Cookie Consent byPrivacyPolicies.comun cas comme je les aime...... - Eugenol

un cas comme je les aime......

Moné

24/01/2008 à 11h49

Oué bof... non je plaisante... merci alhoun de poster un si joli cas en live!


200106 10150128247663588 709988587 6466236 5598391 n d7mksb - Eugenol
hallboy

08/02/2008 à 10h15

Le titulaire du cabinet étant surchargé, rien de tres grandiose à signaler ce jeudi: travail de motivation sur le patient pour conserver un haut niveau de maintenance paro; provisoire sur la 42. Confirmation d'un bel etat gingival sur tous les sites où a été pratiquée l'elongation coronaire.


LE + interessant, n'est pas la qualité du prat (là on commence à connaitre ) mais que probablement je n'aurais jamais proposé ce traitement à un gamin de 20/25 ans, boule à Z, piercing, survet de l'OM, etat de départ cf photos.
Et que si je l'avais proposé, je n'y aurais pas cru; notamment sur sa capacité à le financer et au moins autant sur la possibilité d'une reprise a main par le patient pour obtenir un niveau élévé de motivation au brossage.

ça fait qd même bcp d'erreurs de ma part, avant m^me de soigner le patient.


Des questions?


Logo vuaztn - Eugenol
mac

08/02/2008 à 10h42

pourquoi un survet de L'OM?


200106 10150128247663588 709988587 6466236 5598391 n d7mksb - Eugenol
hallboy

08/02/2008 à 10h50

Je sais pas : il avait un survet de l'OM!
Il aurait eu une Aston, j'aurais surement proposé + facilement. même si il était descendu de son break chasse en survet ( tres grosse faute de gout ).


Logo vuaztn - Eugenol
mac

08/02/2008 à 11h39

la question c'est mocassin ou pas?


200106 10150128247663588 709988587 6466236 5598391 n d7mksb - Eugenol
hallboy

08/02/2008 à 12h41

blancs. vernis.


Logo vuaztn - Eugenol
mac

08/02/2008 à 13h18

à glands?


alhoun

08/02/2008 à 13h57

vous fatiguez pas les gars, quand je lui ai dit que hallboy supportait le psg, il a annulé tous ses rdv, en le traitant d'inc......
je ne m'en suis sorti à titre personnel qu'en montrant le tatouage de diouf sur mon torse.


200106 10150128247663588 709988587 6466236 5598391 n d7mksb - Eugenol
hallboy

08/02/2008 à 14h21

Ce qu'il dit pas le Sekularak des provinces, c'est qu'il a un tatouage de Fernandez dans le dos!!
( et des bas resilles qu'il m'a fait admirer dans sa salle de sté, mais c'est une toute autre histoire)



Ps : oui, à glands. Bien sur.

PPS: inc.... c'est comme enc...???


alhoun

08/02/2008 à 20h30

exactement, mais avé l'assent..


024 vownvo - Eugenol
annie

09/02/2008 à 23h25

hallboy Ecrivait:

je
> n'aurais jamais proposé ce traitement à un gamin
> de 20/25 ans, boule à Z, piercing, survet de l'OM,
> etat de départ cf photos.
> Et que si je l'avais proposé, je n'y aurais pas
> cru; notamment sur sa capacité à le financer et au
> moins autant sur la possibilité d'une reprise a
> main par le patient pour obtenir un niveau élévé
> de motivation au brossage.
>
> ça fait qd même bcp d'erreurs de ma part, avant
> m^me de soigner le patient.
>
>
> Des questions?


Tu vas chez alhoun prendre des cours de devis?



200106 10150128247663588 709988587 6466236 5598391 n d7mksb - Eugenol
hallboy

09/02/2008 à 23h55

J'y allais pour voir de la prothese et des compos. j'ai été servi avec une simplicité qu'on ne croise pas à tous les coins de rue. Un pote de lycée, installé à 200 metres de chez moi et devenu prof de fac, l'a semble t il egaré.
Accessoirement ( c'est un side effect ), l'ampleur des traitement entrepris sur des patients lambda m'a un peu ouvert l'esprit.

Ne te tracasse pas , de ce coté là, tu es à l'abri.


024 vownvo - Eugenol
annie

10/02/2008 à 06h41

hallboy Ecrivait:
-------------------------------------------------------
> J'y allais pour voir de la prothese et des compos.
> j'ai été servi avec une simplicité qu'on ne croise
> pas à tous les coins de rue. Un pote de lycée,
> installé à 200 metres de chez moi et devenu prof
> de fac, l'a semble t il egaré.
> Accessoirement ( c'est un side effect ), l'ampleur
> des traitement entrepris sur des patients lambda
> m'a un peu ouvert l'esprit.
>
> Ne te tracasse pas , de ce coté là, tu es à
> l'abri.

360° c'est difficile d'ouvrir davantage,d'ou ma difficulté! tu as peut être de la marge!



Logo vuaztn - Eugenol
mac

10/02/2008 à 09h23

hallboy Ecrivait:
-----------------------------------------------------
> Accessoirement ( c'est un side effect ), l'ampleur
> des traitement entrepris sur des patients lambda
> m'a un peu ouvert l'esprit.


raconte.


200106 10150128247663588 709988587 6466236 5598391 n d7mksb - Eugenol
hallboy

10/02/2008 à 12h38

mac Ecrivait:
-------------------------------------------------------
> hallboy Ecrivait:
> --------------------------------------------------
> ---
> > Accessoirement ( c'est un side effect ),
> l'ampleur
> > des traitement entrepris sur des patients
> lambda
> > m'a un peu ouvert l'esprit.
>
>
> raconte.


