Cookie Consent byPrivacyPolicies.comdistalisation d'une molaire en denture mixte - Eugenol

distalisation d'une molaire en denture mixte

Picture1111 zburnd - Eugenol
saidkholoki

28/04/2008 à 18h59

Ciwil,le QH n'est pas reserve a la bioprogressive mais on l'utilise plus que les autres et on sait le manipuler mieux que les autres a condition d'apprendre comment et de s'y mettre. Les indications sont essentiellement:
* Rotation des molaires
* Reformage d'arcade
* Expansion orthopedique du maxillaire
* Ancrage moyen des molaires
* Symetrisation sagittale et transversale des molaires et/ou de l'arcade
Tu sais le pourquoi maintenant, reste a savoir le comment faire.


1 eugenol dmj5np - Eugenol
Dancha

28/04/2008 à 19h03

darkdentor Ecrivait:
-------------------------------------------------------
> .. N'est il pas risqué
> de déplacer la 32 vu la position de la 33 par
> rapport à sa racine. J'avais peur de provoquer une
> résorption de la 32 en déplaçant l'apex vers la
> 33.Le ressort provoquera une version de la
> couronne et l'arc de base contrôlera la racine
> mais il y aura forcément un rapprochement apical
> vers la 33. ..

saidkholoki Ecrivait:
-------------------------------------------------------
> Bonjour Darkdentor,
> Pas de problème de ce cote car le mouvement réel
> qui va se produire est un recentrage de toute la
> courbe incisive et non pas un déplacement des
> incisives. ..
> ..
> Tu peux y aller sans problème..

Permets-moi de ne pas être tout à fait d’accord avec toi, mon cher Saïd.
Avec un braquet de type double comme on utilise pour réaliser un arc de base classique, la 32 a une différence de niveau qui va immanquablement créer un moment de force qui lui-même aura une action apicale en direction de la 33.. Ce phénomène ne pourrait être évité qu’avec un braquet unipoint.

Daniel

Dark1 zgrmey - Eugenol

Picture1111 zburnd - Eugenol
saidkholoki

28/04/2008 à 19h41

Dancha Ecrivait:

> Permets-moi de ne pas être tout à fait d’accord
> avec toi, mon cher Saïd.
> Avec un braquet de type double comme on utilise
> pour réaliser un arc de base classique, la 32 a
> une différence de niveau qui va immanquablement
> créer un moment de force qui lui-même aura une
> action apicale en direction de la 33.. Ce
> phénomène ne pourrait être évité qu’avec un
> braquet unipoint.
>
> Daniel
>

Salut Daniel,
Tu as raison d'y penser mais je crois que le vrai probleme est un probleme de 3D. De plus le mouvement reel est un deplacement de la couronne vers le centre plus qu'un mouvement de redressement pure. Jette un coup d'oeuil sur le schema ci-joint et donne moi ton avis avec mes remerciments en avance.

Effet reel ctbzhr - Eugenol

1 eugenol dmj5np - Eugenol
Dancha

28/04/2008 à 19h56

saidkholoki Ecrivait:
-------------------------------------------------------
>..
> ..................... De plus le
> mouvement réel est un déplacement de la couronne
> vers le centre plus qu'un mouvement de
> redressement pure. ..

Merci de ta réponse, Saïd.
Je suis en partie d'accord avec ton hypothèse sur la 3D, encore que cela reste à prouver.
Mais pourrais-tu expliquer pourquoi ce mouvement serait plus un mouvement de la couronne vers le centre ?
Il me semble que mécaniquement, le moment de force créé par le fil dans le braquet entraîne également un mouvement radiculaire en distal.

Daniel


Picture1111 zburnd - Eugenol
saidkholoki

28/04/2008 à 20h04

Car il y a un ressort comprime en distal a la laterale, cher Daniel. Je t'invite a revoir la photo ci jointe.

Abd ressort o9vzvr - Eugenol

1 eugenol dmj5np - Eugenol
Dancha

28/04/2008 à 20h29

Merci pour ces belles photos, mon cher Saïd.
Nous sommes tout à fait d’accord sur le fait que le ressort déplace la couronne de 32 en mésial, mais comment empêcherait-il sa racine d’être déplacée, elle, en distal par le moment de force engendré par la différence de niveau de 31 et de 32 ?
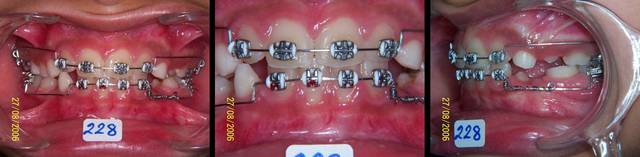
Sur les photos que tu montres ici, il n’y a pas de diastème entre 31 et 32 d’une part, d’autre part le niveau vertical des deux dents est identique. Il ne l’est pas sur le cas présenté par notre ami(e) darkdentor, à qui je redis que la 33 telle qu’elle est là ne présente pas de risque d’inclusion.
Les inclusions de canines inférieures sont beaucoup plus rares que les supérieures et si cette 33 en prenait le chemin, elle serait plus couchée.

