Cookie Consent byPrivacyPolicies.comL'oscar de la meilleure endo m******douillée - Eugenol

L'oscar de la meilleure endo m******douillée

Gutt-A

04/03/2008 à 23h45

Je propose que chacun poste une de ses endos ratées et les moyens d'y remédier, ca fera peut être avancer le schmilblick de chacun en endo

Je commence avec ce bout de F2 que j'ai ostéointégré :( à l'extrémité de la racine Distovestibulaire de cette 17. A l'origine, un "buggage" du localisateur d'apex. Je ferai dorénévement tout de meme une petite rvg de controle....

Mebaoudje t 19770515 59951336 1 nqkpah - Eugenol

Index vf7ggk - Eugenol
dentisfuturis

04/03/2008 à 23h52

lol, moi j'ai une radio où un bout de cône de gutta coupé collé sur la digue faisait l'effet d'un super dépassement par superposition...


marc

05/03/2008 à 00h31


Bonne idée.

Voici un cas de fracture compacteur.
Utiliser un mac spaden dans ce genre de cas était une bêtise.
Aprés beaucoup d'efforts pour perméabliser les 2 cannaux et les préparer, c'est trop dommage de gacher le résultat en cassant un compacteur.
Cela ne m'a pas gêné pour desobturer et faire l'empreinte pour l'inlay-core, mais la condensation de la gutta au niveau apical n'a pas été terrible.
C'est d'ailleurs un des cas qui m' a décidé à utiliser de temps en temps le thermafill.

R19 dzx2fb - Eugenol
R24 d8gcaj - Eugenol
R25 ks9dl4 - Eugenol
R19 xemwpi - Eugenol
R19 kxh7f1 - Eugenol
R24 hnxram - Eugenol
R25 r7lqlk - Eugenol
R19 ujeitd - Eugenol
R19 drerae - Eugenol
R24 shbj61 - Eugenol
R25 piaw1f - Eugenol
R19 lqfolm - Eugenol

marc

05/03/2008 à 00h34

raté

R24 qpuuxb - Eugenol
R24 qgcwha - Eugenol
R25 pc6nvm - Eugenol

Tilc

05/03/2008 à 23h59

on a dit endo foirée les mecs pas des endo superbes avec une petite merdouille...


marc

06/03/2008 à 00h44

alors ok voilà un cas bien foiré:

Une des premières fois que j'ai utilisé un contre-angle avec localisateur intégré.
Je me suis cru à l'abri avec le contrôle du torque sur l'instrument en temps réel.
Les diodes se sont alummées au début de la descente dans le canal et j'ai voulu continuer à avancer avec l'instrument en rotation malgré un cathétérisme manuel pas réalisé sur la totalité du canal.
Fracture , puis initiation de fausse route en essayant de passer à coté manuellement.

quand on cherche des cas foirés d'endo, en fait, c'est pas si difficile à trouver..

Fracture f87qao - Eugenol
Fracture rzz5li - Eugenol

Tilc

06/03/2008 à 21h37

aaaaaa voila une vraie endo de merde pourrave.
Je vais tenter d en trouver une demain au cab, je sens que je vais pas chercher longtemps...


marc

06/03/2008 à 22h06

merci c'est trop d'honneur !


Tilc

07/03/2008 à 14h27

Tiens en parlant d'honneur la je meriterais un grand doigt.
Protaper dans la racine mesiale, amlg dans la racine distale, Mais j'ai mis la digue :p.
Conclusion RAS au controle a 1 an !
Comme dit Stéphane tous les moyens sont bons tant qu on arrive au résultat escompté ;p

R16 blou7n - Eugenol
R19 gefail - Eugenol

Images eb1m5g - Eugenol
tonio

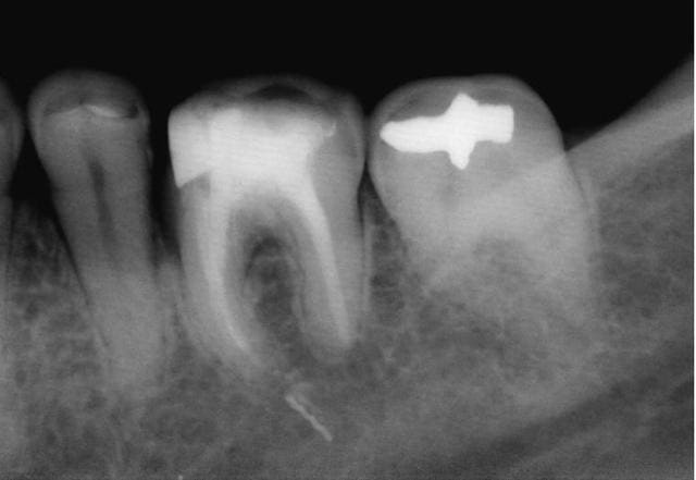
07/03/2008 à 23h48

Cas déja posté. F2 neuf cassé dans un canal DL de 36 suite à une petite précipitation à la fin de l'endo.
Dommage car quand on voit la préop et les calcifications, on pouvait se dire que j'avais fait le plus dur.

