Cookie Consent byPrivacyPolicies.comA quand les points de formation sur Eugenol.... - Eugenol

A quand les points de formation sur Eugenol....

Utilisateur banni

04/09/2007 à 21h02

Dancha Ecrivait:
-------------------------------------------------------
> Le torque, c’est l’action sur une dent qui lui
> permet de déplacer sa racine dans le sens
> vestibulo-lingual ou linguo-vestibulaire.
>
> Daniel


Merci.
Et cette action se fait avec un fil carré. J'ai bon?


024 vownvo - Eugenol
annie

04/09/2007 à 21h03

Dancha Ecrivait:
-------------------------------------------------------

> Si on ne perd pas d’os durant le traitement, au
> bout de combien de temps sans problèmes majeurs le
> considèrerez-vous comme un succès thérapeutique ?
>
> Daniel

et bien il me semble,comme tout autre traitement,autant de gagné pour passer à l'etape suivante ,si un nombre d'années suffisantes permettent de justifier ce choix!
Que dire également des recidives de traitements orthos ou paros plus " conventionnels"? est ce que la réussite immédiate souvent satisfaisante n'est pas remise en cause,souvent plus tot qu'il ne le faudrait?



1 eugenol dmj5np - Eugenol
Dancha

04/09/2007 à 21h09

narik Ecrivait:
-------------------------------------------------------
>
> Merci.
> Et cette action se fait avec un fil carré. J'ai
> bon?

En "edgewise", oui. En arcs ronds, avec "des accessoires de torque".

Daniel


Utilisateur banni

04/09/2007 à 21h17

Dancha Ecrivait:
-------------------------------------------------------
> narik Ecrivait:
> --------------------------------------------------
> -----
> >
> > Merci.
> > Et cette action se fait avec un fil carré. J'ai
> > bon?
>
> En "edgewise", oui. En arcs ronds, avec "des
> accessoires de torque".
>
> Daniel

Pas cool Daniel... Comprends rien à ton charabia, ça devenait clair et simple et là avec ton edelweiss et ton arc rond ça se rembrouille ;(


1 eugenol dmj5np - Eugenol
Dancha

04/09/2007 à 21h27

narik Ecrivait:
-------------------------------------------------------
>
> Merci.
> Et cette action se fait avec un fil carré. J'ai
> bon?

Oui, tu as bon. Mais on peut également faire du torque avec des arcs ronds en rajoutant des "accessoires de torque". C'est plus clair ?

Daniel

Pour nanar lewucg - Eugenol

200106 10150128247663588 709988587 6466236 5598391 n d7mksb - Eugenol
hallboy

04/09/2007 à 21h57

Pour en revenir a la question , difficile de te repondre, puisque c'est apres avoir mis en place un protocole de type charron et avoir fait un peu d'endo ( donc a peu pres 2 à 3 mois plus tard, au moment ou commence ton traitement ) que en fonction des gains obtenus et des mobilités ( un peu difficile a evaluer de là où je suis assis ) que je prendrais des decisions quant aux exos . Et il n'est meme pas dit que je renvoie ça à encore + tard.

En parallele, je me demanderais comment ameliorer vite ses blocages posterieurs ( et son occlusion en general )car vu l'usure des ant et où se retrouve la 21, une partie du probleme vient de là.

Et pour la durée et le succés, la seule reponse que je puisse te donner est generique: si un truc que je fais se casse la gueule en 5 ans ou moins, c'est un echec. Si ça tient 10 ans ou plus ( surtout dans un cas comme cela ), c'est un succés.

la bonne therapeutique, c'est celle qui durera le plus longtemps sans oberer celle qui devra prendre la suite.


Image odged8 - Eugenol
ploc

04/09/2007 à 21h58

Dancha Ecrivait:
-------------------------------------------------------
>
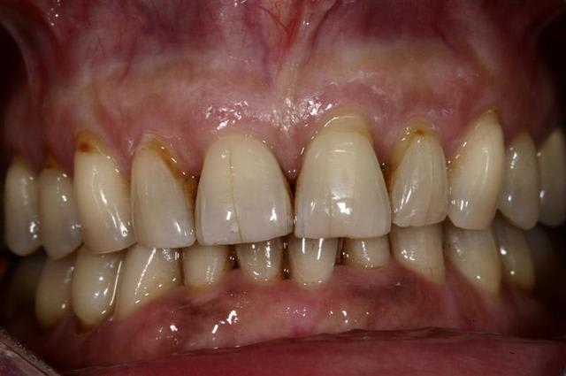
> 58 ans, fumeur (cela se voit), adressé par son
> praticien traitant pour que je remettre « dans les> clous » les dents qui ont migré, lui-même s’occupe> du reste..
>
> J’ai fait la pano le jour où je l’ai vu la
> première fois et commencé le traitement 2 mois et> demi après.
>
> je vous repose les
> questions à vous : > Quelles exos d'emblée ?

j'ai du mal à te répondre car ce n'est pas mon habitude de fonctionnement,envoyer en odf ds ce contexte infecté
mais je dirai:
aucune d'emblée
paro et traitement mme de 35...:)
réévaluation et seulement,seulement alors je transfère en odf en ayant au préalable regardé pr comparaison une nouvelle pano et discuter des dents sujettes à caution:est ce que l'odf pense pouvoir améliorer et me permettre encore plus d'assainissement, à combien de temps estime t'il la conservation de certaines et on evalue ensemble le bénéfice-temps gagné
ds un ca comme celui là,le ttt odf est là pr faciliter le ttt prothetique me semble t'il?


question de ma part:qd tu as commencé ton traitement,ts les foyers infectieux étaient ils traités et les endos faites?






