Cookie Consent byPrivacyPolicies.comcomment sortir ce p... de protaper - Eugenol

comment sortir ce p... de protaper

alhoun

03/12/2007 à 12h42

PETER Ecrivait:
mais il y a d
> autres niti qui casse difficilement..tu as choisi
> le plus fragile


pour se débarrasser de son chien, on l'accuse d'avoir la rage....



200106 10150128247663588 709988587 6466236 5598391 n d7mksb - Eugenol
hallboy

03/12/2007 à 13h18

Il doit y avoir une grosse dizaine de fils sur la casse et le niti en rotatif: il n'y en a pas un ou on ne parle pas de l'accés et de tout faire pour effacer les courbures en relocalisant l'entrée.
Là on a une boulette operateur dependante à 100%. tu aurais cassé un hero,un Mtwo,un K3 tout pareil.

sauf que là ou tu l'as cassé, tu as pas mal de chances de le sortir. J'ai appris pour bcp plus cher.

alors ne te frappes pas, mais apprend de tes erreurs ou mieux de celles des autres;)


Stéphane

03/12/2007 à 13h41

PETER Wrote:
-------------------------------------------------------
> je ne veux pas citer de marques..mais il y a d
> autres niti qui casse difficilement..tu as choisi
> le plus fragile


Peut on savoir pour toi quel est le moins fragile ? et pourquoi ?


Loic

03/12/2007 à 14h05

hi hi je rigole d'avance....


200106 10150128247663588 709988587 6466236 5598391 n d7mksb - Eugenol
hallboy

03/12/2007 à 14h13

malheureusement PETER ( tu aurais pu te mettre en Peter ça aurait été + simple ;) dans l'espoir de trouver l'instrument miracle; j'ai bien farfouillé dans un joli nombre de publications et les differences sont tres peu significatives. parfois m^me contradictoires ( les profiles cassent moins. ( ???? !!!! ) les K3 cassent moins ( mais pas toujours ) les hero cassent moins ( mais on veux du 6%. Je sais que les hero appical existent ) etcetc

Et je dis ça d'autant plus tranquilement que j'utilise des Mtwo et des protaper en manuel. Je sais tres bien que la difference est dans ma tête. mais comme j'ai des doigts un brin moyen, il vaut mieux que j'ai toute ma tête;)

Si j'arrivais a du 25 en 6% avec une petite cuillere, je le ferai avec une petite cuillére: je n'ia aucun fetichisme instrumental, mais m^me avec une petite cuillere, là il fallait se mettre dans l'axe


PETER

04/12/2007 à 04h05

c est tres simple,il y a 10 jours,je suis alle a l adf au stand MM micro-mega,j ai rencontre un technicien ,je lui ai demande la difference entre tous les niti,et de me convaincre d acheter le hero...parce que moi qd je rencontre un fabricant je lui fait un interrogatoire a la maigret

voila,ce que j ai appris..le niti est brevete par un dentiste americain,tout le monde lui verse des royalties..sauf MM qui a echappe a cette forme,et a brevete la sienne propre,en tenant compte justement des fractures..il m a dit si vous respectez le protocole..le protaper pas de probleme de casse..tandis qu avec le hero on peut s en ecarter,il pardonne....de plus MM travaille sur un nouveau profil qui se tordra,mais ne cassera pas....
je leur fais confiance,car leurs tire-nerfs se tordent mais ne cassent pas..ils sont les inventeurs du girofile-giromatic..donc ils ont deja ete confrontes a ce probleme..j aime le savoir-faire de cette boite,ils ne m ont jamais raconte des pipos,ils sont francs,par ex un jour on parlait des contre-angles WH autrichiens,ils m ont dit texto,on a demonte un WH,on l a examine on ne sait pas faire pareil... pour le moment

il y a juste un bemol MM est en passe d etre vendu tantot,que ferons les repreneurs?

P.S.pourquoi..je ne divulgais mes truc-secrets qu a l etranger,a savoir aux italiens,et belges lors de mes conferences pratiques parce que
un italien,ou un belge ne viendra jamais s installer en face de moi..voila Banane


Squash u44zd8 - Eugenol
steph

04/12/2007 à 09h05

PETER Ecrivait:
-------------------------------------------------------

le niti est brevete par
> un dentiste americain

Ben tiens!!!!
Et ça tu l'as pris pour argent comptant?
Ca fait bien longtemps que le titane est utilisé en médecine (et ailleurs) et tout à coup un dentiste du fin fond des Rocheuses découvre le NiTi.
Nitinol pour Nickel Titane Naval Ordnance Laboratory, du nom de l'endroit où il a été découvert ; encore une fois il s'agit de l'armée.


