Cookie Consent byPrivacyPolicies.comet pour bien commencer - Eugenol

et pour bien commencer

catrose

03/01/2008 à 08h47

l'annee,un p'tit cas tombe du nid dans ma boite e-mail
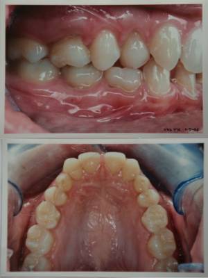
jeune fille de 19 ans avec agenesies:
(18)15,12,22,25(28)
(48)45,42,32,34,35

je la vois dans 3 semaines en premiere consultation au cabinet du specialiste en implanto
j'aimerais avoir vos avis,les orthodontistes,les implantos ou ceux qui ont deja traite ces cas d'agenesies multiples
merci

Slide0001 image002 quyjzo - Eugenol
Slide0002 image005 thuwei - Eugenol
Slide0004 image013 ckedhp - Eugenol
Slide0005 image016 b0ih25 - Eugenol

catrose

03/01/2008 à 08h49

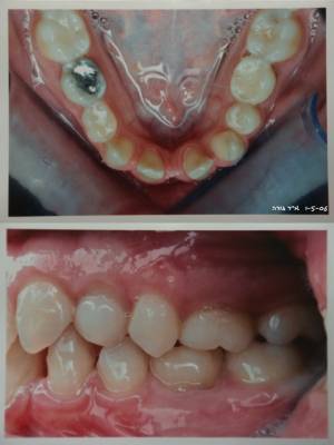
la suite...

Slide0006 image019 rquuzu - Eugenol

200106 10150128247663588 709988587 6466236 5598391 n d7mksb - Eugenol
hallboy

03/01/2008 à 09h51

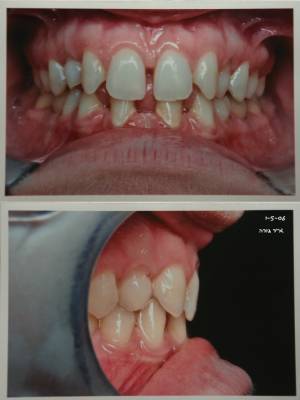
Tu aurais une vraie photo de sourire? sans le machin a ecarter le levres, et avec l'expression du visage?

mon pere et un de mes neveux ont des agenesies 12 22

mon pere evidement non traité et ça passe comme une lettre a la poste, on peut considerer qu'il y a une simple caracterisation du sourire. Mon neveu traité: on a reinventé l'eau chaude pour un resultat sans interet.

En bas par contre....


Utilisateur anonyme

03/01/2008 à 11h20

catrose Ecrivait:
-------------------------------------------------------
> la suite...

wait and see ............!


Marque a3 orange fyvhyq - Eugenol
Marc Apap

03/01/2008 à 11h37

Qu'est-ce qui a motivé cette jeune fille à consulter ?


catrose

03/01/2008 à 12h13


motivation esthetique(espaces!) renforcee par la soudaine mobilite des canines sup deciduelles
jusqu'a maintenant on lui a dit d'attendre 18 ans pour penser aux implants
et donc le "wait and see" ne convient plus..
je n'ai pas plus de doc,pour les photos du sourire,il faudra attendre la consultation


bjc

03/01/2008 à 13h34

Je me suis permis de rectifier la Rx. pour avoir une idée du profil

@+ Bjc.

Télé rectifiée0002 image005 qwjyvk - Eugenol

Image odged8 - Eugenol
ploc

03/01/2008 à 15h42

il me semble que je proposerai ds un premier temps odf avec comme optique de gerer le secteur antérieur inf,
voir avec l'implanto si possibilité d'implanter en rempla des inc inf et selon la reponse on rapproche ou ecarte 31 et 41
si on ecarte pr les mettre en place de laterales parce que la pose d'implants est impossible, soit bridge prov de luxe(cerec...) sur dents vivantes de 32 à 42 soit bridge collé,
si on rapproche, implants et prov en place des laterales
compos collés en M de 11 et 21 pr diminuer le diastème
on voit si esthetiquement cela la satisfait

puis 2è etape pr gérer les agenesies et l'occlusion(odf +implanto)


dommage :à un an près ton cas alimentait la rubrique pedo...:)(jusqu'à 18 c'est ça?)


alhoun

03/01/2008 à 17h22

Marc Apap Ecrivait:
-------------------------------------------------------
> Qu'est-ce qui a motivé cette jeune fille à
> consulter ?


pas besoin de motivation pour voir catrose.

franchement catrose, kestufou? fousy des implants partout!
tu veux une bonne adresse? ;)


bjc

03/01/2008 à 19h19

Allo,
y veu men fout partou!


