Cookie Consent byPrivacyPolicies.comClemmie n'est pas contente - Eugenol

Clemmie n'est pas contente

Spriford

24/04/2008 à 22h42

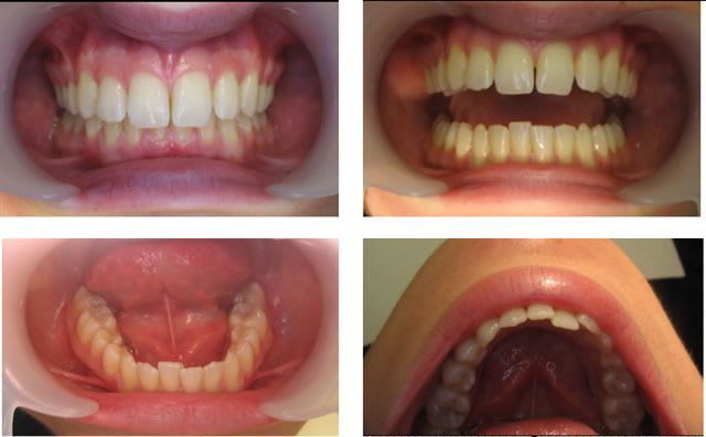
JF , 21 ans, a eu de 13 à 15 ans un traitement odf, finitions apparemment parfaite, a gardé sa contention mobile quasiment 3 ans car elle voyait ses incisives qui bougeaient dès qu'elle l'enlevait. Il y a 4 ans, son orthodontiste lui a dit d'arrêter cette contention et de laisser faire la nature, qu'il ne pouvait plus rien faire pour elle, à moins de tout rebaguer.
L'overjet revient, et la 41 s'en va...
Photos d'aujourd'hui.
Que puis-je lui dire ? lui faire? lui conseiller? (sachant que c'est moi qui l'avais envoyée en odf...)

Clem avril 08 hn76vj - Eugenol

Images 1 qtgoxf - Eugenol
ciwil

25/04/2008 à 09h49

stripping+mini-alignement ?


Spriford

25/04/2008 à 10h33

Je suis bien tenté...
Mais s'il suffit de faire ça, pourquoi son orthodontiste ne le fait-il pas?


Images 1 qtgoxf - Eugenol
ciwil

25/04/2008 à 12h43

quelle autre solution ?


Spriford

25/04/2008 à 15h26

Les ortho ne sont pas très loquaces...Il sont plus bruyants quand ils se chamaillent entre eux!

Je vais essayer de poser la question différemment:

Messieurs les orthodontistes, svp :
-Faut-il vraiment tout rebaguer pour replacer les dents et qu'en sera - t il de la stabilité ???
-Un petit bricolage d'appoint type (stripping- alignement- fil de contention) mené par un omni basique est-il "jouable"?
-Que faites vous les ortho lorsque vous voyez revenir ces patients ?
-Y a-t-il une "garantie" sur la stalilité d'un traitement orthodontique ? (ne serait-ce que morale).

En vous remerciant par avance etc...


bjc

25/04/2008 à 15h52

salut,

"Les ortho ne sont pas très loquaces...Il sont plus bruyants quand ils se chamaillent entre eux!"

Bien vu, une pierre dans mon jardin
ceci dit, il faut trouver la cause de ce cas réussi esthétiquement, mais qui est instable
pour tout dire, il m’est arrivé d’en voir de mes confrères, et c’est eux qui ont du voir les miens
(les mécontents vont toujours en face)
c’est une des raisons pour lesquelles j’ai changé de technique
un omni basique peut faire tout, à condition de vouloir
je ne pense pas que la bonne solution soit un stripping, non seulement les inc. inf. sont petites, mais la cause semble, je dis bien semble, être occlusale

tu devrais mettre ton cas dans la rubrique occlusion

@+ Bjc.


Images 1 qtgoxf - Eugenol
ciwil

25/04/2008 à 17h33

tu lui as fait un jaunissement dentaire par flashothérapie (photos du haut) ?


Spriford

25/04/2008 à 19h59

Merci bjc pour ton ébauche de réponse, pas totalement satisfaisante.
Dans d'autres posts n'as tu pas écrit que l'orthodontiste équilibrait en fin de ttt? Ce qui devrait garantir une stabilité, non?

Mes questions restent pour partie sans réponses.

ps dans mon jardin aujourd'hui moi j'ai ça:

Dans mon jardin ygobj7 - Eugenol

Spriford

25/04/2008 à 20h04

ciwil Ecrivait: tu lui as fait un jaunissement dentaire par flashothérapie (photos du haut) ?

Oui je vais faire breveter bientôt , mais je diffuse d'abord sur eugenol pour faire la promo. -))


Images 1 qtgoxf - Eugenol
ciwil

25/04/2008 à 20h42

dans mon jardin moi j'ai pas ça et je le regrette

Sakula negkku - Eugenol

bjc

25/04/2008 à 23h38

"Mes questions restent pour partie sans réponses."

tu attends de nonol les réponses à toutes les questions que tu te poses?

@+ Bjc.


Spriford

26/04/2008 à 01h46

Tu as répondu comme tu pouvais, peut-être que d'autres pourront compléter ? Le supporterais-tu ?
A moins que cette rubrique ne te soit réservée?

Oui,j'ai pris du temps pour formuler mes questions et j'attends des réponses d'autres orthodontistes , ai-je tort ?
D'ici là, je cultive mon jardin...