Daniel


Picture1111 zburnd - Eugenol
saidkholoki

28/04/2008 à 20h58

Qu'est-ce que tu preconises alors?


Naruto furie j5u7b5 - Eugenol
darkdentor

28/04/2008 à 21h09

bonsoir,
Votre ami darkdentor suit le débat avec intérèt.Basculera ou basculera pas ?
@ +


1 eugenol dmj5np - Eugenol
Dancha

29/04/2008 à 13h04

pris par la compta ("2035" quand tu nous tiens !), je poursuis dès que je peux...

Daniel


Picture1111 zburnd - Eugenol
saidkholoki

29/04/2008 à 13h09

Bon courage Daniel et c'est quand tu as le temps...


1 eugenol dmj5np - Eugenol
Dancha

30/04/2008 à 20h39

saidkholoki Ecrivait:
-------------------------------------------------------
> Qu'est-ce que tu préconises alors?

D’attendre encore un peu que la 33 évolue, ou alors d’utiliser des braquets « unipoints » (à défaut des « da(ncha)mon » difficiles à trouver dans le commerce..) afin de n’avoir aucun effet parasite aux apex.
Je m’explique : d’une part 34 va bientôt faire éruption et permettra à 33 de se dégager en vertical, d’autre part le diastème entre 31 et 32 permettra à cette dernière de se mésialer naturellement sous la pression de 33. Je n’ai jamais vu de canine inférieure ne pas évoluer dans un cas comme celui-là.

J’attendrais donc que 34, 43 et 44 aient fait éruption et je pourrais alors éventuellement, si j’en ai envie, mettre un arc continu avec un ressort entre 32 et 34. Il est très vraisemblable que la 33 ne sera plus alors où elle est actuellement et que le mouvement de 42 pourra se faire sans risque.
C’est la perte prématurée de 73 provoquée par l’éruption de la 32 qui a retardé l’évolution de la 33 par la suppression du « chemin » qu’elle aurait dû avoir. Regarde la quantité d’os qu’il faut encore qu’elle résorbe.

Personnellement, j’aime bien que mes traitements soient courts et efficaces. Je pense qu’il est souhaitable que les canines puissent être prises en charge relativement rapidement après le début du traitement. Il faut quelquefois savoir attendre (quitte à se faire insulter par certains zozos). Ce qui n’empêche pas de surveiller régulièrement.

Est-ce que commencer très tôt serait une « prévention » efficace contre les avulsions comme le prétendent les zozos ?
En réalité, on ne peut gagner de l’espace qu’en expansion transversale, vers l’avant ou vers l’arrière.
A l’arcade inférieure, transversalement, peut-on vraiment croire qu’en faisant ici de l’expansion au niveau des molaires temporaires on pourrait gagner de la place pour la 33 ? Soyons sérieux. Vers l’avant, il faut voir le visage, l’épaisseur et la tonicité des lèvres, l’inclinaison des dents par rapport au support osseux.. (examen clinique et téléprofil). Vers l’arrière, on a deux manières d’en gagner : en empêchant les « 6 » de se mésialer à la perte des « V » (seulement à la perte des « V », cela ne sert donc à rien de le faire avant) et en les basculant en distal (attention à 37 et 47)...
A l’arcade supérieure, c’est différent puisqu’on a une croissance suturale. Une expansion est envisageable, dans la limite de l’équilibre du visage, bien entendu.
La « dérotation » des « 6 » en rotation mésio-vestibulaire comme c’est le cas ici permet également un gain en distal, puisque tout se passe comme si la molaire tournait autour de sa racine palatine. Le quad’hélix supérieur placé par notre ami darkdentor est donc parfaitement justifié.

Daniel


Picture1111 zburnd - Eugenol
saidkholoki

30/04/2008 à 23h54

Merci Daniel c'est ttes claire.. et tant pis pour les zozos..


Naruto furie j5u7b5 - Eugenol
darkdentor

01/05/2008 à 18h48

Bonjour Daniel,
Moi aussi je tiens à te dire merci ton explication est parfaitement claire. Je pense que j'ai compris le problème de ma patiente et entre les explications de Saïd et les tiennes j'envisage la conduite à tenir en connaissant les risques et les points clefs.
Vraiment merci si ça vous dit je vous joins la télé .