Cookie Consent byPrivacyPolicies.comça c'est de la contention. - Eugenol

ça c'est de la contention.

bjc

17/09/2007 à 00h28

et la mienne alors !


1 eugenol dmj5np - Eugenol
Dancha

17/09/2007 à 13h34

catrose Ecrivait:
-------------------------------------------------------
> >
> il serait aussi interessant de voir la situation
> avant le ttt odf:les recidives sont en rapport
> avec les mouvements effectues pendant le ttt

Absolument, et ce ne sont que ces dents-là qui sont à solidariser entre elles et non toute l’arcade systématiquement.

> tu en as un bon exemple dans le dernier cas de
> Dancha en rubrique cas clinique:la 21 est repartie
> en migration distale(masquee par un gros compo
> mesial qui tient l'attelle abjean-genon),les
> autres dents n'ont pas bouge
> …

Une solidarisation de 11 et de 21 entre elles est toujours risquée, non pas à cause d’une « récidive » de traitement, mais à cause des micromouvements de la suture intermaxillaire qui resterait fonctionnelle toute la vie.
Il n’y a par contre aucun risque à solidariser 11 et 12, 21 et 22 etc..
Il y avait dans le cas précité un risque important de réouverture à cet endroit. Si son (nouveau) praticien traitant m’avait téléphoné pour me signaler la désolidarisation de 11-21, je lui aurais demandé de ne pas les rebloquer. On aurait alors surveillé le diastème. En cas d’évolution négative et réouverture trop importante il eut été facile de coller un petit bouton en vestibulaire de 11 et de 21 et de mettre un élastique pour les resserrer.

ploc Ecrivait:
-------------------------------------------------------
> > pr les interrogations de mac,pas de contention
> collée:elle ne tiendra pas plus mais comme tu n'es
> pas SQ!!!, tu es donc plus facilement attaquable
> et remis en question
> délègues à un SQ....
> ou passe en fixe,mais il va falloir expliquer et
> convaincre pourquoi 4 ou 6 couronnes soudées
> ..

Ras le bol de cette guéguerre stupide. Cela ne sert qu’à maintenir un climat exécrable sur ce forum
Un « spécialiste qualifié » (SQ) le plus souvent ne peut pas effectuer de contention « à vie » qui demande des actes de dentisterie qu’il ne peut pas réaliser. Il ne met pas de facettes, ne réalise pas de couronnes etc..

---

En conclusion :
- Il faut que tu t’informes auprès de l’orthodontiste qui a effectué le traitement pour connaître la situation avant et déterminer exactement avec lui les dents à attacher entre elles.
- Il faut que tu évites de solidariser 11 et 21. C’est ce blocage qui est le plus souvent responsable du décollement des contentions supérieures. Si tu évites de solidariser 11 et 21 et si ton collage est fait dans les règles de l’art, il n’y a aucune autre raison pour que cela ne tienne pas.

Daniel


bjc

17/09/2007 à 19h53

"Il n’y a par contre aucun risque à solidariser 11 et 12, 21 et 22 etc.."

y a-t-il un intérêt ?


"si son (nouveau) praticien traitant m’avait téléphoné pour me signaler la désolidarisation de 11-21, je lui aurais demandé de ne pas les rebloquer."

je vois, c’est la faute de l’omni, bien que le spécialiste ait solidarisé la 1° fois !


Logo vuaztn - Eugenol
mac

21/09/2007 à 17h37

bon c'est encore moi, j'avais rien compris en fait (encore une fois me direz vous).

donc la patiente en fait à eu un traitement ortho à l'adolescence et il y a trois ans est retournée voir un ortho parce qu'elle trouvait que ses dents avaient bougées, l'ortho lui a fait porter "une gouttière nocturne pour redresser les dents" pendant 6 mois et lui a fait "la contention" sur demande de la patiente qui avait peur que ça rebouge.

j'ai réussi à récupérer la pano et les photos avant traitement, pour moi la différence est pas flagrante.

la contention a t'elle un intéret?

Img 4633 t1o566 - Eugenol
Img 4635 dckzzw - Eugenol

Logo vuaztn - Eugenol
mac

23/09/2007 à 16h11

quoi? j'ai dit une connerie?
personne n'a d'avis?


bjc

23/09/2007 à 16h48

salut,

si tu as récupéré les documents, tu t’es mis en contact avec l’ortho ?

6 mois me paraissent court pour un ttt. odf
et si tu ne vois pas de différences, c’est que les Inc. Inf. sont toujours en éventail
facteur défavorable pour une contention

il faut que tu parles avec l’ortho, et avec ta patiente
a-t-elle décidé d’interrompre le traitement, par ex. ?

@+ Bjc.


1 eugenol dmj5np - Eugenol
Dancha

23/09/2007 à 20h28

Sur les photos, on voit que c’est la 12 et uniquement celle-là qui a été déplacée.

Profite de la cosmétique que tu vas réaliser pour la fixer avec la 11, cela devrait suffire.

Daniel

Mac2 a2xzks - Eugenol

Logo vuaztn - Eugenol
mac

23/09/2007 à 23h40

bjc Ecrivait:
-------------------------------------------------------
> salut,
>
> si tu as récupéré les documents, tu t’es mis en
> contact avec l’ortho ?


non la patiente les avait chez elle.


> 6 mois me paraissent court pour un ttt. odf
> et si tu ne vois pas de différences, c’est que les
> Inc. Inf. sont toujours en éventail
> facteur défavorable pour une contention
>
> il faut que tu parles avec l’ortho, et avec ta
> patiente
> a-t-elle décidé d’interrompre le traitement, par
> ex. ?

non.


Logo vuaztn - Eugenol
mac

23/09/2007 à 23h40

Dancha Ecrivait:
-------------------------------------------------------
> Sur les photos, on voit que c’est la 12 et
> uniquement celle-là qui a été déplacée.
>
> Profite de la cosmétique que tu vas réaliser pour
> la fixer avec la 11, cela devrait suffire.


ok, merci.


bjc

24/09/2007 à 05h45

quand on a un Pb. sur une dent, il ne faut pas essayer de résoudre le Pb.,
il faut attacher le Pb. à la dent d’à coté


alain.rennes

24/09/2007 à 14h15

plutot everstick que Ribbond, à mon avis.La fibre de verre à une affinité pour les composites, et, en plus, everstick ajoute une liaison chimique au renfort traditionnel.( résistance à la fatigue x par 40 environ)


1 eugenol dmj5np - Eugenol
Dancha

25/09/2007 à 11h57

Je confirme pour l'everStick (www.sticktech.com).
Si tu ne faisais pas de cosmétique et que tu réalisais uniquement une contention palatine avec ce produit, il serait sage d'intégrer également la 13 (solidarisation 11-12-13).

Daniel


Logo vuaztn - Eugenol
mac

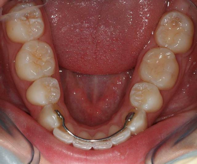
10/12/2007 à 16h33

vu ce matin.

contention espagnole.

Img 4978 qnznll - Eugenol

bjc

10/12/2007 à 16h51

pas forcement pour la 42
a suivre: 42/43, et et et 12


12