Cookie Consent byPrivacyPolicies.comLa responsabilité de l’omnipraticien - Eugenol

La responsabilité de l’omnipraticien

bjc

02/04/2008 à 02h37


arrêtez d’extraire

@+ Bjc.

Depart s78ckc - Eugenol
Pose quckwz - Eugenol
En fin de traitement fdnw1y - Eugenol
Visages u5ahqj - Eugenol

bjc

02/04/2008 à 17h39

P.S. : (son profil aussi a été sauvé)


bjc

02/04/2008 à 18h41

Il m’a été demandé pourquoi mettre ce cas en exercice professionnel ?

Parce que, si ce sont les ODF. qui demandent les extractions, ce sont les omnis qui les réalisent et en portent la responsabilité …
les procès pour perte de chance se multiplient aux Etats unis, cela vient en Europe
et ce sont les omnis qui trinquent

@+ Bjc.


panpan

02/04/2008 à 22h39

Doit-on donc refuser toutes extractions venant des orthos ?


bjc

02/04/2008 à 23h18

Ni refuser systématiquement, ni accepter systématiquement
évidemment, c’est plus facile de refuser, on prends pas de risques

si vous acceptez d’extraire, vous serez le seul responsable,
une solution simple est de demander à l’ortho de vous assister pendant la chirurgie
vous serez alors deux responsables, vous aurez parfois des refus, et aussi moins de demandes

vous en conclurez ce que vous vous voudrez

@+ Bjc.


Index yggvvx - Eugenol
giani

02/04/2008 à 23h53

Franchement arrétez de **** dans la colle !!!

****************

Les ortho font un courrier conservé dans le dossier du gamin, les parents vous amènent les gamins ils ont accepté le traitement si ils sont chez nous au cabinet...

Bref perte de chance ou pas, c'est pas ce type de débat qui à mon avis présente un intérêt.

Tant que vous y êtes attaquez vos patients qui ont de vieux amalgames à déposer, pour vous avoir contaminer au mercure.....nous aussi sur ce coup on perd .....


bjc

03/04/2008 à 00h05

Toutes les jurisprudences ont rendu l’omni responsable et seul responsable de la perte de chance, même avec un mot écrit de l’ortho

C’est *** dans la colle !!!
je suis d’accord
mais quand la *** te tombe dessus, et qu’elle colle, c’est désagréable
et ça va arriver de plus en plus


tatoo

03/04/2008 à 01h16

reçu clair et net ... le " bjc local" va se les farcir tout seul les exo ... je suis pas mauvais chien , j' lui passe ma caisse à outils ...


Grueavatar nptrc9 - Eugenol
Le Choixpeau magique

03/04/2008 à 11h04

bjc Ecrivait:
-------------------------------------------------------
> Toutes les jurisprudences ont rendu l’omni
> responsable et seul responsable de la perte de
> chance, même avec un mot écrit de l’ortho

Références des arrêts stp ?


docdent

03/04/2008 à 11h24

Le Choixpeau magique Ecrivait:
-------------------------------------------------------
> bjc Ecrivait:
> --------------------------------------------------
> -----
> > Toutes les jurisprudences ont rendu l’omni
> > responsable et seul responsable de la perte de
> > chance, même avec un mot écrit de l’ortho
>
> Références des arrêts stp ?


bjc parlait des states non?


Grueavatar nptrc9 - Eugenol
Le Choixpeau magique

03/04/2008 à 12h20

Donc stop la parano !


jeanphy

03/04/2008 à 12h22

Le Choixpeau magique Ecrivait:
-------------------------------------------------------
> bjc Ecrivait:
> --------------------------------------------------
> -----
> > Toutes les jurisprudences ont rendu l’omni
> > responsable et seul responsable de la perte de
> > chance, même avec un mot écrit de l’ortho
>
> Références des arrêts stp ?

+1 stp


azerty

03/04/2008 à 14h51

giani Ecrivait:
-------------------------------------------------------
>
> Bref perte de chance ou pas, c'est pas ce type de
> débat qui à mon avis présente un intérêt.
>
>
oh que si... va a des expertises et tu verras ce que l'on te reproche...


ameli

03/04/2008 à 17h41

07/02/90 : nerf dentaire et sagesse (cassation)
27/09/05 : excellent travail, non contesté, mais le praticien n'a pas laissé le choix au patient et a manqué à l'exposition des risques. (cassation)

J'ai un cas, un ortho qui n'a pas envie de se pourrir la vie avec des encombrements chiants, et qui fait extraire des incisives bas.
Bin, je vais lui pourrir la vie, et à ceux qui extraient aussi.


panpan

03/04/2008 à 18h00

conclusion: l'ortho doit faire les extractions.


220px don camillo4 qrcfhs - Eugenol
camillo

03/04/2008 à 18h34

bonjour,

personellement, je me sens bien incapable de juger le plan de traitement établi par l'ortho, et par conséquent de juger de l'utilité des extractions.
tout ce que je peux faire, c'est vérifier que le patient ai bien compris le TTT proposé et qu'il connait ses contraintes.
pour le reste, je ne suis pas ortho!