PETER

04/12/2007 à 09h48

mais non..mais non.. le mec a brevete la forme des instruments rotatifs,il ne pouvait pas breveter le nickel titane,de plus comme un brevet ne dure que 20 ans le niti ,s il etait brevetable serait tombe dans la domaine public

car prononcer les instruments endodontiques rotatifs c est trop long a dire..
alors pour abreger
on dit les niti...je te donnerai le nom du dentiste qui a depose le brevet et qui touche des royalties notamment de maillefer

pour la petite histoire RTD ,mr Raynaud avait un brevet sur l la fibre de verre en dentaire,avec fibres equitendues,,c etait bidon..un dentiste de chez Carbotech est alle en justice et a demoli son brevet..parce que la fibre de verre justement n etait pas brevetable..comme le niti..
la aussi pour ne pas dire les pivots en fibres de verres,,on abrege en disant..les fibres..avec accent sur le e ,
a propos est-ce que tu places de temps en temps des fibres?,..as-tu une bonne reussite?Degrange pretend qu entre un praticien et un autre..il peut y avoir jusqu a 700 pour cent de difference dans la ressite...


Squash u44zd8 - Eugenol
steph

05/12/2007 à 12h57

Ca m'intéresse effectivement le nom de ce dentiste.
Et non je n'ai pas posé de tenons fibrés jusqu'à présent.


Stéphane

05/12/2007 à 13h08

il doit parler de William Ben Johnson.

dans tout cela, il y a un petit peu de vrai, mais beaucoup de faux. Mais si ca fait plaisir ... ca ne fait pas de mal


Stéphane

05/12/2007 à 13h09

PETER Wrote:
-------------------------------------------------------
> je leur fais confiance,car leurs tire-nerfs se
> tordent mais ne cassent pas..

C'est sur que si les tire nerfs ne cassent pas...


Img 1392 s73srk - Eugenol
Guttaman

05/12/2007 à 13h23

Moi, ce que je pense de tout ça, c'est que les mecs qui proposent des formations d'endo ont du boulot pour longtemps encore. Finalement, la formation obligatoire a du bon. Il faut juste espérer que les séminaires de coaching ne soient pas accrédités.


inplomb

05/12/2007 à 22h59

au lieu de penser donne moi un conseil pour sortir la mèche


Stéphane

05/12/2007 à 23h55

inplomb Wrote:
-------------------------------------------------------
> au lieu de penser donne moi un conseil pour sortir
> la mèche

Une astuce qui parait farfelue, mais qui te permettra certainement de la retirer sans difficulte.

Ouvre correctement la cavite d'acces,
degage l'instrument sur trois ou 4 millimetres avec des ultra sons
Utilise une grosse aiguille dont le diametre interne correspond a peu pres a celui de l'instrument. Une grosse aiguille type intra veineuse peut faire l'affaire, quoique j'ai un doute pour un F3; sinon tu trouveras ton bonheur dans les embouts de Bisico ou d'etching par exemple.
Assure toi qu'il peut s'enficher sur l'instrument

Si tu as de la resine calcinable, prepare en un peu et remplit l'interieur de l'aiguille avec

place l'aiguille remplie de resine sur l'instrument, et attend 5 minutes minimum. quand la resine a polymerise, tourne lentement l'ensemble dans le sens inverse des aiguilles d'une montre, et l'instrument va se devisser.

Si tu n'as pas de resine, tuu peux faire la meme chose avec de colle cyanoacrylate. Le temps de prise est un peu plus long. Pour l'accelerer tu peux egalement rajouter dans la cavite d'acces une goutte de monomere de resine une fois que l'aiguille est en place.

Cette technique parait un peu OLE OLE, mais elle se prete reellement a cette configuration; et finalement, ce n'est pas le plus difficile a retirer.

Si ty y parviens, envoie nous une photo ! C'est toujours impressionant et moi ca me fait plaisir quand les gens reussissent !


Loic

06/12/2007 à 01h19

un troclar peut faire l affaire aussi.


