Cookie Consent byPrivacyPolicies.comVos avis m’intéressent - Eugenol

Vos avis m’intéressent

bjc

08/12/2007 à 23h35

bonsoir,

Motif :demande de la patiente
son profil ne lui plait pas
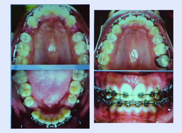
cas traité par A. Bagden, présenté en 2005

@+ Bjc.

Photos depart jg4ok7 - Eugenol
Arcades depart ca0rkh - Eugenol
En cours et fin vz2dsb - Eugenol
Visage fin trjuko - Eugenol

bjc

09/12/2007 à 10h55

salut,

A. Bagden a traité ce cas facilement
en utilisant :
au maximum la conséquence des extractions qui est de creuser le profil
comme quoi,
on peut déplacer des canines, rien qu’avec les forces biologiques musculaires
il n’a fait que guider les forces musculaires, il a presque laissé faire
ce n’est pas le résultat d’une mécanique surajoutée aux forces musculaires qui peut être à contrario, ou bloquer les dents que l’on veut déplacer car on a négligé ces forces musculaires
cela remet aussi en question la notion d’ancrage

2 postulats bousculés :
on ne peut pas déplacer des canines
nécessité de l’ancrage fort

@+ Bjc.


Picture1111 zburnd - Eugenol
saidkholoki

09/12/2007 à 11h19

Bjc, il y a un truc qui m'echappe.
Tu dis que les forces musculaire etaient le seul facteur "mecanique" pour deplacer les dents dans cs cas, et rien d'autre.
Mais on sait aussi que la position des dents est le resultat final des forces musculaires qui s'y appliquent.
Donc peux tu nous dire quelles etaient les dysfonctions existantes au depart? Ou quelle reeducation fonctionnelle Bagden a utilise? Pour moi il semblerait que la fonction n'etait pas derrangee au debut et qu'il s'agissait plutot d'une biproalveolie ethnique.

N.B. Je prefere que tu montres des cas a toi ou tu peux repondre a toutes les questions d'une maniere vraiement objective car tu as vecu le cas. Par contre quand tu montres les cas des autres tu donnes ton point de vue sans etre certain que les choses se sont deroules ainsi ou pas, a moins que Bagden a travaille chez toi sans que l'on sache.


bjc

09/12/2007 à 12h11

salut,

Je n’ai pas eu l’occasion de demander des extractions récemment, (12 ans), donc pas de photos car je ne fais des photos de cas en cours que depuis 2 ans environ
j’ai un petit cabinet, je ne peux pas avoir traité tous les cas possibles ou imaginables
c’est pourquoi j’assiste à des conférences, je peux rencontrer un jour les cas présentés
en quoi un cas traité par un autre est-il différent

email Bagden: **************
il répond aux questions si tu veux lui en poser
il ne viendra pas chez toi, mais tu peux aller chez lui

@+ Bjc.

P.S. :tu n’as pas répondu aux postulats


1 eugenol dmj5np - Eugenol
Dancha

09/12/2007 à 12h38

bjc Ecrivait:
-------------------------------------------------------
>..
> 2 postulats bousculés :
> on ne peut pas déplacer des canines
> nécessité de l’ancrage fort
>
> @+ Bjc.
>
>

Postulats de qui ?
Ils sont complètement idiots.

Daniel


Picture1111 zburnd - Eugenol
saidkholoki

09/12/2007 à 12h43

bjc Ecrivait:
-------------------------------------------------------
>
> 2 postulats bousculés :
> on ne peut pas déplacer des canines
> nécessité de l’ancrage fort
>

Peux tu etre plus direct et plus claire? Qu'est-ce que tu veux savoir? On ne peut pas deplacer les canines? Bien sure que oui, les moyens sont par dizaine.
Necessite de l'ancrage fort? Tout depend de tes objectifs, de la technique utilise ( arc droit, bioprogressive, mini implant...) et du concept biomecanique applique. Une question vague necessite une reponse generale.


bjc

09/12/2007 à 14h11

Présente des cas avec tes mécaniques
la théorie c’est bien beau


@+ Bjc.


1 eugenol dmj5np - Eugenol
Dancha

09/12/2007 à 15h22

2 questions :

On ne peut raisonnablement pas faire un traitement correct sans risquer de récidive si on ne connaît pas l’origine du problème.
Comment expliques-tu la biproalvéolie initiale de la patiente ?

