Cookie Consent byPrivacyPolicies.comA quand les points de formation sur Eugenol.... - Eugenol

A quand les points de formation sur Eugenol....

catrose

15/01/2008 à 10h11

je l'avais oubliee celle-la...
la canine est descendue
j'ai colle un bK a mi-chemin et on travaille maintenant le torque et bientot l'alignement des milieux
j'essaie de faire des photos(aux vues de la pietre qualite de l'image,tu auras compris que ce n'est pas vraiment integre dans mes habitudes...)


arno

22/01/2008 à 12h12

De mon côté, les choses avancent également avec la technique de Daniel, on est presque prêt pour passer à la conjointe.

Avant prothèse kah5hz - Eugenol

003 penrd2 - Eugenol
Cingulum

22/01/2008 à 14h25

super arno...:=) !


1 eugenol dmj5np - Eugenol
Dancha

23/01/2008 à 15h04

++

Daniel


Spriford

27/03/2008 à 18h44

bin j'essaie aussi!
2 patientes, la cinquantaine, qui ne veulent absolument pas aller chez l'orthodontiste. Je leur ai dit: puisque c'est comme ça , c'est moi qui vais les aligner vos dents...
Juste de l'alignement! ce serait rigolo que ça marche.J'ai posé les 2 cette semaine.
Wait and see.

La 22 gène vraiment  - Eugenol
Rotation et diastème mdlhww - Eugenol

bjc

28/03/2008 à 13h38

Félicitations

c’est presque mieux que Dancha !
tu as vu, (sur le 2° cas que tu présentes), qu’il fallait une gaine composite plus large pour corriger la rotation de la 42
bravo!

il ne te reste plus qu’à te mettre aux torques
(si tu veux des points)
:)

@+ Bjc.



1 eugenol dmj5np - Eugenol
Dancha

05/04/2008 à 22h40

Spriford Ecrivait:
-------------------------------------------------------
> bin j'essaie aussi!
..
> Wait and see.

Bravo d'avoir eu le courage de te lancer.
Tu ne regretteras pas.

Tu verras, tu seras agréablement surpris du résultat !

Daniel


Fouilla h6plsy - Eugenol
fouilla

19/04/2008 à 14h15

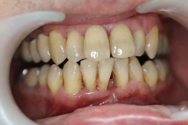
j'avais dit à dancha que je mettrais ce cas en ligne : un terrain paro ++++ une hygiène---

mais je suis allé jusqu'au bout du mieux que je pouvais mais pour moins m'ennuyer j'ai utilisé des "boîtes noires" piquées à mon associée .


attention ça a l'air d'odf ca à le gout de l'odf mas promis ce n'est pas de l'ortho.
.

Avant ylxyrt - Eugenol
Z de41 kroe7p - Eugenol
Fin contention alr3jq - Eugenol
Fin 2 ej9r0i - Eugenol

Spriford

19/04/2008 à 21h00

Comme quoi la nature fait bien les choses, il suffit parfois de l'aider un peu .
Cette dent était en trop, elle s'est fait virer!


Fouilla h6plsy - Eugenol
fouilla

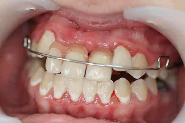
21/04/2008 à 14h20

photo le jour de la pose des boitiers et comme vous le voyez je ne pratique pas ce genre de sport mais il s'agit dans ce cas de fermer l espace et d'ingresser un peu, compte tenu de'un terrain paro "difficile" ,les axes ne seront pas modifiés comme on le voit sur les photos, le patient est bien prévenu dans ce cas qu 'on aura recours aux implants à plus ou moins long terme...

pourquoi des boitiers plutôt que la technique de dancha : prceque je les avais sous la main et que mise en oeuvre très rapide.
.

