Cookie Consent byPrivacyPolicies.comun cas comme je les aime...... - Eugenol

un cas comme je les aime......

joe

13/03/2008 à 22h45

ce sont des piliers pour un bridge vissé?


oxer

14/03/2008 à 01h42

oui, je crois reconnaître des piliers astra, c'est ça?

Si j'ai bien compris ta démarche, tu visses les piliers puis vissage des transferts d'empreinte sur ces mêmes piliers,ce qui nous donne une empreinte des piliers et non pas de l'implant. J'ai bien compris? (désolé, je débute en implanto).

Petite question: pourquoi utiliser cette technique au lieu de faire une empriente de l'implant?
C'est plus facile pour gérer le parallélisme ou des axes divergents? la hauteur de gencive?
Quel est l'intérêt de ce type de pilier par rapport à un pilier usiné par le labo (et soudé)?

Si c'est bien un pilier astra (j'ai oublié le nom), je pensais que ce genre de pilier était "réservé" aux implants tubérositaires (+ une prothèse adjointe au dessus). C'est ça ou je me trompe?

Merci de nous faire partager votre travail en live.


Spriford

14/03/2008 à 10h08

Pourquoi un bridge? il n'y a pas de pont? Seulement des unitaires non ?


alhoun

14/03/2008 à 14h03

en réalité, ce ne sont ni des empreintes de piliers, ni des empreintes d'implants, ce sont des empreintes de situation dans lesquelles on va visser des répliques préfabriquées, qu'elles soient de piliers ou d'implants selon ce que l'on souhaite faire...
l'avantage de ces piliers dans ce cas qui nous intéresse, c'est qu'il permet une prothèse complètement démontable en cas de pépin.
quant à la correction d'axe, oui, des piliers adaptables peuvent faire l'affaire, à condition que la partie qui va dans l'implant et la partie transgingivale soient usinées et non fabriquées artisanalement au laboratoire, ce qui garantit une précision et une adaptation optimales.
on peut aussi combiner infrastructure vissée/ cosmétique scellé, comme dans ce cas par exemple.

Infra fraisage iylmh8 - Eugenol
Prothèse m3637x - Eugenol

oxer

15/03/2008 à 00h58

alhoun Ecrivait:
-------------------------------------------------------
> en réalité, ce ne sont ni des empreintes de
> piliers, ni des empreintes d'implants, ce sont des
> empreintes de situation

merdum! Vous prenez un malin plaisir à perturber mes modestes connaissances en implanto. ;-)

dans lesquelles on va
> visser des répliques préfabriquées, qu'elles
> soient de piliers ou d'implants selon ce que l'on
> souhaite faire...
> l'avantage de ces piliers dans ce cas qui nous
> intéresse, c'est qu'il permet une prothèse
> complètement démontable en cas de pépin.

Si je vous suis bien, votre réhabilitation ressemblera alors à un "bridge sur embases usinées"? c'est ça où je mélange tout.

Je comprends tout à la fait l'opportunité de faire du démontable et de privilégier les pièces usinées avec votre technique, surtout en implanto. Mais de ce fait, les contraintes mécaniques ne sont-elles pas un peu trop reportées sur les vis (véritable point de faiblesse)?


> quant à la correction d'axe, oui, des piliers
> adaptables peuvent faire l'affaire, à condition
> que la partie qui va dans l'implant et la partie
> transgingivale soient usinées et non fabriquées
> artisanalement au laboratoire, ce qui garantit une
> précision et une adaptation optimales.
> on peut aussi combiner infrastructure vissée/
> cosmétique scellé, comme dans ce cas par exemple.

Très joli cas d'ailleurs!
Vous pourrez également complimenter votre prothésiste!


alhoun

15/03/2008 à 20h58


> Vous pourrez également complimenter votre
> prothésiste!


je ne le connais pas, il est à madagascar.


Logo vuaztn - Eugenol
mac

15/03/2008 à 21h17

tu bosses plus avec le vietnam?


alhoun

15/03/2008 à 21h46

trop cher, mon fils..


alhoun

05/04/2008 à 21h24

bon les gars, mauvaise nouvelle, le patient a disparu de la circulation :(


joe

06/04/2008 à 02h20

et il est allé à Rome et n'a pas voulu voir le pape?????


