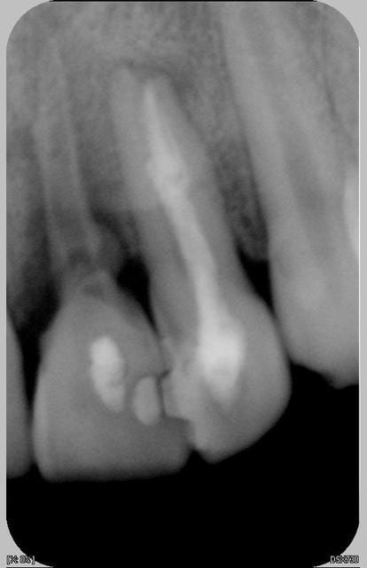
Suite du traitement

ouverture de la 11
nettoyage + EDTA-Hypochlorite sous ultrason
appareil provisoire sous le coude

la 11 n'est plus mobile

la patiente part pour deux mois, revient en septembre


PS : Merci au modérateur pour son secours

22 21 27 06 2007 gdq9x5 - Eugenol
22 21 27 06 2007 dsbitw - Eugenol

Image odged8 - Eugenol
ploc

28/06/2007 à 06h12

moyen sympa l'appareil provisoire,puis on sait faire autre chose maintenant qu'une jambe de bois qui se retire pr être nettoyée 2 à 3 fois /jour,et mme comme cela vectrice de plaque
sans oublier l'usure de la dt résine qui va entrainer l'egression passive de l'antagoniste

alors pourquoi pas l'une des solutions fixes de cat ds le tiroir?

ou du moins les ingrédients qu'il suffira de mélanger pr que lève le soufflé

aurai-je faim ce soir pr parler gâteau? mais l'idée y est!

NB/la 11 n'est plus mobile mais si la 21 lache pdt les 2 mois?


catrose

28/06/2007 à 19h12

vernal Ecrivait:
-------------------------------------------------------
> Suite du traitement
> ouverture de la 11

tu veux parler de 21 ?

> nettoyage + EDTA-Hypochlorite sous ultrason

si c'est toujours sur la 21,qu'as tu mis en attente ?




> appareil provisoire sous le coude
> > la 11 n'est plus mobile

parce qu'elle est solidarisee avec la 22?
la 22,pourquoi ne pas avoir repris le traitement,ca me semble aussi sinon plus urgent que la 21

>
> la patiente part pour deux mois, revient en
> septembre


tiens nous au courant




vernal

29/06/2007 à 16h39

la 21 au temps pour moi

hydroxyde de calcium dans le canal en attente

Il est évident que la 22 est à reprendre

Si la patiente n'est pas là pendant deux mois, personnellement je n'y peux rien.

En ce qui concerne l'appareil provisoire voir plus haut


Loic

03/07/2007 à 02h45

il existe une solution par cantilever collé qui a fait ses preuves. je cherche la ref biblio pour demain.
Cette methode a ete testee par la bande "smile" de desgranges et compagnie. D'apres eux ca marche bien, faut sceller au panavia un cantilever sircone. Cela tient mieux en collant sur une seule dent qu en faisant un bridge collé classique.


Zoe   son arriv e whwqpj - Eugenol
emma

04/07/2007 à 16h55

Loic Ecrivait:
-------------------------------------------------------
> il existe une solution par cantilever collé qui a
> fait ses preuves. je cherche la ref biblio pour
> demain.
> Cette methode a ete testee par la bande "smile" de
> desgranges et compagnie. D'apres eux ca marche
> bien, faut sceller au panavia un cantilever
> sircone. Cela tient mieux en collant sur une seule
> dent qu en faisant un bridge collé classique.


C'est vrai que le mainteneur d'espace "Cantilever" fonctionne bien, pour les dents de lait extraites prématurément également, je le réalise en CEREC, d'après les conseils des pros du CEREC, c'est une super méthode en attendant l'implant.



Cuisinier2 vnbbxx - Eugenol
jeff2

04/07/2007 à 19h07

perso Emma, j'aimerais une photo du cantilever, car on vient d'avoir une puce de 18 mois qui s'est proprement enfonce sa 51 sous l'epine nasale en tombant.
Ne sachant faire, j'ai adresse illico dans l'heure qui suivit à la grande pretresse pedo de paris, qui lui ont retirée sa dent, sous locale avec une mére moins tranquille,mais un bébé adorable, au point qu'une image comme capermettrait à la mére de dormir//sa culpabilite (non justifiée)de peut que sa fille soit defigurée juqu'au cp


Blue eye thumb medium dx1i0w - Eugenol
bill

07/07/2007 à 03h02

La dent ne réegresse pas en général ?
J'ai eu le cas d'une enfant de 2 ans avec 51 61 disparues, la mère les cherchant dans toute la pièce, elle étaient "incluses" et sont ressorties quelques temps après.
Elle a 15 ans aujourd'hui et tout est normal.


vernal

11/07/2007 à 15h36

trois cas similaires il y un et deux ans (une 51, une 61 et une 62). à chaque fois panique parentale car dent non retrouvée chez enfant de 1 et 2 ans.
Toues ces dents sont revenues en place sans coloration visible (la sensibilité est dure à juger car enfants trop jeunes) (je rechercherai les radio)
Dans un autre cas dent en pièces chez enfant de 18 mois : l'avulsion n'a pas été un grand moment de bonheur (enfant et surtout parent à gérer)


12