Cookie Consent byPrivacyPolicies.comdistalisation d'une molaire en denture mixte - Eugenol

distalisation d'une molaire en denture mixte

200106 10150128247663588 709988587 6466236 5598391 n d7mksb - Eugenol
hallboy

21/04/2008 à 00h54

exact et le cadre pour modifier est trop etroit, donc je ne peux pas.

donc , pour les curieux, remontez un peu pour recuperer le post de Dancha qui renvoie au pano de la dame


Naruto furie j5u7b5 - Eugenol
darkdentor

26/04/2008 à 18h55

bonjour,
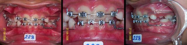
pour faire suite à la question de bjc les incisives maxillaire ont une taille normale de 9 mm, voici la pano et une photo du maxillaire aujourd'hui.
Quel pronostic pour la cabine mandibulaire gauche?

Le j c maxillaire qh gyebxb - Eugenol
Le j c pano du 26 - Eugenol

bjc

27/04/2008 à 01h22

quel age osseux?
Rx du poignet pour un garçon
ou si c'est une fille, est-elle réglée ?

@+ Bjc.



Naruto furie j5u7b5 - Eugenol
darkdentor

27/04/2008 à 01h50

bonsoir,
c'est une fille de 8 ans 5 mois , pas encore réglée, je n'ai pas fait de radio du poignet vu son age.
merci bjc de ta coopération


Picture1111 zburnd - Eugenol
saidkholoki

27/04/2008 à 10h28

Mon cher confrere,
Voici un cas qui ressemble un peu a ton cas, en moins grave, mais qui peut te donner une idee sur ce qu'il faut faire.
Mon patient, ou plutot les parents, n'etaient pas tres cooperants, manquaient pas mal de RDV, et je n'ai plus revu a la fin de traitement. Ici a Abu Dhabi il en a pas mal comme ca!!
Bref, le systeme de MacAndrews peut etre utile dans ces cas. Un arc de base de stabilisation basic, jambe du cote de la deviation contre la laterale, le cote oppose est a distance pour permettre le mouvement des 4 incisives. Une boucle au milieu du pont lateral sert de stop pour le ressort active de la quantite de deplacement desiree avec 3 mm de plus et insere pendant la fabrication de l'arc de base. On laisse faire le systeme tout seul.

P.S. Je laisse a vous de mettre les accents car j'ai un keyboard american.

Abd - Eugenol
Abd ressort cyjkzt - Eugenol
Abd ressort 2 mg2ndd - Eugenol
Abd fin lv84yz - Eugenol

Naruto furie j5u7b5 - Eugenol
darkdentor

27/04/2008 à 12h00

bonjour,
Merci SaÏd pour tes conseils. Je me posais la question sur le moment de réaliser les mouvements sur les incisives inférieures. N'est il pas risqué de déplacer la 32 vu la position de la 33 par rapport à sa racine.J'avais peur de provoquer une résorbtion de la 32 en déplaçant l'apex vers la 33.Le ressort provoquera une version de la couronne et l'arc de base controlera la racine mais il y aura forcément un rappochement apical vers la 33. Je ne sais pas si je suis bien clair; Je pensais qu'il fallait attendre au moins que la canine soit au 2/3 de la racine de la latérale pour la déplacer sans risque. Mais effectivement si la canine est bloquée nous pouvons toujours attendre.
Je pense que tu vas me demander de faire une radio face pour voir le sens transversal et savoir quelles sont les possibilités de ce coté là.
la voila

Le j c téléradio face tvvhwu - Eugenol

Picture1111 zburnd - Eugenol
saidkholoki

27/04/2008 à 15h58

Bonjour Darkdentor,
Pas de probleme de ce cote car le mouvement reel qui va se produire est un recentrage de toute la courbe incisive et non pas un deplacement des incisives. Ceci a condition que ton arc de base soit bien fait de l'autre cote, de stabilisation parfaite... De plus pas de cinch back du cote de la canine coincee. Tu peux y aller sans probleme..


