Cookie Consent byPrivacyPolicies.comendo express ? - Eugenol

endo express ?

macaron48

14/12/2007 à 20h26

Oui tu as raison c'est ma façon de parler, un peu rigide et pas très conviviale parfois. Désolé !
Mais mon avis sur le Safe Sider est réèl.


scherman

14/12/2007 à 21h21

bonjour, cela fait plus d'1 an que je l'utilise et depuis environ 8 mois je n'utilise plus d'autres instruments (à part les sonics en complément pour potentialiser l'irrigation et d'autres instruments sporadiquement en fonction du cas, des opener par exemple). Que voulez-vous savoir, c'est avec plaisir que je vous répondrai. note : il y a un article qui doit paraître dans le CDF dans la première quinzaine de janvier où un chapitre est consacré à ce système. confraternellement


Logo vuaztn - Eugenol
mac

14/12/2007 à 21h22

scherman Ecrivait:
-------------------------------------------------------
note : il y a un
> article qui doit paraître dans le CDF dans la
> première quinzaine de janvier où un chapitre est
> consacré à ce système. confraternellement


si c'est dans le CDF ça doit être bien alors...


scherman

14/12/2007 à 21h22

je m'en sert depuis plus d'un an, si vous voulez des renseignements précis je suis à votre disposition, très cordialement


scherman

14/12/2007 à 21h28

je ne sais pas si votre remarque se veut négative, je pense que le CDF a un avantage, c'est un journal pour les omnipraticiens et en ce qui me concerne je préfère essayer de faire avancé le schmiblic vers les confrères qui triment au fauteuil c'est plus satisfaisant, cordialement


Marque a3 orange fyvhyq - Eugenol
Marc Apap

14/12/2007 à 23h51

Tiens, tu postes aussi sur eugénol ? Donc toujours content du système ? C'est le mélange des genres (acier, ni ti ) qui me chagrine un peu.
Mais c'est vrai que je n'ai pas trop étudié la question. Qu'est ce que ça donnerait pour la reprise de traitement ?


scherman

15/12/2007 à 12h00

salut marc, j'en suis de plus en plus content, c'est un instrument très souple d'utilisation (et je ne parle pas seulement de la flexibilité. En ce qui concerne les reprises lorsque le foret de gates No 1 ne passe pas d'emblée, je jait un petit puit avec une fraise LN et j'essaye les safe sider 20 ou 15 à toute vitesse (avec du desoclusol), dans beaucoups de cas cela amorce un passage, je ralenti la vitesse et je continue avec le 15 puis je passe en manuel 10 puis 08.


scherman

18/12/2007 à 18h00

pour info, la coupe est très bonne, bien sur surtout au niveau des bords du méplats mais le reste de l'instrument travaille aussi très bien, avec un peu d'habitude ont place le méplat où on le désire. c'est une raison pour laquelle je l'associe aux shapers pour éliminer la smear layer. Cordialement


Carambar h3uqin - Eugenol
carambar

06/01/2008 à 15h39

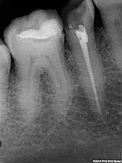
macaron48 pourrais tu nous montrer d'autres radios.

Les canaux latéraux sont systématiquement obturés lorsque la dent à subi un 4° avant tout traitement endo.

Dans le cas de la dent que tu montres avant retraitement, il s'agit d'un traitement initial qui n'était pas allé à l'apex.

Il y a eu ensuite destruction par les micro organismes canalaires de tous les restes de pulpe que ce soit dans le canal principal ou les canaux accessoires.

Dans ce cas dès que la voie est libre on obtient ce genre d'images.

Même moi j'en ai quelques unes de ces images.

Pourrais tu nous montrer des radios après biopulpectomie ou après retraitement d'un canal non infecté?


macaron48

11/01/2008 à 14h24

Sans problème, mais voici aussi la radio de controle du premier cas.
L'autre cas date d'hier soir une 45 non infectée mais fracturée.
Pas de canaux latéraux mais une obturation aisée avec juste un petit dépassement de ciment.


macaron48

11/01/2008 à 14h27

Bon alors les radios ne sont pas apparues dans la réponse. J'espère que cette fois sera la bonne.