Doronique 25 avril 08 e5nljq - Eugenol

bjc

26/04/2008 à 02h27

quand tu iras dans ton jardin,
emporte un bouquin
d’occlusion de préférence
ouvre le à la page
Regle de la corde de Tylmann
(dont Dancha a déjà parlé)

Ah, ces petits jeunes …


Mon avatar msn jgkit1 - Eugenol
Ewing

26/04/2008 à 15h19

J'avais ça.

Jasmin1 q7771l - Eugenol

Spriford

26/04/2008 à 17h33

J'ai suivi les bons conseils de bjc, j'ai descendu dans mon jardin, bien décidé à potasser ce livre d'occluso, dégoté au fond d'un grenier...

Après quelques recherches infructueuses de la " Regle de la corde de Tylmann ", je suis enfin tombé sur "La loi de la « diagonale de Konrad Thielemann" . Est-ce de cela qu'il parlait???
Si ce sont 2 principes différents, je poursuivrai ma recherche, mais s'il s'agit du même , il se trouve que cela n'a strictement rien à voir avec l'incisive inférieure de Clemmie dont le probléme est un encombrement inférieur et pas du tout une égression supérieure...


La loi de la « diagonale de Konrad Thielemann » s’adresse essentiellement au sens vertical, à l’égression des dents antérieures du coté opposé à celui où il y a « réduction des mouvements de la mâchoire inférieure ».

Quel rapport avec des malpositions incisives inférieures apparaissant quelques temps après la fin d’un traitement orthodontique ?

Si tes fins de traitements sont aussi approximatives que tes renseignements, bjc, je comprends que tu n'en fasses jamais part ici malgré les demandes insistantes de tes collègues.

Photos tirées du bouquin de Konrad Thielemann « Biomécanique de la parodontose » - Prélat 1958


Et tout ça avec le parfum des pivoines et les cris des martinets qui sont enfin revenus ...


Spriford

26/04/2008 à 17h45

.

Thiele1 sipaqi - Eugenol
Thiele2 mrgisr - Eugenol
Pivoines 26 avril 08 cxs7rw - Eugenol

bjc

26/04/2008 à 18h03


"Et tout ça avec le parfum des pivoines et les cris des martinets qui sont enfin revenus ... "


il n'y a que ça de vrai


bjc

26/04/2008 à 18h19

Elle était en contention amovible du haut, donc blocage
laisse la un an sans contention et tu verras l’évolution


Spriford

26/04/2008 à 18h57

Spriford Ecrivait: ( à l'ouverture de ce post) Il y a 4 ans, son orthodontiste lui a dit d'arrêter cette contention et de laisser faire la nature,

4 ans qu'il n'y a plus de contention. Bjc, si mon cas ne t'intéresse pas, pourquoi continuer à répondre n'importe quoi ?

Laissons faire la nature, dit l'un, tu verras l'évolution dit l'autre...Et puis, les petits défauts n'en sont peut-être pas ?




Tulipes geg2fz - Eugenol

Spriford

26/04/2008 à 19h03

certains portent bonheur même...

Vous avez dit défaut .. - Eugenol

Images 1 qtgoxf - Eugenol
ciwil

26/04/2008 à 19h30

...si tu lui dis que son bouquet de dents est printanier.
mais si elle préfère l' ordre et n'aime pas qu'une tête dépasse, mini.alignement+stripping.

Imag0184 c9kzmj - Eugenol
Imag0185 nv8p9s - Eugenol

Spriford

27/04/2008 à 18h05

Elle sera contente si je lui trouve une solution !

Je n'arrive pas à trouver ce que Dancha avait écrit à ce sujet... Il me semble qu'il avait parlé d'alimentation, d'usure, de croissance, de distance intercanine... Une belle théorie mais en pratique, si j'osais, je lui demanderais s'il lui arrive d'avoir ce genre de retour...

Je me sens impliqué dans le fait que cette dent va continuer de migrer et qu'à l'heure actuelle, il est peut-être temps de limiter les dégâts.
Je me sens aussi dépassé par ces forces non maîtrisées qui sabotent 3 ans de travail d'odf, et beaucoup d'efforts de la part de cette patiente qui s'inquiète...



Spriford

27/04/2008 à 18h12

Par contre j'ai trouvé un autre "principe" qui explique enfin pourquoi bjc n'a pas peur des récidives: Les patients ne reviennent pas chez lui !!!
Selon ce principe, j'aurais dû conseiller à ma patiente d'aller consulter un autre orthodontiste.
Reste à savoir d'où viendrait ce principe ?Que de mystères...

Principe 2 l02puv - Eugenol

1 eugenol dmj5np - Eugenol
Dancha

27/04/2008 à 23h32

Merci, Spriford, d’avoir répondu à ma place avec humour au sujet de Thielemann. Tu as parfaitement raison, cela n'a rien à voir.

Il y a en fait deux questions :
- Que s’est-il passé ?
- Quelles sont les solutions thérapeutiques dont nous disposons ?

Afin que je puisse y répondre, je te serais reconnaissant de bien vouloir montrer l’occlusion latérale de ta patiente, des photos centrées orthogonalement sur les 13 et 23 seraient les bienvenues.

Daniel


bjc

28/04/2008 à 02h27

tant que tu y est, monte tes empreintes en articulateur,
fais une analyse occlusale
tu dois bien avoir un vieux bouquin qui traîne au grenier

@+ Bjc.


12