Avatar transparent iqadnc - Eugenol
adhoc

03/01/2008 à 19h31



Entre 31 et 41, chiche, alhoun? :-)


Image odged8 - Eugenol
ploc

03/01/2008 à 20h09

ta formation eugenolienne odf ne t'a pas convaincu que tu veux tjours implanter?


bjc

03/01/2008 à 20h10

"Entre 31 et 41, chiche, alhoun? :-)"

un seul ou deux? :))


catrose

04/01/2008 à 08h14

alhoun Ecrivait:
-------------------------------------------------
> franchement catrose, kestufou? fousy des implants
> partout!
> tu veux une bonne adresse? ;)


pas besoin,il y en a qui font de l' implant-export ;)

bien sur ,implants partout mais ou?
le secteur inf-ant etant le plus delicat,je me demande si on n'aurait pas interet a creer de l'os en rapprochant les 33 et 43
ploc,merci pour ton plan
en fait, je pensais d'abord odf,bien arrondir ces arcades et les reformer,sans extraire quoi que ce soit et faire de la place pour les futurs implants,notemment en 13 et 23
et au niveau odf,cela ne demande pas trop de deplacement,gain de temps ,au niveau implant gain d'os
d'autres idees pour faire plus vite et mieux?


Avatar transparent iqadnc - Eugenol
adhoc

04/01/2008 à 10h49

Rapide et efficace, en effet.
Ne pas oublier freinectomies si elles n'ont pas été faites (éviter recidive par réouverture)!
Je pense que ta patiente, si elle a assez de pognon, veut une solution assez rapide.
Rien n'empeche de faire coexister concomitamment les 2 chantiers ortho et implanto.
En réponse a ploc, je pense que la solution de rapprochement sera mieux controlée que son opposée (axes paralleles, vitesse de réalisation)



1 eugenol dmj5np - Eugenol
Dancha

04/01/2008 à 19h52

Dans un cas d’agénésie multiple comme celui-là, il faut rechercher d’autres particularités et observer les doigts, les orteils, le visage (yeux, oreilles etc..). Il m’est déjà arrivé de dépister grâce à cela des syndromes qui étaient passée inaperçus par ailleurs.

D’un point de vue orthodontique, , je ne vois personnellement que la zone incisivo-canine inférieure à traiter pour rajouter une incisive et je ne toucherais pas au reste.. Le fait qu’il y ait alors que trois incisives n’a pas d’importance ( il n’y a de toute façon pas la place d’en rajouter deux).
Compte tenu du manque d’os au milieu mandibulaire, je serais tenté d’y déplacer 32 pour en amener.

Daniel

Catrose agenesies ro5xgd - Eugenol

catrose

05/01/2008 à 10h17

voila encore une possibilite de deplacement,merci daniel
tu ne toucherais pas au maxillaire sup mais les canines lacteales vont tomber sous peu
aux vues de la pano et de la photo intrabuccale,je ne pense pas qu'il y ait assez de place pour un implant (vous confirmez les implantos?),il faudra certainement ouvrir en reculant un peu les 4 et fermant les espaces anterieurs


Image odged8 - Eugenol
ploc

05/01/2008 à 14h11

ne rien prévoir en haut me parait retomber ds le "on verraaaa bien...."

pour accélérer la rhizalyse des lactéales et fabriquer un bon os pour les futurs implants
-pulpo des lactéales
-placer les Bk. plus gingivalement sur les lactéales
-meuler au fur et à mesure de l’égression, les faces occlusales
-continuer à faire égresser les lactéales en plaçant l’arc sous les Bk., dans la gorge des ligatures coté gingival
- continuer à réduire occlusalement
de plus tu pourras réduire les faces proximales, si besoin notamment 55/65 pour reculer les 14/24 et faire de la place pr les implant en 13/23

ciel je vais finir odf...

quant à l'implant inf,je suis comme catrose sceptique sur l'os suffisant en antérieur et encore plus sur le resultat esthetique de 3 incisives face à un diastème ou à des centrales qui vt s'avérer trop grosses si on le comble ou diminue par un artifice prothetique (après avoir reregardé les photos ) ,recherche esthetique qui au départ motive la patiente,ne pas l'oublier

compte tenu de son âge et de l'esperance de vie,elle va voir le reflet matinal de son sourire un certain temps
faire graver sur son miroir,"la beauté est avant tout intérieure".....??
sceptique aussi


val

05/01/2008 à 20h52

Bonjour Catrose,

suggestion :
- tt odf à minima :
--> rien en haut, pas touche aux III > : si elle tombe ,implant ou brige collé fibre de verre
--> en bas : fermeture de 31-41 et gestion des espaces latéraux par bridge collé sur attelle fibrée incorporant les 3 <, On peut étendre le MB sectoriel sur 33 et 43 notamment pour déroter 33.
Le principe d'une attelle fibrée collée incorporant un ou plusieurs éléments coronaires étant l'obtention simultanée : d'une restauration globale du guide incisif, d'une contention fiable,s'affranchir du déficit osseux qui complique la solution implantaire, une maintenance aisée, un moindre coût.


