Tous les forums
Photos de problemes ou echec ds le traitement implantaire
10/12/2007 à 23h46
HAIG Ecrivait:
-------------------------------------------------------
> Merci Péach ,
>
> mais ton cas n'est qu'un contre-temps pas vraiment
> une cata , celui d'alhoun est deja mieux .
> Un aperçu de mes preferes
c'est sûr, mon cas n'est pas une cata! mais avec les perfs que tu collectes, la barre est très très haute; et je comprend mieux les remarques amusées d'une de mes patientes radiologue
11/12/2007 à 12h28
Bonjour ,
tu sais mon but est de marquer les esprits par des cas vraiment cata. Le message que je tente toujours de faire passer est que la technologie ne traite pas les patients mais que de l'usage que nous en faisons depend le resultat.
Que les implants ne sont pas la panacee universelle .
Il m'est arrive de lire sur Eugenol . " les bridges sont de la merde poses des implants " !!!!!!!!!!
Au vue de mes perles comme tu les appelles, il serait facile de dire aussi : les impants sont de la merde .
Seule une connaissance de toutes les techniques et leur excecution rigoureuse permettent de garantir un resultat .
11/12/2007 à 12h38
haig
mes excuses
pas pris le temps de te l'envoyer mais voici un cas d'acharnement et qui pourrait compléter la discussion de comblement ou pas et nécessité de scanner ou pas
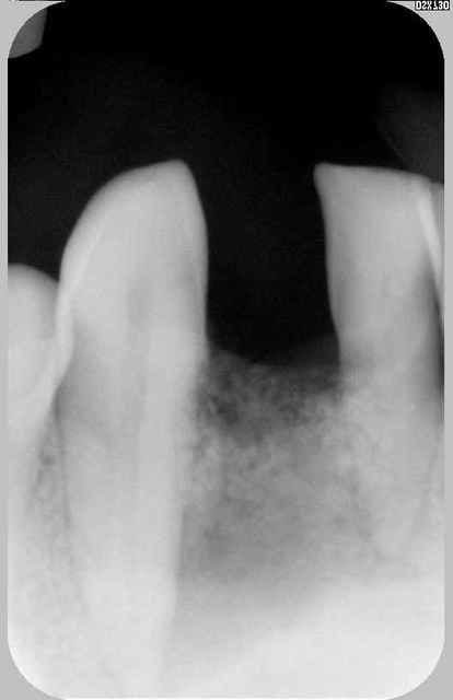
début en 2001 : patient avec perte de 32 me demande de remplacer dent manquante réponse ok avec pano et rvg pas de scan vu la hauteur visible et en pus on est en 32 .
le jour de la pose : j'avais prévu un 12*3.3 je le mets en place mais tourne à15 newton donc poubelle et je mets en pace 4*12 blocage à 30 newton mais sensation particukière au forage
puis attente et au deserrage de la vis je dévisse sans effort ce 4*12 la nje fait 1 scan qui confirme qu'iln'y a rien dans le "sandwich" bicortical qui est bien présent donc endo de 33 depose en deserrant la vis de l'implant sans effort curetage ++++ pas de prf et perlimpinpin attente de cicat 6 mois
et repose d'1 3.3*12 (on en est à 3 futs) attente bonne sensation au forage et attente avec atelle collée toujours puis 6 mois après en serrant le fm
à 30 le patient me dit "il y à qqchose de sensible" je mets la provisoire quand même qui est restée en place 1 an et demi mais je l'ai déposé (mobilité +++) et ai réalisé une prothèse "conventionelle"
àl'heure actuelle avec un problème identique curetage et mise en place de prf et biooss ou autre et implantation mais certainement pas curetage simple malgré la présence de 2 corticales.
11/12/2007 à 13h09
Merci Fouilla , tres sympa de ta part .