Quand tu affirmes que « la conséquence des extractions qui est de creuser le profil », et « qu’on peut déplacer des canines rien qu’avec les forces biologiques musculaires », il suffirait donc d’extraire une première prémolaire pour que les incisives et la canine reculent quasiment toutes seules sous la pression des forces musculaires. C’est bien cela ?

Daniel


bjc

09/12/2007 à 19h49

"2 questions :

On ne peut raisonnablement pas faire un traitement correct sans risquer de récidive si on ne connaît pas l’origine du problème."

FAUX : le médecins soignent une fièvre avec un antibiotique à large spectre, ils ne savent pas ce qu’ils ont guéri, mais ils ont guéri, c’est le plus important
on pourrait dire que les techniques à friction faibles sont à large spectre

"Comment expliques-tu la biproalvéolie initiale de la patiente ? "

pourquoi veux tu tout expliquer, le plus important est le passé ou l’avenir
on en a discuté avec des copains, on ne sait pas ou peut s'arrêter la correction de DDM. sans extractions
perso, j'ai traité une DDM. de 12 mm., plutôt, je suis en train de finir de traiter, sur adulte
comme le cas n'est pas fini, je ne peux le présenter

pour l'autre question, oui
c'est le choix esthétique qui me ferait faire des extractions
a quoi ça sert des beaux modèles de vitrine en occlusion et tout, si c'est disgracieux
elles se font bien remonter les seins, les fesses, elles ont bien droit aux dents!!!



"Quand tu affirmes que « la conséquence des extractions qui est de creuser le profil », et « qu’on peut déplacer des canines rien qu’avec les forces biologiques musculaires », il suffirait donc d’extraire une première prémolaire pour que les incisives et la canine reculent quasiment toutes seules sous la pression des forces musculaires. C’est bien cela ?"

non, ce n'est pas cela
je répète pour la nième fois
la friction faible permet d’agir avec des forces faibles qui sont du m ordre que les forces musculaires
je répète : les arcs servent de guide à l’action de ces forces, parfois aidées de forces de m importance

ils vont avoir ma peau!

@+ Bjc.


Images 1 qtgoxf - Eugenol
ciwil

09/12/2007 à 23h57

bon, ma contention, je me la mets derrière l'oreille.


bjc

10/12/2007 à 01h21

salut,

excuse moi,
ormco m’a présenté une contention en chaînette, qui m’a l’air très pratique
je ne l’ai essayée que sur un frasaco
demande à un représentant un échantillon (à l’oeuil)

@+ Bjc.


Picture1111 zburnd - Eugenol
saidkholoki

10/12/2007 à 05h22

Pour repondre a la demande de bjc, voici un cas de bipro, sans extraction, sans brackets et sans fils a l'exception d'un QH et un ecran buccal. Un traitement purement musculaire avec recul des incisives haut et bas sans avoir besoin d'ancrage.
Notez les diastemes haut et bas, et la fermeture spontannee grace a la reeducation. Le profil fin de traitement, pas mal du tout n'est-ce pas bjc?


Pas de moyen pour faire passer les photos, j'essayerai plus tard...Desole

Ca m'enerve, 30 minutes pour essayer de passer les photos et cela ne marche pas, avez vous le meme probleme?


Picture1111 zburnd - Eugenol
saidkholoki

10/12/2007 à 05h26

les photos n'ont pas suivi, je recommence...


Picture1111 zburnd - Eugenol
saidkholoki

10/12/2007 à 08h31

Les photos enfin, j'espere....
Le cas apres QH a ete sous surveillance pour voir si besoin d'autre chose, et vue l'occlusion comment elle se met en place, j'ai dit non. Je pourrais utilise un simple TP mais a l'epoque (cas traite en 1994) je ne sais pas pourquoi je ne l'ai pas fait, j'aurais du pour parfair les choses.

Bipro depart exo fxwsj0 - Eugenol
Bipro depart endo uzvi10 - Eugenol
Bipro pendant ttt t7rrqw - Eugenol
Bipro fin endo so6kk6 - Eugenol

Picture1111 zburnd - Eugenol
saidkholoki

10/12/2007 à 08h36

Suite et fin, photos

Bipro fin  exo hrewbh - Eugenol
Bipro avant apres ppqeoj - Eugenol

bjc

10/12/2007 à 11h32

dixit Saïd
"pas mal du tout n'est-ce pas bjc?"

beau travail d’interception

bernard


bjc

10/12/2007 à 11h33

salut,
les modos m’ont demandé de ne pas afficher sur le net un email dont je ne suis pas le proprietaire.

c’est son E-mail professionnel (Bagden)
demandez le moi par MP.


