Cookie Consent byPrivacyPolicies.combruxogirl - Eugenol

bruxogirl

Fouilla h6plsy - Eugenol
fouilla

10/07/2008 à 16h29

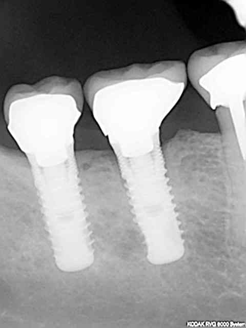
revu la patiente aujourd'hui , fait rvg sur 46 47 pour voir la réponse implantaire , et à postériori tout va bien .
les photos à suivre car pas d'apn au cabinet aujourd'hui mais cette récession sur 13 qui taquinait certains vous verrez ...
.

Implant 072008 kcs9ey - Eugenol

Fouilla h6plsy - Eugenol
fouilla

26/10/2009 à 16h39

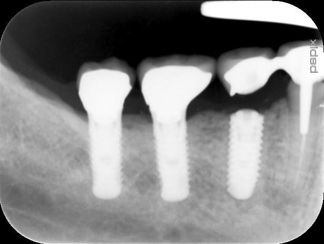
tiens je l'ai revu aujourd'hui
elle n'a encore rien cassé....tssssss

Bruxogirl 102009 vihsv9 - Eugenol

S2y2o1v7q53ws4r5wy6ou8czrpom - Eugenol
pxav

26/10/2009 à 17h52

joli travail!

--
xbk


Fouilla h6plsy - Eugenol
fouilla

18/03/2011 à 18h01

radio en 2011
ça va non ?

--
.

012011 wsypdn - Eugenol

tungstene

18/03/2011 à 19h10

On devrait avoir plus de cas comme ca !
C'est très instructif et surtout très motivant, on a presque envie de se lancer, presque..


juninho56

20/03/2011 à 19h41

Très beau cas!

pourrais tu stp, si tu m'excuses de te tutoyer, décrire plus en détails comment tu as évaluer ta DVO supposée acceptable en vue de la réhabilitation avec la gouttière occlusale.
Ou si quelqu'un a d'autres techniques à proposer?


Blocperso talon jer3sl - Eugenol
mrquentin

08/04/2012 à 21h25

bonne question: comment évaluer la DVO?
la remonter petit à petit (plusieurs gouttières d'épaisseurs différentes) jusqu'au maximum? comment savoir qu'on ne peut plus élever la DVO?


Fouilla h6plsy - Eugenol
fouilla

06/05/2015 à 19h39


tiens pour m'amuser j'ai revu la patient aujourd'hui et au bout de 9 ans on a perdu la 45 bon on lui a remis un petit clou l'année dernière et refait sa 45 sur implant (le fait de les avoir fait par trois m'a permis une temporisation facile...)
la réhabilitation a maintenant dix ans d vie en bouche les implants sont toujours la mais pas la 45

--
.

Bruxogirl suite bbcfre - Eugenol

Fouilla h6plsy - Eugenol
fouilla

03/04/2017 à 15h46

12 ans et on attaque l'implanto à gauche


--
.

Bruxogirl 2 orikum - Eugenol

S2y2o1v7q53ws4r5wy6ou8czrpom - Eugenol
pxav

03/04/2017 à 17h01

ce qui est troublant, c'est de constater sur les radios de début que les soins sont bien fait et que malgré ça, la patiente à réussi à tout déglinguer (16/17 et autres)un très bel exemple de la nécessité de ne pas critiquer les précédents soignants...
bon courage pour la suite et merci de nous faire suivre tes cas dans la durée.


--
xbk
"Si tous ceux qui croient avoir raison n'avaient pas tort, la vérité ne serait pas loin" Dac Pierre