Ton cas est tres interessant mais deux petites questions :
- pourquoi avoir pose du 12 mm il semble y avoir plus de longueur disponible et peut etre pouvais tu aller chercher un os plus dense ? Meme si le diametre est plus important que la longueur , ça peut etre un plus .
- quelle a ete ta sensation au moment du forage , as tu senti que ça rentrait tout seul ?
- Penses tu donc qu'il serait utile pour chaque implant de savoir la densite osseuse en pre-op ?
Ceci pour poursuivre la discution .
BYE
11/12/2007 à 13h26
1)effectivement plus long aurait été possible mais par habitude je ne dépasse pas le 14 et ce très rarement(peur de chauffer)
2)sur la densité si on regarde la rétro a postériori idem pour la pano on devine très bien ce pb de densité (surtout quand on le sait cliniquement)
j'essaye de te faire passer pano et scan dès qu'on les aura retrouvé...
3)une question à se poser ... scanner systématique ou pas , et bien je regarde beaucoup plus attentivement mes retro et ma pano et dès que doute là scanner mais toujours pas systématique surtout en unitaire..
4°)sur la densité la sensation au forage d'aspiration mais à l'époque j'avais d'une part un moteur peu performant (bcp de vibrations) et d'autre part moins d'expérience (vingtaine de futs) mais ce cas fait partie grandement de l'expérience acquise§.
11/12/2007 à 13h35
merci pour tes reponses tres justes a mon sens .
Tiens pour rire et pour penser que tu es un Crack , un cas qui " me plait !!! " De la a ce que l'on impose l'alcotest avant toute implatation mais pas au Patient mais au Dentiste !
11/12/2007 à 14h32
rvg fin novembre du bricolage comme tu le souhaitais.
dis tu me montre la tienne...
.
11/12/2007 à 14h57
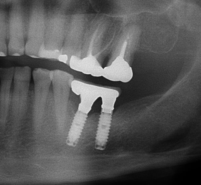
A propos de ce cas dont tu a herite je crois .
Ne penses tu pas que la fracture du ciol est lie aux tensions qui s'exerce contenu de l'inclinaison de l'implant et de l'extension mesiale
11/12/2007 à 15h41
patiente
1)édentée bilaterale
2)bruxoman(girl)
3)suite implantaire difficile...n'a pas fait le travail de l'autre coté (à l'époque je faisais confiance et j'avais accepté de monter la prothèse)
4)la supra structure s'est dévissée deux fois en 7 ans et à chaque fois je la prévenais...
posté en même temps que la radio
donc oui à toutes tes suggestions
11/12/2007 à 15h48
Merci ,
car il faut bien que je les commente les radios durant le cours donc si je connais mieux les cas ça aide .
D'aileurs c'est interessant de voir les photos ou les radios et de chercher l'erreur .
On devrait pouvoir faire un jeu odontologique interessant et formateur avec tout ce que l'on voir sur Eugenol .
11/12/2007 à 23h53
mac Ecrivait:
-------------------------------------------------------
> NON!!!
>
>
> c'est amibien!!!!
incroyable......il est vraiment partout
12/12/2007 à 22h18
GRAND MERCI
A tous ceux qui ont eu la gentillesse de poster des photos et commentaires .
Une petite der qui me plait bien aussi !!!
17/07/2009 à 16h40
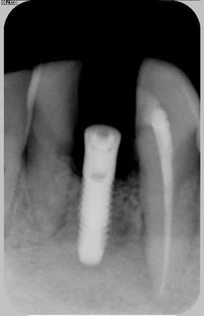
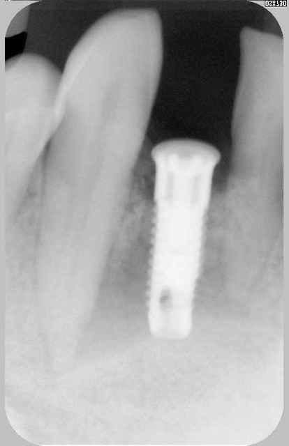
en ragardant le sujet vis cassée je vous donne des nouvelles de l'implant col cassé deux ans après et du petit bricolage généré dessus.
nous avons réalisé une armature sur la barre avec un petit fraisage et scellé le tout.