R3 zxbdbe - Eugenol
R6 hrum7k - Eugenol

Grueavatar nptrc9 - Eugenol
Le Choixpeau magique

12/01/2008 à 11h09

Quand on lit la séquence de ce machin (11 instruments dans la séquence type !), on ne peut qu'être dubitatif.
Ajoutez à ça le petit côté old-school (tout le traitement se fait à la LT, mouvement de réciprocité à la gyromatic...), et ça devient carrément la machine à voyager dans le temps !


scherman

12/01/2008 à 13h09

en tout premier lieux il y a 11 instruments proposés par le Dr deutch si vous désirez réaliser la préparartion selon ses normes. Vous pouvez retirez d'emblée les 2 premiers instruments qui sont des broches 08 et 10 (que vous utilisez normalement sinon des limes K)
reste 9 instuments. Dans la proposition il y a des largos modifiés (je preferre utiliser un opener (MM ou dentsply)reste 8 instruments. Je n'utilise pas les 2 instruments en NiTi pour préparer la zone apicale. Reste 6 instruments. en fait je n'utilise réèllement que les safes siders de 15 à 40 que je complète avec les limes 06.08.10 pour le cathétérisme et des openers. Le vendeur français l'a bien compris et fournit uniquement à la demande ce que les utilisateurs veulent. En fait je réalise un espèce de stape back assisté. En ce qui concerne le coté vieux gateux du contre-angle cela ne me gène pas car l'instrument lui a un profil extrèmement innovant. Un petit conseil, complétez la préparartion avec un sonique, vous verrez les résultats sont surprenants et à mon avis réalisable par n'importe quel praticien un tant soit peu soigneux, c'est tout l'intérêt de cette méthode, elle est vraiement utilisable en omnipratique.


Grueavatar nptrc9 - Eugenol
Le Choixpeau magique

12/01/2008 à 13h22

Y a un truc pas mal sinon, ça s'appelle le protaper, S1, SX, S1, S2, F1 et éventuellement F2 et plus rarement F3. Pas besoin d'utiliser quinze gates, trois largos, le sonic (! j'étais pas loin avec le gyromatic !) ou que sais-je encore.
Il est sans doute possible d'obtenir de très bons résultats avec les safesiders, mais avec la technique sérielle manuelle aussi. Pourquoi s'emmerder avec ces trucs qui prennent quinze plombes, alors qu'il existe des instruments modernes, rapides, et à la séquence simple ?


macaron48

12/01/2008 à 13h42

Faut pas réagir comme ça !
C'est réellement un plaisir de travailler avec ces instruments et comme le dit Sherman on peut éliminer certains instruments à la demande. C'est le plus de cette technique : s'adapter aux besons réèls du canal à traiter.
Donc pas de 40 gates ni 18 largos...désolé de te contredire.


scherman

14/01/2008 à 11h41

désolé mais je passe une partie de mon temps à essayer de retirer des NiTi cassés (en particulier des protapers. de toute manière un endodontiste ou un praticien réalisant de l'endodontie de haute qualités travaillera correctement avec n'importe quoi même si les études montrent des différences notables parfois en fonction de la technique (l'endo ne dépend pas que de l'instrument !)Par contre un omnipraticien dans le contexte de la convention a besoin d'une technique simple et efficace. cordialement


macaron48

16/01/2008 à 21h51

Ben justement IMPOSSIBLE de casser un Safe-Sider.
Tu as bien dû le remarquer.
Amitiés


Pa050055 igyagy - Eugenol
mark

19/09/2008 à 11h10

sbire Ecrivait:
-------------------------------------------------------
> donc pezrsonne n'a testé en live??
>
>
>
> pfffft


salut sbire!

Essai sur dents naturelles, bien calcifiées, bien tourdues, indemnes de toute préparation, apportées par moi-même au TP organisé grâcieusement par C'Dentaire avec la présence de Scherman himself (Merci!)

1- J'ai relu ce fil, il y a confuse: en séquence simple: 2 broches de cathétérisme 8 et 10, la série de Safe Sider Endo-express 15 à 25, et basta! De fait si l'on ne veut pas finir trop vite sans avoir pris le temps d'une mise en forme destinée à une parfaite obturation tridimensionnelle dans des canaux désinfectés au mieux, on aura intérêt à recourir à au moins deux shaper NiTi.

2- J'ai poussé le matériel dans ses derniers retranchements (sur 3 dents et 8 canaux) en omettant volontairement le catétherisme, en voulant passer les courbures en appuyant franchement sur l'instrument (j'avais toutefois apporté mon NaClo 5% et EDTA liquide): résultat: aucune sensation de vibration (caractéristique du dévrillage du NiTi) lors des moments de résistance à la descente, incroyable impression de glissement de l'instrument dans le mouvement de va-et-vient en appui pariétal.

3- Aucune résistance en retrait même brutal de l'instrument en mouvement de travail (geste inconscient qui a pu m'occasionner la fracture de Niti en rotatif...)

Conclusion: le matériel est indestructible, à mon avis en raison de la conjugaison d'un mouvement altérnatif de faible amplitude, d'un alliage "mou", et du méplat qui visiblement réduit les contraintes en amméliorant l'évacuation des débris.