024 vownvo - Eugenol
annie

04/09/2007 à 22h23

j'imagine ,dans un rêve fou,que le magicien Dancha au vu de ses précèdents cas présentés,va effectuer une mesialisation des 47 et 48 afin de retablir un articulé postérieur plus convenable ?


bjc

05/09/2007 à 02h22

cher narik

on a aussi besoin du torque quand si on ne veut pas que l’axe ou l’apex d’une dent
soit modifié ou déplacé
par exemple, lors d’un mouvement d’ingréssion

c’est du contrôle de torque
arc carré dans une attache à gorge carrée


1 eugenol dmj5np - Eugenol
Dancha

05/09/2007 à 11h42

allboy Ecrivait:
-------------------------------------------------------
> .. quant aux exos . Et
> il n'est meme pas dit que je renvoie ça à encore
> + tard.
> ..
> Et pour la durée et le succés, la seule reponse
> que je puisse te donner est generique: si un truc
> que je fais se casse la gueule en 5 ans ou moins,
> c'est un echec. Si ça tient 10 ans ou plus (
> surtout dans un cas comme cela ), c'est un
> succés.
> ..

ploc Ecrivait:
-------------------------------------------------------
..
> mais je dirai:
> aucune d'emblée
> paro et traitement mme de 35...:)
> ..
> question de ma part:qd tu as commencé ton
> traitement,ts les foyers infectieux étaient ils
> traités et les endos faites?
>..

Merci, pour ces réponses.

Comme il était sous contrôle par mon Confrère et l’endo en cours, j’ai commencé le traitement immédiatement, sans attendre.
Les forces que j’utilise sont très légères. Elles pourraient être comparées aux forces exercées par les muscles de la langue, des joues et des lèvres. A une migration dans un sens on répond par une migration dans l’autre avec le même type de force.

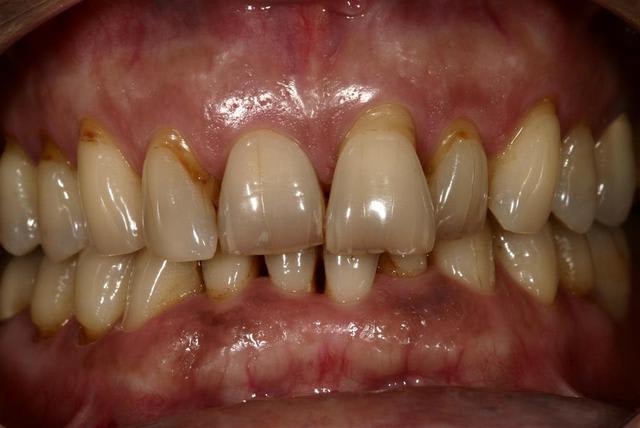
Voici le cas après traitement.
Vous pouvez parfaitement réaliser vous-même cette orthodontie de repositionnement après migrations sans faire appel à une mécanique ésotérique très compliquée. Cingulum l’a parfaitement montré. J’avais donné précédemment les références de la gaine et des fils à utiliser..

Daniel

7406 avant apres zqzibj - Eugenol

olivier

05/09/2007 à 11h52

Est il prevu de faire porter une gouttiere occlusale au patient? En tout cas bravo.


Image19 iebot6 - Eugenol
athos

05/09/2007 à 11h52

merci dancha, merci cingulum.


Image odged8 - Eugenol
ploc

05/09/2007 à 12h23

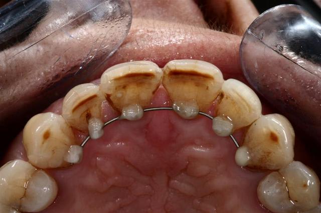
bonne récup parodontale:)
bravo...

une chose m'attriste ds laquelle tu n'es pr rien:pourquoi s'embête t'on en endo à realiser de belles obturations alors qu'un traitement radiologiquement imparfait semble donner de bons résultats?
pas juste!

combien de temps entre les 2 panos ?
les "agrafes" mises en contention st elles appelées à rester permanentes?
qu'est il prévu pr 46? sais tu?
simple curiosité pr evaluer le travail d'equipe:paro et endo st faites par le mme praticien qui était l'omni de départ ou y t'il eu plusieurs intervenants?


