Cookie Consent byPrivacyPolicies.comcas meyerch - Eugenol

cas meyerch

meyerch

07/01/2005 à 14h29

Voilà un premier cas clinique.
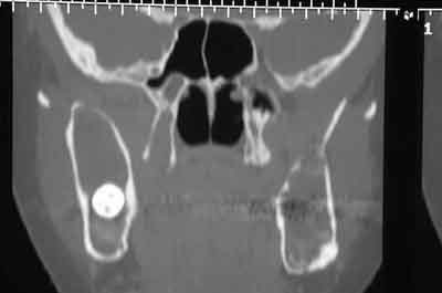
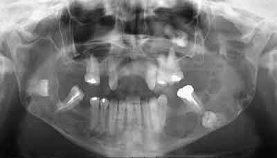
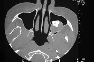
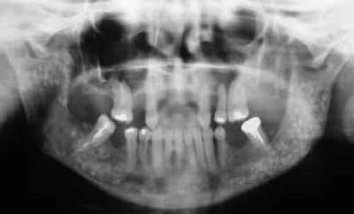
Femme de 40 ans. Aucun antécédent (notamment chirurgical) en dehors d'un DNID, d'un tabagisme modéré (5 paquets-année) et d'une surcharge pondérale. Consulte pour apparition progressive d'une volumineuse voussure dans les 2 vestibles inférieurs et d'une modification consécutive de la forme de la partie inférieure de son visage. A l'examen clinique : tuméfaction dure et fixée dans les 2 vestibules. Sensibilité (V3) normale. Gencive normale. Dents restantes non mobiles, vitales. Pas d'adénopathies palpables. Biologie non faite pour l'instant. Je vous joinds l'OTP et le scan. Diagnostic et options de traitement?

Cas clinique otp tlercd - Eugenol
Cas clinique scanner 1 lxblmw - Eugenol
Cas clinique scanner 2 jnd6so - Eugenol
Cas clinique scanner 3 mhlr86 - Eugenol

BX

07/01/2005 à 14h43

KC ?

En tout cas il faut qu'elle évite de croquer sur un os de poulet.


Loic

07/01/2005 à 16h13

on voit pas tres bien mais on dirait des phanères, ca te semble possible? Sinon, t as vu la tete de ton os mandibulaire? C'est un artéfact la grosse cavité et les bulles en distal?
Perso je ferais un endoscopie du sinus pour voir !


djinn

07/01/2005 à 16h22

La radio est petite mais ca donne envie de se lancer sur la trace d'un ameloblastome....pour commencer


Avatar transparent iqadnc - Eugenol
adhoc

07/01/2005 à 16h32

Je pensais exactement comme toi, djinn.
Priorité absolue!!


meyerch

07/01/2005 à 18h11

Pour l'instant, tout faux!
il n'y a aucun artefact sur les RX. J'ai vérifié : c'est exactement ce que l'on voyait sur les clichés. Et pas de phaners à l'horizon...


liofix

07/01/2005 à 18h19

Y-a t-il un rapport avec une maladie génétique?


isaïe

07/01/2005 à 18h26

Personnellement, c'est le genre de cas que j'adresse sur le champ au stomato. Il se fait qu'il y est déjà, donc les vaches sont bien gardées.


BX

07/01/2005 à 18h31

Zut alors, on est déjà éliminé dès la première semaine.

De tout façon la pano n'est pas très nette.


Loic

07/01/2005 à 19h47

Ce qui me gene un peu dans l histoire de l ameloblastome c qu il y en aurait un ds le sinus et un dans la mandibule en meme temps?
Je reste sur ma premiere impression : endoscopie exploratrice et nettoyage du sinus par un ORL + excision du merdier a la mandibule.
La cavité a la mandibule ca pourrait etre un gros kyste?

Jamais vu un truc comme ca pourtant g deja vu un tas de trucs bizarres


poulet

07/01/2005 à 19h48

c'est pas un chérubisme?


liofix

07/01/2005 à 20h00

Oui, c'est à quoi je pensais,ou si ce n'est pas ça,kystes anevrismaux des os,mais la présence de dent surnuméraire dans le sinus me fait plus penser au chérubisme


Avatar transparent iqadnc - Eugenol
adhoc

07/01/2005 à 20h22

tuberculose osseuse?


alhoun

07/01/2005 à 20h33

comme disais macmahon: que d'os, que d'os.


Avatar transparent iqadnc - Eugenol
adhoc

07/01/2005 à 20h58

Des histoires d'Os.


Image19 iebot6 - Eugenol
athos

07/01/2005 à 21h52


a l'os rien de nouveau...


ZORBECA

07/01/2005 à 22h00

Moi, je fais comme Isaïe, je passe la main et direction stomato.

Merci Meyerch pour ta participation, ça ne peut qu'être que du positif pour tous les eugénoliens.

Cordialement.


