Cookie Consent byPrivacyPolicies.comVos avis m’intéressent - Eugenol

Vos avis m’intéressent

1 eugenol dmj5np - Eugenol
Dancha

01/12/2007 à 11h28

Je n’ai encore rien décidé pour ce cas…
Je serais tenté d’extraire d’emblée, mais suis quand même troublé par la facilité avec laquelle notre ami bjc traite ce genre de cas sans enlever de prémolaires.
Est-ce qu’on ne pourrait pas quand même éviter les extractions en utilisant des braquets autoligaturants type Damon ou des ligatures lâches type bjc ?
C’est pour cela que je lui posais la question.
J’aimerais bien qu’il réponde.

Daniel


bjc

01/12/2007 à 13h02

salut,

Ce cas est un cas difficile,

surtout avec les techniques anciennes et brutales
F.E.O., masque de Delaire, disjoncteurs
changement de direction du plan d’occlusion, ingressions dentaires avec
croissance de la branche montante, comme said, je n’y crois pas beaucoup à cet age
la théorie, c’est bien beau


Il y a plusieurs Pbs.

1°) il faut savoir la demande du patient et des parents
une photo du sourire de face serait la bienvenue
faciès des parents
ainsi que des Rx., pour la discussion (dents de sagesse Inf.)
est-ce qu’un risque de sourire « Fernandel » est sa motivation ?
quoique, il nous reste un peu de croissance

de toute manière, on peut toujours commencer le cas sans extractions
et voir ce qui se passe avec les frictions faibles,
croissance

En Sup.
Q.H. pour dérotation molaire
M.B. ( pas sur 13/23) expansion avec forces faibles
on aligne jusqu’à ce que l’arc 17*x25* glisse librement dans les gorges des Bk.
on peut alors mettre des ressorts entre 12/14 et 22/24,
si on utilise des Damon, mettre des ligatures de 12 à 22 pour garder le torque

En Inf.
M.B. complet

Il va se passer des choses, pas dans l’ordre ou on nous le dit dans les livres
mais dans l’ordre ou le corps de notre patient le désire
il faut avoir le cœur bien accroché, ça ne commence pas tjs par ou on l’attendait
parfois, on a l’impression d’avoir ouvert la boite de Pandore
toi qui à fait du Begg, tu dois l’avoir un peu vécu

mais si on fait des extractions d’emblée, avec un angle naso-nasal aussi ouvert ??? ???

aucun cas ne se ressemble jamais, c’est ce qui fait la beauté de notre profession
comme le Pb. de la DDM. Sup. semble résolu pour tout le monde je vais essayer de te trouver un autre exemple de cas, (pas forcement à moi.)

Amicalement
bernard


1 eugenol dmj5np - Eugenol
Dancha

01/12/2007 à 17h10

bjc Ecrivait:
-------------------------------------------------------
..
> comme le Pb. de la DDM. Sup. semble résolu pour
> tout le monde ..

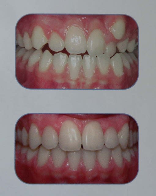
Non, ce n'est pas évident !

Voici le sourire de face. Je reconnais que ces photos ne sont de loin pas aussi belles que les tiennes. Tu as fait d'énormes progrès ces temps derniers..

Daniel


Bj01 ffhx5k - Eugenol

Picture1111 zburnd - Eugenol
saidkholoki

01/12/2007 à 22h25

Salut bjc,
Peux tu etre plus claire dans ton plan de traitement, je n'ai pas compris tres bien comment tu va regler la tendance de classe III, par deverrouillage aussi???
Une autre question quel est le rapport entre ligaturer les 4 incisives ensemble et le torque?
A ton avis il faut combien de temps pour traiter ce cas sans extraction?
Pour etre plus serieux tu penses vraiment a tailler tous tes brackets un par un avec une fraise, sans deformer ni changer les informatins dedans, pour rendre la ligature metallique moins frictionnelle? Il te faut de la patience! Bon courage alors.
Un petit conseil, il existe des brackets qui repondent presque a ce que tu demandes, avec des bords arrondis, base de la gorge en deux bombees pour donner des points de contacts avec le fil et non pas des surfaces, des angles arrondis et evases afin d'eleminer les plicatures vives du fil contre les rebords du brackets. Et dans un article tres recent, je peux te donner les references, il montre dans une etude serieuse que la friction dans ces brackets est tres proches des autoligaturants mais beacoup moins chers, et toc... ( c'est ce que j'utilise depuis tres longtemps heureusement)


bjc

01/12/2007 à 22h47

il est mignon, ce gamin
je ne suis pas sur de vouloir changer la personnalité de son visage
effectivement, une petite géni-latéro-déviation, alors que sur les photos de dents, j’aurai plutot pensé à latéro-déviation dentaire Sup.
autant pour moi

daniel, quelle est à ton avis, la plus grosse difficulté de ce cas


bjc

01/12/2007 à 22h59

salut,
pour les Bk. je pense que tu fais allusion aux synergie de RMO. à 6 plots
ils viennent du reste de modifier leurs Bk. postérieures
personnellement, je ne les trouve pas tres pratiques, ni tres faciles d’usage,
mais s’il te satisfont, c’est l’essentiel

