Cookie Consent byPrivacyPolicies.comAncrage molaire maxillaire - Eugenol

Ancrage molaire maxillaire

jeanba

24/02/2008 à 22h11

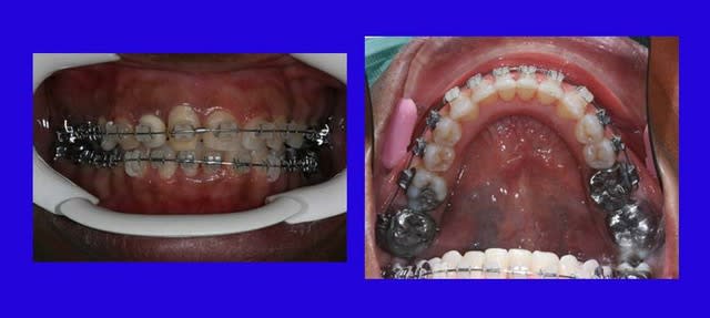
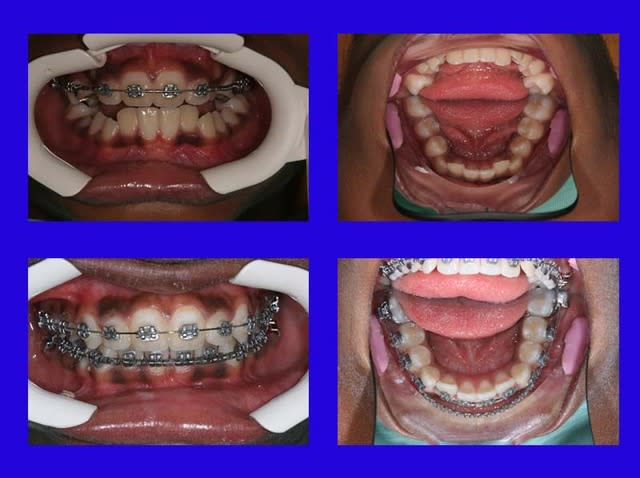
Pourtant le QH a été mis pendant environ 6 mois et une expansion a été réalisée, je n'ai pas eu un gain de place pour mes canines et mes incisives se sont vestibulées, quelle était l'erreur, à quel moment et qu'aurais- du je faire pour éviter cette vestibulo version ? Soyez simple et clair


Picture1111 zburnd - Eugenol
saidkholoki

25/02/2008 à 10h07

Jeanba, je vais essayer de repondre a ta question meme si je n'ai pas tous les elements necessaires.
Si la vestibulo version est arrivee pendant le travail du qh et avant le collage des brackets incisifs cela pourrait etre du a un probleme fonctionnel de deglutition et posture linguale anterieure, peut etre sous-estime pendant l'examen clinique, et la presence du qh l'a amplifie. Le levre inferieure peut s'y mettre pour donner encore plus de version.
Si la vestibulo version est apparue apres le collage des brackets et l'usage d'un arc, de base ou continu, le probleme est biomecanique. Quand on insere un arc dans un bracket pretorque sans que cet arc soit stabilise dans l'espace, le TRP dans le boitier va agir en version pure, cela veut dire un peu de TRP et un peu de version vestibulaire des couronnes. Pour eviter la version incisive il faut bloquer l'arc en faisant un cinch back. Cette version due a un mouvement parasite qui sera amplifie aussi par la presence d'un probleme fonctionnel lingual, labial ou les deux.
Dans un cas pareil, la question d'abord est qu'est-ce que je dois faire? Qu'est ce que je voudrais faire? Pour ouvrir la place pour mes canines, comment je peux trouver l'espace necassaire? Par action transversal? Par action sagittale incisive , molaire ou les deux? ou plutot il s'agit d'un travail mixte transversal et sagittal? Combien il me faut? Quelle est la morphologie de mon patient verticale, sagittale et transversale? Le profil labial permet de travail incisif ou pas? Est'ce que les dents de sagesse sont visibles sur la radio ou pas? Les parents sont-ils en bipro aussi? Sont-ils sensibles a ce probleme esthetique ou pas?
Comme tu vois de tas de questions qui rendent la reponse tres difficil, mais une fois la decision est prise, on sait comment y parvenir et on aura tres peu de risque de regretter par la suite car la decision etait faite sur des faits diagnostiques, cliniques et esthetiques bien fondes et bien reflechis. Avec un peu de chance et de reussite en plus, car il en faut, nous pouvons esperer de mener a bien nos cas.