Avatar transparent iqadnc - Eugenol
adhoc

08/01/2005 à 00h51


meyerch, ton diagnostic est il établi? Ce cas est il récent? (chat échaudé craint l'os froide)


Loic

08/01/2005 à 02h18

chérubisme ca pourrait effectivement etre ca....

http://fmf.affinitesante.com/affiche_fmc.asp?articleID=597&CID=58


gerard

08/01/2005 à 06h56

du coté de la dent incluse dans le ramus, on peut penser comme diagnostic probable a un kyste d'origine dentaire -image uniloculaire bordée sur son pourtour par une corticale bien individualisée et sur le scanner disparition de l'espace péricoronaire de la couronne avec continuité de toute la cavité.
diagnostic différentiel a faire avec d'autre lésions par ponction et anapat qui confirmeront ou non le diagnostic présomptif.
traitement suivant le diagnoctic de l'autre coté ou
on a le choix entre pas mal de choses dont l'ameloblastome, le kyste multiloculaire, le kyste dentigère, la tumeur de Pindborg
alors?
je ne pense pas a l'ameloblastome, on n'a pas ici l'image caracteristique en "bulles de savon",on n'a pas de projection de petites cavités radioclaires en périphérie et pas de resorption des dents adjacentes qui restent vitales
le kyste multiloculaire montre plusieurs compartiments bien définis , ici l'origine dentaire est possible mais n'explique pas les images multiples derriere la molaire donc peu probable
on peut penser a une tumeur de Pindborg, les pourtours des cavités sont moins nettes et rondes que pour un améloblastome et de plus la tumeur a des bords irréguliers et une tendance à l'envahissement local qui semble confirmé par la disparition de la corticale supérieure sur la partie coronaire de la mandibule
au final l'absence de douleurs et de signes de douleurs des dents par compression ou lesion du V3 laisse espérer le caractère local de la lésion.

Le diagnostic sera forcément établi d'abord par des ponctions et l' histologie qui suivant les resultats dictera le geste chirurgical :
pour des kystes
exerese large en prévoyant les gros risques de fractures
pour des tumeurs types améloblastome ou tumeur de Pindborg , exerese large vu les risques de recidive et reconstruction maxillo faciale
pour des sarcomes , voir equipe cancéro.

tout ca n'est qu'un avis , bien désolé pour ce patient.


debrus

08/01/2005 à 14h30

merci meyerch de nous faire partager ce cas.

Moi, j'opte pour des améloblastomes bilatéraux ou de multiples kystes kératinisés .

Et Amibien le grand savant, qu'est qu'il en pense ?

à +


Image 4 lrchtq - Eugenol
Alain

08/01/2005 à 14h40

Allo, allo, Dr. Yana?...


Amibien

09/01/2005 à 03h02

tumeur odontogène épithéliale calcifiée (Pindborg)

localisée à la mandibule...image radiographique claire en rapport avec une dent incluse qui est refoulée...il existe ici de multiples géodes...présence de calcifications dans la clarté...

mais meyerch va sûrement me traiter de gros con...


meyerch

10/01/2005 à 12h18

Alors là, plusieurs réponses me surprennent! Faudrait savoir : vous voulez faire de la chirurgie ou pas? Le DESCB vous permettrait-il de prendre en charge ce type de lésions assez fréquentes en consultation quotidienne de chirurgie? Depuis le temps que nous ergotons sur ce forum... Je vous laisse répondre.
Bref, en ce qui concerne ce cas (assez récent), je vous livre le raisonnement qui a été le notre : probables kystes péricoronnaires sur les dents incluses (il n'y a pas de dents "surnuméraires"...). Décision d'abord chirurgical pour énucléation des 3 kystes (les ponctions ne "marchent" pas dans ces lésions) et examens anatomopathologiques extemporanés pour décider, en per-opératoire, de la conduite à tenir (photo 1).
Diagnotic extemporané : kératokystes (!). Les dents incluses se sont donc avérées être un piège diagnostic! Le traitement s'est de ce fait contenté d'un curetage appuyé des paroies osseuses, conservation des 2 nerfs dentaires et, en raison de la taille des kystes mandibulaires et du risque de fracture post-opératoire, nous avons y avons associé une greffe (hydroxyapatite + os autologue (crête illiaque) + PRP) au niveau mandibulaire uniquement (photos 2 et 3)et blocage intremaxillaire pendant 15 jours.
Les suites ont été simples, la reminéralisation des kystes est actuellement en cours (photo 4) et la sensibilité des V3 est normale.
Voilà.
Je vous prépare un nouveau cas...

Photo 1 bsu27f - Eugenol
Photo 2 sjng4b - Eugenol
Photo 3 xcka2m - Eugenol
Photo 4 fycqcu - Eugenol

alhoun

10/01/2005 à 13h01

on dirai que t'as comblé ta branche montante sur la pano, est-ce bien necessaire?;)


12