Cookie Consent byPrivacyPolicies.comendo express ? - Eugenol

endo express ?

Audi tt 2007 jzsdts - Eugenol
sbire

24/11/2007 à 20h48

bonjour,

vu à l'adf, un "nouveau" systeme d'endo mécanisé basé sur l'utilisation d'un "giromatic modifié" avec des mouvements alternatifs de 1/8 de tours à ue fréquence de 2500 tours et des instruments acier présentant 16 spires et un méplat, ainsi qu'un manche "manuel" qui sont montés sur le contre angle vendu.

http://www.cdentaire.com/endo_express.php?PHPSESSID=7c4ec70da5525b34a787f75db1c96e2a

Alléchant du point de vue du nombre d'instruments dans un séquenceur, d'un point de vue cout également mais malgrés une manipulation faite sur le stand, difficile de se faire une idée de la facilité d'utilisation et du résultat potentiellement obtenu.

Quelqu'un connait? quels impressions?

Merci.

(pas envie de le remiser dans un tiroir apres quelques jours....)


Avatar hjdsnm - Eugenol
TiGabi

25/11/2007 à 01h50

Je ne pense pas qu'il y ait de miracle :

Ces instruments sont en inox : quoi qu'ils en disent, il sont forcément moins flexibles que des NiTi. Pour contrebalancer cela, ils ont un méplat très large et une masse centrale peu importante afin de gagner un peu de flexibilité. Ce large méplat va permettre une meilleure évacuation des déchets mais diminue forcément l'efficacité de coupe. La diminution du nombre de spires diminue également cette efficacité mais permet un meilleur centrage de l'instrument.

On perd d'un côté pour gagner de l'autre. Le dessin des instruments rotatifs est un compromis entre efficacité de coupe / flexibilité / résistance / centrage. Il n'y a rien de nouveau dans les instruments présentés, je ne vois pas pourquoi leur compromis à eux serait meilleur qu'un autre.
Seul point innovant : le mouvement de rotation aller-retour 1/8ème de tour => mais j'imagine mal comment avoir une bonne remontée des débris avec ce type de mouvement.

Et instinctivement : passer du NiTi à l'inox, ça fait un peu marche arrière.


Squash u44zd8 - Eugenol
steph

25/11/2007 à 13h59

Pas forcément.
Il semblerait que le NiTi aie donné tout son potentiel ; il présente les même problèmes que l'acier (fracture, dévrillage, contre-indications) et que pour y remédier on s'oriente vers de nouveaux instruments, avec de nouveaus dessins de lames, de nouveaux mouvements...
Si le NiTi a bouleversé l'endo (technique du crown-down, technique d'obturation, gain de temps) il ne l'a pas révolutionné, ou en tout cas pas dans la mesure espérée.
D'autant que dans notre fenêtre de t° il serait moins superélastique que prévu.
Il y a donc d'autres voies à explorer, pourquoi pas un nouvel alliage, ou revenir à l'acier, de nouveaux concepts.


Pa050055 igyagy - Eugenol
mark

25/11/2007 à 19h44

Avec un mouvement alternatif de 45°, comment peut-on assurer une préparation canalaire circonférencielle complète et régulière, compte tenu de la réduction angulaire de la partie travaillante de l'instrument, à moins de s'escrimer à varier l'orientation, soit du contre-angle, soit le le mime à monter-pivoter-remonter sur la tête de contre-angle?

J'ai vu et manipulé le matériel, la flexibilité du métal est impressionnante.


Audi tt 2007 jzsdts - Eugenol
sbire

29/11/2007 à 01h11

donc pezrsonne n'a testé en live??



pfffft


Photo pluton1b h9n4ea - Eugenol
pluton

29/11/2007 à 08h25

viens juste de recevoir les limes....je suis en formation premiers secours aujourd'hui :(...testerai certainement demain....;)


Photo pluton1b h9n4ea - Eugenol
pluton

30/11/2007 à 14h44

1ère endo sur une 25 avec ces limes....canaux faciles....les instruments ont une bonne souplesse et une très bonne coupe....meilleur qu'avec des gyrofils mais même sensations tactiles...je posterai la radio dès que j'aurai un peu de temps...et peut être d'autres cas...un bon système...complémentaire de la rotation continue....en tout cas je préfère terminer au protaper l'extrémité apicale avec mon triautoZX


Image odged8 - Eugenol
ploc

30/11/2007 à 23h47

TP au congrès de la SOG qui a lieu le 25 et 26/01


Avatar transparent iqadnc - Eugenol
adhoc

01/12/2007 à 12h33



Ce n'est pas nouveau!

La vraie innovation sera le combiné rotation continue et alternative (quasiment jamais de casse pour cette derniere).


Pa050055 igyagy - Eugenol
mark

01/12/2007 à 12h41

sbire Ecrivait:
-------------------------------------------------------
> donc pezrsonne n'a testé en live??
>
>
>
> pfffft


j'avais commencé à préparer des dents pour des tests in mortem à l'ADF, mais, gros fainéant, je n'étais pas prêt à temps...

Marseille 2008?
ADF 2008?