@+ Bjc.


bjc

01/12/2007 à 23h53

salut said

la tendance Cl. III.

vient d’un hypo-developpement transversal et sagittal, comme tu l’as dit, et je pense que tout le monde est d’accord
le Q.H. travaille …
et puis zut, tu en sais autant que moi, sinon plus, sur le Q.H.

puisque tu veux etre plus sérieux,
pour les 4 incisives Sup., il ne s’agit pas d’une ligature en échelle, on peut le faire, bien sur
mais j’ai voulu dire de faire des ligatures conventionnelles, sur chaque Bk., pour engager complètement l’arc dans la gorge des Bk. et ainsi d’éviter des Bk. à torque 0° que tu recommandes, à juste titre, si on laisse du jeu dans le Bk. avec un T.M.A. en A.U.A.

et pour etre moins serieux
encore un quiproquos, je ne modifie que le chemin des ligatures, pas celui de l’arc dans la gorge du BK.
mais tu as raison, quand je repense à mes débuts ou je modifiais mes Bk. à la main, et que ceux-ci sautaient dans le cabinet,
j’en rigole encore

@+ Bjc.



merci de me rappeler ces bons souvenirs


Picture1111 zburnd - Eugenol
saidkholoki

02/12/2007 à 04h26

BJC,
Je suis tout a fait d'accord avec toi, je connais plus que toi en ce qui concerne le QH et pour cela je dis qu'une fois le QH a fini son travail, la classe III sera plus visible et a cet age je ne crois pas que le deverrouillage permettra a la croisance de regler tout le probleme, donc tu n'as pas repondu a la question.
Je ne cherche pas a te coincer comme tu peux le penser mais il faut etre logique, coherent et precis et il ne faut penser que tout le monde doit lire tes pensees et comprendre tout ce que tu ecris.


bjc

02/12/2007 à 12h00

tu as présenté ton plan de traitement,
dento sofiene le sien
moi le mien

que va décider Daniel,
peut être en auras-t-il un 4° ?

@+ Bjc.


Picture1111 zburnd - Eugenol
saidkholoki

02/12/2007 à 12h53

Salut,
Je crois qu'un plan de traitement doit etre bien etablis avec un plan A principal et un plan B et peut etre un plan C si necessaire. Mais je ne peux pas dire je vais commencer ainsi et je vais voir plus tard. Souvent dans ce cas la on ne sait plus quand il faut changer de strategie car nous n'en avons pas etabli un au debut.
Si, je dis bien si, le probleme de la place est regle il reste la coordination des arcades et pour cela je dois avoir une idee sur ce que je veux faire et puisque chacun explique son plan de taritement je trouve le tien est incomplet, meme si dans ta tete tu sais ce que tu va faire mais nous simples lecteurs on aimeraitent bien le savoir aussi.
N.B. Tu peux me dire combien il y a du jeu d'un fil .016 X .022 dans un boitier .018 X .030, avec une ligature metallique bien faite? et merci pour l'info


bjc

02/12/2007 à 13h56

"Tu peux me dire combien il y a du jeu d'un fil .016 X .022 dans un boitier .018 X .030, avec une ligature metallique bien faite? et merci pour l'info"


tu trouveras ta réponse dans le livre d’Alexander, page 170
si tu veux, je te l’envoie des que les batteries de mon appareil photo sont rechargée

@+ Bjc.


Picture1111 zburnd - Eugenol
saidkholoki

02/12/2007 à 14h03

Merci, j'attendrai. Pour l'instant je vais recharger mes batteries, je fais la scieste... bjc ne parle pas tres fort, merci


bjc

02/12/2007 à 14h12

prends le livre d’Alexander pour la sieste


Picture1111 zburnd - Eugenol
saidkholoki

02/12/2007 à 16h12

Malheureusement je ne l'ai pas, je prefere lire d'autre chose pour m'endormir. De plus je crois qu'il est lourd, et deviendra encore plus lourd quand les yoeux commencent a se fermer, et ca fait mal quand il tombe sur moi. Je prefere qqs chose plus leger...


bjc

02/12/2007 à 23h04

P. 170

Img 9864 pv8bss - Eugenol

Picture1111 zburnd - Eugenol
saidkholoki

03/12/2007 à 09h05

Il y a combien du jeu pour .017 X .025 dans un boitir Damon ?


bjc

03/12/2007 à 10h30

A suivre ...
Bernard

Dscf1468 bpnkkj - Eugenol

1 eugenol dmj5np - Eugenol
Dancha

03/12/2007 à 10h53

bjc Ecrivait:
-------------------------------------------------------
> tu as présenté ton plan de traitement,
> dento sofiene le sien
> moi le mien
>
> que va décider Daniel,
> peut être en auras-t-il un 4° ?
> ..

