Cookie Consent byPrivacyPolicies.comblanchiment interne - Eugenol

blanchiment interne

200106 10150128247663588 709988587 6466236 5598391 n d7mksb - Eugenol
hallboy

24/01/2008 à 18h29

Patient de 14 ans et demi.
necrose sur 11 il y a un an.
recuperation nickel si ce n'est que la dent est bine grise et que le gamin n'ose plus sourire.

A partir de quel age, on peut faire du blanchiment interne, qui si il me semble bien fragilise un peu la dent.

quel produit?
quelles precautions prendre?


3002 1 yx79qg - Eugenol
ORIOLI

25/01/2008 à 11h54

technique classique au mélange "perborate de sodium + eau distillée" selon un protocole très strict qui évitera les risques de résorbtions ( voir p.69 à 81 du mémento de A & P Miara, ed. CdP)


carototo

25/01/2008 à 12h42

je confirme, ca marche très bien , il faaut seulement être patient


Pepsi tmi4vp - Eugenol
kartman

25/01/2008 à 13h00

+1 avec ce qui fut dit.

article du proto en mp si interessé


200106 10150128247663588 709988587 6466236 5598391 n d7mksb - Eugenol
hallboy

25/01/2008 à 13h37

tu peux meme le poster sur le fil.

merci


inplomb

25/01/2008 à 15h32

hallboy Ecrivait:
-------------------------------------------------------
> tu peux meme le poster sur le fil.
>
> merci

+1


Coccinelle mgl0qv - Eugenol
murielle

25/01/2008 à 18h31

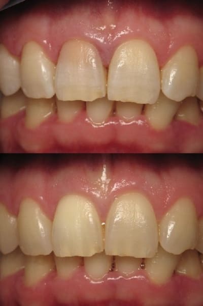
Blanchiment interne réalisé en 4 jours avec perborate + eau distillée.

Je serais tentée de dire qu'il ne faut pas trop patienter et surtout surveiller très régulièrement pour ne pas trop éclaircir non plus. Pour ma part, je demande au patient de passer me montrer le résultat 2 fois par semaine.

20080114à18 sugowx - Eugenol

200106 10150128247663588 709988587 6466236 5598391 n d7mksb - Eugenol
hallboy

25/01/2008 à 19h33

merci mumu;)


Coccinelle mgl0qv - Eugenol
murielle

25/01/2008 à 20h42

De rien, de rien :-)

Petites précisions:
-- il faut que le traitement de la racine soit étanchéifié par un CVI avant de placer le perborate.

-- il faut refermer avec du cavit mais surtout pas du carboxylate ("bouffé" par le perborate).

-- il faut attendre 3 semaines mini après le retrait du perborate avant de faire un collage sur la dent.


Pepsi tmi4vp - Eugenol
kartman

25/01/2008 à 20h47

hallboy Ecrivait:
-------------------------------------------------------
> tu peux meme le poster sur le fil.
>
> merci

c'était un fichier pdf ... mais bon grace à mes connaissances puissantes et poussées en balises html
et msdos 6.0 voici en substance l'article en question

it's in english but hope it helps

nice job Murielle

Blanchiint1 pxzoks - Eugenol
Blanciint2 bn0fao - Eugenol
Blanchiint3 ps0nt3 - Eugenol

Utilisateur banni

25/01/2008 à 21h37

Qui va traduire? je suis bilingue français-ch'ti, c'est bon pour l'allemand, l'espagnol, le japonnais, l'italien, le congolais, mais manque de bol, pas l'english...


200106 10150128247663588 709988587 6466236 5598391 n d7mksb - Eugenol
hallboy

26/01/2008 à 01h53

expliquer au patient la cause de sa coloration, la procedure qui va etre suivie et le resultat qu'on peut en attendre. le prevenir d'une possible recidive Faire attention a ne pas pousser trop loin les attentes du patient pour lui eviter une eventuielle deception.

Enregistrer la teinte de depart et prendre des photos.Prendre une Rx pour s'assurer dela qalité de l'endo. Avant le traitement, la qualité et l'etancheité de toute restauration doitr etre veifiée, pour s'assurer que la coloration ne vient pas de là.

mettre la digue et completer l'etancheité a l digue luiqde si necessai re. eliminer tout le contenu de la chambre pulpaire jusqu'a la moindre trace d'ancienne restaurartion jusq'a 2 mm sous la gencive. tout doit etre nettoyé et des solvants doivent eliminer le moindre reste d'adhesif.

un fond de Cavit d'au moins 2 mm doit etre mis en place pour rendre hermetique l'acces a l'obturation endo.

la pate de blanchiment consistence sable mouillé, va alors etre preparée en melangeant du perborate de sodioum a de l'eau ditillée ou de l'anesthesique;
bourrer la cavité avec un instrument en platic.
Sur le long terme, le melange avec un peroxyde d'hydrogene semble donner des resultats certes + rapides, mais pas meilleurs et favorise les resorptions

les exes sont soigneusement eliminés, et un bouchon de scellemtn de 3mm dIRM est realisé.

informer le patient que les resultats arriveront peu a peu, et prendre RV a une semaine.

renouveler si necessaire . Si au bout de 3 à 4 semaines, le resultat n'est paslà, ce n'est pas la peine d'insister.



carototo

27/01/2008 à 12h41

pour ceux et ceusses qui ont le cd de CLINIC, récapitulant les anciens numéros, on y trouve une descritpion très détaillée de la procédure.