Tres simplement, une des patiente embarquée pour(schematiquement)paro puis bridge complet, est arrivée avec un partiel resine. Son precedent dentiste, en la voyant ( noire, la quarantaine, aucun signe exterieur d'aisance financiere) a fait un choix pour elle. J'aurasi probablement eu le meme a peu de choses pres ( stellite, apres avoir evoqué de la fixe tout en l'ecartant en n'en presentant que le seul inconvenient : le cout. sans dire que c'etait le traitement a faire et en mettre en evidence les avantages. D'ailleurs, il n'y a pas d'avantage: c'est LE traitement.)En cas de refus on peut toujours proposer un stelitte.

En gros meme chose avec le jeune supporter de l'om. j'aurais probablement choisi à la place du patient et au lieu d'un traitement de grande qualité, ça se seraot terminé par 2 plaques qu'il aurait peut-etre mem pas mises.

Je ne parle pas d'honoraires là: je dis seulement qu'on ( moi) dirige les patients en fonction d'a priori que j'ai sur eux. Si une fois eclairés, ils decident d'avoir un stellite, on peut toujours faire un stellite, en essayant de le faire au mieux.
Certaines choses sont liées: si on ne maitrise pas ( ou si on ne gere pas à travers ses correspondants ) la paro, l'implanto, les facettes, les inlays; on ne les proposera pas. et on entravera le choix du patient.

Pour ce qui est de la dentisterie à 2 vitesses, comme on change de voiture 40 fois par semaine, il faut peut-etre ne pas exonerer le pilote. ça m'embete un peu de realiser si tard que c'est ma pomme.


Logo vuaztn - Eugenol
mac

10/02/2008 à 13h33

hallboy Ecrivait:
---------------------------------------------------
> Certaines choses sont liées: si on ne maitrise pas
> ( ou si on ne gere pas à travers ses
> correspondants ) la paro, l'implanto, les
> facettes, les inlays; on ne les proposera pas. et
> on entravera le choix du patient.


on est d'accord.

on maîtrise pas donc on propose pas et en plus on critique ceux qui proposent, pas pour toi mais pour la majorité.


200106 10150128247663588 709988587 6466236 5598391 n d7mksb - Eugenol
hallboy

11/02/2008 à 00h54

annie Ecrivait:
-------------------------------------------------------
> hallboy Ecrivait:
>
> > m'a un peu ouvert l'esprit.
> >
> > Ne te tracasse pas , de ce coté là, tu es à
> > l'abri.
>
> 360° c'est difficile d'ouvrir davantage,d'ou ma
> difficulté! tu as peut être de la marge!
>
>
Pour une fois Annie, je le dis publiquement, tu as raison: tu tournes en rond.;)



024 vownvo - Eugenol
annie

11/02/2008 à 02h22

hallboy Ecrivait:
-------------------------------------------------------
> annie Ecrivait:
> --------------------------------------------------
> -----
> > hallboy Ecrivait:
> >
>

> >
> >
> Pour une fois Annie, je le dis publiquement, tu as
> raison: tu tournes en rond.;)
>
>
Probable! le mouvement perpétuel!
pour en revenir aux plans de traitement,est ce une chance pour une non implantaire de n'avoir pas eu trop d"édentations latérales postérieures,mais j'ai posé tres peu de stellites dans mon exercice,car je n'aurais pas aimé en porter moi même,donnant toujours la preference a la prothèse fixe proposée en premier,comme le fait chaque praticien,je présume!





alhoun

11/02/2008 à 10h32

annie en derviche tourneur : ne t'inquiète pas annie, au bout du tournoiment, il y a l'extase, à ce qu'il paraît: toujours ça de pris!


Coccinelle mgl0qv - Eugenol
murielle

16/02/2008 à 14h21

Moi, quand je serai grande, le métier que je veux faire, c'est "alhoun"!


alhoun

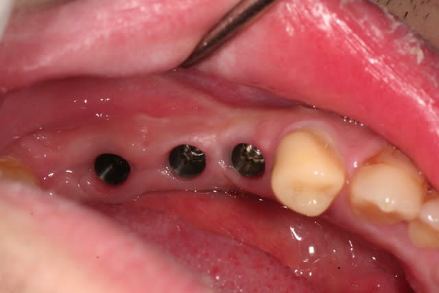
13/03/2008 à 13h01

on continue avec ce cas...
ces quelques images ont pour but de dédramatiser la prothèse sur implants, et bien montrer que ce n'est pas pire qu'Ikéa...

Puit implant djwt3l - Eugenol
Piliers kuddeq - Eugenol
Transferts ksmdtg - Eugenol
Empreine u0klsn - Eugenol

alhoun

13/03/2008 à 13h03

pour ceux qui ne sont pas familiers avec ce type de procédure, les questions sont les bienvenues.


Fouilla h6plsy - Eugenol
fouilla

13/03/2008 à 14h30

est ce que tu solidarises tes transferts entre eux avant l'empreinte ?
tu ne protèges pas tes vis pour devisser plus facilement en pick up avec cire ou autre perso je mets de la cire d'ortho(celle pour éviter les blessures) qu'on enlève très facilement ?http://www.eugenol.com/eugenol/file.php?21,file=14295
quel matériau d'empreinte(DMG) ?
.


Logo vuaztn - Eugenol
mac

13/03/2008 à 15h57

alors on est passé aux kits cresco!!!

héhé


alhoun

13/03/2008 à 17h53

oui, j'ai décidé de gagner un peu d'argent...
non, je ne solidarise pas sur une petite portée comme ça. quand c'est plus grand, je passe à l'empreinte au plâtre.
ici c'est du pentasoft, et si tu regardes bien, les têtes de vis sont accessibles pour le dévissage.


1...891011