Pict0151 poclux - Eugenol
Pict0152 pd5hkh - Eugenol

Tilc

08/03/2008 à 00h58

bon pour l'instant j'ai la palme on dirait avec ma fracturer de 6mm et l amgl dans le canal.


Pepsi tmi4vp - Eugenol
kartman

08/03/2008 à 01h19

Tilc Ecrivait:
-------------------------------------------------------
> bon pour l'instant j'ai la palme on dirait avec ma
> fracturer de 6mm et l amgl dans le canal.


j'en ai dans ma besace des limes pétées mais le coup de l'amalgame qui bloque le canal trop fort :D


Blue eye thumb medium dx1i0w - Eugenol
bill

08/03/2008 à 01h53

Celle-là je l'aime bien, elle n'est -malheureusement- pas de moi, mais je vais chercher... :-)

Trop loin howagl - Eugenol

Loic

16/03/2008 à 02h54

vous voulez des cas de merde?

Endo ratée 1 berf6k - Eugenol
Endo ratée 2 b0kw0q - Eugenol
Endo ratée 3 bivwin - Eugenol
Endo ratée 1 sm7jtv - Eugenol

Loic

16/03/2008 à 02h58

houla de la merde j en vois tous les jours....

Endo ratée 3 pyaxwm - Eugenol
Endo ratée 2 a9nygq - Eugenol

Loic

16/03/2008 à 02h59

j'pourrais en tartiner des pages....

y a aussi la ...non endo

Endo ratée 3 df5tai - Eugenol

Tilc

16/03/2008 à 12h59

t es bon loic .... Bien joué !


olivier

17/03/2008 à 12h04

Ouf....cela rassure tous ces cas.....


carototo

17/03/2008 à 17h09

tonio Ecrivait:
-------------------------------------------------------
> Cas déja posté. F2 neuf cassé dans un canal DL de
> 36 suite à une petite précipitation à la fin de
> l'endo.
> Dommage car quand on voit la préop et les
> calcifications, on pouvait se dire que j'avais
> fait le plus dur.



mon avis est le suivant:
connaissant ton serieux, je sais que tu as forcément mis la digue, irrigué correctement, réalisé une belle mise en forme, une obturation compacte, et une belle reconstitution bien étanche.

moi un truc comme ca, je couronne sans remuer un sourcil.

(attention, seulement si les conditions pré citées sont réunies)


Tilc

17/03/2008 à 22h15

les pros de l'endo vous devez en avoir fait des merdes non ?
Aller sortez les !


Images eb1m5g - Eugenol
tonio

19/03/2008 à 02h35

carototo Ecrivait:
-------------------------------------------------------
>
>
> mon avis est le suivant:
> connaissant ton serieux, je sais que tu as
> forcément mis la digue, irrigué correctement,
> réalisé une belle mise en forme, une obturation
> compacte, et une belle reconstitution bien
> étanche.
>
> moi un truc comme ca, je couronne sans remuer un
> sourcil.

idem, je couronne sans regret.
Le pronostic à long terme n'est pas significativement modifié dans un cas comme celui-là (champ op, symptomalogie pré-endo seulement inflammatoire, casse en fin de préparation et après bonne irrgation); et de toute façon, impossible de retirer l'instrument.
C'est vraiment con cette casse car j'avias fait le plus dur en redressant bien comme il faut les triangles dentinaires mésiaux à l'entrée des canaux.
Tout ça parce que l'AD où je faisais le rempla m'avait collé une urgence "entre deux" juste avant la bio. De ce fait, j'étais un peu à la bourre et bing! Le pire c'est que l'urgence en question était un casse bonbon de première. Grrr!


carototo

19/03/2008 à 09h19

he oui, le gars "entre deux", qui te stresse et te bouffe du temps pour rien!!!!
c'est vrai que quand une casse comme ca a lieu, ca fait ch--r!!

beau boulot quand même.

PS: Tu ouvres quand??


Avatar transparent iqadnc - Eugenol
adhoc

19/03/2008 à 10h48



Tu es jeune , caroto?
Tu verras un jour que les conditions nécessaires à tout type de succes sont souvent tres éloignées des conditions suffisantes.


plouf

19/03/2008 à 11h00

De quoi faire réfléchir.
http://www.egora.fr/commun/script/winbreve.asp?newsid=46358&news_ref=593


carototo

19/03/2008 à 12h04

adhoc Ecrivait:
-------------------------------------------------------
> >
> Tu es jeune , caroto?
> Tu verras un jour que les conditions nécessaires à
> tout type de succes sont souvent tres éloignées
> des conditions suffisantes.


en effet je suis jeune , mais même si je sais que les conditions que j'ai décidé, ainsi que tonio de m'imposer pour l'endo par exemple, sont peut être exagérées aux yeux de certains confrères, je les applique quand même et je pense pouvoir parler au nom de tonio pour dire qu'il les applique également. celà dit bien entendu sans manquer de respect envers les confrères ayant plus de bouteille que moi.
je vois ca un peu comme le tir à l'arc, pour atteindre la cible, il faut viser plus haut.
et puis j'aime travailler comme ca.

voilà :-)


12