Cookie Consent byPrivacyPolicies.comScrewpostator - Eugenol
zoulman

18/06/2020 à 09h35

Lautreamont écrivait:
-----------
> La furcation, la reprise de carie ce ne sont pas des symptômes ?

non


Lautreamont

18/06/2020 à 10h44

Si tu le dis...
1.
Phénomène, caractère perceptible ou observable lié à un état, une maladie qu'il permet de déceler, dont il est le signe.


Lautreamont

18/06/2020 à 10h47

L’image de furcation est un phénomène observable lié à un état, la perforation.


carrototo

18/06/2020 à 11h27

On joue sur les mots, mais pour moi un symptôme est un effet subjectif observé et décrit par le patient.
Les images radiologique sont de signes clinique, comme c'est le cas ici.
par contre, la fracture de la paroi vestibulaire , qui est un des éléments ayant motivé la consultation, est un symptôme.

bref , cela n'a guère d'importance au regard de la qualité des traitements présentés.


Lautreamont

18/06/2020 à 12h22

Pour moi un symptôme c’est la définition ci dessus, juste tirée du dictionnaire.


zoulman

18/06/2020 à 12h24

Lautreamont écrivait:
-----------
> Si tu le dis...
> 1.
> Phénomène, caractère perceptible ou observable lié à un état, une maladie qu'il
> permet de déceler, dont il est le signe.

Pour moi symptôme = signe rapporté par le patient.
Une atteinte de la furcation n'est pas toujours symptomatique.
L'état la perforation ou l'atteinte n'est pas un symptôme mais un signe clinique objectif déterminé par le praticien.


Lautreamont

18/06/2020 à 12h42

Si ça te fait plaisir de réécrire le dico, je ne vais pas me battre.


RépondreCiter
92100 ubmx3f - Eugenol
Orvieto3

20/01/2021 à 15h11

En place depuis 20 ans.

U fsbiy0 - Eugenol

Zorba le grec 1373406512 108 lfk5ey - Eugenol
zorbalegrec

20/01/2021 à 15h37

Orvieto3 écrivait:
--------
> En place depuis 20 ans.

L'ancetre de l'osteointegration


Et7jtaj0pdi18gzjlxjiamlx15gs - Eugenol
Prunelles

20/01/2021 à 16h32

Il aurait fallu troller Pluton sur la référence du ScrewPost


Images oecc9d ijdijh - Eugenol
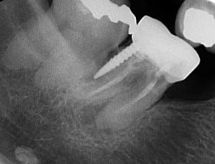
Akrobat

21/01/2021 à 17h02

Moi j'ai fait ça la semaine dernière (et je ne suis vraiment pas fier).
Pas de douleurs pas de saignement au forage. La patiente me dit: ah, j'ai un peu mal quand j'appuis dessus...
Que feriez vous?

Perfo1 anwzvp - Eugenol

Et7jtaj0pdi18gzjlxjiamlx15gs - Eugenol
Prunelles

21/01/2021 à 17h08

Amputation de la Distale et couronne jumelée sur la 47 et la racine Mésiale de la 46.


Images oecc9d ijdijh - Eugenol
Akrobat

21/01/2021 à 17h12

de la biodentine non?


Hok 1b hgd3rj - Eugenol
Hokusai

21/01/2021 à 17h16

Perso je ferais biodentine sur la racine post et je ferais 2 logements de tenon sur les mesiales en 1.2mm
Colle sous digue...
Provisoire jusqu'à disparition des symptômes...
Et une CCM ou full zircone dessus.


Pierre logo clykpp - Eugenol
Denteo33

21/01/2021 à 20h28

Moi je ferai un implant 😅


Images oecc9d ijdijh - Eugenol
Akrobat

02/07/2021 à 13h29

Finalement, séance suivante: mise en évidence d'un saignement dans le logement du tenon.
Obturation à la biodentine que j'ai fait "descendre dans le logement du tenon " avec un insert fin sans eau.
Disparition des symptômes la semaine suivante.
Contrôle à 6 mois, dent asymptomatique, radio encourageante.


Images oecc9d ijdijh - Eugenol
Akrobat

02/07/2021 à 13h30

voila

46perfbiod pzrftq - Eugenol

4a338550 6a5b 47ea b2a7 d3cb675c5076 oni5gh - Eugenol
𝕱𝖎𝖘𝖙𝖚𝖑𝖊

02/07/2021 à 17h30

Faut arrêter L'Akronenbourg au travail.
J'adore quand on a les couilles de présenter ses conneries !
Merci à toi et super boulot.
Au final, pourquoi on s'emmerde à mettre des tenons ???
;-)


Vw campersurfvan bmnk1q - Eugenol
enlaye

02/07/2021 à 18h49

100 e :-)