Cookie Consent byPrivacyPolicies.combruxogirl - Eugenol

bruxogirl

Spriford

08/11/2007 à 19h46

Pour me faire pardonner de mes questions naïves,et te remercier de ce joli cas...


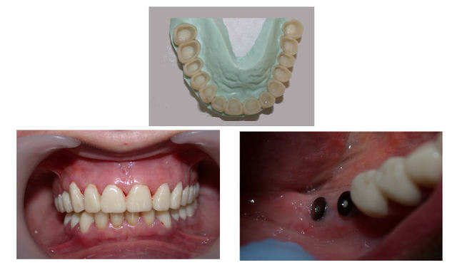
Fouilla 1 tluvzl - Eugenol
Fouilla 2 afwggk - Eugenol
Fouilla 3 qi0yuv - Eugenol
Fouilla 4 j07nhd - Eugenol

Fouilla h6plsy - Eugenol
fouilla

08/11/2007 à 19h49

l'atteinte coronaire était telle que l'on voyait la pulpe par transparence ....


Utilisateur banni

08/11/2007 à 19h52

Cas beau...
Merci de l'avoir posté en tout cas...


Spriford

08/11/2007 à 20h07

J'suis pas convaincu d'autant que tu as augmenté la DVO.
(Ce n'est en aucun cas une critique , je suis minuscule face à ce cas.)


Fouilla h6plsy - Eugenol
fouilla

08/11/2007 à 20h42

pour te convaincre si j'y arrive .

Rvg avant tt xyzyms - Eugenol

carole

08/11/2007 à 21h13

yes..il est clair qu'il y a des doigts de fée derrière le masque qui a croisé le chemin de cette patiente...

je suis aussi étonnée des endo. J'ai eu la chance de pouvoir rendre le sourire à un patient dans un cas similaire sans une seule endo (pauvre ben... :) bref, vu qu'il faut gagner en hauteur, l'option que j' avais retenue était de tout modeler en bouche en composite low cost,de laisser vivre le patient avec, puis de tailer les dents reconstituées comme des dents naturelles. La compensation de l'usure collait à l'épaisseur pour des procera...et ben a pu aller au golf, 0 endo...mais les risques de necroses plus tard et une grosse conso d' anesthesiques!!!!!
ps: bruxisme = usure lente et progressive...donc reaction pulpaire svt ok...si on taille pas mais qu'on ajoute.... :)


024 vownvo - Eugenol
annie

08/11/2007 à 22h08

Je ne sais si j'ai sauté un épisode,mais il aurait été interessant de voir le bridge définitif en occlusion,je n'ai vu que le provisoire
J'avais dit un jour à Hallboy que la correction de l'occlusion pouvait souvent faire reculer ou disparaitre le bruxisme, j'ai eu droit à trois pages sur mon incompétence!
merci de confirmer au moins sur un cas c'est déja ça!je me sens moins seule!


Hinano4 el1z8n - Eugenol
tahiti1

08/11/2007 à 22h20

Spriford Ecrivait:
-------------------------------------------------------
> fouilla Ecrivait: il faut vraiment que je me mette
> à planche photo des astuces sont bienvenues si
> vous en avez à ce sujet merci .
>
> Pour me faire pardonner de mes questions naïves,et
> te remercier de ce joli cas, si c'est ce genre de
> planche je peux te dire comment on fait.
>
>
>
Bravo pour le cas clinique... et pour les planches photos Spriford, c'est quoi l'astuce de mise en page des images (quel logiciel?) c'est peut être traité dans un autre post spécial photo.


Dr - Eugenol
JeRis

08/11/2007 à 22h45

carole Ecrivait:
-------------------------------------------------------
> yes..il est clair qu'il y a des doigts de fée
> derrière le masque


... oui, mais il faut qu'elle arrête de se mettre les doigts dans le nez :)


Fouilla h6plsy - Eugenol
fouilla

08/11/2007 à 23h11

demain je posterai une photo du bridge en occlusion pour faire plaisir à annie .
@+
.


024 vownvo - Eugenol
annie

08/11/2007 à 23h12

fouilla Ecrivait:
-------------------------------------------------------
> demain je posterai une photo du bridge en
> occlusion pour faire plaisir à annie .
> @+
> .
merci d'avance!


