Cookie Consent byPrivacyPolicies.comL'oscar de la meilleure endo m******douillée - Eugenol

L'oscar de la meilleure endo m******douillée

carototo

19/03/2008 à 12h07

et il est vrai que quand on voit arriver une endo de merde (selon les critères actuels)faite il a 20 ans et qui ne pose pas de pb, ca peut décourager de faire plein d'efforts, mais je plaide coupable et préfère rester enfermé dans mes certitudes (digue, rotation continue, aide visuelle et tout le tralala, pour moi ca n'est pas du "décor")

cordialement bien entendu

Carototo


S8ysxdzhdqgw00w4q6m07a5d47q2 - Eugenol
gai-luron

19/03/2008 à 13h26

adhoc Ecrivait:
-------------------------------------------------------
> >
> Tu es jeune , caroto?
> Tu verras un jour que les conditions nécessaires à
> tout type de succes sont souvent tres éloignées
> des conditions suffisantes.


Je dois être mal réveillé, je comprends pas tout... adhoc?


paulman

19/03/2008 à 13h42

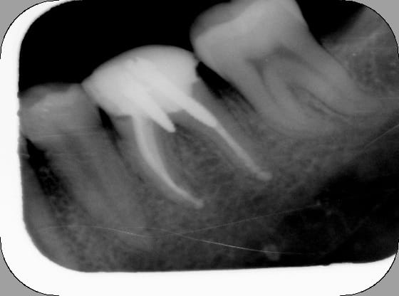
Nouveau système de transfixation par un lentulo, à breveter…

Image 1 ngh7tm - Eugenol

Bjorn

19/03/2008 à 14h42

gai-luron Ecrivait:
-------------------------------------------------------
> adhoc Ecrivait:
> --------------------------------------------------
> -----
> > >
> > Tu es jeune , caroto?
> > Tu verras un jour que les conditions nécessaires
> à
> > tout type de succes sont souvent tres éloignées
>
> > des conditions suffisantes.
>
>
> Je dois être mal réveillé, je comprends pas
> tout... adhoc?

Les conditions nécessaires ne sont pas forcément suffisantes.


S8ysxdzhdqgw00w4q6m07a5d47q2 - Eugenol
gai-luron

19/03/2008 à 15h15

je comprends mieux.
merci.


fatalgutta

19/03/2008 à 23h25

Pas mal du tout le lentulo! (il manque le col du lentulo qund meme.... lol)


Gutt-A

24/03/2008 à 17h01

Le lentulo, même en faisant exprès je sai pas si j'arriverai à faire mieux...;)combien d'année d'experience de TR lentulo et pâte pour arriver à ce niveau?? lol


majicados

24/03/2008 à 21h49

paulman Ecrivait:
-------------------------------------------------------
> Nouveau système de transfixation par un lentulo, à
> breveter…



rassures moi tu la ressorti ce lentulo?


endoworldrecord

25/03/2008 à 15h09

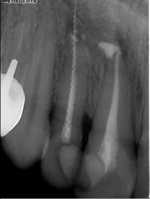
http://img518.imageshack.us/my.php?image=endoworldrecordtw6.jpg

\o/


paulman

25/03/2008 à 15h24

Il est sorti sans trop de problème et la patiente l'a conservé pour avoir une discussion avec son ancien CD…


Wolford hm5yx3 - Eugenol
Doc lyonnaise

24/02/2009 à 18h36

c'est pas de moi et ça fait 20 ans que ça tient :-)))

Gui bliwfj - Eugenol

op

24/02/2009 à 18h53

ce n'est pas de moi!!!
trop fort

11 mvu8po - Eugenol

Kon nx3ojp - Eugenol
TuBerculosis

24/02/2009 à 19h08

wow
si la cortical externe de la mandibule avait été moin dur il serai ressorti par la peau... :)


3f3boxni50k58rq7e9ce9ddqrxgk - Eugenol
dentiste57

24/02/2009 à 20h53

ils disent tous ça ...


op

25/02/2009 à 10h34

désolant la remarque
merci


Pepsi tmi4vp - Eugenol
cartman

25/02/2009 à 10h45

impressionant la rx que tu nous as postée.
Quels symptomes présentaient le patient? comment l'as tu géré?

merci


Avatar11936 1 madrkz - Eugenol
op2

25/02/2009 à 13h58

la patiente ne présentait aucun symptôme lié aussi bien au dépassement de l'instrument qu'à la pâte
extraction par un collègue spécialisé en Chirurgie buccale
tout est venu d'un seul tenant


12