Utilisateur banni

27/01/2008 à 12h48

Procédure à suivre (après inscription gratos sur dentalspace)

http://www.dentalespace.com/dentiste/formation/75-traitement-eclaircissement-voie-interne-dents-depulpees.htm


200106 10150128247663588 709988587 6466236 5598391 n d7mksb - Eugenol
hallboy

27/01/2008 à 13h48

merci.

je ferais qd meme a l'eau disillée pour eviter les risques de resorption


Gonzo k0qhwz - Eugenol
matten

28/01/2008 à 00h32

"renouveler si necessaire . Si au bout de 3 à 4 semaines, le resultat n'est pas là, ce n'est pas la peine d'insister."


Et ben c'est ce que je croyais jusqu'a ce dernier cas sur une incisive mandibulaire.
J'avais 31 et 32 a traiter et ben je peux te dire que 32 etait beaucoup plus lente a reagir!
En tout le traitment aura dure pres de 3 mois.
A la fin le resultat est là, aucun soucis.

J'ai du booster l'effet par deux seances de 30 min avec gel à 35% à l'interieur et a l'exterieur, au fauteuil.

Ce retard est a mon avis du au plus faible volume de perborate que l'on peut loger dans la cavite d'une incisive mandibulaire qui est forcément bien plus petite que celle d'une centrale maxillaire.

Quel plaisir d'avoir pu epargner une couronne et un inlay core a ces dents!
Tout ce travail se paie evidemment car réaliser des protheses aurait ete regle en 3 seances...
Néanmoins qui peut se vanter de faire plus beau que la nature?
Le service rendu en vaut largement le tarif.


inplomb

28/01/2008 à 10h21

et quels sont vos tarifs pour ce genre de traitement ?


Gonzo k0qhwz - Eugenol
matten

28/01/2008 à 10h52

400


Coccinelle mgl0qv - Eugenol
murielle

28/01/2008 à 10h55

67,54 euros


Coccinelle mgl0qv - Eugenol
murielle

28/01/2008 à 10h56

Comme quoi, il y a de sacrées différences...


Avatar transparent iqadnc - Eugenol
adhoc

28/01/2008 à 12h25



Que sainte Appoline t'entende (tu es jeune?)


Gonzo k0qhwz - Eugenol
matten

28/01/2008 à 12h32

J'ai 28 ans...

Mais prendre 68 € qd tu sais que tu vas avoir a revoir la patiente de 4 à 6 fois pour un traitement complet avec consultation initiale jusqu'a l'obturation finale... Soit a chaque fois 30 min...
Je m'appelle pas l'armee du salut dsl. (et encore a 400€ je suis pas gagnant pour 6 seances ou plus )


Coccinelle mgl0qv - Eugenol
murielle

28/01/2008 à 13h39

Pour le patient dont j'ai montré les photos, j'ai posé le CVI et le perborate à la fin de ma séance d'endo ; cela cela a dû me prendre maximum un quart d'heure de plus.

Je demande au patient de repasser deux fois par semaine pour me montrer le résultat ; pour cela, je ne lui donne pas de rendez-vous, il passe à l'heure qui lui convient, et si la couleur me paraît adaptée, alors je conviens avec lui d'un moment de la journée où je vais pouvoir retirer le perborate et le remplacer par un simple cavit. Cette dernière opération me prend cinq minutes.

Conclusion : 68 € pour une vingtaine de minutes, cela me convient et me paraît honorable.

En tout état de cause, ce qui importe, c'est de se sentir chacun en accord avec le tarif que l'on propose. Pour ma part, vu le traitement que j'ai fait et que je viens de décrire, je n'assumerais pas de demander 400 € au patient.


Avatar transparent iqadnc - Eugenol
adhoc

28/01/2008 à 16h08



Attends que ta chaudière tombe en panne, murielle.
Tu comprendras certaines choses.:-)


Gonzo k0qhwz - Eugenol
matten

28/01/2008 à 16h27

Je suis desole mais preparer la dent a recevoir du perborate est une operation de precision (mise en place d'une sandwich cvi/perborate/cavit/vernis d'etancheite) demande du temps pour etre correctement realisee.
Si pour toi prendre 400€ pour 2h au minimum de soins est hors de question, alors ne te mets pas a l'implanto parce que tu vas etre soufflée...


12