P.S. Grosso modo, pour avancer les incisives en translation je preconise un AUA en TMA .16 X .022 / Pour reculer une molaire je crois encore dans le pendulum / le travail transversal je cprefere en core le QH / Il y a d'autre moyens certainement, il y a d'autre techniques aussi / Pesonnellementje prefere maitriser ce que je fait et je n'aime pas dire cela marche mais je ne sais pas comment mais ca marche...


jeanba

25/02/2008 à 15h42

Merci saïd c'est clair et limpide, il est vrai que quand on essaie d'aller vite on oublie le fondamental à savoir l'arc de base qui maintient la dimension antéro- postérieure( avec le cinch back).Une question personnelle: que penses- tu des brackets à faible friction. Est ce réellement une corde en plus à notre arc comme disait GUGGINO. Excuses- moi bjc je ne doute pas de ta croyance en DAMON mais avant de me lancer dans une nouvelle formation j'ai toujours besoin de me renseigner auprés de plusieurs personnes qui croient à des phylosophies différentes de manière à ne pas me tromper car je travaille en omnipratique et je touche quasiment à toutes les disciplines ce qui m'oblige à beaucoup bouger pour rester à jour dans mes connaissances et donc je ne peux pas me permettre de me tromper dans mes choix pour une question et de temps et de budget formation. En tout cas merci à vous deux et à ce précieux forum.


Picture1111 zburnd - Eugenol
saidkholoki

25/02/2008 à 19h16

pas de quoi Jeanba, je pense que le systeme a friction faible est une evolution extra ordinaire sur le plan bio-physiologique ou des forces tres faibles peuvent engendrer des mouvements denataires et tres vite aussi. Je garde un avis negatif sur le controle du torque et sur l'effet de la pendule dans le sens de non extractionisme a tout prix.
Quand je discute avec bjc et je critique son systeme, je critique plutot le fait de faire d'abord et on verra ensuite. En ce qui me concerne, je prefere reflechir d'abord et agir ensuite. Je n'aime pas etre dependant totalement des brackets en me disant je colle, je place tel arc, ensuite un autre et voila ca marche tout seul.
En tout cas bonne continuation et avoir une corde de plus ca ne sera que positive.


bjc

25/02/2008 à 22h33

salut

on progresse, c’est déjà ça

à demain
Bjc.


STARSKY

26/02/2008 à 22h49

salut les ZORTOS un petit coucous après une longue absence; toujours très chaud entre BJC et notre ami SAID a ce que je vois .
Juste pour dire que j'utilise avec succès le système D.A.C mis au point par J.J Aknin avec ancrage maximum mandibulaire pour obtenir le recul des molaires maxillaire en denture mixte .ma foi une tres bonne alternative aux FEO atchaobonsoar


bjc

27/02/2008 à 12h13

salut les zorto,

Du réchauffé

Comme dans les anciennes techniques, on ne savait pas, après le pic de croissance, reformer les arcades, surtout l’arcade mandibulaire, il fallait faire avec ce que l’on avait !!!

Maintenant, on sait, mais on ne sait pas prévoir quelle est, et sera, la forme physiologique, personnelle, individuelle de l’arcade Md. du patient

On est donc obliger de lancer des mécaniques et de réévaluer ( ce qui sera plus facil) une fois qu’on aura obtenu la forme d’arcade physiologique,
et ensuite on revient aux anciennes pratiques

Pourquoi s’en priver sous prétexte qu’on ne peut pas prévoir ?
et parfois passer par des extractions
tout ça parcequ'on peut prévoir immédiatement!


@+ Bjc.


Zorto

27/02/2008 à 16h39

salut bjc !
quand on te lit , c’est a se rouler par terre!!
tu t’imagines que damon lance comme toi sa mecanique sans savoir ou il va??
il a jamais dit cela , bagden non plus!!
tu reves , reveille toi!!
..t’as un bon avocat?


bjc

27/02/2008 à 17h00

cite moi un seul cas ou ils ont prévu la forme d’arcade
allez,
roule toi, et renroule toi dans tes couvertures
tire les bien à toi
et fait de beaux rêves

(tu ronfles?)


bjc

27/02/2008 à 21h59

peut on dire à coup sur que le reformage d’arcade va nous faire une place suffisante ?

@+ Bjc.

P.S.: Sexe : F.; 50 ans

Depart nvrjep - Eugenol

ortho-sxm

29/02/2008 à 15h15

la suite...?


bjc

29/02/2008 à 15h35

salut,

désolé, j’étais en train de céruser un vieux banc-coffre qui m’a donné plus de soucis que ce cas

@+ Bjc.

 hui kqchum - Eugenol

ortho-sxm

01/03/2008 à 16h50

impressionnant...

ce traitement a été réalisé avec des brackets "conventionnels", dirait-on?

en combien de temps?

quelle séquence d'arc, s-t-p?

utilisation de ressorts?