Image odged8 - Eugenol
ploc

01/12/2007 à 13h30

kourou 2008


Pa050055 igyagy - Eugenol
mark

01/12/2007 à 15h19

ploc Ecrivait:
-------------------------------------------------------
> kourou 2008


Vas-y, fais péter le programme! :)

... et la liste des exposants!


macaron48

13/12/2007 à 20h34

Et bien si , j'ai testé et depuis quelques mois déjà. Je suis passé (ainsi que mon collaborateur) entièrement au système Endo Express avec de super résultat et surtout une SECURITE ET UNE REPRODUCTIBILITE INCROYABLES.
Complètement conquis.


Coccinelle mgl0qv - Eugenol
murielle

13/12/2007 à 20h37

macaron48, tu pourrais nous montrer quelques radios STP?


macaron48

13/12/2007 à 22h39

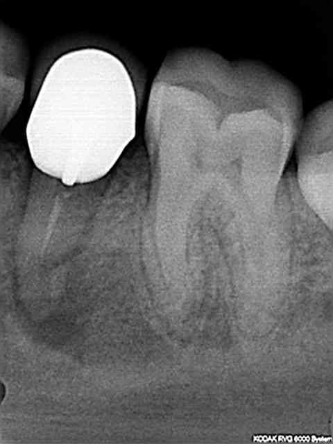
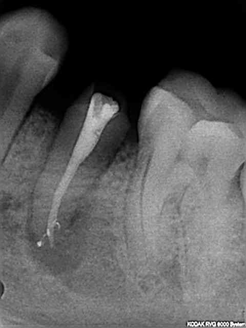
Voici un cas réalisé ce matin.
Reprise sur une 35 couronnée en Mai dernier dans un centre de soins.....

R3 cy5v5i - Eugenol
R1 dbbbog - Eugenol

macaron48

13/12/2007 à 22h43

Commentaires des radios envoyées dans le message précédent : En 15 minutes, instrument 25 pour désobturer, préparer et prendre la longueur de travail. Instrument Niti 25 Endo Express pour la conicité.
Instrument 30, puis 35 et enfin le dernier instrument conicité 8%.
Obturation thermomécanique à 35/100 avec le ciment EZ-Fill (epoxy) remarquez les canaux latéraux et la densité de l'obturation.


200106 10150128247663588 709988587 6466236 5598391 n d7mksb - Eugenol
hallboy

13/12/2007 à 23h50

macaron48 Ecrivait:
-
> Obturation thermomécanique à 35/100 avec le ciment
> EZ-Fill (epoxy) remarquez les canaux latéraux et
> la densité de l'obturation.

c'est a dire? un genre de McSpadden?



060108 005 nrfjgc - Eugenol
Francis Nalepa

14/12/2007 à 01h36

macaron48 Ecrivait:
-------------------------------------------------------
Encore un qui va se faire allumer passkeu il a pas laissé le temps adécouate Lacroix agir.....


> Commentaires des radios envoyées dans le message
> précédent : En 15 minutes, instrument 25 pour
> désobturer, préparer et prendre la longueur de
> travail. Instrument Niti 25 Endo Express pour la
> conicité.
> Instrument 30, puis 35 et enfin le dernier
> instrument conicité 8%.
> Obturation thermomécanique à 35/100 avec le ciment
> EZ-Fill (epoxy) remarquez les canaux latéraux et
> la densité de l'obturation.



macaron48

14/12/2007 à 10h05

Oui un compacteur de Maillefer. Ou un Mc Spadden.


macaron48

14/12/2007 à 10h38

Merci pour la remarque mais on connait parfaitement les conditions d'obturation optimales. Le fait de sécher le canal n'élimmine pas la totalité de Lacroix (comme tu dis). De plus le ciment antiseptique EZ-Fill prend le relais. A.B.E.S.


Coccinelle mgl0qv - Eugenol
murielle

14/12/2007 à 12h13

Merci pour les radios


macaron48

14/12/2007 à 13h59

Je n'ai vraiment aucun souci de mise en oeuvre ni de protocole avec cette technique. Sans parler du prix de revient et de la longévité des instruments.


Gonzo k0qhwz - Eugenol
matten

14/12/2007 à 15h05

macaron48 Ecrivait:
-------------------------------------------------------
> Je n'ai vraiment aucun souci de mise en oeuvre ni
> de protocole avec cette technique. Sans parler du
> prix de revient et de la longévité des
> instruments.


C'est marrant macaron j'ai l'impression que tu parles exactemement comme un revendeur de la marque lol... hUm???


macaron48

14/12/2007 à 16h25

Et bien non, j'ai un cabinet d'omnipratique deouis 25 ans et quand je suis content de quelque chose je suis dithyrambique, n'en déplaise à certains détracteurs qui critiquent ce qu'ils ne connaissent pas encore.
De plus j'ai trouvé ce système aux USA avant qu'il n'arrive en France. Je suis ravi que les confrères profitent maintenant de cette évolution.


Gonzo k0qhwz - Eugenol
matten

14/12/2007 à 19h40

Non mais je me suis dit ca parce que tu utilises une rhetorique marketing et des phrases un peu toutes faites et pas des termes de "medecine endodontique" pour nous le vendre...



Mais c'est vrai que les safe siders on a lu des tonnes d'avis positifs dessus sur docere.net (dentaltown) et par Dr Musikant en particulier.


12...