Cookie Consent byPrivacyPolicies.comA quand les points de formation sur Eugenol.... - Eugenol

A quand les points de formation sur Eugenol....

belette

16/12/2008 à 20h22

Amusant de reprendre ce post: j'ai récupéré ce cas d'une vie antérieure ; la patiente est très contente et moi aussi.

Alignement et contention ho9wsg - Eugenol

1 eugenol dmj5np - Eugenol
Dancha

17/12/2008 à 17h57

Merci belette, je vois que tu n'as pas hiberné ces temps derniers.
Toutes mes félicitations !

Daniel


Mmmm

17/12/2008 à 19h11

Dancha, est-ce que tu peux évaluer à quel pourcentage de tes patients ortho( je ne sais pas si tu fais que de l'odf) tu mets tes collages et non des bk du commerce? ( simple curiosité)
Et dans quels cas te sens -tu obligé de passer à des boitiers "conventionels"?


1 eugenol dmj5np - Eugenol
Dancha

17/12/2008 à 19h44

Mmmm écrivait:
--------------
> Dancha, est-ce que tu peux évaluer à quel pourcentage de tes patients ortho( je
> ne sais pas si tu fais que de l'odf) tu mets tes collages et non des bk du
> commerce? ( simple curiosité)
> Et dans quels cas te sens -tu obligé de passer à des boitiers "conventionels"?

Oui, je suis spécialiste qualifié ODF et ne fais que cela (à part les chir des dents incluses et les ancrage osseux que je fais moi-même, sauf les "8").

J'appareille la plupart des adultes actuellement de cette façon.
Ils sont vraiment ravis et satisfaits... et moi aussi.
Je suis en train de développer et tester des accessoires pour déplacer les racines, ça marche super bien. J'en parlerai un peu plus tard car ma priorité, pour l'instant, ce sont les ancrages osseux avec vis corticales courtes...

Daniel


kri

29/01/2009 à 14h41

J'ai suivi ce post depuis le debut, beaucoup de chose interressante malgre les polemeques.

Mais je reste sur ma faim, dans le cas de Belette par exemple on ne voit aucune photo en occlusion, cette "classe II 2" possedait probablement des contacts incisifs avant traitment qui n'etaient probablement pas ideaux mais qu'en est il apres traitement, j'ai un peu de mal a l'imaginer...

Le but de la question n'est pas la polemique mais juste de bien comprendre quel est le but atteint et les avantages et inconvenients de ce traitement precis.

Merci d'avance pour les explications.


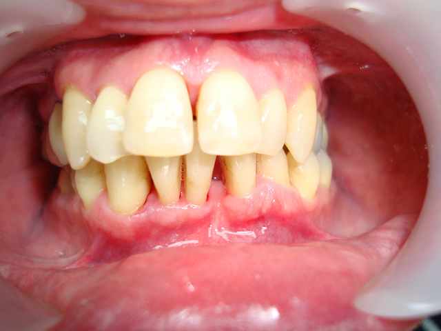
belette

29/01/2009 à 21h30

Hum, je m'attendais à cette remarque et la redoutais... Mon alignement n'était qu'un alignement, pas plus de prétention.Je cachais le reste assez désastreux .

Cette patiente(femme la cinquantaine, tout petit squelette, et toute maigre) à des atteintes parodontales que j'accompagne depuis des années en constatant les dégats sans jamais avoir reussi à la décider à aller voir un spécialiste.(elle n'a pas de sous).
Depuis un an ou deux, on surveille la 22 qui part en avant, gène et accroche la lèvre, les molaires gauches étaient à extraire pour cause de mobilité terminale et elle me demandait de les remplacer.

Elle avait les incisives sup plantées dans la gencive mandibulaire en occlusion , la 22 fuyante, et la 34 en linguoclusion.
Je lui ai dit: vous avez besoin d'un traitement global: paro d'abord, ortho, implanto, prothétique; je suis au bout du bout de ce que je peux faire pour vous.

Elle m'a dit non, tant pis si je perds mes dents, de toute façon à mon âge...Faites ce que vous pouvez VOUS.

alors, je lui ai enlevé ses molaires inf gauches, lui ai mis un appareil provisoire mobile, avec un petit ressort l'air de rien qui a remis la 34 en bonne position, lui ai aligné ses incisives ,( ce qui les a vestibulées et donc supprimé la morsure) , ai posé 2 CCM soudées sur 33 et 34 pour tenir un stellite, reste à faire tomber la 16, et la 27 pilier bridge et à faire un stellite en haut.
Que du bricolage. Mais sans ce bricolage je ne pouvais même pas l'appareiller.

