Cookie Consent byPrivacyPolicies.comVotre avis sur ce cas - Eugenol

Votre avis sur ce cas

aimata

29/03/2008 à 22h29

Bonjour à tous !
Je suis une jeune consoeur et j'aimerais avoir votre avis sur cas. Il est loin d'être aussi spectaculaire que ce qui est habituellement présenté, mais il suffit à ce que je me pose pas mal de questions. J'aimerais savoir si mes propositions thérapeutiques tiennent la route et si les questions que je me pose sont justifiées ou non.

Le contexte :
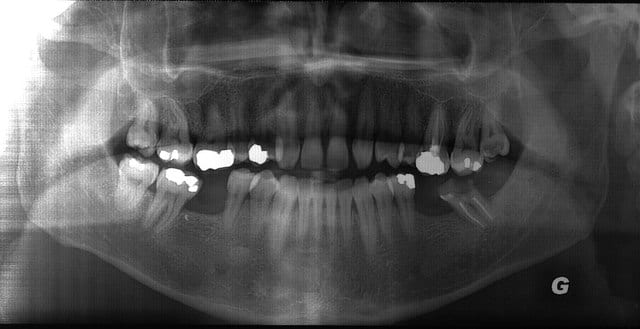
homme d'environ 40 ans se présente au cabinet pour la première fois, en urgence. Abcès au niveau de la furcation de 37. De plus, le traitement endo de cette dent baigne dans la salive depuis environ 2 ans. A l'époque, le dentiste avait réalisé l'endo et proposé la réalisation d'un bridge 35,36,37. Comme le patient n'avait pas les moyens (et plus de douleurs) il n'est jamais retourné à son rdv et est resté avec son cavit. Ayant fait quelques économies, il souhaite réaliser le bridge maintenant.
Il m'a déposé aujourd'hui la pano que je lui avais demandé, et je commence à cogiter sur ce que je vais lui proposer.(pour les grandes lignes, car il faut que je le revois en consultation pour affiner mon bilan). Au vu de la pano (que je vais tenter de joindre)et de la rétro (impossible de l'envoyer: image pas nette au niveau de la furcation en rapport avec l'abcès) la perspective d'utiliser cette dent comme pilier de bridge ne me tente guère.

mon plan de traitement idéal :
secteur 1 : régularisation occlusale de 16 si egressée, voir si le soin volumineux est satisfaisant
secteur 2 : soin 15 carie mésiale, 16 retraitement + couronne pour récupérer la courbe de spee, 17 régularisation occlusale, 18 extraction
secteur 3 : extraction 37, proposition implantaire pour 36,37
secteur 4 : faire rétro alvéolaire de 45 pour niveau osseux distal, mobilité ?, proposition implantaire pour 46, avec aménagement de la face mésiale de 47

Les questions que je me pose, si solution implantaire non possible :
- Réalisation de 2 bridges secteurs 3 et 4 ?
Cette solution ne me plait pas vu l'état de 37 et le niveau osseux de 35.
- Stellite mandibulaire ?

Merci d'avance de vos avis

Lm xycdce - Eugenol
Lm pfgbiy - Eugenol
Lm2 vurez6 - Eugenol

fatalgutta

29/03/2008 à 23h17

Bonsoir!

37 : Non vitale, TR baignat dans la salive depuis 2 ans, axe complètement versé, atteinte de furcation, abcès, certainement cariée au niveau de la chambre pulpaire
35: Vitale

Donc le bridge ne semble pas etre un bon choix (surtout a cause de 37)

Secteur 4 : bridge sur 2 dents vivantes dont une sans aucune obturation, pour un seul intermédiaire !!!

