Cookie Consent byPrivacyPolicies.combruxogirl - Eugenol

bruxogirl

Fouilla h6plsy - Eugenol
fouilla

08/11/2007 à 13h14

murielle a posté sur un cas de bruxisme en demandant quelle solution envisagée




alors je me lance et propose un cas similaire réalisé en plusieurs étapes ...



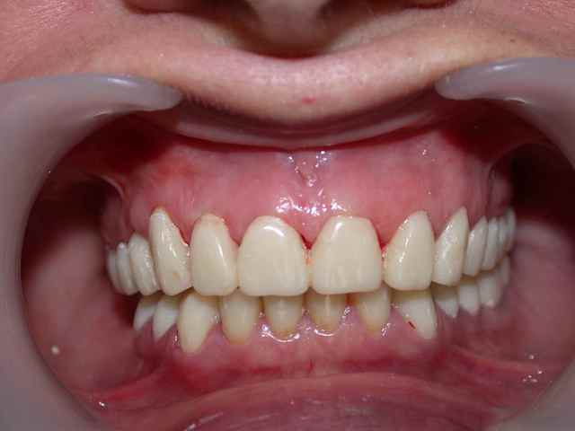
photos et pano du cas initial .



il faut vraiment que je me mette à planche photo des astuces sont bienvenues si vous en avez à ce sujet merci .

0 s7sx2e - Eugenol
1 mpxme9 - Eugenol
2 iqn53w - Eugenol
3 tc1fhb - Eugenol

Fouilla h6plsy - Eugenol
fouilla

08/11/2007 à 13h27

le cas commence en 2005.




Tout d'abord j'ai réalisé l'avulsion de 47.




empreintes d'études.
mise en articulateur programmable (SAMII)




puis goutière occlusale pour essayer de trouver une DVO semblant acceptable pour la patiente nous permettant de reconstruire dans des conditions esthétiques et fonctionelles.


réalisation des endos (atteintes pulpaires évidentes compte tenu du bruxisme) mars avril 2005



mai 2005 préparation des dents supports et mise en place des bridges provisoires haut et bas



toujours via le SAM II (au passage petite technique pour pouvoir conserver la DV en transférant de l'articu au vivant)



mise en place de deux implants en 46 47 juin 2005




octobre novembre 2005 réalisation des inlays cores



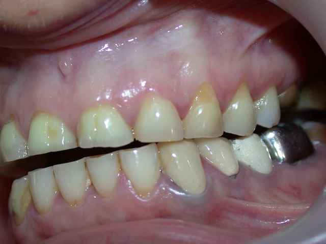
ci après pano et photos du bridges provisoires certes pas extraordinaires au niveau du ciment provisoire mais petite fatigue au bout de 4 heures de travail en bouche .



Pano 01062005 tymdtf - Eugenol
Pro articu jtwzu5 - Eugenol
Pro articu 2 bpyfwf - Eugenol
Bri pro en articu cfsuoc - Eugenol

Fouilla h6plsy - Eugenol
fouilla

08/11/2007 à 13h31

le transfert de DVO
et photo bouches

Transfert dvo  osdf5w - Eugenol
Bridge pro posé p9lwhb - Eugenol
2 clous gpolqa - Eugenol

Fouilla h6plsy - Eugenol
fouilla

08/11/2007 à 13h35

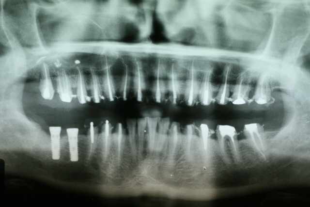
pano avec inlays cores .

bridge pro scellé en provisoire c'est mon "laboratoire d'essai" ce qui va valider la dvo pendant toute la phase de cicatrisation et d'adaptation occlusale...


jamais de descellement ....



cette pano est en date du mois de 05/2006


Fouilla h6plsy - Eugenol
fouilla

08/11/2007 à 13h37

.
j'ai donc fait patienter pendant 11 mois sous provisoires pour valider la DVO et l'occlusion si le compte est bon

Pano 13052006 dcktdn - Eugenol

Fouilla h6plsy - Eugenol
fouilla

08/11/2007 à 13h43

maintenant j'attends quelques commentaires pour montrer la suite.


Wra300x300 gotue6 - Eugenol
hop

08/11/2007 à 14h06

d'accord !

c'est quoi dans le carton jaune derrière dans le fond sur l'image " bri pro en articu.jpg (102kB) " ?


Fouilla h6plsy - Eugenol
fouilla

08/11/2007 à 14h07

photos du travail provisoire

comment auriez vous procéder pour transférer la dvo au bout de ces onze mois qui l'ont validé ?






Cuisinier2 vnbbxx - Eugenol
jeff2

08/11/2007 à 14h13

fouilla Ecrivait:

> comment auriez vous procéder pour transférer la
> dvo au bout de ces onze mois qui l'ont validé ?


Euh c'est une blague ou quoi?
Ou alors c'est une question pour un second année?

Question plus judicieuse, comment es tu sur et d'apres quels critéres juges tu cette DVO correcte?


D'autre part je trouve ton plan d'occlusion sur l'articulateur drolement plat. Est ce particulier a ce type d'articulateur?


Fouilla h6plsy - Eugenol
fouilla

08/11/2007 à 14h41

pour moi il ne s'agissait pas d'une blague ni d'une question adressée à un seconde année car j'ai pris un temps important pour cette étape c'est le pourquoi de cette question car j'aimerai bien prendre une idée meilleure que ma méthode pour le faire(désolé de te décevoir par ma franchise dans la réponse il ne s'agit que de ma modeste pratique).

il est vrai que le plan d'occlusion est vraiment plat, ce n'est absolument pas propre à l'articulateur mais c'est ce que j'avais déterminé.


par ailleurs comment en être sur : la preuve par le temps -aucun problème musculaire pour cette patiente
-pas de problèmes de descellement des structures provisoires
-état paro satisfaisant et stable.