003 penrd2 - Eugenol
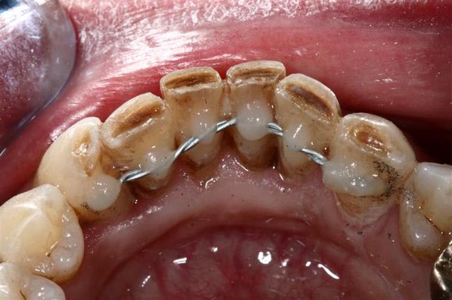
Cingulum

05/09/2007 à 12h53

pour conclure sur la contention de ma belle mere...
en revenant au sujet de depart.. ;)

et avant que BJC se défoule encore une fois....

PS: Contention haut réalisée la semaine derniere
et bas aujourd'hui...

et empreinte pour gouttiere de blanchiment.

Depart  large   2  ky58ig - Eugenol
Arrivee zxrbs5 - Eugenol
Contention bas gvhzsa - Eugenol
Contentionhaut e955rk - Eugenol

200106 10150128247663588 709988587 6466236 5598391 n d7mksb - Eugenol
hallboy

05/09/2007 à 13h16

Tres joli Daniel. felicite ton paro: il semble même qu'il soit arrivé à faire s'arreter de fumer ton patient;)

IL me semble que LIndhe parlait de forces extrement faibles lui aussi quant a l'odf .

Et comme olivier: gouttiere? Durée du traitement jusqu à la stabilisation? Tu en es à combien de recul maintenant?


1 eugenol dmj5np - Eugenol
Dancha

05/09/2007 à 14h04

Bravo, Cingulum. Tu maîtrises parfaitement. Tu peux traiter maintenant toi-même "de a jusqu'à z" des cas beaucoup plus avancés sans être obligé de passer obligatoirement par l'orthodontiste.

Encore toutes mes félicitations;

Daniel


Spriford

05/09/2007 à 14h26

Ligature métallique dans les parodontopathies: SC 8

Attelle métallique dans les parodontopathies: SC 40



si c'était pas la bellemaman ?


003 penrd2 - Eugenol
Cingulum

05/09/2007 à 14h47

> si c'était pas la bellemaman ?

c'est à dire...?



Spriford

05/09/2007 à 15h43

Excuse moi, d'abord, bravo pour ce joli travail.
Ce que je demandais, c'est quelle est la cotation pour cette contention? Hors belle maman, qui j'imagine l'a eu en cadeau.


1 eugenol dmj5np - Eugenol
Dancha

05/09/2007 à 18h12

olivier Ecrivait:
-------------------------------------------------------
> Est il prevu de faire porter une gouttiere
> occlusale au patient?..

Non pour ce cas-ci, oui pour le cas de l’« haubanée ».

ploc Ecrivait:
-------------------------------------------------------
..
> ..pourquoi s'embête t'on en endo à realiser de
> belles obturations alors qu'un traitement
> radiologiquement imparfait semble donner de bons
> résultats?
> ..
> combien de temps entre les 2 panos ?
> les "agrafes" mises en contention st elles
> appelées à rester permanentes?
> qu'est il prévu pr 46? sais tu?
>

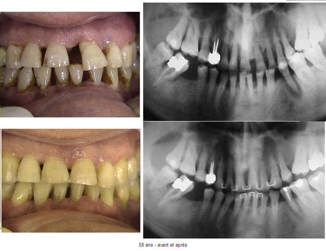
Une panoramique n’est pas forcément le meilleur cliché pour apprécier la qualité un traitement endodontique. L’habit ne fait pas le moine..
Un peu plus d’un an entre les deux radios.
Cette contention est destinée à être permanente.
Un implant va remplacer 46.

hallboy Ecrivait:
-------------------------------------------------------
> .. Si ça tient 10 ans ou plus (
> surtout dans un cas comme cela ), c'est un
> succés.
>..
> .. Tu en es à combien de
> recul maintenant?

9 ans et des poussières seulement pour ce cas-ci !
Ce n’est pas donc malheureusement pas encore un succès thérapeutique comme tu l’entends.

Daniel


200106 10150128247663588 709988587 6466236 5598391 n d7mksb - Eugenol
hallboy

05/09/2007 à 19h32

à 9 ans et des poussieres , avec un tel point de départ, je suis pas assez psychorigide pour considerer ça comme autre chose qu'un succés et un tres joli boulot.

Bravo ( une seconde fois )


bjc

05/09/2007 à 20h15

Si la 2° Rx. est à 10 ans
Bravo (au parodontiste)


Spriford

05/09/2007 à 21h11

Dancha disait: "Un peu plus d’un an entre les deux radios. "


Image odged8 - Eugenol
ploc

06/09/2007 à 00h01

9 ans de recul c'est pas mal du tout,du tout:)
tu ns en fais profiter,daniel?
une pano récente mme de l'année dernière avec un joli montage des 3 tant qu'à faire(,c'es plus facile pr comparer et voir l'evolution

merci daniel


1 eugenol dmj5np - Eugenol
Dancha

06/09/2007 à 01h15

Vendredi, si vous le voulez bien. Demain c'est relâche.


1234...