bjc

03/04/2008 à 19h36

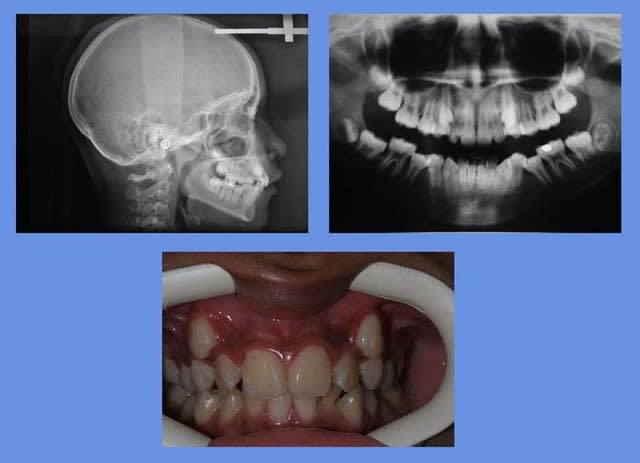
le Pb. n’est pas de juger, mais de ne pas être complice, (et condamné à la place de l’autre)

voici un cas d’incisives Inf. qui est une indication d’extraction selon les critères d’il y a 25

Sans titre 1 rcrz3y - Eugenol

220px don camillo4 qrcfhs - Eugenol
camillo

03/04/2008 à 19h39

ok, mais comment moi, omnipraticien, je peux savoir si il existe une alternative a l'extraction sur tel ou tel cas?


tatoo

03/04/2008 à 21h01

ameli Ecrivait:
-------------------------------------------------------
> Bin, je vais lui pourrir la vie, et à ceux qui
> extraient aussi.

ameli pourrait développer ta pensée , non pas dans le comment ( tu vas les démembrer puis les éviscérer , nous avons toute confiance en tes talents ) , mais dans le pourquoi ?





bjc

03/04/2008 à 21h16

"ok, mais comment moi, omnipraticien, je peux savoir si il existe une alternative a l'extraction sur tel ou tel cas?"

Et si c’était à ton enfant qu’il fallait extraire des dents, ou à toi
tu ferais comment ?


aimata

03/04/2008 à 22h13

Je fais de l'omnipratique. La plupart du temps, je ne dispose pas de la pano et jamais de la téléradiographie de profil. Donc, quand bien même je serais capable de faire un tracé céphalo, je ne vois pas comment je pourrais évaluer si des extracts de prémolaires sont justifiées ou pas. En tout cas, pas avec ce que j'ai appris à la fac.
Par contre, si on me demande d'extraire des incisives je pense que je passerais un coup de fil à l'odf (jamais vu).

En tout cas, une chose est sure, il faut passer du temps à expliquer aux parents. J'ai fait une bourde y a pas longtemps, quand j'ai dit à une maman (pour faire un peu la conversation pendant que j'examinais son fils) "Il fait son traitement odf, vous avez fait extraire ses prémolaires". Et là, réponse de la maman : "non non, on lui a extrait 11 dents de lait l'année dernière en clinique, mais pas de dents définitives ! Jamais de la vie je n'aurais fait ça !"
Dans la même veine : jeune fille de 16 ans qui vient pour contrôle après traitement ODF. Mon commentaire "tiens l'ODF a conservé 2 dents de lait ?" La maman savait pas.
Maintenant avec les patients : je me tais, plus de commentaire.


Image odged8 - Eugenol
ploc

03/04/2008 à 22h34

on peut qd mme se tenir un peu au courant des courants actuels en odf (voir ds le fil d'odf les bouquins à lire pr omnipraticiens:comme chacun sait je n'arrive pas à copier les liens), par les articles qui passent par les echanges avec des confrères,les confs...

ds les facs,l'interception est enseignée, me semble t'il, et le but de l'interception est bien de ne pas se retrouver en denture permanente avec un encombrement tel, que la solution extractionnelle va sembler la plus facile pr nombre d'odf (améli,j'ai mme vu une canine extraite pr aligner alors pourquoi pas PM et incisives...)
tiens, suivez vs l'odf s'il vs demande l'extrac d'une canine comme sur le cas montré par bjc?
comme c'est une canine ,là cela vs interpelle...et il y a des chances que vs refusiez..
pourquoi pas une PM ou une incisive?



bref exercer un minimum de sens critique et de bon sens en considérant que l'odf n'est pas tout puissant ni tout-savant
je trouve aberrant de ne pas rencontrer l'odf à qui on adresse et d'adresser sans savoir quelles techniques il emploie,et si sa philosophie et sa methodologie de l'odf vs conviennent et st en phase avec vos propres buts
idem pr l'implanto ou autres specialités


aimata

03/04/2008 à 23h21

Je suis d'accord ploc. Je ne cautionne absolument pas l'extraction de dents définitives. J'adresse très jeunes mes petits patients pour traitement d'interception. (Je l'avoue je suis incapable de les faire moi même). Je les oriente vers une odf, qui évitera les extracs. Quand un odf me demande d'extraire des dents, je regarde dans la bouche du patient en essayant de comprendre.

Maintenant, à moins que les extracs soient contre-indiquées dans tous les cas, je n'ai pas la prétention de dire à l'odf ce qu'il doit faire. Il a fait des études de spécialiste, pas moi.

Quand mon médecin m'oriente vers un spécialiste, j'ai plus confiance dans le diagnostic du spé, et pourtant je pense avoir un excellent généraliste.

Je crois aussi tout à fait que c'est le chirurgien dentiste qui aura des problèmes si la famille râle après coup. Je trouve juste pas ça logique.


(J'ai vu le fil en ODF, promis je vais faire un effort pour ma culture)


Grueavatar nptrc9 - Eugenol
Le Choixpeau magique

03/04/2008 à 23h51

Existe-t'il un consensus contre les extractions en odf ? Vous parlez de ça comme si les DAS interdisaient les extractions.


Canard fkryf7 - Eugenol
Agachon

04/04/2008 à 00h39

Je n'ai refusé qu'une fois. Un ODF d'une mutuelle qui traitait un de mes patients et qui me demandait d'extraire une 7 inférieure afin que la 8 prenne sa place. Cela s'est réglé au téléphone avec l'ortho.


12