Coccinelle mgl0qv - Eugenol
murielle

07/12/2007 à 00h02

Stéphane Ecrivait:
-------------------------------------------------------
>>
> Si tu n'as pas de resine, tuu peux faire la meme
> chose avec de colle cyanoacrylate. Le temps de
> prise est un peu plus long. Pour l'accelerer tu
> peux egalement rajouter dans la cavite d'acces une
> goutte de monomere de resine une fois que
> l'aiguille est en place.
>


Dans ce cas, il faut juste éviter que la cyanocrylate coule et vienne coller le protaper cassé avec la racine sinon ça ne va pas arranger tes affaires... ;-)


200106 10150128247663588 709988587 6466236 5598391 n d7mksb - Eugenol
hallboy

07/12/2007 à 00h07

D'apres mon confrere le Dr. Vafancullo; si tu ouvres correctement ta cavité, degages 2 ou 3 mm a la fraise de touati autour de ton protaper, il se pourrait meme que les US à fond les manettes suffisent .

Parce qu'une fois bien accessible dans l'axe; il est qd meme peté tellement haut qu'on croirait un screw-post


Audi tt 2007 jzsdts - Eugenol
sbire

07/12/2007 à 16h28

oui ben parfois, t'y arrives, parfois, tu casses encore plus le protaper (ou autre)et une partie s'enfonce un peu plus....

Aprés, on fait ce qu'on peut sur une 48 ou deux instruments ont été découverts fortuitement...ou presque

R2 p3azb7 - Eugenol
R8 sdtgoz - Eugenol
R9 lksj6f - Eugenol
R10 mj3er7 - Eugenol

200106 10150128247663588 709988587 6466236 5598391 n d7mksb - Eugenol
hallboy

07/12/2007 à 16h38

ça a pas du te prendre 5 minutes!!!

US et fraise, c'est vraiment pour le cas de depart cassé extremement haut


alhoun

07/12/2007 à 16h43

je ne comprends pas l'acharnement sur cette dent, mon sbire, abstraction faite de la qualité de ton travail.


Audi tt 2007 jzsdts - Eugenol
sbire

07/12/2007 à 17h38

j'avais un peu de temps...et puis ma formation implanto est pas finie, faut faire durer...:)


Pa050055 igyagy - Eugenol
mark

07/12/2007 à 21h50

... et la beauté du geste!

Hallboy, l'U.S. à fond les manettes c'est pour celui qui néglige le prix d'un ET18D ou d'un ET25...


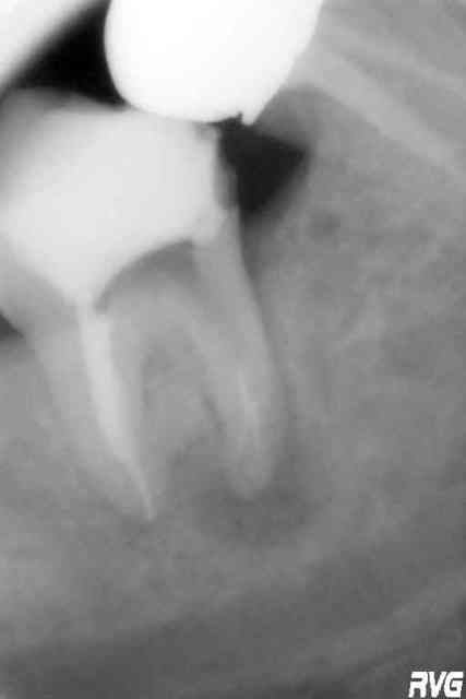
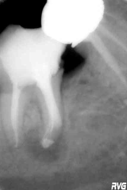
Image odged8 - Eugenol
ploc

11/12/2007 à 16h39

truc sympa aujourdh'ui:j'adore les casses des autres...
rassures toi inplomb avec de la patience et les instruments adequats ça sort

-instruments reprise de ttt protaper
-glyde
-limes
-racleurs
-limes sur US
-irrigation en alternance avec glyde
-petite pince très fine
-gagné
:)

cela dit je n'ai rien contre le lentulo(...) mais pouquoi celui qui casse aussi haut ne l'enlève t'il pas de suite?
pas bien compliqué ou en tout cas plus simple qd la pâte n'est pas prise
plus altruiste pr le confrère qui arrivera derrière
bref faut assumer...

zut les radios!


Image odged8 - Eugenol
ploc

11/12/2007 à 16h44

radios

R1 uq8spw - Eugenol
R2 hscwt1 - Eugenol
R3 bceowk - Eugenol
R4 vrw98y - Eugenol

joe

19/12/2007 à 02h13

bon alors cher inplomb

ça en est où?