Cookie Consent byPrivacyPolicies.comPhotos de problemes ou echec ds le traitement implantaire - Eugenol

Photos de problemes ou echec ds le traitement implantaire

Bouddha 2 wmj1zk - Eugenol
HAIG

20/10/2007 à 16h45

Bonjour ,

auriez vous la gentillesse de mettre a ma disposition des photos ou radio d'echec ou de probleme lors de traitement implantaire .

J'ai l'intention de faire un cours sur ce theme et je manque de document pour illsutrer le tout . Mon idee etant de presenter un nombre suffisant de documents et de faire participer les gens en leur faisant faire l'analyse .
J'ai les miens ( pour les mal intentionnes ) mais j'ai pas reusssi a merder dans tous les cas de figures !!

Merci beaucoup


Avatar ow44t3 - Eugenol
Chicot

20/10/2007 à 17h55

je t'ai déjà donné un de mes échecs (exo-implantation immédiate-MCI-explantation 1 mois plus tard) il y a quelque temps.

Ca serait sympa de mettre ici tout les cas, ça nous permettraient tous de profiter des expériences d'autrui.

Même si nos egos peuvent en soufrir 98,5% de succès ça fait quand même 1,5% d'échec


Bouddha 2 wmj1zk - Eugenol
HAIG

20/10/2007 à 17h57

oui merci pout ton aide .

je pensais effectivement une fois le truc monte le mettre a dispo de tous .


Avatar ow44t3 - Eugenol
Chicot

20/10/2007 à 20h03

HAIG Ecrivait:
-------------------------------------------------------
> oui merci pout ton aide .
>
> je pensais effectivement une fois le truc monte le
> mettre a dispo de tous .


cool


Avatar ow44t3 - Eugenol
Chicot

24/10/2007 à 23h45

Tous le monde ici (sauf moi) auraient 100% de réussite ?

ou pas d'échecs iconographiés ...


Avatar ow44t3 - Eugenol
Chicot

24/10/2007 à 23h47

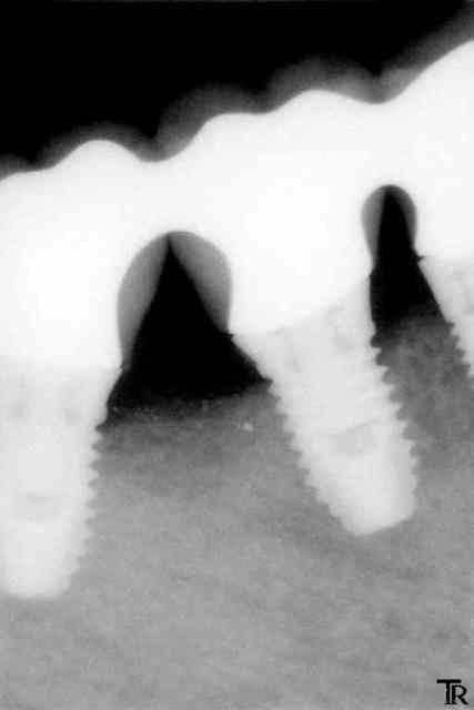
Allez un cas un petit peu limite

pilier Ti procera à fond et couronnes avec un léger défaut d'ajustage ou pas vraiment à fond ?

C'est vrai que la gencive à parfois tendance à venir interférer au scellement en venant se clipser autour du pilier au dessus des limites car mon labo ne veux pas faire des limites juxta

Et il reste un peu de ciment en sous gingivale.

A un mois, je n'ai noté aucune inflammation gingivale.

Et vous vous faite quoi ici ?

45 qdiei2 - Eugenol
46 lvxjet - Eugenol
47 xt3941 - Eugenol

carole

25/10/2007 à 00h07

youhooo la bone idée...moi aussi demander pano atypique et photo de bo raté ...en pm, que ça reste classe!!!!
chicot, il y a un bout de temps, mais j' ai aussi posté une boulette d' arrogance made in mes mains, avec l' echec prédictible à la clef....et non, je n'ai pas 100% (ni 110% !!! oups)


Blason dql7mj - Eugenol
growler

25/10/2007 à 03h41

Chicot Ecrivait:
-------------------------------------------------------
> Allez un cas un petit peu limite
>
> pilier Ti procera à fond et couronnes avec un
> léger défaut d'ajustage ou pas vraiment à fond ?
>
>
> C'est vrai que la gencive à parfois tendance à
> venir interférer au scellement en venant se
> clipser autour du pilier au dessus des limites car
> mon labo ne veux pas faire des limites juxta
>
> Et il reste un peu de ciment en sous gingivale.
>
> A un mois, je n'ai noté aucune inflammation
> gingivale.
>
> Et vous vous faite quoi ici ?

je demande à mon labo de faire les limites que je veux.
ici tu ne risques pas grand choses l'espace biologique étant présent entre le bord osseux et tes limites de coiffes.


en revanche le souci c'est le premier implant qui est trop éloigné de la prémolaire (sans la solidarisation avec les suivants il y aurait déjà sûrement une cratérisation par stress mécanique)
tu as implanté quand?

@++



henri

25/10/2007 à 12h25

Chicot Ecrivait:
-------------------------------------------------------
> Allez un cas un petit peu limite
>
> pilier Ti procera à fond et couronnes avec un
> léger défaut d'ajustage ou pas vraiment à fond ?
>
>
> C'est vrai que la gencive à parfois tendance à
> venir interférer au scellement en venant se
> clipser autour du pilier au dessus des limites car
> mon labo ne veux pas faire des limites juxta
>
> Et il reste un peu de ciment en sous gingivale.
>
> A un mois, je n'ai noté aucune inflammation
> gingivale.
>
> Et vous vous faite quoi ici ?


pour info ce des 7mm en posterieur ?


