Cookie Consent byPrivacyPolicies.comBio os et membrane - Eugenol

Bio os et membrane

pulpite2005

04/12/2007 à 11h35

Avec tous les produits que l'on trouve sur le marché,je suis un peu perdu.
Quels sont les produits les plus pratiques (en terme de maniabilité) et efficaces que vous utilisez en matière de bio os et de membranes?
Merci


ambroise

04/12/2007 à 13h23

en matière de bio os j'aime bien utiliser le Bio-Oss


Humator t9r5wy - Eugenol
humator

04/12/2007 à 13h48

pulpite2005, ce que te dis ambroise, c'est que bio oss est le nom comercial de materiau de comblement. Peut etre voulais tu savoir que type de materiau on utilise?
pour ma part, je frequente:
Os autogène raclé, prélevé, broyé, si possible.
Os de banque humain: ostéopure, tbf: j'ai arrété, car l'os d'un autre, ça me derange...
Os bovin: dont bio oss: très utilisé, très documenté. Donne satisfaction
materiau artificiel: biobase par exemple: fonctionne très bien quand le but recherché est simplement de maintenir un volume.
membrane: j'utilise biomend extend occasionnellement.


Icon poker h4nm2d - Eugenol
jeff

05/12/2007 à 23h50

essaye depuis peu RTR de zizine. tres bien en post extraction pour maintenir un volume. pas cher . Pas essayé encore avec implant.


Avatar ow44t3 - Eugenol
Chicot

06/12/2007 à 23h01

jeff Ecrivait:
-------------------------------------------------------
> essaye depuis peu RTR de zizine. tres bien en post
> extraction pour maintenir un volume. pas cher .
> Pas essayé encore avec implant.


moi si et j'ai pas plus de souci qu'avec le bio-oss!!!


Péach

06/12/2007 à 23h39

si je ne me trompe pas , le RTR est du ß TCP, j'en utilise depuis 1 an à la place du bio oss, et ça marche très bien avec les sinus lift, les E.I.I, etc, c'est beaucoup moins cher au gramme et la dose fait 10 fois la dose de bio oss, pourquoi s'en priver?
demain, je fais une EII avec TCP, membrane et temporisation immédiate sur une latérale; si les photos sont bonnes, je fais un post


3f3boxni50k58rq7e9ce9ddqrxgk - Eugenol
dentiste57

06/12/2007 à 23h53

perso j'utilise depuis longtemp du bioos mais viens de prendre depuis peu du RTR (question de coût)

sinon je préfere utiliser de l'os autogene c'est pour ça en partie que le piezosurgerie de mectron avec son bone scraper va bien m'aider..

oups, j'ai aussi utilisé de Laddec mais c'était il y a longtemps et le résultat avait été parfait.

pour les membrane; bioguide depuis longtemps aussi mais encore pour une question de coût je viens de commencer à utiliser les dexter biocollagene beaucoup moins chères environ 50% de monis .
pour l'instant pas assez de recul pour vous dire ce que j'en pense.
ha oui j'allais oublier, les membranes vicryl c'est de la mer..., une vraie salop... plus jamais!


Péach

07/12/2007 à 13h56

Péach Ecrivait:
-------------------------------------------------------
demain, je fais une EII avec TCP, membrane et
> temporisation immédiate sur une latérale; si les
> photos sont bonnes, je fais un post

finalement, ça s'est terminé par une E. mais pas de I.I. ni de temporisation immédiate du tout malheureusement; par contre, pose de membrane et de ß TCP; voici les photos; ah oui, photo aussi d'une endo top de top (c'est pas moi, c'est pas moi!); l'extraction s'est faite avec un kit de piezo que l'on m'a prêté pour essai, c'est génial de chez génial, très très peu de délabrement, ostéotomie très fine, danger inexistant, je suis séduit