Naruto furie j5u7b5 - Eugenol
darkdentor

27/04/2008 à 17h15

Merci saïd,
Bien sur, j'aurais du être plus malin et comprendre que c'est tout l'arc incisive qui allait se déplacer libérant le chemin pour la canine. De fait la réation au déplacement du bloc incisif sera une force de recul sur la molaire .Je dois également incorporer du toe out sur la molaire du coté de la canine coincée.
Je ne manquerai pas de poster les photos.
@+


jeanba

27/04/2008 à 18h02

Est ce qu'on peut réellement reculer une molaire maxillaire avec un QH?
En activant uniquement en direction postérieure la branche qui rentre dans le fourreau palatin de la bague du coté du recul souhaité?


Picture1111 zburnd - Eugenol
saidkholoki

27/04/2008 à 21h37

Il s'agit d'un QH symetrique dans sa fabrication mais sans bras du cote a deplacer. Le cote oppose peut avoir un bras normal ou double jusqu'a la laterale de l'autre cote. Le bras doit etre contre les dents des la pose donc un toe in totalement passif du cote ancrage. A la deuxieme activation on peut activer asymetriquement si besoin.
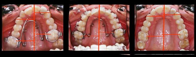
En piece jointe un cas demonstratif

Symetriser les molaires td01mk - Eugenol

jeanba

27/04/2008 à 21h48

"Le bras doit etre contre les dents des la pose donc un toe in totalement passif du cote ancrage"
Quand tu dis contre les dents celà ne correspond pas à la 1ère photo mais à la deuxième!!!!! Ensuite concernant le toe in tu veux dire que le bras rentrant dans le fourreau lingual coté ancrage( donc le côté ne nécessitant pas de recul si j'ai bien compris) n'est pas parallèle à la ligne médiane?
Excuse- moi j'ai du zappé un feuilleton au cisco.


Images 1 qtgoxf - Eugenol
ciwil

27/04/2008 à 22h07

Said,
Ne crains-tu pas une dénudation radiculaire de 12 et 13 par réaction avec ce système ?
Et pourquoi ne pas étendre le bras résistant jusqu'au secteur opposé ?


bjc

28/04/2008 à 03h21

à ce propos, je suis surpris que Saïd montre un cas non terminé
il a pourtant de nombreux cas traités en arc de base.
ils font tous des abandons de ttt. ?

@+ Bjc.


bjc

28/04/2008 à 05h41

rassurez vous, Saïd n’est pas le seul a avoir eu des abandons de ttt. avec les arcs de base
moi aussi,
malgré l’utilisation de gaines ou d’arcs carrés à angles biseautés

cela ne m’empêche pas d’admirer la pureté de ses arcs

@+ Bjc.


Picture1111 zburnd - Eugenol
saidkholoki

28/04/2008 à 06h17

jeanba Ecrivait:
-------------------------------------------------------
> "Le bras doit etre contre les dents des la pose
> donc un toe in totalement passif du cote ancrage"
> Quand tu dis contre les dents celà ne correspond
> pas à la 1ère photo mais à la deuxième!!!!!
> Ensuite concernant le toe in tu veux dire que le
> bras rentrant dans le fourreau lingual coté
> ancrage( donc le côté ne nécessitant pas de recul
> si j'ai bien compris) n'est pas parallèle à la
> ligne médiane?
> Excuse- moi j'ai du zappé un feuilleton au cisco.

Tu as raison mais la distance est infime et ne correspond pas a la rotation molaire de ce cote. Donc des que le QH commence a corriger cette rotation il sera bloque par le contact de toutes les dents ne laissant agir que le travail du cote oppose.


Picture1111 zburnd - Eugenol
saidkholoki

28/04/2008 à 06h24

ciwil Ecrivait:
-------------------------------------------------------
> Said,
> Ne crains-tu pas une dénudation radiculaire de 12
> et 13 par réaction avec ce système ?
> Et pourquoi ne pas étendre le bras résistant
> jusqu'au secteur opposé ?

Ciwil,
Pourquoi doit on craindre ceci si le QH n'appuie pas directement contre ces dents? De plus , si tu remontes deux postes plus haut tu peux lire: Le cote oppose peut avoir un bras normal ou double jusqu'a la laterale de l'autre cote.
Cela depend de plusieurs choses et je suis incapable maintenent de me rappeler pourquoi j'ai choisi cette option pour ce cas. Le plus important que ca marche...