Avatar ow44t3 - Eugenol
Chicot

25/10/2007 à 15h52

henri Ecrivait:
-------------------------------------------------------
>
> pour info ce des 7mm en posterieur ?


non 8,5 mm


Avatar ow44t3 - Eugenol
Chicot

25/10/2007 à 15h56

growler Ecrivait:
------------------------------------------------------> je demande à mon labo de faire les limites que je
> veux.

moi aussi mais il a parfois la tête un peu dur .....

> ici tu ne risques pas grand choses l'espace
> biologique étant présent entre le bord osseux et
> tes limites de coiffes.

je suis d'accord

> en revanche le souci c'est le premier implant qui
> est trop éloigné de la prémolaire (sans la
> solidarisation avec les suivants il y aurait déjà
> sûrement une cratérisation par stress mécanique)
> tu as implanté quand?

il y a 5 mois et j'ai solidariser entre autre pour éviter un trop grand porte à faux unitaire.

Mon stress c'est de taper dans la racine de la dent mésiale, du coup j'ai souvent tendance à être un peu trop distale.


Fouilla h6plsy - Eugenol
fouilla

29/10/2007 à 20h45

implant TBR posé en 1998 par confrère petit problème d'axe que j'avais temporairement résolu en utilisant prothèse transvissée .
en quelques mots
patiente
1)édentée bilaterale
2)bruxoman(girl)
3)suite implantaire difficile...n'a pas fait le travail de l'autre coté (à l'époque je faisais confiance et j'avais accepté de monter la prothèse)
4)la supra structure s'est dévissée deux fois en 7 ans et à chaque fois je la prévenais...

R2 cqofpn - Eugenol

Fouilla h6plsy - Eugenol
fouilla

29/10/2007 à 20h51

question subsidiaire que faire après ?
sans utiliser le tourne à gauche j'entends...


Avatar ow44t3 - Eugenol
Chicot

29/10/2007 à 21h23

Ben tu vires l'implant avec un trépan et la patiente ensuite si elle ne veux toujours pas équiper l'autre secteur


Fouilla h6plsy - Eugenol
fouilla

30/10/2007 à 13h20

oui bien sur , mais option 2
1-lambeau on vire le col cassé
2-on enlève la vis cassée
3-on réalise une empreinte avec transfert modifié
4-suprastructure transvissée solidarisée entre implants
5-bridge provisoire par dessus
6-réalisation de la suite du traitement initalement prévu (3 implants dans l'autre secteur)
7-équilibration +++
8-wait and see

j'ai décidé de conserver cet implant car longueur+++ évent dans le fut +++ crète fine donc gros dégats lors de la dépose tourne à gauche , ou trépan les dégats seront idientiques avec risque de laisser l'extrémité apicale et nécesité de greffe par la suite...
déja six mois de fonction à suivre


Fouilla h6plsy - Eugenol
fouilla

30/10/2007 à 13h21

la rvg


Fouilla h6plsy - Eugenol
fouilla

30/10/2007 à 13h22

;;;;

R15 t5shnc - Eugenol

Blason dql7mj - Eugenol
growler

30/10/2007 à 14h00

qu'entends tu par transfert modifié?

tu procèdes comment?

@+


3f3boxni50k58rq7e9ce9ddqrxgk - Eugenol
dentiste57

30/10/2007 à 14h38

c'est gonflé mais bien mieux qu' un trépan.
bravo!


Fouilla h6plsy - Eugenol
fouilla

30/10/2007 à 14h54

en regardant la rvg avec le col cassé on s'aperçoit que le filetage va bien plus loin que la vis donc j'ai présumé que je pourrai visser plus loin dans le fût.


modification du transfert:
en supprimant l'octogone du transfert totalement la vis va bien à fond (rvg jointe) mais par contre le transfert n'est pas en butée contre l'implant modifié donc j'ai modifié légèrement la vis pour qu'elle pousse le tansfert contre l'implant (ajout d'un petit anneau de duralay sur les premières spires ) de sorte qu'en vissant on soit bien en butée contre le fût (cf deuxième rvg)
puis j'ai controlé lors de l'essayage de l'armature que l'ensemble soit vraiment passif.
A priori ras mais ce cas n'a été possible que grace à la profondeur de filetage du fut .


A noter que la fracture du col vient aussi certainement du fait que les pièces usinés fabriquées n'appuyaient que sur la périphérie du col et ne venaient pas en butée sur le l'épaulement interne (contrairement au cone morse ou le principal de la force est dans la partie la plus épaisse) l'épaisseur étant à cet endroit. la partie la plus fine .
réponse de la firme à mon problème : jamais de col cassé chez nous ...(comme chez les autres)

R8 qj5ks8 - Eugenol
R9 xmckxk - Eugenol

alhoun

30/10/2007 à 15h04

joli sauvetage.


Logo vuaztn - Eugenol
mac

30/10/2007 à 15h09

alhoun Ecrivait:
-------------------------------------------------------
> joli sauvetage.


fouilla tu seras notre pamela anderson à nous.


Blason dql7mj - Eugenol
growler

30/10/2007 à 16h42

félicitations fouilla, ton sens de l'observation t'as permis d'élaborer une solution simple.

bravo ++


Moné

30/10/2007 à 17h56

Hmm... je préfère quand même poster des jolis cas.

Humble g3vb0i - Eugenol

Fouilla h6plsy - Eugenol
fouilla

30/10/2007 à 18h22

pour growler ...
pourrais tu me dire à quoi tu pensais lorsque j'ai montré dans un précédent post la cratérisation autour de l'implant (votre avis sur un cas) qui aurait put faire partie de cette série
tu n'as pas fait suite à "j'ai ma petite idée"
.


12...