Cookie Consent byPrivacyPolicies.comVos avis m’intéressent - Eugenol

Vos avis m’intéressent

1 eugenol dmj5np - Eugenol
Dancha

11/12/2007 à 12h34

mais on peut rencontrer aussi de belles proalvéolies découlant de magnifiques classes II dentaires, qui donnent beaucoup de charme à leur propriétaire…

Daniel


1 eugenol dmj5np - Eugenol
Dancha

11/12/2007 à 13h06

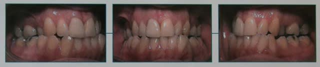
Finalement, j’ai quand même suivi les conseils du professeur et fait extraire les quatre premières prémolaires de ce garçon
Ai-je eu tort, bjc ?

Daniel

P.S. : j’ai remis les photos ci-dessous.

Bj0 ebgtwq - Eugenol
Bj01 eyzhls - Eugenol

ortho-sxm

11/12/2007 à 15h38

hallboy Ecrivait:
-------------------------------------------------------
> j'en ai vu, et avec des occlusions de Frasaco...
> m^me pas possible de rejetter la faute sur un
> ortho;)

Une occlusion de Frasaco ne signifie malheureusement pas que la mandibule est bien positionnée et que l'ATM travaille de manière physiologique. C'est là toute la subtilité de ce métier à mon avis...


bjc

11/12/2007 à 18h04

vas y
montre ton cas terminé


1 eugenol dmj5np - Eugenol
Dancha

11/12/2007 à 18h23

Je ne peux pas te le montrer terminé car je vais commencer le traitement seulement maintenant. Les premières prémolaires viennent seulement d'être extraites.

En fait, de quoi as-tu peur exactement bjc ?
Que j'aplatisse le visage ?

Daniel


200106 10150128247663588 709988587 6466236 5598391 n d7mksb - Eugenol
hallboy

11/12/2007 à 18h51

ortho-sxm Ecrivait:
-------------------------------------------------------
> hallboy Ecrivait:
> --------------------------------------------------
> -----
> > j'en ai vu, et avec des occlusions de
> Frasaco...
> > m^me pas possible de rejetter la faute sur un
> > ortho;)
>
> Une occlusion de Frasaco ne signifie
> malheureusement pas que la mandibule est bien
> positionnée et que l'ATM travaille de manière
> physiologique. C'est là toute la subtilité de ce
> métier à mon avis...


Clenching ++++
l'atm saute secondairement. mais c'est une toute autre histoire.


bjc

11/12/2007 à 19h27

Je ne pense pas que tu fasses tes choix thérapeutiques juste pour m’embeter
c’est un peu étonnant que tu présentes tes cas comme si c’était cela qui te guidait

pourquoi avoir fait ce choix là finalement?


1 eugenol dmj5np - Eugenol
Dancha

11/12/2007 à 20h14

bjc Ecrivait:
-------------------------------------------------------
..
> pourquoi avoir fait ce choix là finalement?
>

Je me suis rappelé les arguments du professeur qui mettait en avant l’incompétence labiale de ce jeune homme, sa béance, la quantité d’encombrement antérieur inférieur ingérable à cause de la largeur d’arcade postérieure quasi normale… et son expérience clinique.
Et comme il disait qu’il fallait extraire les premières prémolaires, je lui fais confiance, c’est tout.

Est-ce une erreur ?

Daniel


bjc

11/12/2007 à 20h26

largeur d’arcade quasi normale en bas ?


Picture1111 zburnd - Eugenol
saidkholoki

11/12/2007 à 21h30

Penses-tu qu'on est vraiment capable d'elargir encore cette arcade? et par quel moyen? et jusqu'ou?


bjc

11/12/2007 à 23h08

il manque peu de chose à l’arcade du bas, c’est sur l’arcade du haut qu’il faudrait agir si on ne veut pas faire d’extraction

de toute manière la cause est entendue, ce n’est pas la peine de radoter

j’attends un cas semblable que l’on doit m’envoyer, vous verrez bien


bjc

11/12/2007 à 23h58

bonsoir,

car ce cas n’est pas facile

il y a 15 ans, j’aurais traité avec extractions
il y a 5 ans je l’aurai envoyé à un confrère qui travaillait en friction faible pour avis
maintenant je tenterais le cas sans extraction, en prévenant la famille qu’il y aurait peut être des extractions

qui détient la vérité?