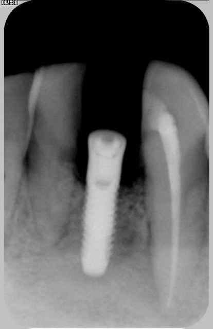
12/01/2012 à 18h22
comme j'ai la chance que les patients fassent le suivi
rvg en 2011
pseudo réossification autour de mon bricolage si on fait attention faut dire que c'est un beau cône morse (!)
--
.
12/01/2012 à 18h30
fouilla écrivait:
-----------------
>
>
> comme j'ai la chance que les patients fassent le suivi
> rvg en 2011
>
> pseudo réossification autour de mon bricolage si on fait attention faut dire que
> c'est un beau cône morse (!)
Euh je ne veux pas être négatif mais je dirai plutôt une cratérisation établie; ton os arrivait à la spire distal n°10 (à l'origine) maintenant il est bien en dessous :-(
Désolé mais effectivement c'est une très belle gestion de complication, je te félicite pour celà même si je ne partage pas ton optimisme "osseux".
--
"La vis est à l'implant ce que la carie est à la dent!" (Pozzi)
12/01/2012 à 19h10
pourquoi penses tu que je parle de "pseudo" réossification et de cone morse : aucune étanchéité autour du bricolage qui présente encore moins d'étanchéité qu'un connectique à plat
les contraintes que montraient Haig sont bien toujours présentes même si soulagées par le fait que l'on ait "acastillé" l'autre coté .
il s'agit d'un sauvetage la corticale en linguale est toujours présente mais poche en vestibulaire car l'axe de cet implant n'est pas non plus idéal en vestibulo lingual comme mésio distal ya pas de raison:-))
--
.
12/01/2012 à 19h19
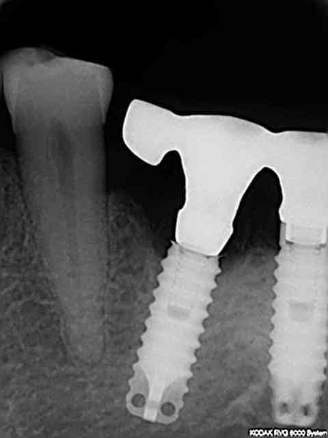
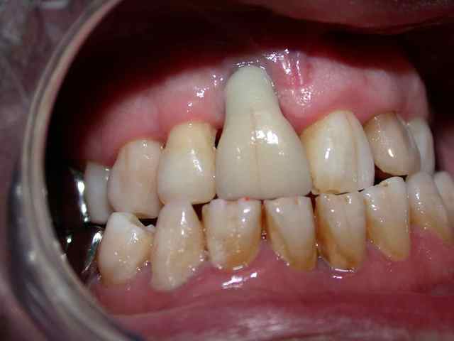
haaa bein voilà...fallait bien que çà arrive un jour...ptit cas tout chaud de cet aprèm...
faut dire que çà fait 2 ans que je ne l'ai pas vue...zéro pointé de maintenance...
hygiène bof...je l'avais pourtant prévenue!!!
l'implant en 22 va bien, l'image est bizarre du fait de son angulation...et s'il parait bien gros...c'est qu'il est bien gros (un 4.7/16!!!) car posé en EII et la racine de la 22 était énorme...
en 44/45 tout va bien, 34 lui aussi, 36 pas trop mal....mais 35!!!
bizarre quand même, j'ai sondé, pas de perte en lingual mais perte de 3mm en vestibulaire...
je l'ai mise sous AB, fait un bon nettoyage/aéropolissage, dit de bien reprendre l'hygiène, et rdv pour contrôle dans un mois...