200106 10150128247663588 709988587 6466236 5598391 n d7mksb - Eugenol
hallboy

10/12/2007 à 13h07

l'occlusion ( guide incisivo canin ) me parait pouvoir être amelioreée ( canine surtout.)
choix en fonction de l'esthetique pour ne pas rentrer plus? limite de l'orthodontie en soi? evolution du patient au dela du traitement et donc au niveau occluso ne pas le considerer comme un stade definitif?

On a souvent en omni des retours un peu comme cela: comme on connait le cas de depart, on sait que c'est un joli boulot; mais cela laisse une impression d'inachevé. peut etre que ce sera une occlusion suffisante ou non ( aucun moyen d'en etre sur )


Et donc, la question qui va avec : qd/comment decide t on d'arreter le traiement? l' esthetique profil levres est decisive?


1 eugenol dmj5np - Eugenol
Dancha

10/12/2007 à 18h06

bjc Ecrivait:
-------------------------------------------------------
..
> ..: le médecins soignent une fièvre avec un
> antibiotique à large spectre, ils ne savent pas ce
> qu’ils ont guéri, mais ils ont guéri, c’est le
> plus important
> on pourrait dire que les techniques à friction
> faibles sont à large spectre


Tu fais une nouvelle fois erreur.. Dois-je te rappeler que la fièvre est une défense de l’organisme à une attaque et lorsqu’elle est virale l’antibiotérapie ne sert qu’à prévenir des complications bactériennes opportunistes.
Quand je lis ce que tu écris, je comprends mieux ta démarche intellectuelle, mais tout cela fait froid dans le dos pour tes pauvres patients.

> pourquoi veux tu tout expliquer, le plus important
> est le passé ou l’avenir

Parce que c’est dans ma nature d’essayer de comprendre. Essaye aussi, tu pourras quelquefois avoir des surprises.

> on en a discuté avec des copains, on ne sait pas
> ou peut s'arrêter la correction de DDM. sans
> extractions

Bien sûr que si, on le sait parfaitement ! Il faut vraiment que tes copains et toi soyez aveuglés pour croire qu’il n’y pas de limite fonctionnelle ni esthétique à l’expansion.
La limite fonctionnelle est donnée par l’équilibre musculaire à respecter et la limite esthétique ordonne de ne pas sortir des critères que j’ai évoqués précédemment ici même en réponse à Hallboy.

> pour l'autre question, oui
> c'est le choix esthétique qui me ferait faire des
> extractions
> a quoi ça sert des beaux modèles de vitrine en
> occlusion et tout, si c'est disgracieux
> ..

Là nous sommes d’accord. Mais il semble bien qu’il y ait une petite contradiction avec ce que tu as écrit juste avant.

> ..
> je répète pour la nième fois
> la friction faible permet d’agir avec des forces
> faibles qui sont du m ordre que les forces
> musculaires
> je répète : les arcs servent de guide à l’action
> de ces forces, parfois aidées de forces de m
> importance

Personne ne dit le contraire.

Daniel


bjc

10/12/2007 à 22h57

et les messieurs "je sais tout"


"Tu fais une nouvelle fois erreur.. Dois-je te rappeler que la fièvre est une défense de l’organisme"

une défense, une défense !!! lorsque tu as 42° au contraire, tu n’as plus de défenses !!!
la fièvre est un symptôme
je répète, bien que mon exemple soit imparfait :
ils ne savent pas ce qu’ils ont guéri, mais ils ont guéri, c’est le plus important

mon parallèle, qui est imparfait, était de dire que l’on a négligé les forces faibles en M.B.
on a arrondi les forces, comme en math on arrondi, on a négligé le 0.001 qui se révèle important, en traitement et lorsqu’on débague (récidive)

il faudrait une longue étude pour le prouver, mais c’est mon sentiment clinique


"Parce que c’est dans ma nature d’essayer de comprendre. Essaye aussi, tu pourras quelquefois avoir des surprises."