bjc

03/03/2008 à 23h04

impressionnant, plus maintenant, il y a 10 ans, oui

Ce traitement a été réalisé avec des Bk. conventionnels que je modifie, afin de pouvoir réaliser des ligatures lâches équivalentes à des Bk. passifs
j’en ai parlé et montré des photos dans un post précèdent
(l’avantage est que j’utilise mes Bk. habituels, et que je travaille en inter-actif dès le 16*16*)

j’en suis à 21 mois, c’est pas terminé …

ah, les séquences d’arcs !
il n’y a pas de recette magique, mais :
je commence presque Tjs. par un 0.014 Ni.Ti. thermique, pour lancer le reformage d’arcade. souvent sans mettre de Bk. sur les 4 Inc. Inf.
ensuite, un 16*16* Ni.Ti. thermique, qui me donne déjà du torque avec mes Bk. modifiés et ligatures lâches
puis un 14*25* Ni.Ti. avec un ressort selon la technique de Terelle et Root, que je modifie en rajoutant, plus tard, mais pas Tjs., un segmenté de 0.016 sur les 4 Inc. Inf. si les diablesses n’ont pas bougé alors que des diastèmes sont apparus du coté des canines
ce qu’on ne peut pas Tjs. faire avec des Bk. passifs à cause de leur épaisseur

@+ Bjc.


ortho-sxm

04/03/2008 à 14h45

OK, peux-tu expliquer la technique de Terelle et Root, please?


bjc

04/03/2008 à 18h24

please?

O.K. je ne peux que m'exécuter

laisse moi 5 minutes, car je mélange 2 techniques

@+ Bjc.


Picture1111 zburnd - Eugenol
saidkholoki

04/03/2008 à 22h39

a apprendre sur ce forum, c'est vrai bjc c'est quoi cette technique? Peux tu nous l'expliquer? en te remerciant.


bjc

05/03/2008 à 13h23

salut,

T. et R. mettaient un ressort entre les canines Inf. pour gagner de la place afin de corriger plus facilement les encombrements incisifs
j’ai essayé, à l’époque,sans beaucoup de succès.
je sais maintenant que c’est à cause de la friction des ligatures conventionnelles, et des ressorts acier à force non constante

actuellement, nous avons la chance d’avoir d’autres matériaux à notre disposition
1°) les Bk. passifs. avec eux, on pourra utiliser des ressorts titane à force constante, ou très progressifs, et la friction faible nous donnera en m temps l’expansion postérieure
mais il faut un arc qui remplisse la gorge du Bk. pour mettre le ressort

sinon on aura ROTATION PARASITE distale des canines

2°) avec des Bk. inter-actifs, on pourra mettre le ressort dès l’arc de 20*20*

3°) avec des Bk. conventionnels, rectifiés pour pouvoir fabriquer des ligatures lâches,
on peut mettre le ressort dès l’arc de 14*25* Ni.Ti. non thermique
et chez des ados, dès le 16*16*
(j’utilise beaucoup ces arcs, plus rigides que les thermiques, et moins chers que le T.M.A. pour faire l’expansion post. le plus tôt possible, quand je n’ai pas besoin de pliage)

Le torque :
avec des Bk. passifs, on n’en a presque pas pendant l’expansion
avec des inter-actifs on en a un peu plus tôt, à partir du 20*20*
avec mes Bk. rectifiés, on l’a dès le 16*16*

dès qu’on a gagné par l’expansion et le ressort, de la place (diastèmes en mésial des canines) on colle les Bk. des Inc. et on met un segmenté pour travailler sélectivement sur les incisives
car si on enlève le ressort, les canines se mésialent avant la correction incisive

les Bk. passifs sont trop épais et frottent contre le ressort, ce qui entraîne une linguo-version des latérales
ma préférence va aux Bk. titane de Ormco, c’est avec eux que ça marche le mieux, je ne sais pas pourquoi,
(et dieu sait si j’en ai testé des Bk.)

après, il y a les variantes du segmenté

maintenant, vous pouvez me faire le coup du :
est-ce que c’est stable
ceux de T. et R. l’étaient, pourquoi pas les miens ?

@+ Bjc.


ortho-sxm

05/03/2008 à 15h41

je te remercie, bjc pour cet exposé.
A étudier et à mettre en application...

question:le ressort de 3 à 3 est comprimé au max, comment l'"actives-tu"? spire contre spire? pas de gène pour la lèvre?


bjc

05/03/2008 à 16h53

Rien ne vaut une petite photo

@+ Bjc.

Exemple  fneu24 - Eugenol

bjc

05/03/2008 à 17h02

Les ressorts sont placés activés d’1 Bk. et demi
ensuite activés par des stops
contre la lèvre il agit comme un lip-bumper

@+ Bjc.


ortho-sxm

05/03/2008 à 18h32

bon ben lundi, j'attaque...j'ai une patiente de 20 ans qui présente toutes les conditions... à suivre...


bjc

06/03/2008 à 21h57

Si les malpositions unitaires ne sont pas trop importantes,
tu peux mettre au départ deux arcs de 0.014 si tu utilise des Bk. en 0.022

@+ Bjc.


12