200106 10150128247663588 709988587 6466236 5598391 n d7mksb - Eugenol
hallboy

09/11/2007 à 01h51

annie Ecrivait:
-------------------------------------------------------
> Je ne sais si j'ai sauté un épisode,mais il aurait
> été interessant de voir le bridge définitif en
> occlusion,je n'ai vu que le provisoire
> J'avais dit un jour à Hallboy que la correction de
> l'occlusion pouvait souvent faire reculer ou
> disparaitre le bruxisme, j'ai eu droit à trois
> pages sur mon incompétence!
> merci de confirmer au moins sur un cas c'est déja
> ça!je me sens moins seule!



Re: bruxogirl

Envoyé par: fouilla

Date: Jeu 8 novembre 2007 16:58:44
1) augmentation de DV
2) apparent équilibre musculaire
3) composante stress a changé aussi en même temps (travail totalement different)entre les deux situations cliniques, est passée d'un poste à forte responsabilité à un poste que l'on qualifiera de plus ludique...
composante essentielle !!!!
4)occlusion convenable.


024 vownvo - Eugenol
annie

09/11/2007 à 01h55

hallboy Ecrivait:
--------------------
>
>
>
> Re: bruxogirl
>
> Envoyé par: fouilla
>
> Date: Jeu 8 novembre 2007 16:58:44
> 1) augmentation de DV
> 2) apparent équilibre musculaire
> 3) composante stress a changé aussi en même temps
> (travail totalement different)entre les deux
> situations cliniques, est passée d'un poste à
> forte responsabilité à un poste que l'on
> qualifiera de plus ludique...
> composante essentielle !!!!
> 4)occlusion convenable.


ET ???



200106 10150128247663588 709988587 6466236 5598391 n d7mksb - Eugenol
hallboy

09/11/2007 à 02h05

Excuse moi Fouilla: tres joli cas, tres bien mené.
Pour toutes les raisons qui t'ont amené a ne sceller ( et sceller leger ) qu'au bout de pas mal de temps, j'aurais moi aussi opté pour des unitaires.


Fouilla h6plsy - Eugenol
fouilla

09/11/2007 à 09h45

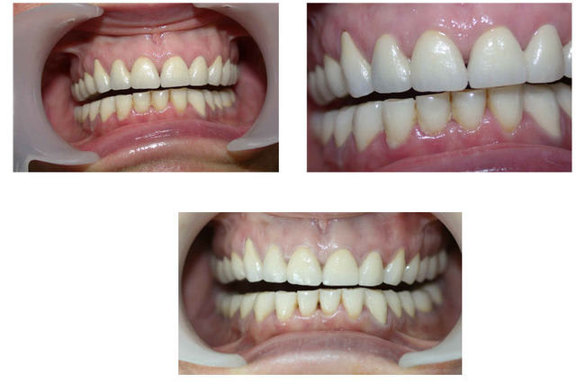
pour annie ...

En occlusion gn1lf8 - Eugenol

Fouilla h6plsy - Eugenol
fouilla

09/11/2007 à 09h47

au passage en comparant photo initiale et celle ci après réalisation prothétique le recentrage des milieux est presque bien...


Cuisinier2 vnbbxx - Eugenol
jeff2

09/11/2007 à 10h08

Je crois que sans le faire exprés, tu as présenté deux photos la 1 et la 2, dans le premier post qui semblent representer les latéralités gauche et droite.
comme on le voit la lateralité droite est facile et la gauche, beaucoup plus importante dans le désengrénement.
Ce qui fait penser aux AFMP de Planas et qui fait comprendre qu'une mastication préférentielle à droite depuis longtemps, a conduit à un dévellopement plus important du max sup droite qui explique le decentrage des points interincisifs.
ce qui étant devenu une config osseuse, ne mérite pas qu'on essaye de recentrer quoi que ce soit
To post aurait mérité d'être aussi en occlusodontie


Spriford

09/11/2007 à 10h26

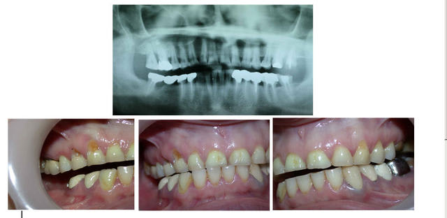
A propos d'occluso: Les mylolyses sur 13 et 14 auraient-elles été provoquées par des malocclusions à leur niveau?