0 radio qlhmon - Eugenol
1pre op uwpf96 - Eugenol
2post piezo y7tttk - Eugenol
3post extr d3zxec - Eugenol

Péach

07/12/2007 à 14h04

on voit sur la photo de l'alvéole vide en palatin le début de"trou" que j'ai fait, il faut se méfier du piezo quand même, c'est à la fois très sécurisant mais c'est aussi puissant, la preuve, il faut donc continuer à réfléchir, pfffff, et la suite arrive

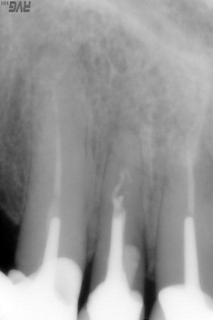
4racine m4o4fb - Eugenol
5 radio taraud o8c2oc - Eugenol
6lésion hzdaqx - Eugenol
7patron tvommu - Eugenol

Péach

07/12/2007 à 14h19

après forage du puit en ø 3, j'ai testé le site et j'ai compris tout de suite que ça n'allait sans doute pas se passer comme d'habitude, le foret bougeait trop à 15 mm; j'ai quand même continué en ø 4 et mis le taraud pour voir; ça a bien bloqué mais j'étais sceptique; le problème, c'est que ça saignait aussi de façon anormale; j'ai donc décidé de soulever le lambeau en PE pour voir ce qui se passait....je n'ai pas été déçu; j'ai cureté le TG qui était externe à l'alvéole, j'aurais d'ailleurs pû y penser tout de suite en voyant la racine, et j'ai changé d'objectif : plus d'implant mais comblement seul; j'ai refermé avec le TCP et la membrane de collagène que j'ai quasiment intégralement recouverte par un lambeau d'épaisseur partielle; la membrane devrait s'exposer un peu mais ça se gère habituellement sans problème

8découpe zzcsri - Eugenol
9fermeture ljwhtt - Eugenol
Vue sup skqzkg - Eugenol

Péach

07/12/2007 à 14h28

on voit sur la photo la technique d'ouhayoun (et consorts?) pour découper la membrane avec le carton d'emballage stérile de la suture, suture d'ailleurs dite "de la peau des f...." de chez ethicon en vicril + à 350€ les 36 pièces de 45 cm; c'est mon premier essai avec, on verra ce que ça donne; la membrane est en collagène résorbable, ça marche très bien, j'en utilise depuis 15 ans; voilà, il fait un grand ciel bleu dehors, ça me consolera (il ne pleut pas toujours en bretagne;-) )


Avatar ow44t3 - Eugenol
Chicot

07/12/2007 à 18h01

Péach Ecrivait:
-------------------------------------------------------
> Péach Ecrivait:

> les photos sont bonnes

Mais oui elles sont bonnes dommage qu'il manque la vue de la lésion


> endo top

L endo n a pas empêché le confrère de mettre son IC

> piezo que l'on m'a prêté pour essai, c'est génial
> de chez génial, très très peu de délabrement,
> ostéotomie très fine, danger inexistant, je suis
> séduit


moi aussi je l utilisé depuis 1 bon mois en satelec


Péach

07/12/2007 à 18h08

Chicot Ecrivait:
>
>dommage qu'il manque la
> vue de la lésion

ben.... , elle y est, c'est marqué: 6lésion.jpg


Avatar ow44t3 - Eugenol
Chicot

07/12/2007 à 20h18

Péach Ecrivait:
-------------------------------------------------------
> Chicot Ecrivait:
> >
> >dommage qu'il manque la
> > vue de la lésion
>
> ben.... , elle y est, c'est marqué: 6lésion.jpg
>


oup's j'l'avais raté (je suis sur un Iphone...)


Humator t9r5wy - Eugenol
humator

08/12/2007 à 11h43

Chicot Ecrivait:
> oup's j'l'avais raté (je suis sur un Iphone...)

frimeur!

merci peach pour le diaporama. J'attend la suite...