1 eugenol dmj5np - Eugenol
Dancha

12/12/2007 à 10h48

bjc Ecrivait:
-------------------------------------------------------
> il manque peu de chose à l’arcade du bas, c’est
> sur l’arcade du haut qu’il faudrait agir si on ne
> veut pas faire d’extraction
>

Tu as raison, il faut agir pas mal sur l’arcade du haut.

Mais indépendamment de celle du haut, est-ce que tu penses vraiment que l’arcade du bas aurait pourrait être traitée sans extractions ?
Moi, je ne le pense pas. Cependant, comme il manque peu de chose à cette arcade, j’étais plutôt tenté d’extraire les secondes prémolaires que les premières pour obtenir autant une mésialisation des dents postérieures qu’un gain de place pour le groupe incisivo-canin et ainsi ne pas prendre le risque de créer un recul des lèvres en fermant les espaces d'extraction.
Finalement, je me suis quand même rallié à l’avis (l’expérience) du professeur et fait extraire les premières prémolaires.

En réfléchissant, je me demande maintenant si ce n’est pas à cause de sa culture edgewise (qui ne va pas dans la nuance) qu'il m’a dit d’extraire les premières plutôt que les secondes prémolaires et j’ai un petit peu peur du résultat.

Qu’en penses-tu ?

Daniel


bjc

12/12/2007 à 11h50

tu as du bien étudier ses Rx. et ses moulages

tous mes vœux de réussite


1 eugenol dmj5np - Eugenol
Dancha

12/12/2007 à 13h28

Tu ne veux vraiment pas me dire ce que tu en penses, sincèrement ?

Daniel


bjc

12/12/2007 à 14h17

salut,

ce cas n’est pas facile

il y a 15 ans, j’aurais traité avec extractions
il y a 5 ans je l’aurai envoyé à un confrère qui travaillait en friction faible pour avis
maintenant je tenterais le cas sans extraction, en prévenant la famille qu’il y aurait peut être des extractions

qui détient la vérité?

sincerement votre

Bjc.


1 eugenol dmj5np - Eugenol
Dancha

12/12/2007 à 15h00

Je reformule ma question différemment : si tu décidais alors d'extraire, quelle dent extrairais-tu ?

Daniel


bjc

13/12/2007 à 12h27

salut,

j’attend le cas (DDM. Long face) traité par un copain ortho qui doit me les envoyer par mail
il est tres occupé, peut etre ce week end

en attendant, daniel pourrait nous montrer les Rx. et moulages de son patient

@+ Bjc.


bjc

13/12/2007 à 15h33



Picture1111 zburnd - Eugenol
saidkholoki

13/12/2007 à 20h07

lequel est avant et lequel est apres? qu'est ce qu'on doit regarder ou noter dans ce cas?


bjc

13/12/2007 à 20h39

voici

Prognathie Md. squelettique, Cl. III. Dentaire, occlusion croisée bilatérale abscence de 14, 24, et 34
elle a suivi un traitement ortho à l’adolescence et ne veut pas de chir.
son objectif : amélioration de son sourire
decision de traitement : extraction de 44

Debut 1 r9yce7 - Eugenol
Debut 2 gekfba - Eugenol

bjc

13/12/2007 à 20h41

fin de TTT.

Fin 1 lzh5a6 - Eugenol
Profil fin w50wqy - Eugenol

bjc

13/12/2007 à 20h42

damon ne fait pas tout

imaginez son profil si les PM. avaient été présentes

@+ Bjc.

Comparaison profils 1 cnmjf2 - Eugenol

Picture1111 zburnd - Eugenol
saidkholoki

13/12/2007 à 22h41

Tu as raison pour dire non aux extractions dans ce cas, mais je crois que le probleme ici c'est que 3 premolaires sont abscentes, avec ou sans ttt odf precedent, mais en tou cas les espaces ont ete fermes par recul incisif surtout ce qui a detruit son profil. La question que je pose toujours, si le traitement, meme avec extractions, avait bien gere la fermeture des espaces avec perte d'ancrage posterieure et minimiser le recul incisif, pensez vous que le profil sera le meme?


bjc

14/12/2007 à 00h07

salut,

Je crois que dans ce cas il ne s’agit pas d’une perte d’ancrage postérieur, mais plutot d’une perte d’ancrage antérieur (à l'époque)
c’est toute la difficulté de ces cas avec extractions

puisqu’on parle de si
si on avait retraité ce cas en gardant 44 et réouvert les espaces de 14,24,34

encore une fois, ce ne sont que des S, SI si si.....
(pas tres autorisé en ortho)

@+ Bjc.


1...5678