Images 1 qtgoxf - Eugenol
ciwil

28/04/2008 à 09h39

si le bras ne prend pas appui contre les dents, où se situe la réaction à l'action de distalisation ?


bjc

28/04/2008 à 13h52


quand Saïd symétrise une arcade
sans montre l’antagoniste mais juste une mécanique
en mésialisant une 16, plutôt que distaler une 26
en reformant une arcade par version des prémolaires (comme Damon)
et non pas par translation

oui, j’aime bien

@+ Bjc.


1 eugenol dmj5np - Eugenol
Dancha

28/04/2008 à 14h34

bjc Ecrivait:
-------------------------------------------------------
> > quand Saïd symétrise une arcade
> sans montre l’antagoniste mais juste une
> mécanique..

Venant de quelqu’un qui n’a jamais montré lui-même de traitement terminé, qui crée allègrement une classe III molaires à droite en omettant volontairement de montrer les photos latérales pour le cacher (dans son post « Je me sens d’humeur coquine »), cette critique peut faire sourire..

Daniel


Naruto furie j5u7b5 - Eugenol
darkdentor

28/04/2008 à 14h47

Bonjour,
Il me semble bjc que le travail du QH est un travail de reformage et donc forcément grossier. la forme d'arcade ne peut pas être totalement respectée. le bras latéral d'appui si il n'y a pas d'action sur la dérotation de la molaire à ne pas bouger n'a pas pour vocation de provoquer un déplacement des prémolaires.Le déplacement réactionnel sera corriger par un système MB sur la forme d'arcade avec des informations correctes.Pour le reste il faut se reporter aux objectifs de traitement pour savoir si nous sommes cohérents.
Dans le cas de Saïd qu'aurais tu fais? La symétrisation des arcades est un des premiers objectif à atteindre.
à bientôt


bjc

28/04/2008 à 16h00

cher darkdentor

je ne me permettrais pas dire à confrère comment j’aurais traité son cas, surtout s’il ne me l’a pas demandé

je me pose seulement la question :
est-il bon, ou meilleur, de reformer une arcade en mélangeant torque et version ?
Q.H . torque sur les 6 et version des PM. et parfois les canines par les bras du Q.H.
ou meilleur de reformer avec beaucoup de version (Damon) ?
ou meilleur de reformer avec un maximum de translation (Roncone) ?

@+ Bjc.


Naruto furie j5u7b5 - Eugenol
darkdentor

28/04/2008 à 16h11

bjc,
Je ne voulais absolument pas confronter vos plans de traitement. Tu as raison de le rappeler ,je voulais simplement savoir pour ma connaissance personnelle les options possibles.
Les choix thérapeutiques sont le résultat de reflexion que quelques photos ne peuvent pas résumer bien sur.
Je pense qu'il est toujours interessant de comprendre les différentes façons de penser.La tienne et celle de Saîd semblent assez différentes.
Je suis avide de vos réflexions .


Picture1111 zburnd - Eugenol
saidkholoki

28/04/2008 à 17h10

ciwil Ecrivait:
-------------------------------------------------------
> si le bras ne prend pas appui contre les dents, où
> se situe la réaction à l'action de distalisation ?

Je voulais dire que le bras ne prend pas d'appui direct sur ces deux dents seulement mais plutot sur la totalite de l'arcade. En tout cas pour le cas ci present je n'avais pas eu ce probleme Dieu merci.

P.S. POUR LES CRITIQUES FAITES PAR CERTAINS CONFRERES SUR CE SITE JE PREFERE NE PAS REPONDRE CAR LEURS PROPOS NE MERITENT PAS.


bjc

28/04/2008 à 17h50

Ces raisins sont trop verts, dit le renard


Images 1 qtgoxf - Eugenol
ciwil

28/04/2008 à 18h30

Said,

Je suis frais et presque moulu du CETO, on y reprend du CISCO l'arc de base et le QH.
Le QH n'est utilisé qu'à des fins de dérotation et/ou expansion, toujours associé à un arc d'au moins .018
Quelle autre utilisation préconises-tu stp ?