Cookie Consent byPrivacyPolicies.comScrewpostator - Eugenol
Image odged8 - Eugenol
ploc

11/11/2008 à 13h18

euh...........merci
j'ai firefox mais raté...
choip,ne te gênes surtout pas pr modifier mes photos et les remettre bien si cela t'est possible
aucun instinct de propriété sur elles,au contraire j'en serais ravie:)


Grueavatar nptrc9 - Eugenol
Le Choixpeau magique

11/11/2008 à 17h13

J'aurais bien aimé t'aider ploc (j'ai essayé), mais j'ai eu la mauvaise idée de mettre à jour flash sur mon ordi (flash 10), et depuis je ne peux plus poster aucun document sur le nonol.


Hinano4 el1z8n - Eugenol
tahiti1

11/12/2008 à 10h34

Incroyable ce cas de screwpost sur des dents lactéales!

Pour aider ploc avec ces deux photos trouvées sur le fil rire et sourire d'un enfant:

Dscn1843 1 jdqfaj - Eugenol
Dscn1842 1 ejahfm - Eugenol

asma 77

11/12/2008 à 17h56

ouuups
c est pas bon
il travaille sans gants


M xowzvs - Eugenol
orvieto2

13/12/2008 à 11h39

" Incroyable ce cas de screwpost sur des dents lactéales! "

Faut pas croire que la créativité se limite à la pédodontie.
En implanto aussi, ya des pointures . Voici mon coup de coeur de la semaine :

Top implant kabcbe - Eugenol

Pepsi tmi4vp - Eugenol
cartman

13/12/2008 à 18h48

orvieto2 écrivait:
------------------
> " Incroyable ce cas de screwpost sur des dents lactéales! "
>
> Faut pas croire que la créativité se limite à la pédodontie.
> En implanto aussi, ya des pointures . Voici mon coup de coeur de la semaine :

comme pour les dds, il y a des implants inclus aussi.


024 vownvo - Eugenol
annie

14/12/2008 à 03h10

orvieto2 écrivait:
------------------
> " Incroyable ce cas de screwpost sur des dents lactéales! "
>
> Faut pas croire que la créativité se limite à la pédodontie.
> En implanto aussi, ya des pointures . Voici mon coup de coeur de la semaine :



Joli:)


3f3boxni50k58rq7e9ce9ddqrxgk - Eugenol
dentiste57

14/12/2008 à 23h56

tiens ? je l'avais oublier celle là !

merci la cpam de nous demander de faire ces si merveilleuses restaurations!

Incrustator h2vzzx - Eugenol
Sans titre 1 jezudc - Eugenol
Incrustator in radiculor yz9pwk - Eugenol

Grueavatar nptrc9 - Eugenol
Le Choixpeau magique

15/12/2008 à 00h45

Le foulé ça peut quand même être autre chose qu'un amg sur un screw post !


Utilisateur banni

15/12/2008 à 09h01

Sur ce coup là, le mec il s'est pas foulé...


Wolford hm5yx3 - Eugenol
Doc lyonnaise

15/12/2008 à 14h20

dentiste57 écrivait:
--------------------
> tiens ? je l'avais oublier celle là !
>
> merci la cpam de nous demander de faire ces si merveilleuses restaurations!
>

bon, y a un juste milieu quand même....


3f3boxni50k58rq7e9ce9ddqrxgk - Eugenol
dentiste57

15/12/2008 à 23h23

Doc lyonnaise écrivait:
-----------------------
> dentiste57 écrivait:
> --------------------
> > tiens ? je l'avais oublier celle là !
> >
> > merci la cpam de nous demander de faire ces si merveilleuses restaurations!
> >
>
> bon, y a un juste milieu quand même....

alors ne passons pas du coté obscure de la nomenclature...


carrototo

17/06/2020 à 11h31

je déterre ce post suite à une consultation de ce matin.
la patiente est une jeune femme, tout ce qu'il y a de plus normal.
les soins ont moins d'un an
bien entendu c'est cassé

voilà, bonne matinée

2faussesroutes om50dg - Eugenol

carrototo

17/06/2020 à 11h33

Sérieusement, pas simple à gérer psychologiquement (cliniquement c'est facile par contre)


2 n2dlt7 - Eugenol
2+2®

17/06/2020 à 11h39

Voila un beau traitement esprit cnsd !


carrototo

17/06/2020 à 11h49

2 CVI + tenon , dans ces conditions, on va dire 15 minutes maxi , peut être une matrice tofflemire mais c'est même pas certain.
comment trouver les mots pour expliquer la situation et rester confraternel?
on a tous dans les placards des soins peut être borderline, mais là c'est compliqué à défendre.