Extraction des quatre premières prémolaires et fixe complet haut et bas. Pas de quad’hélix ni de masque de Delaire.

Daniel


Avatar transparent iqadnc - Eugenol
adhoc

03/12/2007 à 18h16

Mon avis
Cas dancha: pas d'extraction.
Cas bjc: pas d'extraction.
Cas "limites" qui peuvent sans doute passer avec +1 pour quadhelix/disjoncteur.


Picture1111 zburnd - Eugenol
saidkholoki

03/12/2007 à 22h21

Salut Dancha,
T'es serieux ou quoi ? Je ne trouve pas de raison logique et valable pour extraire et surtout pas les 4.
Le profil plat, la tendance classe III, l'arcade mandibulaire qui ne presente pas grande chose, la boite a langue deja reduite,etc...
A moins que tu nous fasses marcher je trouve cette solution aberrante.
Vous les autres qu'en pensez vous?


bjc

03/12/2007 à 23h39

sur, qu’il nous fait marcher
son cas devrait se terminer comme celui là

cas traité par le Dr. G. Kratzenberg ; Belgique
(désolé, c’est du Damon)

@+ Bjc.

Img 9865 p6xugb - Eugenol

dento sofiene

04/12/2007 à 01h53


Extraction des 4 premiéres prémolaires?
t'es sérieux Daniel?
je croyais que l'ére Tweed Merryfield n'était plus d'actualité.
Mais bon si t'arrives à argumenter ton choix ça pourrait t'aider à minimiser les dégats.


STARSKY

04/12/2007 à 01h55

Au Fait, il a quel age ce....jeune homme,le devellopement du cartilage thyroide peut nous laisser croire que les modification squelettiques seront malheureusement impossibles (quid du disjoncteur et des tractions sur masque???).Seules les effets dentoalveolaire semblent possibles,mais les compensation ont déja ete effectuée par la nature.une teleradiographie de profil acompagnée d'une analyse de Delaire serait bien utile dans ce cas là .
Je ne pense pas que le profil sous nasal sera trop affecté par les avulsions ;cepandant
un traitement assisté chirurgicalement permettrait de prendre en consideration de facon globale les problemes et notamment l'epineux problème du sens vertical chez ce patient ....mais ce n'est qu'un avis...vive l'odf!!!!!


Picture1111 zburnd - Eugenol
saidkholoki

04/12/2007 à 08h16

Starsky ecrit:
jeune homme,le devellopement du cartilage thyroide peut nous laisser croire que les modification squelettiques seront malheureusement impossibles (quid du disjoncteur et des tractions sur masque???).
Je pose une question: A quel age la suture palatine se ferme-t-il? Et vue le decalege faible j'accepterais bien des compensation alveolaire afin d'eviter une chirurgie bi maxillaire.
Je pose une autre question: Si il s'agit de votre enfant: vous chercher l'ideal absolu avec une double chir. lourde, ou vous chercher un compromis faisable et acceptable orthodontique?
Quant a la solution d'extraction des 4 proposee par notre ami Dancha, cela me choque beaucoup et je crois que Tweed lui-meme est en train de se retouner dans sa tombe en criant surtout ne faites pas tout ce que j'ai dit, pas dans ce cas la au moins.
J'attends de voir les photos de fin de traitement, pauvre gamin...


STARSKY

04/12/2007 à 09h42

Je suis tout a fait d'accord avec toi said ,moi aussi j'eviterais absolument la chirurgie orthognatique chez ce patient dont la dysmorphose squeletique n'est ma foi pas dramatique ,je parlais seulement d'un point de vu théorique,n'empeche qu'il s'agit quand meme de savoir si on peut encore avoir une action sur la suture intermaxillaire et surtout dans ce cas là sur les sutures premaxillo-maxillaires ,si oui alors la d'accord -disjonction en eventail ,traction anteroposterieure sur les incisives comme le decrit Salagnac ,multi attache bimax en faisant un max (ce que l'on peut ,en fait )pour le controle du sens vertical (controle du torque molaire ,minivis d'ingression molaire,reeducation des fonctions etc...)
Par contre si les sutures,ne repondent plus comme je le pense dans ce cas la,les avulsion semblent inevitables ,nous avons peu a craindre d'une poussé de croissance mandibulaire ,je ne pense pas que le profil sous nasal souffrira trop des avulsion ,il y a une beance a corriger...mais tout cela ce sont des plan sur la comete,il nous faut plus d'element pour trancher ....comme d'habitude .....


123...