Avatar ow44t3 - Eugenol
Chicot

08/12/2007 à 13h21

humator Ecrivait:
-------------------------------------------------------
> Chicot Ecrivait:
> > oup's j'l'avais raté (je suis sur un Iphone...)
>
> frimeur!

Et oui !!!!!


Péach

08/12/2007 à 13h42

humator Ecrivait:
-------------------------------------------------------

> merci peach pour le diaporama. J'attend la
> suite...

ok, la suite viendra dans une 10aine de jours : radio du TCP en place, dépose des fils..... et vue d'une partie exposée de la membrane? dommage que je n'ai pas fait la vue du TCP dans l'alvéole, le diaporama aurait été complet; la prochaine fois ...;-)


trimarc

08/12/2007 à 15h21

très très bien,
juste une question: pourquoi ne pas avoir posé quand même ton implant, puis comblement et membrane bloquée avec la vis de couverture?
donc avec une chirurgie en 2 temps.
sinon, diaporama et explication top....


Péach

08/12/2007 à 18h52

trimarc Ecrivait:

> pourquoi ne pas avoir posé quand même ton implant, puis >comblement et membrane bloquée avec la vis de couverture?
> donc avec une chirurgie en 2 temps.

ta remarque est très judicieuse; en fait, j'ai pensé que je jouais avec trop avec le feu si je le posais, non pas tant à cause du volume manquant autour de l'implant mais surtout à cause de la sensation de friction du taraud dans l'os sur 1 ou 2 spires, comme s'il était "sur la pointe des pieds"; dans ce cas, c'est pile ou face, ça passe ou ça ne passe pas, et si c'est le mauvais choix....
par ailleurs, voici ce qui se passe aussi quand on met du TCP et que l'on attend 6 mois; j'ai perdu un implant en janvier 2007 sur une infection post op à 3 semaines avec une couverture par birodogyl, j'ai remplacé l'implant fin septembre, l'os est magnifique, bien vascularisé, et je pose les ccm la semaine prochaine :-)



Dsc 0311 ojriey - Eugenol
Dsc 0313 lk5sij - Eugenol
Dsc 0314 zi9ven - Eugenol
Dsc 0315 qlqk6c - Eugenol

ambroise

09/12/2007 à 12h22

Péach Ecrivait:
-------------------------------------------------------
> si je ne me trompe pas , le RTR est du ß TCP, j'en
> utilise depuis 1 an à la place du bio oss, et ça
> marche très bien avec les sinus lift, les E.I.I,
> etc, c'est beaucoup moins cher au gramme et la
> dose fait 10 fois la dose de bio oss, pourquoi
> s'en priver?
> demain, je fais une EII avec TCP, membrane et
> temporisation immédiate sur une latérale; si les
> photos sont bonnes, je fais un post


le pb c'est que tous ces matériaux ne sont pas documentés dans la littérature et pour le B tcp on sait que sa résorbabilité varie avec l'individu ( Arzi et coll). En cas de pb comment justifier leur emploi?


Blason dql7mj - Eugenol
growler

09/12/2007 à 20h35

pulpite2005 Ecrivait:
-------------------------------------------------------
> Avec tous les produits que l'on trouve sur le
> marché,je suis un peu perdu.
> Quels sont les produits les plus pratiques (en
> terme de maniabilité) et efficaces que vous
> utilisez en matière de bio os et de membranes?
> Merci

en fait tout dépend du défaut osseux (nombre de parois notamment)
pour un sinus lift il y a des parois partout et donc un apport de cellules partout autour du matériau donc importance du type de matériau est moindre bien que les travaux de tarnow et wallace montrent que le bio-oss donne d'excellents résultats)
pour les défauts avec moins de parois il faut que le matériau soit bien immobilisé sur un os "décortiqué"
la encore le bio-oss est un matérai de choix.

pour les membranes, l'ossix et la biomend permettent mieux le maintien du volume par rapport à la bioguide qui épouse vraiment toute les aspérités.

j'ai vu des cas cliniques réalisés avec un matériau de régénération qui se manipule sous forme d'une pâte comme un putty: le regenaform. En voici quelques cas cliniques: http://www.exac.com/OralDental/casepresent.asp

J'ai vu de nombreux cas du Dr Lemler en conférence, il a d'excellents résultats avec ce matériau.

