Cookie Consent byPrivacyPolicies.comfil de contention - Eugenol

fil de contention

anne so

03/09/2007 à 01h06

bonjour,
j'ai une contention à réaliser sur une patiente adulte, au niveau des incisives sup afin de limiter leur ecartement en éventail, je pensais faire une contention a l'aide d'un fil placé en arriere des incisives , collé au compo (type contention ODF), mais quel diamètre de fil utiliser?
merci


femur

09/09/2007 à 21h03

Si l'esthétique a de l'importance, utilise de la fibre de verre.
Publicité permise ?


anne so

11/09/2007 à 00h43

Merci, j'en ai effectivement, mais je trouveque ça se décolle facilement... ceci dit, c'est surement plus facile travailler qu'un jonc métallique (quand on n'est pas ortho!)
pour la pub , si tu veux...


femur

11/09/2007 à 12h40

Le fil EverStick perio est idéal ( stiktech).
Les fibres sont entourées de résine et se laissent aplatir. Après photopolymérisation l'ensemble est rigide.
D'autres fabricants ( polydenta, ribbond ..) fournissent la fibre mais n'ont pas cette 'raideur'.
L'idéal avec les produit stickteck est de placer la fibre sur la dent en la conservant dans son support souple et permettre ainsi une compression du matériau.
Un petit entrainement est nécessaire pour l'adopter.


Humator t9r5wy - Eugenol
humator

12/09/2007 à 20h13

pour une contention à + long terme, surtout avec dents à parodont faible, il faut une plaque collée avec des tenons dentinaires, sinon, décollage à répétition...


femur

13/09/2007 à 18h28

Vis dentinaire !
Alors, pourquoi ne pas creuser une tranchée pour adapter le fil de contention ? Plus de decollement ainsi !


Humator t9r5wy - Eugenol
humator

14/09/2007 à 13h01

pas des vis, des tenons dentinaires calcinables, paralleles entre eux et solidaires d'une plaque coulée: cela permet de contenir les dents, en leur interdisant les mouvements de version, ce qui ne sera pas possible avec un collage simple ( ribbond, grille...) et bien meilleur qu'une tranchée + fil inclus.


femur

14/09/2007 à 15h04

Oups, comment fais tu pour avoir le tenons parallèles et tenir compte de l'axe sur une zone curve ( le mot est correct ?)


Humator t9r5wy - Eugenol
humator

14/09/2007 à 15h14

c'est pas si difficile, mais il faut etre bien concentré lors des forages. J'en ai placé une dernierement, en fin d'ortho sur terrain paro+++.
De canine à canine, 2 tenons par dents, soit 12 au total. RAS


femur

14/09/2007 à 20h56

Plaque métallique en précieux ? Ciment résine ?


Humator t9r5wy - Eugenol
humator

17/09/2007 à 10h29

non précieux. Collage compo.


bibou

21/09/2007 à 02h23

Quand tu parles de tenons dentinaires, tu parles de tenons sur dents vivantes?


Humator t9r5wy - Eugenol
humator

21/09/2007 à 10h32

oui


003 penrd2 - Eugenol
Cingulum

29/09/2007 à 18h06

comme ça:

http://www.eugenol.com/eugenol/file.php?11,file=12032

http://www.eugenol.com/eugenol/file.php?11,file=12033

http://www.eugenol.com/eugenol/file.php?11,file=12034

http://www.eugenol.com/eugenol/file.php?11,file=12035

ou comme ça:

http://www.eugenol.com/eugenol/file.php?11,file=12026

http://www.eugenol.com/eugenol/file.php?11,file=12027

ou en fibré:

http://www.eugenol.com/eugenol/file.php?11,file=12024

http://www.eugenol.com/eugenol/file.php?11,file=12025


mais on est pas toujours récompensés par les efforts déployés...


Olivier G.


michel06

07/10/2007 à 12h19

Anne so a dit"j'ai une contention à réaliser sur une patiente adulte, au niveau des incisives sup afin de limiter leur ecartement en éventail"
Comment t'expliques tu l'écartement en éventail?
souvent dans ces cas,il y a une perte de calage postérieur avec des gros problèmes paro.
De ce fait,si ce diagnostic est confirmé,traiter le cas globalement en paro +faire calage postérieur et envisager réharmonisation du guide ant
si tu es sûr de ton diagnostic qui est différent du mien,tu peux faire une attelle en U d'Abjean
amitiés


Avatar transparent iqadnc - Eugenol
adhoc

09/10/2007 à 13h05



Que s'est il passé, cingulum, aprés ton excellent travail?