Réserves:
- la perte possiblement plus rapide qu'en NiTi du pouvoir de coupe de l'instrument au fil des utilisations. Mais le faible coût relatif des instruments (paraît-il...) devrait plutôt permettre de s'orienter vers le changement plus fréquent des instruments
- la forme de la préparation, à vérifier lors de l'obturation des dents que j'ai travaillées "à l'arrache"


Voilà! C'était "retour vers le futur" de l'acier alternatif... :)


Photo pluton1b h9n4ea - Eugenol
pluton

19/09/2008 à 13h41

moi aussi j'utilise ce système....depuis 1 an...jamais de casse....indestructibles...
la meilleure séquence que j'ai trouvé....cat, puis 15 à 25, puis le 25 NiTi en conicité 6% (le 8 ne me sert pratiquement jamais)puis je termine avec les protaper et mon triautoZX....bilan plus jamais de casse des NiTi...au pire un déspiralage de temps en temps...


Marque a3 orange fyvhyq - Eugenol
Marc Apap

19/09/2008 à 14h19

Je n'ai pas tout suivi, mais Pluton, s'il existe un 25 à 8%, pourquoi préfères tu le Protaper ?
Merci.


Photo pluton1b h9n4ea - Eugenol
pluton

19/09/2008 à 14h54

parce qu'en endo....je pense qu'aucune technique n'est universelle...manuelle, Niti, ultrasonore, safe sider...tous les systèmes sont COMPLEMENTAIRES...il est insensé de les comparer, chaque technique a ses avantages et inconvénients, ses indications et CI....
Cette séquense est celle que j'utilise le plus...celle qui me donne les meilleurs résultats en minimum de temps, combinant les avantages de toutes les techniques pour avoir un résultat prévisible, fiable, reproductible...


Marque a3 orange fyvhyq - Eugenol
Marc Apap

19/09/2008 à 15h11

pluton, tu ne réponds pas à ma question.
Ma question est : pourquoi utilises tu des protaper quand tu pourrais utiliser des limes 25 à 8 % ?
La réponse que tu m'a faite c'est à une autre question qui est : pourquoi ne suis tu pas intégralement la séquence préconisées et passes tu à un autre système ?
Est ce que tu comprends la différence entre les deux ?
En d'autres terme, ta réponse n'apporte rien à personne et donc reste insuffisante.
Merci


Photo pluton1b h9n4ea - Eugenol
pluton

19/09/2008 à 15h29

désolé....j'avais lu un peu vite...
Pour la lime 25/8%...je la trouve trop "raide"...je n'aime pas son feeling dans les canaux...


Marque a3 orange fyvhyq - Eugenol
Marc Apap

19/09/2008 à 18h33

Merci, c'est une réponse que je comprends.


Willy Pertot

19/09/2008 à 21h43

Je ne doute pas du tout des messages des uns et des autres qui se sentent à l'aise avec ce système.

Juste quelques précisions d'ordre théorique :
Les limes sont des Safety Hedström, de Kerr, inventée par steve Buchanan vers la fin des années 80. Ceux d'entres vous qui ont encore des exemplaires du JOE de cette époque en trouveront la publicité en 4ème de couverture.
Le contre angle permet une rotation alternée de la même amplitude en sens H et AH (contre angle M4 de Kerr - Marc doit pouvoir donner la date exacte d'apparition sur le marché).
Ce mouvement à reproduire le mouvement des doigts pour engager la dentine.
Mais c'est le mouvement de va et vient vertical de la main qui permet de couper la dentine en la raclant, en sortant du canal tout en s'appuyant contre la paroi, et donc d'élargir le canal.
En effet, un instrument qui a la même amplitude en H et AH ne peut pas avancer apicalement (il visse et dévisse de la même amplitude).

Tout mouvement de va et vient vertical dans une courbure aboutit au déplacement du canal dans le sens opposé à la courbure, la courbure servant de point d'appui, et créant un bras de levier au niveau de la pointe de l'instrument. C'est obligatoire.
Afin d'éviter le transport, les Safety Hedström possèdent donc une surface sans spires, qui doit être orientée donc du coté opposé à la courbure afin d'éviter le transport du canal.
C'est peut être possible avec de l'expérience.
Mais comment faire pour les courbures vestibulaires et linguales qui existent dans tous les canaux mésiaux des molaires ?

Que le système semble intéressant, c'est probable.
Que des praticiens en soient satisfaits et qu'il leur permette de faire des traitement dont ils sont contents, c'est honnètement très bien. Je le pense vraiment.
Mais qu'il soit vendu comme une nouveauté, en surfant sur la vague de la peur de la fracture du nickel titane, ou sur la vague du mouvement réciproque (qui n'a strictement rien à voir) c'est se foutre du monde.


123...