Le jour de la pose ujxdzx - Eugenol

1 eugenol dmj5np - Eugenol
Dancha

21/04/2008 à 17h58

Bravo fouilla !
Pourquoi dis-tu que ne n’est pas de l’ortho ?
Il faut sortir de la logique « orthodontie = systèmes compliqués » !
C’est avant tout du « bon sens » et cela tout chirurgien-dentiste normalement constitué en a suffisamment. C’est pour ceux qui n’ont pas comme fouilla la chance de pouvoir piquer les « boites noires » de leurs associés que j’ai montré les petits collages.
Tu as fais cela avec intelligence et parfaitement réussi à obtenir ce que tu voulais, fouilla, je te félicite une nouvelle fois.

Daniel


bjc

23/04/2008 à 22h26

je n'aurai pas de points de formation
dommage

Sans extractions 1 upjhvu - Eugenol

Fouilla h6plsy - Eugenol
fouilla

24/04/2008 à 13h37

oui mais dans ce cas on parle pas de problème paro susceptible d'être à l'origine du traitement.
petit malin va!
.


bjc

24/04/2008 à 13h55

oh si, elle en avait de la paro
comment pourrait-il en être autrement
c'est du reste sa motivation, elle ne voulait pas perdre ses dents, ni qu'on lui en avulse

on va sonder en fin de ttt., (surfacage réguliers et Kayes)

@+ Bjc.


Fouilla h6plsy - Eugenol
fouilla

24/04/2008 à 19h53

allez un super cas rien que pour vos yeux :
motif de la consult : mise en place de 3 impants antérieure a des fins esthétiques (selon l'ortho et le prat que je ne connais pas mais "on" leur a dit de viendre me voir (sans courrier sans rien))
je balance les photos car une grosse colère m'est venu en l'examinant.

*précision a 36 siège d'un "inlay"amalgamateux porte une magnifique lésion apicale
*elle est en occlusion normale sur les photos
*vous feriez quoi vous ?
mais pour vous rassurer avec un brin de cynisme c'est une petite de la dass donc c'est pas si mal...
j'enrage
.

Img 1619 treatr - Eugenol
Img 1621 bhzgwp - Eugenol
Img 1623 qpsjb0 - Eugenol
Img 1628 c9cddx - Eugenol

Fouilla h6plsy - Eugenol
fouilla

24/04/2008 à 19h55

suite
que penseriez vous de
1)apprentissage brossage
2)exo de 36
3)odf pre chir
4)chir orthognatique
5)implants esthetique et tout le toutim

Img 1624 vptjea - Eugenol
Img 1627 rmruq7 - Eugenol
Img 1630 x2jpfk - Eugenol

Spriford

25/04/2008 à 11h07

avec un plan de traitement pareil !!!
A moins que le salopard qui a mis cette môme dans cet état ait une bonne assurance. Ce qui m'étonnerait.(Il n'y a peut-être même pas de salopard???)

Cette rubrique est plutôt celle des mc Giver...
Donc apprentissage brossage :oui,avec plusieurs rappels.
La 36 avec lésion apicale est peut-^tre récupérable?

La chirurgie si vraiment elle est indispensable est prise en charge par la sécu...

reste l'odf puis les implants...




Fouilla h6plsy - Eugenol
fouilla

25/04/2008 à 16h37

réponse qui vient de m'être faite par la "personne" si je puis l'appeler comme ça qui m'a dit : "avoir fini le traitement" (sic!) après mon explication de nécessité de chir orthognatique,ele m'a répondu que le contexte social était difficile(entendez par là financier) je lui ai répondu que lorsque l'on traite un cas on s'intéresse d'abord à la solution quel que soit le contexte social sinon on ne prends pas le cas et que par ailleurs elle avait perçu de la ddass l'intégralité des semestres d'odf tout de même.
mais elle me laisse le soin de gérer l'ortho préchir avec un ortho elle ne souhaite pas prendre en charge le cas.(tu m'étonnes) voila j'arrête avec ce cas qui ne relève pas de ce post.
.


Spriford

26/05/2008 à 17h58

tout doucement, mais surement... la 22 s'aligne avec ses voisines. résultat à 2 mois .
Je ressens comme un petit bonheur, j'vous en fais part!

2 mois e5kfqo - Eugenol

1 eugenol dmj5np - Eugenol
Dancha

26/05/2008 à 21h08

Merci infiniment, il est partagé.