De toute façon prix d'un bridge sur dents vivantes (donc non remboursable et tous les inconvenients qui vont avec) va fleurté avec le prix d'un implant unitaire, donc en expliquant bien tes arguments, ton patient devrait vite faire son choix


murderofcrows22

29/03/2008 à 23h29

LE patient n'a pas vu de dentiste depuis 2 ans. Il s'en fout dc et attend d'avoir mal pour consulter. De plus, la 37 avec abscès paro au niveau de la furcation me fait pencher vers l'extraction de cette dent. Mais après que faire? Un stellite mandibulaire 3 dents? Le patient ne le portera pas forcemment.
On s'orienterait plus vers des implants.
Si le patient ne veut pas d'implants et que le patient comprend le traitrement(...), je partirais sur une séparation des racines de 37 puis rte puis 2 inlay core puis bridge provisoire de 35 à 37 pdt 3 mois et si l'hygiène suit bridge d'usage.
Pour rétablir la courbe se Spee à gauche, je feraiune couronne sur 26 mais pas de rte et coronoplastie sur 27.


aimata

29/03/2008 à 23h33

Merci de ton avis, c'est bien ce que je pensais. Par contre pas de reprise carieuse sur 37 (faut croire qu'il brossait consciencieusement dans le trou !!!) C'est d'ailleurs ce qui me faisait hésiter d'autant plus qu'il n'y a aucune mobilité de 37.
Va falloir que j'explique tout ça au patient. Il va avoir du mal à avaler la pilule je pense. il y tient à sa dent, j'ai évoqué l'éventualité de l'extraire lors du rdv d'urgence, il a complètement bloqué. En plus, pour m'aider, le radiologue a eu la bonne idée de lui dire que "non non il n'y a pas de problème apical sur votre dent".


fatalgutta

29/03/2008 à 23h45

La séparation de racine pourquoi pas, mais je trouve quand meme l'axe très mésialé, y aurait-il pas un risque de fracture?

Mais c'est vrai que s'il n'est pas venu depuis 2 ans... ça laisse à désirée sur sa motivation!

PS: C'est fou comme le patient idéal pour les implants n'est jamais motivé... ;)


fatalgutta

29/03/2008 à 23h48

PS : c'est quelle marque ta pano, parce que la qualité est vraiment géniale !!!


aimata

29/03/2008 à 23h51

Je travaille dans un petit cab de campagne, donc pas de pano : envoi au cabinet de radiologie. C'est le passage par le scanner qui l'a rendue comme çà. Et pour la rétro alvéolaire : le système d'exploitation du cab est windows 98 donc pas d'usb seule sortie possible : la disquette (pas d'adsl non plus) et mon ordi perso n'as pas de lecteur de disquettes depuis bien longtemps !!!


oups j'avais lu que tu trouvais que la qualité était "pas" géniale !!! j'ai voulu aller trop vite.


aimata

30/03/2008 à 00h08

Pour la séparation de racines : les racines ne sont elles pas un peu trop proches pour permettre un hygiène correcte après la réalisation des 2 petites couronnes ?


Garf2 hcrtax - Eugenol
enamel

31/03/2008 à 23h31

implants si motivé (pas sur )
mais 37 à extraire sur

je pense que ce sera un stellite (40 ans c est jeune) mais je le vois pas faire le reste


le bridge me semble pas indiqué en 3 dc stellite cale 16 en meme temps...


aimata

01/04/2008 à 09h54

Je revois le patient la semaine prochaine. Je vais déployer tout mon talent de communication (va pas être simple encore) pour motiver ce patient. Merci de vos réponses.


docdent

01/04/2008 à 22h54

Franchement en voyant la pano je pense que la motivation risque d'être difficile...

Encore un qui va se dire : "cette petite veut s'en mettre plein les poches sur mon dos"...

Dieu qu'il est agréable de soigner les patients en France...


Avatar transparent iqadnc - Eugenol
adhoc

02/04/2008 à 19h05



Meuh non!!!!

W98 gere l'USB , mais il faut lui adjoindre les pilotes de chaque périphérique usb
Par contre, tu peux en effet dire que ta carte mere n' a pas de sortie USB. Dans ce cas, tu peux adjoindre une carte UBS2-PCI et ca sera du mozart pour tes periph usb au cab.


2bib

06/04/2008 à 19h03

pour moi l extraction de la 37 est non discutable , il faut que le praticien soit sur de ce qu il fait et pour le radilolgue ,il te faut un autre ( normalement le compte rendue est communiquer directemnet au praticien , il ne doit pas faire de comentaires au patient )
il reste donc deux solitions
1- couronnez la 16/17 et 26/27+ implant sur 36 /37/ et 46
2- si le patient n a pas de moyens j`opte pour un stellite sans toucher au antagoniste
(la croube de speee va etre plus concave au mandibuliare )