Je n'ai pas traité la classe II 2, je ne le prétends pas.
J'espère que l'everstick en contention va tenir , c'est tout.









kri

29/01/2009 à 21h42

L'important est d'avoir fait de son mieux, et surtout satisfaire la patiente.


Image odged8 - Eugenol
ploc

29/01/2009 à 21h49

kri écrivait:
-------------
> L'important est d'avoir fait de son mieux,et
surtout satisfaire la patiente.

cela part d'un bon sentiment et peut sembler altruiste et empathique mais c'est la porte ouverte à tous les compromis,la facilité, et accessoirement l'autosatisfaction, le mieux etant une variable ...


kri

29/01/2009 à 21h55

Sur le fond tu as raison, mais tu explique a ta patiente ce qu'il faut faire, notament ici en l'occurrence Belette voulait adresser pour faire faire la paro ou l'implanto.
La patiente refuse et veut que ce soit son praticien qui fasse tout, dans ce cas on lui propose une alternative a sa portée, en expliquant les avantages et inconvenients.

On ne peut pas faire que des reabilitations avec moultes implants ou que des plan de traitment a + de 10000e.

Il y a qq fois des alternatives qui peuvent rendre service, l'important c'est que le patient ai ete informé.


belette

29/01/2009 à 22h32

La satisfaction que j'ai eu n'a pas été auto du tout, Ploc, .

J'ai été très contente de mettre en pratique un truc dont Dancha s'est évertué à nous démontrer l'accessibilité à tous; je dois reconnaitre que j'ai pris cela comme un jeu avec un défi, un but à atteindre, et un certain plaisir à gagner.
Même sentiment que d'avoir ma première étoile au ski. Jamais été intéressée par la compétition... Juste le plaisir.

Et quand on a des partenaires à la hauteur, pourquoi se refuser un petit plaisir ? (sans Dancha ni la confiance de cette patiente, j'aurais pas fait grand chose...)


Image odged8 - Eugenol
ploc

29/01/2009 à 22h50

belette écrivait:>
>
> Et quand on a des partenaires à la hauteur, pourquoi se refuser un petit plaisir

oh,belette!


1 p3qrc4 - Eugenol
Bjc.

30/01/2009 à 17h00

ça donne des points?


Fouilla h6plsy - Eugenol
fouilla

15/05/2009 à 20h57

revu en consult donc un an plus tard pas le même APN mais bon on regarde le contexte paro et l'amélioration de l'hygiène

et le lien photo de départ

http://www.eugenol.com/sujets/287766-a-quand-les-points-de-formation-sur-eugenol?page=21

Dsc00747 vflx7u - Eugenol
Dsc00751 gx1lq4 - Eugenol

1 eugenol dmj5np - Eugenol
Dancha

15/05/2009 à 21h31

Bravo !

Daniel


1 p3qrc4 - Eugenol
Bjc.

15/05/2009 à 23h14

encore un cas avec extraction...


RépondreCiter
1 eugenol dmj5np - Eugenol
Dancha

16/05/2009 à 12h13

Bjc. écrivait:
--------------
> encore un cas avec extraction...
>

Oui, encore un cas...

Pourrais-tu, toi aussi, nous montrer ce qu’est devenu celui que tu te vantais de traiter sans extraction et dont tu as mis juste deux photos (c’est juste après celui de fouilla) ?
Ce serait bien aussi que tu nous montres les radios avant et après pour objectiver le problème paro antérieur dont tu parle et sa résolution.

Daniel

Bjc  n8gixj - Eugenol

1 p3qrc4 - Eugenol
Bjc.

16/05/2009 à 15h53

avec plaisir, dès tu nous aura donné les Rx. récentes que tu as promis de ton cas à élastiques


RépondreCiter
1 p3qrc4 - Eugenol
Bjc.

21/05/2009 à 15h46

le cas réclamé est publié en dans le bulletin d’UNI-ODF de Mai 2009

@+ Bjc.


RépondreCiter
1...910