Daniel


024 vownvo - Eugenol
annie

30/05/2008 à 05h16

Spriford Ecrivait:
-------------------------------------------------------
> tout doucement, mais surement... la 22 s'aligne
> avec ses voisines. résultat à 2 mois .
> Je ressens comme un petit bonheur, j'vous en fais
> part!


Alors quatre questions, si l'envie me prenait;)que je pourrais demander egalement a Dancha,

*Quelles regles pour savoir ou mettre exactement le compo et surtout la hauteur du "tunnel " de passage
( evaluation du mouvement a obtenir,s'il est longitudinal, reporter la difference des bords incisifs par exemple,et si le mouvement a obtenir est transversal,même hauteur partout?)

*contention a vie obligatoire ou pas?

* rappel de la référence du fil

*et si echec,mis a part l'echec,quels risques?:)







Spriford

30/05/2008 à 12h05


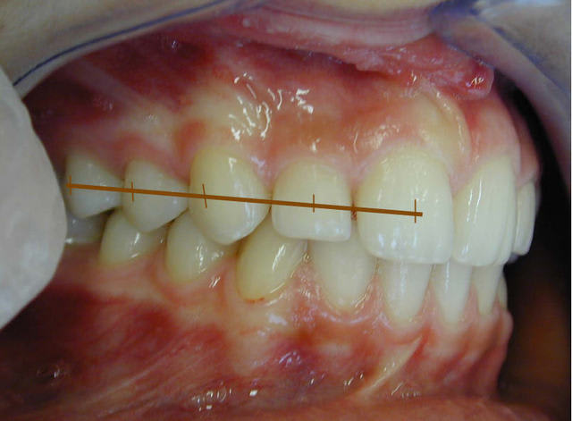
*Quelles regles pour savoir ou mettre exactement le compo et surtout la hauteur du "tunnel " de passage
( evaluation du mouvement a obtenir,s'il est longitudinal, reporter la difference des bords incisifs par exemple,et si le mouvement a obtenir est transversal,même hauteur partout?)

Personnellement, c'est à l'instinct...Imagine une arcade parfaite, (type montage idéal d'une prothèse totale),et voit comment un fil passerait devant, individuellement sur chaque dent et fais pareil. J'ai emprunté une photo de Chakour sans son autorisation (c'est le seul qui présente des cas finis...)et ai gribouillé dessus une ligne et des croix avec l'axe des dents. Ces croix doivent être alignées, en fin de ttt. En fait, les croix doivent être au centre de la dent entre 2 ou 4 mm des bords incisifs, selon la hauteur où tu veux placer ta dent.


*contention a vie obligatoire ou pas? dans mes cas : OUI mais elles ont déjà plus de 50 ans... :)

* rappel de la référence du fil voir photo

*et si echec,mis a part l'echec,quels risques?:)

Je suis en train de ma planter joliment sur le cas ou j'ai mis des danchamons en bas: ils cassent et se décollent tout le temps ; je l'avais prévenue que le seul risque c'est que cela ne marche pas; quand elle en aura marre, on arrêtera, on décolle et ça l'aura peut-être décidé à aller voir un vrai pro!
L'autre risque , c'est que Dancha ne te dise pas tout, ou qu'il disparaisse: Tu commences un truc que t'es incapable de poursuivre et t'as pas l'air c..! Parce que le fil, il faut le changer, en mettre un plus gros. Après, je ne sais pas, j'en suis là. Je prie tous les jours pour qu'il reste en ligne...

Danchamon1 carqmt - Eugenol
Centre f8hufl - Eugenol
Centre qqiqlp - Eugenol

Spriford

30/05/2008 à 12h07

.

Danchamon1 wztp5s - Eugenol

Spriford

30/05/2008 à 12h13

Ah j'oubliais le plus important: Un immmmmense merci à Dancha qui a une patience d'ange, et une disponibilité étonnante!
Je lui fais pas trop de pub, l'aura plus le temps de me répondre après...


024 vownvo - Eugenol
annie

30/05/2008 à 15h27

merci Sriford


1...8910