S8ysxdzhdqgw00w4q6m07a5d47q2 - Eugenol
gai-luron

06/04/2008 à 14h17

alhoun Ecrivait:
-------------------------------------------------------
> bon les gars, mauvaise nouvelle, le patient a
> disparu de la circulation :(


et il en était à quel stade?

comme quoi, la motivation, quand on a une bouche dans cet état...

cela inciterait-il à penser qu'il y a des patients "irrécupérables"?


Spriford

06/04/2008 à 14h27

On ne disparait pas comme ça! As-tu bien cherché partout?
S'il a fait un casse pour se payer ses dents, l'est p't'être en tole? T'es allé voir ?


200106 10150128247663588 709988587 6466236 5598391 n d7mksb - Eugenol
hallboy

07/04/2008 à 17h50

gai-luron Ecrivait:
-------------------------------------------------------
> alhoun Ecrivait:
> --------------------------------------------------
> -----
> > bon les gars, mauvaise nouvelle, le patient a
> > disparu de la circulation :(
>
>
> et il était à quel stade?


Au Velodrome je pense.

Donc tu devrais le retrouver tout guilleret dans al semaine.
>


alhoun

15/05/2008 à 16h59

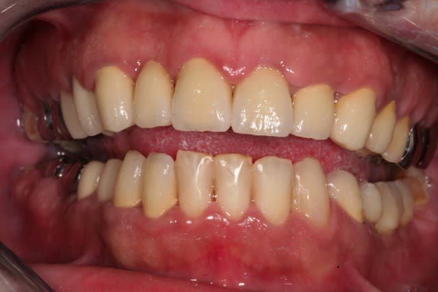
donc, tout le monde se foutant de mes blagues, je vous livre une image de la fin des travaux chez ce jeune patient.
j'ai reparcouru la discussion, et j'invite toutes les personnes un peu, comment dire, "catégoriques", à revoir leur copie.
les illustrations de ce cas sont payantes, je compte sur l'équipe pour transmettre.

Fin vestibulaire rlww9e - Eugenol
Latéral pswp4f - Eugenol

S8ysxdzhdqgw00w4q6m07a5d47q2 - Eugenol
gai-luron

15/05/2008 à 20h22

donc, il est ré-apparu.

Bravo.


Ylfwcw979cz1jnx9gfqeaxndiuzk - Eugenol
Algi

15/05/2008 à 21h12

J'arrive un peu tard.... j'ai suivi en diagonale... je vois hallboy dans pas longtemps, je vais le cuisiner sur sa visite chez "A" (on aura 3 heures de train aller et peut être autant retour).

En tout cas je pense que sieur alhoun a de l'avenir dans les cours de devis (reste à savoir être aussi bon que lui).

Chapeau mister!


alhoun

16/05/2008 à 19h39

en fait, il n'a jamais disparu... mais j'ai essayé de vous attendrir, sans succès.
pour répondre à annie, j'ai gardé la dv initiale.


024 vownvo - Eugenol
annie

16/05/2008 à 20h19

alhoun Ecrivait:
-------------------------------------------------------
> en fait, il n'a jamais disparu... mais j'ai essayé
> de vous attendrir, sans succès.
> pour répondre à annie, j'ai gardé la dv initiale.


ça date! elle est à quelle page ma question?;)


PS ; j'oubliais ça n' a pas l'air mal du tout! je dirais même tres bien,bravo!


Image 4 lrchtq - Eugenol
Alain

17/05/2008 à 02h11

Je découvre tardivement ce topic.

chapeau!


S8ysxdzhdqgw00w4q6m07a5d47q2 - Eugenol
gai-luron

17/05/2008 à 12h06

La pano fin de traitement, tu l'as?

s'te plait...


Spriford

17/05/2008 à 14h14

Comme GL !!!
S'il te plait Alhoun .


alhoun

17/05/2008 à 20h58

non pas de pano pour l'instant.
d'ici cet été...


024 vownvo - Eugenol
annie

18/05/2008 à 03h27

alhoun Ecrivait:
-------------------------------------------------------
> non pas de pano pour l'instant.
> d'ici cet été...

Si tu veux l'adresse de radiologues qui ont des délais de livraison plus courts?



alhoun

19/05/2008 à 10h56

surtout que je ne vois pas l'intérêt d'une pano à si brève échéance.


200106 10150128247663588 709988587 6466236 5598391 n d7mksb - Eugenol
hallboy

19/05/2008 à 21h12

Vraiment du joli boulot. Et qd on te voit, ça a lair tout simple.

ça l'est non????????

;)


1...91011