@+


Avatar ow44t3 - Eugenol
Chicot

09/12/2007 à 22h27

Péach Ecrivait:
-------------------------------------------------
> par ailleurs, voici ce qui se passe aussi quand on
> met du TCP et que l'on attend 6 mois; j'ai perdu
> un implant en janvier 2007 sur une infection post
> op à 3 semaines avec une couverture par birodogyl,
> j'ai remplacé l'implant fin septembre, l'os est
> magnifique, bien vascularisé, et je pose les ccm
> la semaine prochaine :-)
>
T'avais perdu quoi ?

y'a pas une rx ou photo du jour ou t'as perdu l'implant ?


ambroise

10/12/2007 à 09h57

growler Ecrivait:
-------------------------------------------------------
> pulpite2005 Ecrivait:
> --------------------------------------------------
> -----
> > Avec tous les produits que l'on trouve sur le
> > marché,je suis un peu perdu.
> > Quels sont les produits les plus pratiques (en
> > terme de maniabilité) et efficaces que vous
> > utilisez en matière de bio os et de membranes?
> > Merci
>
> en fait tout dépend du défaut osseux (nombre de
> parois notamment)
> pour un sinus lift il y a des parois partout et
> donc un apport de cellules partout autour du
> matériau donc importance du type de matériau est
> moindre bien que les travaux de tarnow et wallace
> montrent que le bio-oss donne d'excellents
> résultats)
> pour les défauts avec moins de parois il faut que
> le matériau soit bien immobilisé sur un os
> "décortiqué"
> la encore le bio-oss est un matérai de choix.
>
> pour les membranes, l'ossix et la biomend
> permettent mieux le maintien du volume par rapport
> à la bioguide qui épouse vraiment toute les
> aspérités.
>
> j'ai vu des cas cliniques réalisés avec un
> matériau de régénération qui se manipule sous
> forme d'une pâte comme un putty: le regenaform. En
> voici quelques cas cliniques:
> http://www.exac.com/OralDental/casepresent.asp
>
> J'ai vu de nombreux cas du Dr Lemler en
> conférence, il a d'excellents résultats avec ce
> matériau.
>
> @+
>

le regeneraform qui comme tout le monde le sait bénéficie d'un recul considérable


Péach

10/12/2007 à 13h40

ambroise Ecrivait:
------------------------------------------------------
>
> le pb c'est que tous ces matériaux ne sont pas
> documentés dans la littérature et pour le B tcp on
> sait que sa résorbabilité varie avec l'individu (
> Arzi et coll). En cas de pb comment justifier leur
> emploi?

le ß TCP est, je crois, utilisé en orthopédie depuis environ 30 ans; la seule référence que j'ai sous la main dans l'instant est un article de Suba et col de 2006 dans le Clinical Oral Implant Research dans lequel il constate la possibilité de poser des implants dans de très bonnes conditions dans un sinus comblé avec du ßTCP; je suppose qu'il en existe d'autre pour un produit aussi ancien;


Péach

10/12/2007 à 13h40

Chicot Ecrivait:
------------------------------------------------------> >
> y'a pas une rx ou photo du jour ou t'as perdu
> l'implant ?

si si, les voici

1 implant 02 07 nxo7lr - Eugenol
2 pose tcp 02 07 wxcjq2 - Eugenol
3 tcp 08 2007 wx4aom - Eugenol
4 implant 28 9 07 iqohwd - Eugenol

12