Cookie Consent byPrivacyPolicies.comcomment sortir ce p... de protaper - Eugenol

comment sortir ce p... de protaper

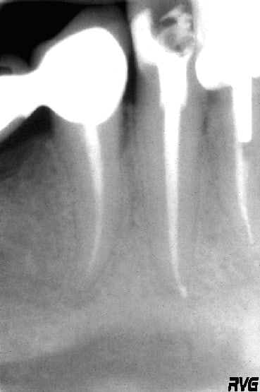
inplomb

19/12/2007 à 13h22

rdv après les fêtes
...


joe

20/12/2007 à 02h58

je sais pas comment tu fais, moi ça me ferai trop suspense, je n'aurai pas pu attendre autant sans voir si ça allait sortir.

bon ben à suivre donc


joe

15/01/2008 à 01h56

y a t il des nouvelles?


inplomb

15/01/2008 à 16h23

le RDV est le 23/01
patience ...


inplomb

25/01/2008 à 10h49

J'ai appliqué la methode "olé olé" de stéphane.

En ce qui concerne l'IRS, c'était même pas la peine d'y penser car le Protaper F2, à sa base, a un diamètre trop important.

1. J'ai commandé (à l'unité) un trépan de la trousse de masseran correspondant en interne au diamètre du F2 ainsi qu'à celui qu'un embout de "Glyde" pour le diamètre externe.

2. J'ai dégagé la partie haute de linstrument fracturé (Fraise, US et trépan)

3. Avec de la résine autopo luxatemp pour provisoires j'ai rempli l'embout du glyde que j'ai positionné sur l'instrument.

4. 3 min plus tard, il n'y avait plus qu'à dévisser et le tour était joué.

Je remercie ceux qui m'ont donné des conseils et merci à Stéphane.

Obturation rciggw - Eugenol

Stéphane

25/01/2008 à 12h45

comme quoi, il faut toujours essayer.

Et reconnait que quand l'instrument sort, on est content et presque fier... ce qui fait presque oublier qu'on est responable de la connerie.

Une histoire qui se finit bien !


200106 10150128247663588 709988587 6466236 5598391 n d7mksb - Eugenol
hallboy

25/01/2008 à 15h44

Stephane: Mike, puis les britons, et maintenant des methodes " Olé Olé "...
Remarque, tes choix de cravates nous en avaient déja appris tres long. ça se confirme: tu es un excentrique;).


joe

26/01/2008 à 20h00

merci pour les nouvelles

une technique à retenir en espérant ne jamais avoir à l'utiliser


aquarium

30/03/2010 à 02h18

Je vous remercie aussi pour ces conseils, m'est arrivé un truc dingue aujourd'hui. Je venais de finir de passer le hero shaper 6% jusqu'à ma LT, j'avais bien irrigué. Pour bien finir ma préparation, comme d'hab je passe un hero apical. Et là c'est le drame, il pète exactement comme sur la radio du 1er post de ce fil.
Quelqu'un a déjà eu un hero apical qui casse?
En tout cas je revois mon patient la semaine prochaine, j'essaierai vos trucs!


Gaudi parc guell lezard  ntokms - Eugenol
lezard

30/03/2010 à 10h28

Tu peux aussi essayer le tout nouveau endo rescue de chez Komet




pickwick

31/03/2010 à 17h25

Supprimer ce qui reste de la couronne et utiliser l extracteur de gonon dernier modele qui a un pas de vis inversé, ce qui permet de visser l instrument et de retirer l instrument cassé en dévissanr.


Little shop of horrors brzqjx - Eugenol
chatondecarte

31/03/2010 à 17h58

lezard écrivait:
----------------
> Tu peux aussi essayer le tout nouveau endo rescue de chez Komet
>
>
>

Qui l'a essayé? Je vais me l'acheté, je crois que c'est l'excellent Dominique Martin qui l'a mis au point.


Cuisinier2 vnbbxx - Eugenol
jeff2

02/04/2010 à 14h44

le microkit masseran est largement suffisant..


Pa050055 igyagy - Eugenol
mark

04/04/2010 à 21h35

Il y a une différence notable entre l'IRS-Masseran et l'Endo Rescue, c'est le diamètre des instruments, donc celui des instruments cassés auxquels il est destiné.

De plus, à priori, la flexibilité paraît plus propice à un travail qui ne serait pas absolument rectiligne. Mais cela reste à vérifier.

J'en ai fait l'acquisition, comme moyen supplémentaire... mais ne suis pas pressé de devoir le tester!!! ;)