Fouilla h6plsy - Eugenol
fouilla

09/11/2007 à 10h28

merci docteur...


Fouilla h6plsy - Eugenol
fouilla

09/11/2007 à 10h32

pour les mylolyses, je ne saurais te répondre et toi jeff ?


Cuisinier2 vnbbxx - Eugenol
jeff2

09/11/2007 à 10h54

On sait que c'est un facteur agravant en tout cas lors des restauration de collet, les dents se "torderaient" lors des explorations létarales, de là à soupconner une fragilité au niveau du collet lors de ces torsions...


Ca serait sympa maintenant que tout est reconstitué de voir si les afmp sont égaux sinon, c'est plein pot une mastication unilaterale droite et avec les implants c'est pas trop bon


200106 10150128247663588 709988587 6466236 5598391 n d7mksb - Eugenol
hallboy

09/11/2007 à 11h18

C'est cité dans la litterature: les prismes d'email fonctionneraient comme des quartz, avec creation de micro courants qui dans la salive entraineraient leur dissolution. C'est la seule explication raisonnable que j'ai pu lire pour leur etat de surface.
Ce qui ne veut pas dire que ce soit la bonne.


024 vownvo - Eugenol
annie

09/11/2007 à 17h07

fouilla Ecrivait:
-------------------------------------------------------
> pour annie ...

merci,Fouilla!



Fouilla h6plsy - Eugenol
fouilla

11/11/2007 à 22h48

pour reparler d'occluso au niveau de ce cas :

En utilisant le SAMII j'ai essayé(et je pense quand même y être un peu arrivé je m'expliquerai après) à faire travailler cette patiente en RC.
c'ESt le montage que nous avons réalisé dès le bridge provisoire, nous ne l'avons pas monté en PIM sur l'articu puis simplement augmenté la DV sur la tige incisive pour la réalisation provisoire.
mais j'ai transféré sur l'articu la patiente en RC pour qu'en fin on obtienne PIM en RC le plus possible.
ma remarque sur le recentrage des milieux n'était pas pour faire remarquer que c'est ce que nous recherchions mais plutôt d'observer qu'en modifiant Pim en RC on avait presque obtenu ce recentrage des milieux.
si on compare photo initale en occlusion la patiente est presque en articulé croisé alors qu'avec la photo du bridge conventionnel en occlusion on a vraiment une impression d'un réel recul mandibulaire que nous n'aurions pas obtenu en augmentant de façon simple la DV sur la tige incisive et c'est pour cette raison que je pense réellement que l'on a obtenu un fonctionnement en RC.
je vais bientôt revoir cette patiente et je ferai les photos pour nous permettre de voir si les afmp sont égaux ou non.

tout ceci m'aura permis de découvrir la section occluso de nonol : j'étais déja conscient de beaucoup de choses parfois de mon inconscience même, mais choisir c'est déja renoncer...
et mes choix de formations n'ont pas été portés sur l'occlusion versus planas mais déja occlusoconscient le fait d'utilisé u articulateur semi programmable a été un premier pas vers la sagesse, mais il n'est pas rare que le prothésiste me rende la tige incisive à l'envers...(tige au maxillaire table en bas) comme sur les photos ce que personne n'a osé me dire très certainement par délicatesse...
a très bientôt donc pour les photos.


200106 10150128247663588 709988587 6466236 5598391 n d7mksb - Eugenol
hallboy

12/11/2007 à 11h13

il n'y a pas de magie particuliere associée a la RC: c'est simplement la seule position de depart reprductible ( un certain temps ) que tu puisse partager avc ton protho. Positionner ton patient dans le plan sagital et lui fournir toutes les infos sensorielles pour qu'il puisse s'adapter le plus facilement est tres important: il faut qu'il soit dans une enveloppe de fonctionnement fluide.
Tu as tres bien bossé. ensuite il y a une part ou on controle moins, c'est l'arret du bruxisme, et c'est la part du patient , dans laquelle tant de choses interviennent.