Fouilla h6plsy - Eugenol
fouilla

08/11/2007 à 14h42

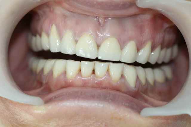
pour poursuivre la fin du cas la pose en mai 2006
du travail conventionnel (que j'espère définitif...)

plusieurs remarques :

je me suis un peu battu avec cette patiente pour la maintenance (bloc incisif inférieur..)

teinte A1 souhaitée par la patiente.

j'ai d'ailleurs réalisé un blanchiment en 2007 des 4 incisives inférieures pour aligner la teinte (en fait une fois que la maintenance a été meilleure ).

Pose xets5o - Eugenol
Pose1 jzqzsy - Eugenol

Cuisinier2 vnbbxx - Eugenol
jeff2

08/11/2007 à 14h54

fouilla Ecrivait:
j'aimerai
> bien prendre une idée meilleure que ma méthode
> pour le faire(désolé de te décevoir par ma
> franchise dans la réponse il ne s'agit que de ma
> modeste pratique).

Bon , cela me parait simple pourtant de segmenter ton bridge provisoire en trois morceaux et de faire trois clefs en enlevant à chaque coup un morceau différent?
Mais peut être je n'ai pas compris ta question
*
>
> il est vrai que le plan d'occlusion est vraiment
> plat, ce n'est absolument pas propre à
> l'articulateur mais c'est ce que j'avais
> déterminé.


je n'ai pas encore vu au cours de trente ans de pratique, un plan d'occlusion parralléle au plan de francfort, mais là encore il y a des exceptions sans doute

> par ailleurs comment en être sur : la preuve par le temps -aucun problème musculaire pour cette patiente
-pas de problèmes de descellement des structures provisoires
-état paro satisfaisant et stable.

comment apprecies tu les problemes musculaires?
l'interrogatoire, ou tu touches?
>
>



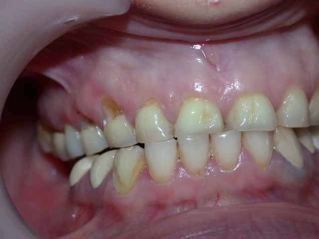
Fouilla h6plsy - Eugenol
fouilla

08/11/2007 à 15h00

c'est bien ce que j'ai réalisé mais que de temps passé.

pour les tests : ce type de patiente est suffisament consciente de ses problèmes musculaires subis depuis des années pour donner une idée évocatrice de son état.

photo prise en juillet 2007

Juillet 2007 gxc0k5 - Eugenol

alhoun

08/11/2007 à 15h31

joli cas. assurément, tu as bien travaillé.
mais tu as fait appel à un prothésiste pas très doué. domage.
autre observation: pourquoi pas un conjonctif enfoui au niveau de 13?

je dis ça, c'est pas pour dire, mais c'est pour dire, hein.


Fouilla h6plsy - Eugenol
fouilla

08/11/2007 à 15h48

entièrement d'accord avc toi, mais si tu prends la première photo le problème est déja existant et sera plus facilement résolu en déposant cette structure j'ai morcelé le bridge en 6 (27-26//25-24-23//22-21//11-12//13-14-15//16-17) en cas de problème dans le temps.
ce d'autant qu'il est toujours scellé léger


alhoun

08/11/2007 à 15h55

et pourquoi pas des unitaires?


Avatar jt8tlq - Eugenol
bogenom

08/11/2007 à 16h09

Belle présentation merci
vivement les photos dans 5, 10 ans


Fouilla h6plsy - Eugenol
fouilla

08/11/2007 à 16h26

Il n'y a pas de réelle explication par rapport au choix entre unitaires ou solidarisées mais j'avais une grande tentation de solidariser plusieurs dents par rapport au bruxisme initial de la patiente


Spriford

08/11/2007 à 16h33

Et son bruxisme, qu'en est-il ? Il a disparu ou bruxe-t-elle encore ?


Fouilla h6plsy - Eugenol
fouilla

08/11/2007 à 16h37

pour te répondre si elle bruxait encore aucune des céramiques présente sur l'arcade ne résisterai à ça ,quid des implants .


Non elle ne bruxe plus.



tout n'est scellé que très légèrement et rien n'a bougé (depuis deux ans en tout cas.)


Spriford

08/11/2007 à 16h51

Merci, excuse d'insister, mais qu'est ce qui fait qu'elle ne bruxe plus ?


Fouilla h6plsy - Eugenol
fouilla

08/11/2007 à 17h58

1) augmentation de DV
2) apparent équilibre musculaire
3) composante stress a changé aussi en même temps (travail totalement different)entre les deux situations cliniques, est passée d'un poste à forte responsabilité à un poste que l'on qualifiera de plus ludique...
composante essentielle !!!!
4)occlusion convenable.


bru

08/11/2007 à 18h01

et du botox dans les masseters...


Fouilla h6plsy - Eugenol
fouilla

08/11/2007 à 18h29

si mes renseignements sont exacts cette technique est déja exploitée à la salpétrière pour le traitement des SADAM ou alors on m'a mal renseigné...


Spriford

08/11/2007 à 19h18

Evidemment le résultat est super , c'est un joli cas d'école, mais ...
J'ai encore une question: fallait-il vraiment dévitaliser en particulier les incisives sup: je trouve parfois des gencives bleutées à cause des colorations des racines en-dessous.
Bien sûr, c'est pas pour toute suite, mais je craindrais que ce joli rose ne se ternisse, non?