Ivetol gth5hw - Eugenol
ivetol

09/10/2007 à 19h03

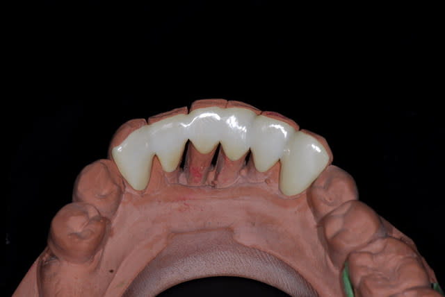
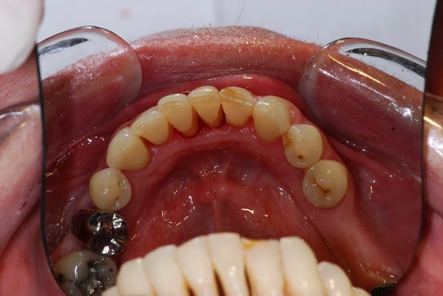
J'ai réalisée en mai 2007 une contention avec une attelle en zircone réalisée avec le systeme cerec. Bcp d'avantages : esthétique, solidité, pas de vieillissement ni usure. Inconvénient : le prix...
ci-joint le cas en images...

Img 0660 resize qjtlvo - Eugenol
Img 0662 resize ltzblh - Eugenol
Img 0285 resize bo2erf - Eugenol
Img 0286 resize tjrkzp - Eugenol

Ivetol gth5hw - Eugenol
ivetol

09/10/2007 à 19h06

suite

Clip resize ill9g7 - Eugenol
Img 0314 resize qakfzj - Eugenol
Img 0663 resize rlxpvb - Eugenol
Img 0666 resize rmo92e - Eugenol

Ivetol gth5hw - Eugenol
ivetol

09/10/2007 à 20h18

et fin

Img 0668 resize soiute - Eugenol
Img 0671 resize vsqg8p - Eugenol
Img 0675 resize tvnaxf - Eugenol

Wra300x300 gotue6 - Eugenol
hop

09/10/2007 à 20h21

bravo !

en plus, tu ne fais pas sauter la moitié de l'émail des dents.

beau travail.


Ivetol gth5hw - Eugenol
ivetol

09/10/2007 à 20h59

merci ;)

Ivetol ga48wj - Eugenol

Wra300x300 gotue6 - Eugenol
hop

09/10/2007 à 21h58

pas de quoi, c'est mérité.

Sincèrement kve3o4 - Eugenol

Humator t9r5wy - Eugenol
humator

11/10/2007 à 11h39

bonjour, ivetol! ça faisait longtemps!
bravo pour cette attèle. Le tout est très propre!
Une remarque cependant:
tu es sur un parodonte affaibli, or tu comptes uniquement sur un collage. N'as tu pas peur qu'avec les forces de mastications, la couche hybride soit mise à rude épreuve, de part une mobilité plus importante des dents?


003 penrd2 - Eugenol
Cingulum

11/10/2007 à 17h51

ivetol Ecrivait:
-------------------------------------------------------
> J'ai réalisée en mai 2007 une contention avec une
> attelle en zircone réalisée avec le systeme cerec.
> Bcp d'avantages : esthétique, solidité, pas de
> vieillissement ni usure. Inconvénient : le
> prix...
> ci-joint le cas en images...

je te parie qu'elle se décolle dans l'année!

zircone trop rigide pour cette utilisation.
tu as de plus un collage pur... coté émail ok, mais coté zircone tu as l'efficacité d'un scellement...(5Mpa)

avec quoi as tu collés? si c'est panavia je te donne 2 ans avant que cela se décolle :)

Olivier


Squash u44zd8 - Eugenol
steph

12/10/2007 à 01h03

Voilà une utilisation du cerec que je n'aurais pas imaginer.


12