bjc

06/01/2008 à 11h37

salut cat,

si tu ne cherche pas à mésialiser les 6, ce cas est simple, finalement
alhoun à raison : après le reformage d’arcades, fouzy des implants partout

il reste juste à discuter l’esthétique et les sites implantaires
-reculer ou pas les canines Sup.
-mésialer ou distaller les Inc. Inf.

@+ Bjc.
P.S. : personnellement, je remettrais les canines sup. à leur place
et rapprocherai les inc. Inf.


Photo pluton1b h9n4ea - Eugenol
pluton

06/01/2008 à 12h34

d'un point de vue esthétique il est préférable de distaler les canines et de mésialer les incisives inf....pour les canines...c'est une question de forme...pour les incisives...il est plus facile de gérer la gencive périimplantaire si 1 implant est encadré de 2 dents naturelles qu'entre 2 implants


catrose

06/01/2008 à 17h56

val Ecrivait:
-----------------------------------------------
> - tt odf à minima :
> --> rien en haut, pas touche aux III > : si elle
> tombe ,implant ou brige collé fibre de verre
> --> en bas : fermeture de 31-41 et gestion des
> espaces latéraux par bridge collé sur attelle
> fibrée incorporant les 3


je savais bien qu'il y aurait du "creatif" :)

c'est tres tentant cette solution parce qu'en effet pas de grosse artillerie,moindre intervention chirurgicale ou orthodontique
mais est ce que les bridges colles vont resister aux contraintes occlusales ? elle est plutot brachy et l'angle interincisif tres ouvert...

et au niveau esthetique,on aura des petites canines sup et des petites laterales inf:si je n'ouvre pas un peu tout ca,il me reste maximum 5 mm pour caser les 32 et 42,autant faire comme daniel le propose et placer une seule incisive?

et en passant,qu'est ce que tu recommandes comme polymere fibre:ribbond,fibreflex,everstick?




catrose

06/01/2008 à 18h26

bjc Ecrivait:

> il reste juste à discuter l’esthétique et les
> sites implantaires
> -reculer ou pas les canines Sup.
> -mésialer ou distaller les Inc. Inf.
>personnellement, je remettrais les canines sup. à leur place et rapprocherai les inc. Inf.



d'accord pour les inc inf,ce serait plus esthetique et apparemment plus favorable aux sites implantaires
mais pour les canines sup,je trouve que c'est un cas rare ou avec tres peu de maquillage compo (bord incisif),elles s'harmoniseront tres bien en place des laterales:pas de gros bombe cervical,largeur mesio-distale minime,pas de retouche de hauteur coronaire et on repousse l'implant le plus posterieur possible






bjc

06/01/2008 à 20h20

si tu recules les canines sup. tu auras une fonction canine avec des dents naturelles
que je préfère à une fonction canine Sup.implant contre une canine Inf. naturelle
avis des implanto-occlusologistes ?

@+ Bjc.


val

06/01/2008 à 22h47

catrose Ecrivait:
-------------------------------------------------------

> mais est ce que les bridges colles vont resister
> aux contraintes occlusales ? elle est plutot
> brachy et l'angle interincisif tres ouvert...

----> un élément de réponse avec un extrait http://www.adf.asso.fr/cfm/site/thesaurus/detail_conference.cfm?rubrique_origine=47&amp;conference=40/2004 par le Dr. Gérard ABOUDHARAM

> et au niveau esthetique,on aura des petites
> canines sup et des petites laterales inf:si je
> n'ouvre pas un peu tout ca,il me reste maximum 5
> mm pour caser les 32 et 42,autant faire comme
> daniel le propose et placer une seule incisive?

----> effectivement , s'il y a de la place pour une seule incisive inf, la solution de Daniel est très bien.

> et en passant,qu'est ce que tu recommandes comme
> polymere fibre:ribbond,fibreflex,everstick?
>
----> je nai pas essayé l'everstick mais il me parait bien fichu, notamment avec ses differentes présentations selon les indications (contention ortho, paro, intremédiare de bridge...)




12