La nature à bon dos, vouloir comprendre à tout prix peut conduire à de fausses interprétations et donc des erreurs d’indication
bien sur que j’essaye de comprendre, mais si je sens qu’il y a des facteurs qui m’échappent, je préfère surveiller l’évolution de mes cas, et les guider, plutot que, des le départ, mettre une mécanique contraignante qui laisse peu de place aux forces faibles biologique

nature ou pas nature, that is the question

@+ Bjc.





bjc

11/12/2007 à 02h21

les forces biologiques sont difficilement mesurables
allez mesurer la force d’une langue ou d’un orbiculaire sur une 11
c’est pourquoi, bien qu’elles existent
je dis je ne sais pas

allez, dodo


Picture1111 zburnd - Eugenol
saidkholoki

11/12/2007 à 07h58

hallboy Ecrivait:
-------------------------------------------------------
> l'occlusion ( guide incisivo canin ) me parait
> pouvoir être amelioreée ( canine surtout.)
> au niveau occluso ne pas le considerer comme un
> stade definitif?

Tu as raison, mais ce cas a ete traite sans bagues et sans fils en permettant a l'occlusion naturelle de se mettre en place grace a une matrice fonctionnelle normaleisee apres une reeducation. Vu l'age du patiente, l'occlusion n'a pas fini sa mise en place, mais en voyant le debut, tu peux deviner la fin. Je ne l'ai plus revu apres car les parents ont quitte Abu Dhabi, donc je n'ai plus d'autres documents a vous montrer, mais la situation doit s'ameliorer, inchallah.

> On a souvent en omni des retours un peu comme
> cela: comme on connait le cas de depart, on sait
> que c'est un joli boulot; mais cela laisse une
> impression d'inachevé. peut etre que ce sera une occlusion suffisante ou non ( aucun moyen d'en etre sur )

Encore une fois tu as raison, et je crois que la collaboration entre omni et ortho doit longtemps continuer apres la fin d'un traitement ortho. Nous traitons des etres vivants qui sont en changement perpituel et nous ne pouvons donner aucune garantie a vie sur le travail accompli, mais nous pouvons dire: Si l'occlusion est belle et fonctionnelle, si la matrice fonctionnelle est neutralisee et si le patient s'occupe bien de ses dents, si tous ces facteurs sont presents on pourrait esperer que les resultats seronts stables. Mais quoi faire pour lutter contre le processus de vieillissement!!!

> Et donc, la question qui va avec : qd/comment
> decide t on d'arreter le traiement? l'esthetique profil levres est decisive?

Une tres bonne question!!
Un traitement orthodontique s'arrete quand il est fini et il n'y a plus rien a faire, ou bien interrempu pour des raisons de cooperation, brossage ou autre.
Nous allons plutot s'interesser au premier cas de figure. Tout traitement doit avoir des objectifs determines et claires. Ces objectifs sont: Matrice fonctionnelle neutralisee, bon equilibre squelettique, occlusion normale et fonctionnelle et le tout dans un cadre esthetique bien respecte.
Quand ces objectifs sont realises nous pouvons dire que le traitement est fini, et la meilleure contention c'est une bonne matrice fonctionnelle avec une occlusion stable et fonctionnelle.
Peviligier le cote esthetique pourrait intervenir dans la prise de decision therapeutique avant de commencer, extraire ou pas extraire par exemple, ca pourrait intervenir pendant le traitement quand on hesite entre deux solutions et on prefere repousser une decision irreversible pour un peu plus tard en esparant que le cas va reagir favorablement a notre mecanique et en avertissant les parents de ce changement eventuel.
Mais en fin de traitement, les quatre points: fonction, squelette, occlusion et esthetique, ont la meme importance si on veut que resultats durent.
Je pense que tout ce qui est fonctionnel est beau et stable, mais tout ce qui est beau n'est pas toujours fonctionnel et risque de ne pas durer lontemps.




bjc

11/12/2007 à 09h32

;;;

Img 7027 dwnzfc - Eugenol

Picture1111 zburnd - Eugenol
saidkholoki

11/12/2007 à 09h42

Tu n'as jamais vu au cabinet une tres jolie fille mais avec des ATM qui craquent? Moi si. Tu me diras dans ce cas la je ne sais plus quoi regarder ou quoi palper en premier!!!


200106 10150128247663588 709988587 6466236 5598391 n d7mksb - Eugenol
hallboy

11/12/2007 à 12h19

j'en ai vu, et avec des occlusions de Frasaco...
m^me pas possible de rejetter la faute sur un ortho;)


1...456...