croc1765

17/06/2020 à 11h57

ou est le rapport avec le fait qu'elle soit normale
c'est le prat qui etait pas normal

carrototo écrivait:
---------
> je déterre ce post suite à une consultation de ce matin.
> la patiente est une jeune femme, tout ce qu'il y a de plus normal.
> les soins ont moins d'un an
> bien entendu c'est cassé
>
> voilà, bonne matinée


croc1765

17/06/2020 à 11h58

ou est le rapport avec le fait qu'elle soit normale
c'est le prat qui etait pas normal

carrototo écrivait:
---------
> je déterre ce post suite à une consultation de ce matin.
> la patiente est une jeune femme, tout ce qu'il y a de plus normal.
> les soins ont moins d'un an
> bien entendu c'est cassé
>
> voilà, bonne matinée


croc1765

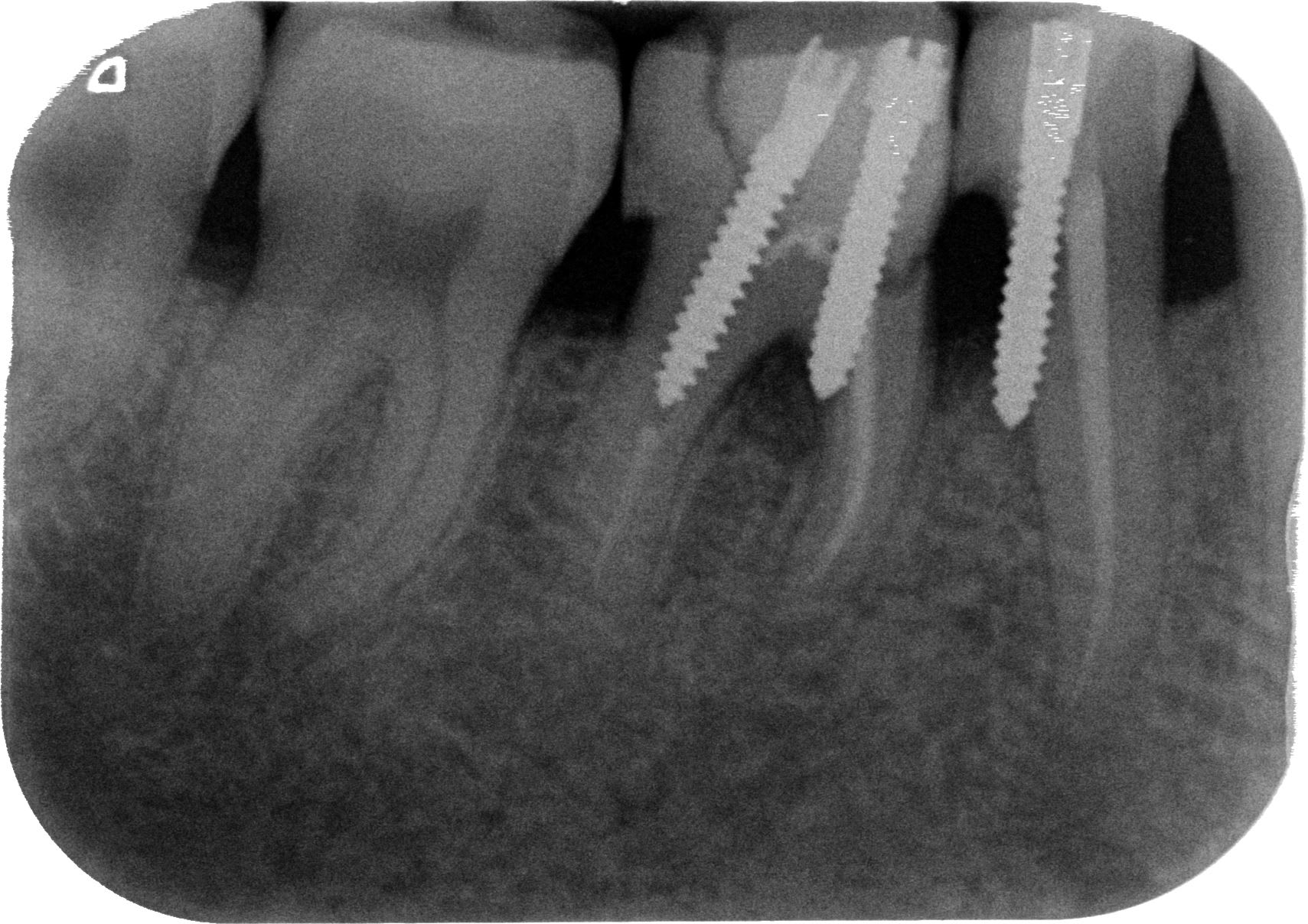
17/06/2020 à 11h59

et d'autant plus nase que les traitements endo ne sont pas mal du tout


Lautreamont

17/06/2020 à 12h00

C’est pas lui qui les a faits. Y’a une pêche en mésial de la 6.


zoulman

17/06/2020 à 14h12

carrototo écrivait:
---------
> je déterre ce post suite à une consultation de ce matin.
> la patiente est une jeune femme, tout ce qu'il y a de plus normal.
> les soins ont moins d'un an
> bien entendu c'est cassé
>
> voilà, bonne matinée

Normale avec parodontite


colza2

17/06/2020 à 15h17

c'est juste le plus distal qui n'est pas parallèle aux autres.


ipsos

17/06/2020 à 15h39

il devrait se mettre aux implants, il ne serait pas mauvais


Avatar transparent iqadnc - Eugenol
adhoc

17/06/2020 à 16h21

Symptomatique?


Lautreamont

17/06/2020 à 16h30

La furcation, la reprise de carie ce ne sont pas des symptômes ?


123...